JavaScript is disabled in your browser. Please enable JavaScript to view this website.
AB125006

Anti-LMAN1 antibody [EPR6979]

  • BOND RX™ Validated
  • RabMAb
  • Recombinant
  • KO Validated
  • What is this?

5

(4 Reviews)

|

(30 Publications)

Rabbit Recombinant Monoclonal LMAN1 antibody. Suitable for IHC-P, ICC/IF, WB, Flow Cyt (Intra) and reacts with Mouse, Rat, Human samples. Cited in 30 publications.

View Alternative Names

ERGIC53, F5F8D, LMAN1, Protein ERGIC-53, ER-Golgi intermediate compartment 53 kDa protein, Gp58, Intracellular mannose-specific lectin MR60, Lectin mannose-binding 1

8 Images
Flow Cytometry (Intracellular) - Anti-LMAN1 antibody [EPR6979] (AB125006)
  • Flow Cyt (Intra)

Lab

Flow Cytometry (Intracellular) - Anti-LMAN1 antibody [EPR6979] (AB125006)

Intracellular Flow Cytometry analysis of HeLa (Human cervix adenocarcinoma epithelial cell) cells labeling LMAN1 with Purified ab125006 at 1/20 dilution (10 μg/mL) (Red). Cells were fixed with 4% Paraformaldehyde and permeabilised with 90% Methanol. A Goat anti rabbit IgG (Alexa Fluor® 488, ab150077) secondary antibody was used at 1/2000. Isotype control - Rabbit monoclonal IgG (Black). Unlabeled control - Cell without incubation with primary antibody and secondary antibody (Blue).

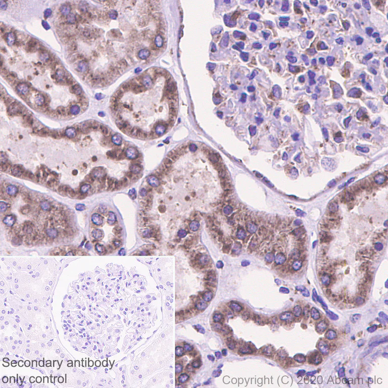
Immunohistochemistry (Formalin/PFA-fixed paraffin-embedded sections) - Anti-LMAN1 antibody [EPR6979] (AB125006)
  • IHC-P

Lab

Immunohistochemistry (Formalin/PFA-fixed paraffin-embedded sections) - Anti-LMAN1 antibody [EPR6979] (AB125006)

Immunohistochemistry (Formalin/PFA-fixed paraffin-embedded sections) analysis of human kidney tissue sections labeling LMAN1 with Purified ab125006 at 1/500 dilution (0.21 µg/mL). Heat mediated antigen retrieval using Bond™ Epitope Retrieval Solution 2 (pH 9.0). Rabbit specific IHC polymer detection kit HRP/DAB (ab209101) was used as the secondary antibody. Negative control : PBS instead of the primary antibody. Hematoxylin was used as a counterstain.

Immunocytochemistry/ Immunofluorescence - Anti-LMAN1 antibody [EPR6979] (AB125006)
  • ICC/IF

Lab

Immunocytochemistry/ Immunofluorescence - Anti-LMAN1 antibody [EPR6979] (AB125006)

Immunocytochemistry analysis of 293T (Human embryonic kidney epithelial cell) cells labeling LMAN1 with Purified ab125006 at 1/50 dilution (2 µg/mL). Cells were fixed in 100% Methanol and permeabilized with None. Cells were counterstained with ab195889 Anti-alpha Tubulin antibody [DM1A] - Microtubule Marker (Alexa Fluor® 594) 1/200 dilution (2.5 µg/mL). Goat anti rabbit IgG (Alexa Fluor® 488, ab150077) was used as the secondary antibody at 1/1000 dilution (2 µg/mL). DAPI (blue) was used as nuclear counterstain. PBS instead of the primary antibody was used as the secondary antibody only control.

Immunohistochemistry (Formalin/PFA-fixed paraffin-embedded sections) - Anti-LMAN1 antibody [EPR6979] (AB125006)
  • IHC-P

Lab

Immunohistochemistry (Formalin/PFA-fixed paraffin-embedded sections) - Anti-LMAN1 antibody [EPR6979] (AB125006)

Immunohistochemistry (Formalin/PFA-fixed paraffin-embedded sections) analysis of rat kidney tissue sections labeling LMAN1 with Purified ab125006 at 1/500 dilution (0.21 µg/mL). Heat mediated antigen retrieval using Bond™ Epitope Retrieval Solution 2 (pH 9.0). Rabbit specific IHC polymer detection kit HRP/DAB (ab209101) was used as the secondary antibody. Negative control : PBS instead of the primary antibody. Hematoxylin was used as a counterstain.

Immunohistochemistry (Formalin/PFA-fixed paraffin-embedded sections) - Anti-LMAN1 antibody [EPR6979] (AB125006)
  • IHC-P

Lab

Immunohistochemistry (Formalin/PFA-fixed paraffin-embedded sections) - Anti-LMAN1 antibody [EPR6979] (AB125006)

Immunohistochemistry (Formalin/PFA-fixed paraffin-embedded sections) analysis of mouse kidney tissue sections labeling LMAN1 with Purified ab125006 at 1/500 dilution (0.21 µg/mL). Heat mediated antigen retrieval using Bond™ Epitope Retrieval Solution 2 (pH 9.0). Rabbit specific IHC polymer detection kit HRP/DAB (ab209101) was used as the secondary antibody. Negative control : PBS instead of the primary antibody. Hematoxylin was used as a counterstain.

Western blot - Anti-LMAN1 antibody [EPR6979] (AB125006)
  • WB

Lab

Western blot - Anti-LMAN1 antibody [EPR6979] (AB125006)

Lanes 1-4 : Merged signal (red and green). Green - ab125006 observed at 55 kDa. Red - loading control ab8245 observed at 37 kDa.

ab125006 Anti-LMAN1 antibody [EPR6979] was shown to specifically react with Protein ERGIC-53 in wild-type HEK-293T cells. Loss of signal was observed when knockout cell line ab266248 (knockout cell lysate ab257505) was used. Wild-type and Protein ERGIC-53 knockout samples were subjected to SDS-PAGE. ab125006 and Anti-GAPDH antibody [6C5] - Loading Control (ab8245) were incubated overnight at 4°CC at 1 in 1000 Dilution and 1 in 20000 dilution respectively. Blots were developed with Goat anti-Rabbit IgG H&L (IRDye® 800CW) preadsorbed (ab216773) and Goat anti-Mouse IgG H&L (IRDye® 680RD) preadsorbed (ab216776) secondary antibodies at 1 in 20000 dilution for 1 hour at room temperature before imaging.

All lanes:

Western blot - Anti-LMAN1 antibody [EPR6979] (ab125006) at 1/1000 dilution

Lane 1:

Wild-type HEK-293T cell lysate at 20 µg

Lane 2:

LMAN1 knockout HEK-293T cell lysate at 20 µg

Lane 2:

Western blot - Human LMAN1 knockout HEK-293T cell line (<a href='/en-us/products/cell-lines/human-lman1-knockout-hek-293t-cell-line-ab266248'>ab266248</a>)

Lane 3:

HeLa cell lysate at 20 µg

Lane 4:

Daudi cell lysate at 20 µg

Predicted band size: 58 kDa

Observed band size: 55 kDa

false

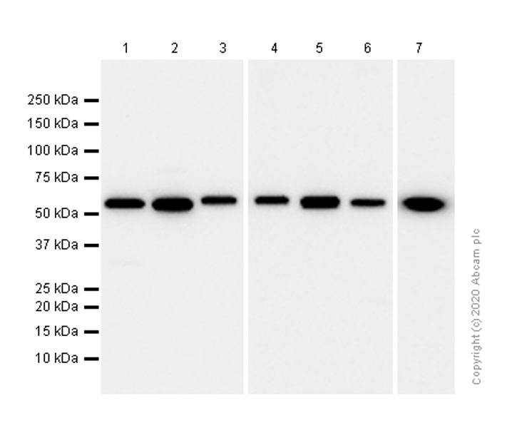
Western blot - Anti-LMAN1 antibody [EPR6979] (AB125006)
  • WB

Unknown

Western blot - Anti-LMAN1 antibody [EPR6979] (AB125006)

All lanes:

Western blot - Anti-LMAN1 antibody [EPR6979] (ab125006) at 1/1000 dilution

Lane 1:

Jurkat (Human T cell leukemia T lymphocyte) whole cell lysate at 20 µg

Lane 2:

HeLa (Human cervix adenocarcinoma epithelial cell) whole cell lysate at 20 µg

Lane 3:

Mouse spleen lysate at 20 µg

Lane 4:

Mouse heart lysate at 20 µg

Lane 5:

Rat spleen lysate at 20 µg

Lane 6:

Rat heart lysate at 20 µg

Lane 7:

HEK-293 (Human embryonic kidney epithelial cell) whole cell lysate at 20 µg

Secondary

All lanes:

Western blot - Goat Anti-Rabbit IgG H&L (HRP) (<a href='/en-us/products/secondary-antibodies/goat-rabbit-igg-h-l-hrp-ab97051'>ab97051</a>) at 1/20000 dilution

Predicted band size: 58 kDa

false

Western blot - Anti-LMAN1 antibody [EPR6979] (AB125006)
  • WB

CiteAb

Western blot - Anti-LMAN1 antibody [EPR6979] (AB125006)

LMAN1 western blot using anti-LMAN1 antibody [EPR6979] ab125006. Publication image and figure legend from Emmer, B., Hesketh, G. G., et al., 2018, Elife, PubMed 30251625.

ab125006 was used in this publication in western blot. This may not be the same as the application(s) guaranteed by Abcam. For a full list of applications guaranteed by Abcam for ab125006 please see the product overview.

SURF4 localizes to the early secretory pathway where it physically interacts with PCSK9.(A) Immunofluorescence of FLAG-SURF4 together with markers of the ER (calnexin), ERGIC (LMAN1), and Golgi (GM130). Scale bar = 10 µm. (B) Quantification of colocalization (n = 8 cells analyzed for each combination of antibody staining). (C) Spectral counts for SURF4 in streptavidin-purified eluates from cells expressing various BirA* fusion proteins. (D) Immunoprecipitations were performed using antibodies directed against FLAG or GFP from lysates of cells expressing FLAG-SURF4, PCSK9-eGFP, both, or neither. Error bars represent standard deviations.

false

Key facts

Host species

Rabbit

Clonality

Monoclonal

Clone number

EPR6979

Isotype

IgG

Carrier free

No

Reacts with

Mouse, Rat, Human

Applications

IHC-P, Flow Cyt (Intra), ICC/IF, WB

applications

Immunogen

The exact immunogen used to generate this antibody is proprietary information.

Reactivity data

{ "title": "Reactivity Data", "filters": { "stats": ["", "Species", "Dilution Info", "Notes"], "tabs": { "all-applications": {"fullname" : "All Applications", "shortname": "All Applications"}, "IHCP" : {"fullname" : "Immunohistochemistry (Formalin/PFA-fixed paraffin-embedded sections)", "shortname":"IHC-P"}, "ICCIF" : {"fullname" : "Immunocytochemistry/ Immunofluorescence", "shortname":"ICC/IF"}, "WB" : {"fullname" : "Western blot", "shortname":"WB"}, "FlowCytIntra" : {"fullname" : "Flow Cytometry (Intracellular)", "shortname":"Flow Cyt (Intra)"} }, "product-promise": { "all": "all", "testedAndGuaranteed": "tested", "guaranteed": "expected", "predicted": "predicted", "notRecommended": "not-recommended" } }, "values": { "Human": { "IHCP-species-checked": "testedAndGuaranteed", "IHCP-species-dilution-info": "1/500", "IHCP-species-notes": "<p>Heat up to 98°C, below boiling, and then let cool for 10-20 min.</p><p><strong>For unpurified use at 1/100 - 1/250.</strong></p>", "ICCIF-species-checked": "testedAndGuaranteed", "ICCIF-species-dilution-info": "1/50 - 1/100", "ICCIF-species-notes": "<p></p>", "WB-species-checked": "testedAndGuaranteed", "WB-species-dilution-info": "1/1000 - 1/10000", "WB-species-notes": "<p></p>", "FlowCytIntra-species-checked": "testedAndGuaranteed", "FlowCytIntra-species-dilution-info": "", "FlowCytIntra-species-notes": "<p></p>" }, "Mouse": { "IHCP-species-checked": "testedAndGuaranteed", "IHCP-species-dilution-info": "1/500", "IHCP-species-notes": "<p>Heat up to 98°C, below boiling, and then let cool for 10-20 min.</p><p><strong>For unpurified use at 1/100 - 1/250.</strong></p>", "ICCIF-species-checked": "guaranteed", "ICCIF-species-dilution-info": "", "ICCIF-species-notes": "", "WB-species-checked": "guaranteed", "WB-species-dilution-info": "", "WB-species-notes": "", "FlowCytIntra-species-checked": "guaranteed", "FlowCytIntra-species-dilution-info": "", "FlowCytIntra-species-notes": "" }, "Rat": { "IHCP-species-checked": "testedAndGuaranteed", "IHCP-species-dilution-info": "1/500", "IHCP-species-notes": "<p>Heat up to 98°C, below boiling, and then let cool for 10-20 min.</p><p><strong>For unpurified use at 1/100 - 1/250.</strong></p>", "ICCIF-species-checked": "guaranteed", "ICCIF-species-dilution-info": "", "ICCIF-species-notes": "", "WB-species-checked": "guaranteed", "WB-species-dilution-info": "", "WB-species-notes": "", "FlowCytIntra-species-checked": "guaranteed", "FlowCytIntra-species-dilution-info": "", "FlowCytIntra-species-notes": "" } } }

Product details

Patented technology
Our RabMAb® technology is a patented hybridoma-based technology for making rabbit monoclonal antibodies. For details on our patents, please refer to RabMAb® patents.

What are the advantages of a recombinant monoclonal antibody?
This product is a recombinant monoclonal antibody, which offers several advantages including:

  • - High batch-to-batch consistency and reproducibility
  • - Improved sensitivity and specificity
  • - Long-term security of supply
  • - Animal-free batch production

For more information, read more on recombinant antibodies.

Properties and storage information

Form
Liquid
Purification technique
Affinity purification Protein A
Storage buffer
pH: 7.2 - 7.4 Preservative: 0.01% Sodium azide Constituents: PBS, 40% Glycerol (glycerin, glycerine), 0.05% BSA
Shipped at conditions
Blue Ice
Appropriate short-term storage duration
1-2 weeks
Appropriate short-term storage conditions
+4°C
Appropriate long-term storage conditions
-20°C
Aliquoting information
Upon delivery aliquot
Storage information
Avoid freeze / thaw cycle

Supplementary information

This supplementary information is collated from multiple sources and compiled automatically.

LMAN1 also known as ERGIC-53 or lectin mannose-binding 1 is a protein involved in the transport and quality control of glycoproteins. It has a mass of approximately 53 kDa. LMAN1 primarily expresses in the endoplasmic reticulum-Golgi intermediate compartment (ERGIC) and is important for efficient cargo sorting and proper folding. It functions by binding to specific carbohydrate moieties on glycoproteins aiding their transport between the ER and Golgi apparatus.
Biological function summary

LMAN1 functions significantly within a protein complex known as the LMAN1-MCFD2 complex. It serves an essential role as a cargo receptor for glycoproteins particularly those with particular mannose-rich domains influencing their secretion and stability. This protein complex is integral in maintaining protein homeostasis and cellular physiology by ensuring the correct sorting and transport of glycoproteins from the ER to the Golgi.

Pathways

LMAN1 significantly participates in the secretory pathway and quality control mechanisms in the cell. It interacts with proteins such as MCFD2 to mediate the transport of specific glycoproteins like α1-antitrypsin through the secretory pathway. This pathway is important for the secretion of a variety of proteins and disruptions can lead to disorders associated with improper protein folding and trafficking.

Defects in LMAN1 can lead to bleeding disorders such as combined coagulation factor V and VIII deficiency. The protein's dysfunction impairs the transport of coagulation factors disrupting their secretion. Additionally proteins like MCFD2 work closely with LMAN1 in this context as mutations in either protein can cause a similar deficiency highlighting the significant role of LMAN1 in maintaining normal hemostatic processes.

Product protocols

For this product, it's our understanding that no specific protocols are required. You can visit:

Target data

Mannose-specific lectin. May recognize sugar residues of glycoproteins, glycolipids, or glycosylphosphatidyl inositol anchors and may be involved in the sorting or recycling of proteins, lipids, or both. The LMAN1-MCFD2 complex forms a specific cargo receptor for the ER-to-Golgi transport of selected proteins.
See full target information LMAN1

Publications (30)

Recent publications for all applications. Explore the full list and refine your search

NPJ precision oncology 9:213 PubMed40595024

2025

Deciphering the YY1/ lncRNA BLACAT1/miR-605-3p axis in glioblastoma: implications for therapy.

Applications

Unspecified application

Species

Unspecified reactive species

Liang Han,Han Wang,Hong Xie,Xiuming Yu,Haixia Zhou,Zhigang Guo

Science advances 11:eadq4266 PubMed40053593

2025

Isocyanic acid-mediated NLRP3 carbamoylation reduces NLRP3-NEK7 interaction and limits inflammasome activation.

Applications

Unspecified application

Species

Unspecified reactive species

Zhenxing Zhang,Chao Chen,Caiyun Liu,Pengkai Sun,Ping Liu,Shu Fang,Xinjian Li

Bio-protocol 14:e5139 PubMed39735292

2024

Assessment of SREBP Activation Using a Microsomal Vesicle Budding Assay.

Applications

Unspecified application

Species

Unspecified reactive species

Mingfeng Xia,Tessa Edwards,Shunxing Rong

Pharmacological research 208:107356 PubMed39216838

2024

Pharmacological chaperones restore proteostasis of epilepsy-associated GABA receptor variants.

Applications

Unspecified application

Species

Unspecified reactive species

Ya-Juan Wang,Hailey Seibert,Lucie Y Ahn,Ashleigh E Schaffer,Ting-Wei Mu

Nature communications 15:2404 PubMed38493152

2024

Structure of full-length ERGIC-53 in complex with MCFD2 for cargo transport.

Applications

Unspecified application

Species

Unspecified reactive species

Satoshi Watanabe,Yoshiaki Kise,Kento Yonezawa,Mariko Inoue,Nobutaka Shimizu,Osamu Nureki,Kenji Inaba

Cell metabolism 36:617-629.e7 PubMed38340721

2024

DGAT2 inhibition blocks SREBP-1 cleavage and improves hepatic steatosis by increasing phosphatidylethanolamine in the ER.

Applications

Unspecified application

Species

Unspecified reactive species

Shunxing Rong,Mingfeng Xia,Goncalo Vale,Simeng Wang,Chai-Wan Kim,Shili Li,Jeffrey G McDonald,Arun Radhakrishnan,Jay D Horton

Cell death and differentiation 31:53-64 PubMed37978273

2023

TRIM3 facilitates ferroptosis in non-small cell lung cancer through promoting SLC7A11/xCT K11-linked ubiquitination and degradation.

Applications

Unspecified application

Species

Unspecified reactive species

Zhangjie Wang,Na Shen,Ziao Wang,Lei Yu,Song Yang,Yang Wang,Yu Liu,Gaohua Han,Qi Zhang

Journal of proteome research 22:3439-3446 PubMed37844105

2023

Identification of LMAN1- and SURF4-Dependent Secretory Cargoes.

Applications

Unspecified application

Species

Unspecified reactive species

Vi T Tang,Prabhodh S Abbineni,Felipe da Veiga Leprevost,Venkatesha Basrur,Rami Khoriaty,Brian T Emmer,Alexey I Nesvizhskii,David Ginsburg

Oral diseases 30:2039-2050 PubMed37649401

2023

LGALS3BP is a potential target of antibody-drug conjugates in oral squamous cell carcinoma.

Applications

Unspecified application

Species

Unspecified reactive species

Ilaria Cela,Vito Carlo Alberto Caponio,Emily Capone,Morena Pinti,Marco Mascitti,Lucrezia Togni,Lorenzo Lo Muzio,Corrado Rubini,Vincenzo De Laurenzi,Rossano Lattanzio,Vittoria Perrotti,Gianluca Sala

Diabetologia 66:2042-2061 PubMed37537395

2023

SERCA2 regulates proinsulin processing and processing enzyme maturation in pancreatic beta cells.

Applications

Unspecified application

Species

Unspecified reactive species

Hitoshi Iida,Tatsuyoshi Kono,Chih-Chun Lee,Preethi Krishnan,Matthew C Arvin,Staci A Weaver,Timothy S Jarvela,Renato C S Branco,Madeline R McLaughlin,Robert N Bone,Xin Tong,Peter Arvan,Iris Lindberg,Carmella Evans-Molina
View all publications

Product promise

We are committed to supporting your work with high-quality reagents, and we're here for you every step of the way. In the unlikely event that one of our products does not perform as expected, you're protected by our Product Promise.
For full details, please see our Terms & Conditions

Please note: All products are 'FOR RESEARCH USE ONLY. NOT FOR USE IN DIAGNOSTIC OR THERAPEUTIC PROCEDURES'.

For licensing inquiries, please contact partnerships@abcam.com