JavaScript is disabled in your browser. Please enable JavaScript to view this website.
AB138386

Anti-LKB1 (phospho S428) antibody

Be the first to review this product! Submit a review

|

(4 Publications)

Rabbit Polyclonal LKB1 phospho S428 antibody. Suitable for IHC-P, WB and reacts with Human, African green monkey samples. Cited in 4 publications. Immunogen corresponding to Synthetic Peptide within Human STK11 phospho S428.

View Alternative Names

LKB1, PJS, STK11, Serine/threonine-protein kinase STK11, Liver kinase B1, Renal carcinoma antigen NY-REN-19, hLKB1

2 Images
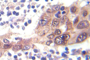
Immunohistochemistry (Formalin/PFA-fixed paraffin-embedded sections) - Anti-LKB1 (phospho S428) antibody (AB138386)
  • IHC-P

Unknown

Immunohistochemistry (Formalin/PFA-fixed paraffin-embedded sections) - Anti-LKB1 (phospho S428) antibody (AB138386)

Immunohistochemical analysis of paraffin-embedded Human breast carcinoma tissue labelling LKB1 (phospho S428) with ab138386 at 1/50.

Western blot - Anti-LKB1 (phospho S428) antibody (AB138386)
  • WB

Unknown

Western blot - Anti-LKB1 (phospho S428) antibody (AB138386)

All lanes:

Western blot - Anti-LKB1 (phospho S428) antibody (ab138386) at 1/500 dilution

All lanes:

CV-1 cell lysate - forskolin treated at 30 µg

Predicted band size: 48 kDa

false

Key facts

Host species

Rabbit

Clonality

Polyclonal

Isotype

IgG

Carrier free

No

Reacts with

Human, African green monkey

Applications

IHC-P, WB

applications

Immunogen

Synthetic Peptide within Human STK11 phospho S428. The exact immunogen used to generate this antibody is proprietary information.

Q15831

Reactivity data

{ "title": "Reactivity Data", "filters": { "stats": ["", "Species", "Dilution Info", "Notes"], "tabs": { "all-applications": {"fullname" : "All Applications", "shortname": "All Applications"}, "IHCP" : {"fullname" : "Immunohistochemistry (Formalin/PFA-fixed paraffin-embedded sections)", "shortname":"IHC-P"}, "WB" : {"fullname" : "Western blot", "shortname":"WB"} }, "product-promise": { "all": "all", "testedAndGuaranteed": "tested", "guaranteed": "expected", "predicted": "predicted", "notRecommended": "not-recommended" } }, "values": { "Human": { "IHCP-species-checked": "testedAndGuaranteed", "IHCP-species-dilution-info": "1/50 - 1/100", "IHCP-species-notes": "<p></p> Perform heat-mediated antigen retrieval with citrate buffer pH 6 before commencing with IHC staining protocol.", "WB-species-checked": "guaranteed", "WB-species-dilution-info": "", "WB-species-notes": "" }, "Mouse": { "IHCP-species-checked": "predicted", "IHCP-species-dilution-info": "", "IHCP-species-notes": "", "WB-species-checked": "predicted", "WB-species-dilution-info": "", "WB-species-notes": "" }, "African green monkey": { "IHCP-species-checked": "guaranteed", "IHCP-species-dilution-info": "", "IHCP-species-notes": "", "WB-species-checked": "testedAndGuaranteed", "WB-species-dilution-info": "1/500 - 1/1000", "WB-species-notes": "<p></p>" } } }

Properties and storage information

Form
Liquid
Purification technique
Affinity purification Immunogen
Purification notes
ab138386 was affinity-purified from rabbit antiserum by affinity-chromatography using epitope-specific phosphopeptide. The antibody against non-phosphopeptide was removed by chromatography using non-phosphopeptide corresponding to the phosphorylation.
Storage buffer
pH: 7.4 Preservative: 0.02% Sodium azide Constituents: 50% Glycerol (glycerin, glycerine), 49.1% PBS, 0.88% Sodium chloride
Shipped at conditions
Blue Ice
Appropriate short-term storage conditions
+4°C
Appropriate long-term storage conditions
-20°C
Aliquoting information
Upon delivery aliquot
Storage information
Avoid freeze / thaw cycle

Supplementary information

This supplementary information is collated from multiple sources and compiled automatically.

LKB1 also known as STK11 is a serine/threonine kinase with a molecular weight of approximately 48 kDa. This protein is widely expressed in various tissues including the liver pancreas and skeletal muscle. LKB1 plays an essential role in cellular energy homeostasis by phosphorylating and activating a group of at least 14 different proteins within the AMP-activated protein kinase (AMPK) family. The LKB1 protein acts as a master upstream kinase ensuring proper cellular energy balance and metabolism under conditions of nutrient stress.
Biological function summary

LKB1 is involved in controlling cell growth polarity and metabolism. It forms a complex with STRAD and MO25 which are necessary for its activation and function. By influencing these biological processes LKB1 regulates cell cycle arrest in response to stress signals and contributes to maintaining cellular integrity. The regulation of these processes positions LKB1 as an important factor in managing how cells respond to metabolic challenges.

Pathways

Its function integrates into major signaling networks like the AMPK and mTOR pathways. LKB1 activates AMPK which in turn affects mTOR signaling a pathway critical for cell growth and autophagy regulation. LKB1's interaction with AMPK links cellular energy levels to the control of biosynthetic pathways and cell cycle progression. The LKB1-AMPK-mTOR axis for instance highlights the protein's role in managing how cells balance growth-related activities and energy conservation.

LKB1 mutations or malfunctions are linked to Peutz-Jeghers syndrome and various forms of cancer such as lung cancer. Altered LKB1 activity affects its ability to suppress tumors primarily through its pathway interactions with AMPK and mTOR. Dysfunction in this pathway leads to unregulated cell growth and subsequently tumorigenesis. Understanding LKB1's role in these conditions aids in developing targeted therapies and diagnostic tools to manage associated risks and interventions effectively.

Product protocols

For this product, it's our understanding that no specific protocols are required. You can visit:

Target data

Tumor suppressor serine/threonine-protein kinase that controls the activity of AMP-activated protein kinase (AMPK) family members, thereby playing a role in various processes such as cell metabolism, cell polarity, apoptosis and DNA damage response. Acts by phosphorylating the T-loop of AMPK family proteins, thus promoting their activity : phosphorylates PRKAA1, PRKAA2, BRSK1, BRSK2, MARK1, MARK2, MARK3, MARK4, NUAK1, NUAK2, SIK1, SIK2, SIK3 and SNRK but not MELK. Also phosphorylates non-AMPK family proteins such as STRADA, PTEN and possibly p53/TP53. Acts as a key upstream regulator of AMPK by mediating phosphorylation and activation of AMPK catalytic subunits PRKAA1 and PRKAA2 and thereby regulates processes including : inhibition of signaling pathways that promote cell growth and proliferation when energy levels are low, glucose homeostasis in liver, activation of autophagy when cells undergo nutrient deprivation, and B-cell differentiation in the germinal center in response to DNA damage. Also acts as a regulator of cellular polarity by remodeling the actin cytoskeleton. Required for cortical neuron polarization by mediating phosphorylation and activation of BRSK1 and BRSK2, leading to axon initiation and specification. Involved in DNA damage response : interacts with p53/TP53 and recruited to the CDKN1A/WAF1 promoter to participate in transcription activation. Able to phosphorylate p53/TP53; the relevance of such result in vivo is however unclear and phosphorylation may be indirect and mediated by downstream STK11/LKB1 kinase NUAK1. Also acts as a mediator of p53/TP53-dependent apoptosis via interaction with p53/TP53 : translocates to the mitochondrion during apoptosis and regulates p53/TP53-dependent apoptosis pathways. Regulates UV radiation-induced DNA damage response mediated by CDKN1A. In association with NUAK1, phosphorylates CDKN1A in response to UV radiation and contributes to its degradation which is necessary for optimal DNA repair (PubMed : 25329316).. Isoform 2. Has a role in spermiogenesis.
See full target information STK11 phospho S428

Publications (4)

Recent publications for all applications. Explore the full list and refine your search

Immunity, inflammation and disease 11:e958 PubMed37506141

2023

STK11 mutation impacts CD1E expression to regulate the differentiation of macrophages in lung adenocarcinoma.

Applications

Unspecified application

Species

Unspecified reactive species

Qingfeng Zhang,Juan Feng,Kui Liu,Xiaoyan Yang,Yun Huang,Bo Tang

Frontiers in endocrinology 10:769 PubMed31798532

2019

PKA Activates AMPK Through LKB1 Signaling in Follicular Thyroid Cancer.

Applications

Unspecified application

Species

Unspecified reactive species

Suresh Kari,Vasyl V Vasko,Shivam Priya,Lawrence S Kirschner

EBioMedicine 47:184-194 PubMed31492560

2019

Spleen tyrosine kinase activity regulates epidermal growth factor receptor signaling pathway in ovarian cancer.

Applications

Unspecified application

Species

Unspecified reactive species

Yu Yu,Yohan Suryo Rahmanto,Yao-An Shen,Laura Ardighieri,Ben Davidson,Stephanie Gaillard,Ayse Ayhan,Xu Shi,Jianhua Xuan,Tian-Li Wang,Ie-Ming Shih

Cancer medicine 8:4792-4805 PubMed31250978

2019

BET inhibitor JQ1 suppresses cell proliferation via inducing autophagy and activating LKB1/AMPK in bladder cancer cells.

Applications

Unspecified application

Species

Unspecified reactive species

Feng Li,Chao Yang,Hai-Bao Zhang,Jianbin Ma,Jing Jia,Xiaoshuang Tang,Jin Zeng,Tie Chong,Xinyang Wang,Dalin He,Peng Guo
View all publications

Product promise

We are committed to supporting your work with high-quality reagents, and we're here for you every step of the way. In the unlikely event that one of our products does not perform as expected, you're protected by our Product Promise.
For full details, please see our Terms & Conditions

Please note: All products are 'FOR RESEARCH USE ONLY. NOT FOR USE IN DIAGNOSTIC OR THERAPEUTIC PROCEDURES'.

For licensing inquiries, please contact partnerships@abcam.com