JavaScript is disabled in your browser. Please enable JavaScript to view this website.
AB199970

Anti-LKB1 antibody [EPR19379]

5

(1 Review)

|

(16 Publications)

Rabbit Recombinant Monoclonal LKB1 antibody. Suitable for IP, WB and reacts with Human samples. Cited in 16 publications.

View Alternative Names

LKB1, PJS, STK11, Serine/threonine-protein kinase STK11, Liver kinase B1, Renal carcinoma antigen NY-REN-19, hLKB1

7 Images
Immunoprecipitation - Anti-LKB1 antibody [EPR19379] (AB199970)
  • IP

Supplier Data

Immunoprecipitation - Anti-LKB1 antibody [EPR19379] (AB199970)

LKB1 was immunoprecipitated from 1 mg of Human testis lysate with ab199970 at 1/100 dilution. Western blot was performed from the immunoprecipitate using ab199970 at 1/500 dilution. VeriBlot for IP Detection Reagent (HRP) (ab131366), was used for detection at 1/1000 dilution.

Lane 1 : Human testis lysate, 10 μg (Input).

Lane 2 : ab199970 IP in Human testis lysate .

Lane 3 : Rabbit IgG,monoclonal [EPR25A]-Isotype Control (ab172730) instead of ab199970 in Human testis lysate .

Blocking and dilution buffer and concentration : 5% NFDM/TBST.

Exposure time : 3 minutes.

LKB1 isoforms : PMID 18854309.

All lanes:

Immunoprecipitation - Anti-LKB1 antibody [EPR19379] (ab199970)

Predicted band size: 48 kDa

false

Immunoprecipitation - Anti-LKB1 antibody [EPR19379] (AB199970)
  • IP

Supplier Data

Immunoprecipitation - Anti-LKB1 antibody [EPR19379] (AB199970)

LKB1 was immunoprecipitated from 1 mg of K562 (Human chronic myelogenous leukemia cell line from bone marrow) whole cell lysate with ab199970 at 1/100 dilution. Western blot was performed from the immunoprecipitate using ab199970 at 1/1000 dilution. VeriBlot for IP Detection Reagent (HRP) (ab131366), was used for detection at 1/10000 dilution.

Lane 1 : K562 whole cell lysate, 10 μg (Input).

Lane 2 : ab199970 IP in K562 whole cell lysate.

Lane 3 : Rabbit IgG,monoclonal [EPR25A]-Isotype Control (ab172730) instead of ab199970 in K562 whole cell lysate.

Blocking and dilution buffer and concentration : 5% NFDM/TBST.

Exposure time : 3 minutes.

LKB1 isoforms : PMID 18854309.

All lanes:

Immunoprecipitation - Anti-LKB1 antibody [EPR19379] (ab199970)

Predicted band size: 48 kDa

false

Western blot - Anti-LKB1 antibody [EPR19379] (AB199970)
  • WB

Lab

Western blot - Anti-LKB1 antibody [EPR19379] (AB199970)

Western blot : Anti-STK11 antibody [EPR19379] (ab199970) staining at 1/1000 dilution, shown in green; Mouse anti-GAPDH antibody [6C5] (ab8245) loading control staining at 1/20000 dilution, shown in magenta. In Western blot, ab199970 was shown to bind specifically to STK11. A band was observed at 50-60 kDa in wild-type HCT 116 cell lysates with no signal observed at this size in STK11 knockout cell line. To generate this image, wild-type and STK11 knockout HCT 116 cell lysates were analysed. First, samples were run on an SDS-PAGE gel then transferred onto a nitrocellulose membrane. Membranes were blocked in 3 % milk in TBS-0.1 % Tween® 20 (TBS-T) before incubation with primary antibodies overnight at 4 °C. Blots were washed four times in TBS-T, incubated with secondary antibodies for 1 h at room temperature, washed again four times then imaged. Secondary antibodies used were Goat anti-Rabbit IgG H&L 800CW and Goat anti-Mouse IgG H&L 680RD at 1/20000 dilution.

All lanes:

Western blot - Anti-LKB1 antibody [EPR19379] (ab199970) at 1/1000 dilution

Lane 1:

Wild-type HCT 116 cell lysate at 20 µg

Lane 2:

Western blot - Human STK11 knockout HCT116 cell line (<a href='/en-us/products/cell-lines/human-stk11-knockout-hct116-cell-line-ab286626'>ab286626</a>)

Lane 2:

STK11 knockout HCT 116 cell lysate at 20 µg

Lane 3:

Wild-type HEK-293T ab255553 cell lysate at 20 µg

Lane 4:

STK11 knockout HEK-293T ab261047 cell lysate at 20 µg

Secondary

Lanes 1 - 4:

Goat anti-Rabbit IgG H&L 800CW at 1/20000 dilution

Lanes 1 - 4:

Goat anti-Mouse IgG H&L 680RD at 1/20000 dilution

Observed band size: 50-60 kDa

false

Western blot - Anti-LKB1 antibody [EPR19379] (AB199970)
  • WB

Supplier Data

Western blot - Anti-LKB1 antibody [EPR19379] (AB199970)

Blocking/Dilution buffer : 5% NFDM/TBST.

All lanes:

Western blot - Anti-LKB1 antibody [EPR19379] (ab199970) at 1/1000 dilution

Lane 1:

Human brain lysate at 10 µg

Lane 2:

Human fetal heart lysate at 10 µg

Lane 3:

Human fetal kidney lysate at 10 µg

Lane 4:

Human fetal testis lysate at 10 µg

Secondary

All lanes:

Goat Anti-Rabbit IgG Peroxidase Conjugate, specific to the non-reduced form of IgG at 1/10000 dilution

Predicted band size: 48 kDa

Observed band size: 50 kDa

false

Exposure time: 3min

Western blot - Anti-LKB1 antibody [EPR19379] (AB199970)
  • WB

Lab

Western blot - Anti-LKB1 antibody [EPR19379] (AB199970)

Lanes 1- 4 : Merged signal (red and green). Green - ab199970 observed at 55 kDa. Red - Anti-GAPDH antibody [6C5] - Loading Control (ab8245) observed at 37 kDa.

ab199970 was shown to react with LKB1 in wild-type HEK-293T cells in western blot. Loss of signal was observed when knockout cell line ab266647 (knockout cell lysate ab257712) was used. Wild-type HEK-293T and STK11 knockout HEK-293T cell lysates were subjected to SDS-PAGE. Membrane was blocked for 1 hour at room temperature in 0.1% TBST with 3% non-fat dried milk. ab199970 and Anti-GAPDH antibody [6C5] - Loading Control (ab8245) overnight at 4°C at a 1 in 1000 dilution and a 1 in 20000 dilution respectively. Blots were developed with Goat anti-Rabbit IgG H&L (IRDye®800CW) preadsorbed (ab216773) and Goat anti-Mouse IgG H&L (IRDye®680RD) preadsorbed (ab216776) secondary antibodies at 1 in 20000 dilution for 1 hour at room temperature before imaging.

All lanes:

Western blot - Anti-LKB1 antibody [EPR19379] (ab199970) at 1/1000 dilution

Lane 1:

Wild-type HEK-293T cell lysate at 20 µg

Lane 2:

STK11 knockout HEK-293T cell lysate at 20 µg

Lane 2:

Western blot - Human STK11 (LKB1) knockout HEK-293T cell line (<a href='/en-us/products/cell-lines/human-stk11-lkb1-knockout-hek-293t-cell-line-ab266647'>ab266647</a>)

Lane 3:

Hu testis cell lysate at 20 µg

Lane 4:

HeLa cell lysate at 20 µg

Predicted band size: 48 kDa

Observed band size: 55 kDa

false

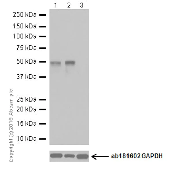
Western blot - Anti-LKB1 antibody [EPR19379] (AB199970)
  • WB

Supplier Data

Western blot - Anti-LKB1 antibody [EPR19379] (AB199970)

Blocking/Dilution buffer : 5% NFDM/TBST.

Negative control : HeLa (PMID 11297520; PMID24086281; PMID 19340305).

All lanes:

Western blot - Anti-LKB1 antibody [EPR19379] (ab199970) at 1/1000 dilution

Lane 1:

Jurkat (Human T cell leukemia cell line from peripheral blood) whole cell lysate at 20 µg

Lane 2:

K562 (Human chronic myelogenous leukemia cell line from bone marrow) whole cell lysate at 20 µg

Lane 3:

HeLa (Human epithelial cell line from cervix adenocarcinoma) whole cell lysate at 20 µg

Secondary

All lanes:

Western blot - Goat Anti-Rabbit IgG H&L (HRP) (<a href='/en-us/products/secondary-antibodies/goat-rabbit-igg-h-l-hrp-ab97051'>ab97051</a>) at 1/100000 dilution

Predicted band size: 155 kDa,48 kDa,67 kDa

Observed band size: 100 kDa,180 kDa,50 kDa

false

Exposure time: 15s

Western blot - Anti-LKB1 antibody [EPR19379] (AB199970)
  • WB

Lab

Western blot - Anti-LKB1 antibody [EPR19379] (AB199970)

Lane 1 : Wild-type HAP1 whole cell lysate (20 μg)
Lane 2 : STK11 knockout HAP1 whole cell lysate (20 μg)
Lane 3 : Hu Testis whole cell lysate (20 μg)

Lanes 1 - 3 : Merged signal (red and green). Green - ab199970 observed at 50 kDa. Red - loading control, ab8245, observed at 37 kDa.

ab199970 was shown to specifically react with STK11 in wild-type HAP1 cells. No band was observed when STK11 knockout samples were examined. Wild-type and STK11 knockout samples were subjected to SDS-PAGE. ab199970 and ab8245 (Mouse anti GAPDH loading control) were incubated overnight at 4°C at 1/1000 dilution and 1/10,000 dilution respectively. Blots were developed with Goat anti-Rabbit IgG H&L (IRDye® 800CW) preabsorbed ab216773 and Goat anti-Mouse IgG H&L (IRDye® 680RD) preabsorbed ab216776 secondary antibodies at 1/10,000 dilution for 1 hour at room temperature before imaging.

All lanes:

Western blot - Anti-LKB1 antibody [EPR19379] (ab199970)

Predicted band size: 48 kDa

false

  • Carrier free

    Anti-LKB1 antibody [EPR19379] - BSA and Azide free

Key facts

Host species

Rabbit

Clonality

Monoclonal

Clone number

EPR19379

Isotype

IgG

Carrier free

No

Reacts with

Human

Applications

IP, WB

applications

Immunogen

The exact immunogen used to generate this antibody is proprietary information.

Reactivity data

{ "title": "Reactivity Data", "filters": { "stats": ["", "Species", "Dilution Info", "Notes"], "tabs": { "all-applications": {"fullname" : "All Applications", "shortname": "All Applications"}, "IP" : {"fullname" : "Immunoprecipitation", "shortname":"IP"}, "WB" : {"fullname" : "Western blot", "shortname":"WB"} }, "product-promise": { "all": "all", "testedAndGuaranteed": "tested", "guaranteed": "expected", "predicted": "predicted", "notRecommended": "not-recommended" } }, "values": { "Human": { "IP-species-checked": "testedAndGuaranteed", "IP-species-dilution-info": "1/100", "IP-species-notes": "<p></p>", "WB-species-checked": "testedAndGuaranteed", "WB-species-dilution-info": "1/1000", "WB-species-notes": "<p></p>" } } }

Product details

Patented technology
Our RabMAb® technology is a patented hybridoma-based technology for making rabbit monoclonal antibodies. For details on our patents, please refer to RabMAb® patents.

What are the advantages of a recombinant monoclonal antibody?
This product is a recombinant monoclonal antibody, which offers several advantages including:

  • - High batch-to-batch consistency and reproducibility
  • - Improved sensitivity and specificity
  • - Long-term security of supply
  • - Animal-free batch production

For more information, read more on recombinant antibodies.

Properties and storage information

Form
Liquid
Purification technique
Affinity purification Protein A
Storage buffer
pH: 7.2 - 7.4 Preservative: 0.01% Sodium azide Constituents: PBS, 40% Glycerol (glycerin, glycerine), 0.05% BSA
Shipped at conditions
Blue Ice
Appropriate short-term storage duration
1-2 weeks
Appropriate short-term storage conditions
+4°C
Appropriate long-term storage conditions
-20°C
Aliquoting information
Upon delivery aliquot
Storage information
Avoid freeze / thaw cycle

Supplementary information

This supplementary information is collated from multiple sources and compiled automatically.

LKB1 also known as STK11 is a serine/threonine kinase with a molecular weight of approximately 48 kDa. This protein is widely expressed in various tissues including the liver pancreas and skeletal muscle. LKB1 plays an essential role in cellular energy homeostasis by phosphorylating and activating a group of at least 14 different proteins within the AMP-activated protein kinase (AMPK) family. The LKB1 protein acts as a master upstream kinase ensuring proper cellular energy balance and metabolism under conditions of nutrient stress.
Biological function summary

LKB1 is involved in controlling cell growth polarity and metabolism. It forms a complex with STRAD and MO25 which are necessary for its activation and function. By influencing these biological processes LKB1 regulates cell cycle arrest in response to stress signals and contributes to maintaining cellular integrity. The regulation of these processes positions LKB1 as an important factor in managing how cells respond to metabolic challenges.

Pathways

Its function integrates into major signaling networks like the AMPK and mTOR pathways. LKB1 activates AMPK which in turn affects mTOR signaling a pathway critical for cell growth and autophagy regulation. LKB1's interaction with AMPK links cellular energy levels to the control of biosynthetic pathways and cell cycle progression. The LKB1-AMPK-mTOR axis for instance highlights the protein's role in managing how cells balance growth-related activities and energy conservation.

LKB1 mutations or malfunctions are linked to Peutz-Jeghers syndrome and various forms of cancer such as lung cancer. Altered LKB1 activity affects its ability to suppress tumors primarily through its pathway interactions with AMPK and mTOR. Dysfunction in this pathway leads to unregulated cell growth and subsequently tumorigenesis. Understanding LKB1's role in these conditions aids in developing targeted therapies and diagnostic tools to manage associated risks and interventions effectively.

Product protocols

For this product, it's our understanding that no specific protocols are required. You can visit:

Target data

Tumor suppressor serine/threonine-protein kinase that controls the activity of AMP-activated protein kinase (AMPK) family members, thereby playing a role in various processes such as cell metabolism, cell polarity, apoptosis and DNA damage response. Acts by phosphorylating the T-loop of AMPK family proteins, thus promoting their activity : phosphorylates PRKAA1, PRKAA2, BRSK1, BRSK2, MARK1, MARK2, MARK3, MARK4, NUAK1, NUAK2, SIK1, SIK2, SIK3 and SNRK but not MELK. Also phosphorylates non-AMPK family proteins such as STRADA, PTEN and possibly p53/TP53. Acts as a key upstream regulator of AMPK by mediating phosphorylation and activation of AMPK catalytic subunits PRKAA1 and PRKAA2 and thereby regulates processes including : inhibition of signaling pathways that promote cell growth and proliferation when energy levels are low, glucose homeostasis in liver, activation of autophagy when cells undergo nutrient deprivation, and B-cell differentiation in the germinal center in response to DNA damage. Also acts as a regulator of cellular polarity by remodeling the actin cytoskeleton. Required for cortical neuron polarization by mediating phosphorylation and activation of BRSK1 and BRSK2, leading to axon initiation and specification. Involved in DNA damage response : interacts with p53/TP53 and recruited to the CDKN1A/WAF1 promoter to participate in transcription activation. Able to phosphorylate p53/TP53; the relevance of such result in vivo is however unclear and phosphorylation may be indirect and mediated by downstream STK11/LKB1 kinase NUAK1. Also acts as a mediator of p53/TP53-dependent apoptosis via interaction with p53/TP53 : translocates to the mitochondrion during apoptosis and regulates p53/TP53-dependent apoptosis pathways. Regulates UV radiation-induced DNA damage response mediated by CDKN1A. In association with NUAK1, phosphorylates CDKN1A in response to UV radiation and contributes to its degradation which is necessary for optimal DNA repair (PubMed : 25329316).. Isoform 2. Has a role in spermiogenesis.
See full target information STK11

Publications (16)

Recent publications for all applications. Explore the full list and refine your search

Canadian journal of gastroenterology & hepatology 2025:5209381 PubMed41031049

2025

TSPAN7 Functions as an Antitumor Agent Through the STK11/AMPK/mTOR Axis in Colorectal Cancer.

Applications

Unspecified application

Species

Unspecified reactive species

Tao Weng,Fenfen Hong

Scientific reports 15:29560 PubMed40797086

2025

Exosomal LncRNA SCAMP1-AS1 enhances osteosarcoma malignancy by regulating the LKB1-AMPK signaling pathway.

Applications

Unspecified application

Species

Unspecified reactive species

Yanxia Li,Xiuqi Zou,Xiaomin Feng,Jing Xia,Zhifeng Wu,Haili Ma

Frontiers in pharmacology 16:1524219 PubMed40635757

2025

Dexmedetomidine reduces acute lung injury caused by LPS through the SIRT3 signaling pathway .

Applications

Unspecified application

Species

Unspecified reactive species

Jian Chen,Yang Cai,Xiaochun Peng,Yuanling Xu,Liying Chen,Xinxin Pan,Yingying Sun

Frontiers in immunology 15:1387896 PubMed38736875

2024

Prognostic implications of STK11 with different mutation status and its relationship with tumor-infiltrating immune cells in non-small cell lung cancer.

Applications

Unspecified application

Species

Unspecified reactive species

Jianqing Zheng,Yujie Deng,Bifen Huang,Xiaohui Chen

Cancers 15: PubMed36612063

2022

Pim-2 Kinase Regulates Energy Metabolism in Multiple Myeloma.

Applications

Unspecified application

Species

Unspecified reactive species

Zhaoyun Liu,Yixuan Guo,Xiaohan Liu,Panpan Cao,Hui Liu,Xifeng Dong,Kai Ding,Rong Fu

The European journal of neuroscience 56:4275-4286 PubMed35768187

2022

HECTD3 enhances cell radiation resistance and migration by regulating LKB1 mediated ZEB1 in glioma.

Applications

Unspecified application

Species

Unspecified reactive species

Jinjin Yuan,Junqi Liu,Ruitai Fan,Zongwen Liu

Bioengineered 13:13667-13679 PubMed35703318

2022

lncRNA NBR2 attenuates angiotensin II-induced myocardial hypertrophy through repressing ER stress via activating LKB1/AMPK/Sirt1 pathway.

Applications

Unspecified application

Species

Unspecified reactive species

Cansheng Zhu,Min Wang,Xianguan Yu,Xing Shui,Leile Tang,Zefeng Chen,Zhaojun Xiong

Bioengineered 13:12409-12420 PubMed35603707

2022

Wnt family member 1 (Wnt1) overexpression-induced M2 polarization of microglia alleviates inflammation-sensitized neonatal brain injuries.

Applications

Unspecified application

Species

Unspecified reactive species

Jinzhi Gao,Hao Xu,Zhihui Rong,Ling Chen

Experimental and therapeutic medicine 22:1422 PubMed34707704

2021

MicroRNA-106a-5p promotes the proliferation, autophagy and migration of lung adenocarcinoma cells by targeting LKB1/AMPK.

Applications

Unspecified application

Species

Unspecified reactive species

Yushan Zhou,Yuxuan Zhang,Yanli Li,Liqiong Liu,Zhidong Li,Yanhong Liu,Yi Xiao

Animal nutrition (Zhongguo xu mu shou yi xue hui) 7:1303-1314 PubMed34786503

2021

Maternal intake restriction programs the energy metabolism, clock circadian regulator and mTOR signals in the skeletal muscles of goat offspring probably via the protein kinase A-cAMP-responsive element-binding proteins pathway.

Applications

Unspecified application

Species

Unspecified reactive species

Xiaoling Zhou,Qiongxian Yan,Hong Yang,Ao Ren,Zhixiong He,Zhiliang Tan
View all publications

Product promise

We are committed to supporting your work with high-quality reagents, and we're here for you every step of the way. In the unlikely event that one of our products does not perform as expected, you're protected by our Product Promise.
For full details, please see our Terms & Conditions

Please note: All products are 'FOR RESEARCH USE ONLY. NOT FOR USE IN DIAGNOSTIC OR THERAPEUTIC PROCEDURES'.

For licensing inquiries, please contact partnerships@abcam.com