JavaScript is disabled in your browser. Please enable JavaScript to view this website.
AB248096

Anti-LMAN1 antibody [EPR6979] - BSA and Azide free

  • BOND RX™ Validated
  • RabMAb
  • Recombinant
  • KO Validated
  • What is this?

Be the first to review this product! Submit a review

|

(1 Publication)

Rabbit Recombinant Monoclonal LMAN1 antibody. Carrier free. Suitable for IHC-P, ICC/IF, WB, Flow Cyt (Intra) and reacts with Human, Mouse, Rat samples. Cited in 1 publication.

View Alternative Names

ERGIC53, F5F8D, LMAN1, Protein ERGIC-53, ER-Golgi intermediate compartment 53 kDa protein, Gp58, Intracellular mannose-specific lectin MR60, Lectin mannose-binding 1

7 Images
Flow Cytometry (Intracellular) - Anti-LMAN1 antibody [EPR6979] - BSA and Azide free (AB248096)
  • Flow Cyt (Intra)

Lab

Flow Cytometry (Intracellular) - Anti-LMAN1 antibody [EPR6979] - BSA and Azide free (AB248096)

This data was developed using ab125006, the same antibody clone in a different buffer formulation. Intracellular Flow Cytometry analysis of HeLa (Human cervix adenocarcinoma epithelial cell) cells labeling LMAN1 with Purified ab125006 at 1/20 dilution (10 μg/mL) (Red). Cells were fixed with 4% Paraformaldehyde and permeabilised with 90% Methanol. A Goat anti rabbit IgG (Alexa Fluor® 488, ab150077) secondary antibody was used at 1/2000. Isotype control - Rabbit monoclonal IgG (Black). Unlabeled control - Cell without incubation with primary antibody and secondary antibody (Blue).

Immunocytochemistry/ Immunofluorescence - Anti-LMAN1 antibody [EPR6979] - BSA and Azide free (AB248096)
  • ICC/IF

Lab

Immunocytochemistry/ Immunofluorescence - Anti-LMAN1 antibody [EPR6979] - BSA and Azide free (AB248096)

This data was developed using ab125006, the same antibody clone in a different buffer formulation.
Immunocytochemistry analysis of 293T (Human embryonic kidney epithelial cell) cells labeling LMAN1 with Purified ab125006 at 1/50 dilution (2 µg/mL). Cells were fixed in 100% Methanol and permeabilized with None. Cells were counterstained with ab195889 Anti-alpha Tubulin antibody [DM1A] - Microtubule Marker (Alexa Fluor® 594) 1/200 dilution (2.5 µg/mL). Goat anti rabbit IgG (Alexa Fluor® 488, ab150077) was used as the secondary antibody at 1/1000 dilution (2 µg/mL). DAPI (blue) was used as nuclear counterstain. PBS instead of the primary antibody was used as the secondary antibody only control.

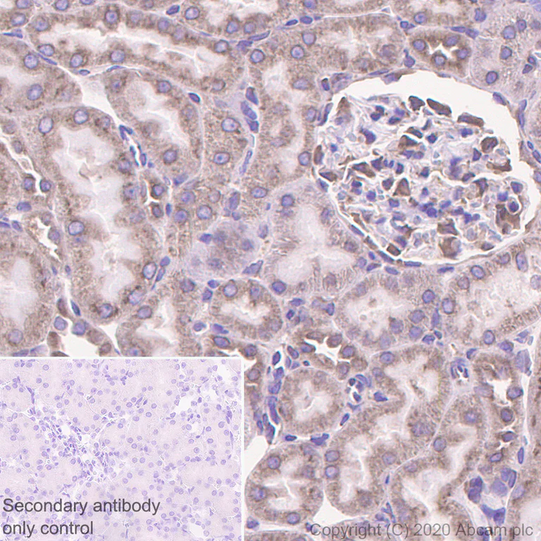
Immunohistochemistry (Formalin/PFA-fixed paraffin-embedded sections) - Anti-LMAN1 antibody [EPR6979] - BSA and Azide free (AB248096)
  • IHC-P

Lab

Immunohistochemistry (Formalin/PFA-fixed paraffin-embedded sections) - Anti-LMAN1 antibody [EPR6979] - BSA and Azide free (AB248096)

This data was developed using ab125006, the same antibody clone in a different buffer formulation.
Immunohistochemistry (Formalin/PFA-fixed paraffin-embedded sections) analysis of human kidney tissue sections labeling LMAN1 with Purified ab125006 at 1/500 dilution (0.21 µg/mL). Heat mediated antigen retrieval using Bond™ Epitope Retrieval Solution 2 (pH 9.0). Rabbit specific IHC polymer detection kit HRP/DAB (ab209101) was used as the secondary antibody. Negative control : PBS instead of the primary antibody. Hematoxylin was used as a counterstain.

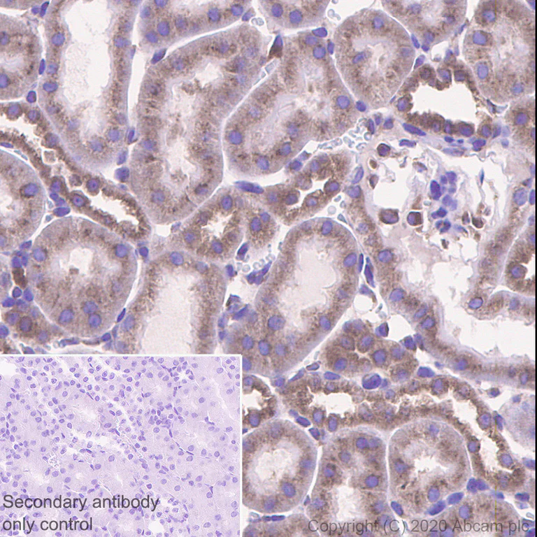
Immunohistochemistry (Formalin/PFA-fixed paraffin-embedded sections) - Anti-LMAN1 antibody [EPR6979] - BSA and Azide free (AB248096)
  • IHC-P

Lab

Immunohistochemistry (Formalin/PFA-fixed paraffin-embedded sections) - Anti-LMAN1 antibody [EPR6979] - BSA and Azide free (AB248096)

This data was developed using ab125006, the same antibody clone in a different buffer formulation.
Immunohistochemistry (Formalin/PFA-fixed paraffin-embedded sections) analysis of rat kidney tissue sections labeling LMAN1 with Purified ab125006 at 1/500 dilution (0.21 µg/mL). Heat mediated antigen retrieval using Bond™ Epitope Retrieval Solution 2 (pH 9.0). Rabbit specific IHC polymer detection kit HRP/DAB (ab209101) was used as the secondary antibody. Negative control : PBS instead of the primary antibody. Hematoxylin was used as a counterstain.

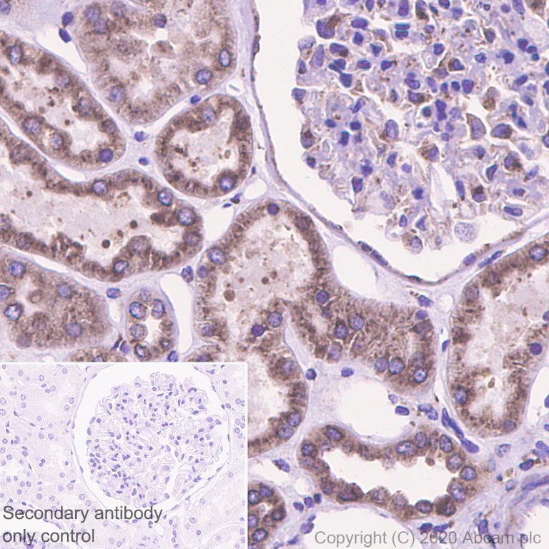
Immunohistochemistry (Formalin/PFA-fixed paraffin-embedded sections) - Anti-LMAN1 antibody [EPR6979] - BSA and Azide free (AB248096)
  • IHC-P

Lab

Immunohistochemistry (Formalin/PFA-fixed paraffin-embedded sections) - Anti-LMAN1 antibody [EPR6979] - BSA and Azide free (AB248096)

This data was developed using ab125006, the same antibody clone in a different buffer formulation.
Immunohistochemistry (Formalin/PFA-fixed paraffin-embedded sections) analysis of mouse kidney tissue sections labeling LMAN1 with Purified ab125006 at 1/500 dilution (0.21 µg/mL). Heat mediated antigen retrieval using Bond™ Epitope Retrieval Solution 2 (pH 9.0). Rabbit specific IHC polymer detection kit HRP/DAB (ab209101) was used as the secondary antibody. Negative control : PBS instead of the primary antibody. Hematoxylin was used as a counterstain.

Western blot - Anti-LMAN1 antibody [EPR6979] - BSA and Azide free (AB248096)
  • WB

Unknown

Western blot - Anti-LMAN1 antibody [EPR6979] - BSA and Azide free (AB248096)

All lanes:

Western blot - Anti-LMAN1 antibody [EPR6979] (<a href='/en-us/products/primary-antibodies/lman1-antibody-epr6979-ab125006'>ab125006</a>) at 1/1000 dilution

Lane 1:

Jurkat (Human T cell leukemia T lymphocyte) whole cell lysate at 20 µg

Lane 2:

HeLa (Human cervix adenocarcinoma epithelial cell) whole cell lysate at 20 µg

Lane 3:

Mouse spleen lysate at 20 µg

Lane 4:

Mouse heart lysate at 20 µg

Lane 5:

Rat spleen lysate at 20 µg

Lane 6:

Rat heart lysate at 20 µg

Lane 7:

HEK-293 (Human embryonic kidney epithelial cell) whole cell lysate at 20 µg

Secondary

All lanes:

Western blot - Goat Anti-Rabbit IgG H&L (HRP) (<a href='/en-us/products/secondary-antibodies/goat-rabbit-igg-h-l-hrp-ab97051'>ab97051</a>) at 1/20000 dilution

Predicted band size: 58 kDa

false

Western blot - Anti-LMAN1 antibody [EPR6979] - BSA and Azide free (AB248096)
  • WB

Lab

Western blot - Anti-LMAN1 antibody [EPR6979] - BSA and Azide free (AB248096)

This data was developed using the same antibody clone in a different buffer formulation (ab125006).

Lanes 1-4 : Merged signal (red and green). Green - ab125006 observed at 55 kDa. Red - loading control ab8245 observed at 37 kDa.

ab125006 Anti-LMAN1 antibody [EPR6979] was shown to specifically react with Protein ERGIC-53 in wild-type HEK-293T cells. Loss of signal was observed when knockout cell line ab266248 (knockout cell lysate ab257505) was used. Wild-type and Protein ERGIC-53 knockout samples were subjected to SDS-PAGE. ab125006 and Anti-GAPDH antibody [6C5] - Loading Control (ab8245) were incubated overnight at 4°CC at 1 in 1000 Dilution and 1 in 20000 dilution respectively. Blots were developed with Goat anti-Rabbit IgG H&L (IRDye® 800CW) preadsorbed (ab216773) and Goat anti-Mouse IgG H&L (IRDye® 680RD) preadsorbed (ab216776) secondary antibodies at 1 in 20000 dilution for 1 hour at room temperature before imaging.

All lanes:

Western blot - Anti-LMAN1 antibody [EPR6979] (<a href='/en-us/products/primary-antibodies/lman1-antibody-epr6979-ab125006'>ab125006</a>) at 1/1000 dilution

Lane 1:

Wild-type HEK-293T cell lysate at 20 µg

Lane 2:

LMAN1 knockout HEK-293T cell lysate at 20 µg

Lane 2:

Western blot - Human LMAN1 knockout HEK-293T cell line (<a href='/en-us/products/cell-lines/human-lman1-knockout-hek-293t-cell-line-ab266248'>ab266248</a>)

Lane 3:

HeLa cell lysate at 20 µg

Lane 4:

Daudi cell lysate at 20 µg

Predicted band size: 58 kDa

Observed band size: 55 kDa

false

Key facts

Host species

Rabbit

Clonality

Monoclonal

Clone number

EPR6979

Isotype

IgG

Carrier free

Yes

Reacts with

Mouse, Rat, Human

Applications

Flow Cyt (Intra), WB, ICC/IF, IHC-P

applications

Immunogen

The exact immunogen used to generate this antibody is proprietary information.

Reactivity data

{ "title": "Reactivity Data", "filters": { "stats": ["", "Species", "Dilution Info", "Notes"], "tabs": { "all-applications": {"fullname" : "All Applications", "shortname": "All Applications"}, "IHCP" : {"fullname" : "Immunohistochemistry (Formalin/PFA-fixed paraffin-embedded sections)", "shortname":"IHC-P"}, "ICCIF" : {"fullname" : "Immunocytochemistry/ Immunofluorescence", "shortname":"ICC/IF"}, "WB" : {"fullname" : "Western blot", "shortname":"WB"}, "FlowCytIntra" : {"fullname" : "Flow Cytometry (Intracellular)", "shortname":"Flow Cyt (Intra)"} }, "product-promise": { "all": "all", "testedAndGuaranteed": "tested", "guaranteed": "expected", "predicted": "predicted", "notRecommended": "not-recommended" } }, "values": { "Human": { "IHCP-species-checked": "testedAndGuaranteed", "IHCP-species-dilution-info": "", "IHCP-species-notes": "<p>Heat up to 98°C, below boiling, and then let cool for 10-20 min.</p>", "ICCIF-species-checked": "testedAndGuaranteed", "ICCIF-species-dilution-info": "", "ICCIF-species-notes": "<p></p>", "WB-species-checked": "testedAndGuaranteed", "WB-species-dilution-info": "", "WB-species-notes": "<p></p>", "FlowCytIntra-species-checked": "testedAndGuaranteed", "FlowCytIntra-species-dilution-info": "", "FlowCytIntra-species-notes": "<p></p>" }, "Mouse": { "IHCP-species-checked": "testedAndGuaranteed", "IHCP-species-dilution-info": "", "IHCP-species-notes": "<p>Heat up to 98°C, below boiling, and then let cool for 10-20 min.</p>", "ICCIF-species-checked": "guaranteed", "ICCIF-species-dilution-info": "", "ICCIF-species-notes": "<p></p>", "WB-species-checked": "testedAndGuaranteed", "WB-species-dilution-info": "", "WB-species-notes": "<p></p>", "FlowCytIntra-species-checked": "guaranteed", "FlowCytIntra-species-dilution-info": "", "FlowCytIntra-species-notes": "<p></p>" }, "Rat": { "IHCP-species-checked": "testedAndGuaranteed", "IHCP-species-dilution-info": "", "IHCP-species-notes": "<p>Heat up to 98°C, below boiling, and then let cool for 10-20 min.</p>", "ICCIF-species-checked": "guaranteed", "ICCIF-species-dilution-info": "", "ICCIF-species-notes": "<p></p>", "WB-species-checked": "testedAndGuaranteed", "WB-species-dilution-info": "", "WB-species-notes": "<p></p>", "FlowCytIntra-species-checked": "guaranteed", "FlowCytIntra-species-dilution-info": "", "FlowCytIntra-species-notes": "<p></p>" } } }

Product details

ab248096 is the carrier-free version of ab125006.

Patented technology
Our RabMAb® technology is a patented hybridoma-based technology for making rabbit monoclonal antibodies. For details on our patents, please refer to RabMAb® patents.

What are the advantages of a recombinant monoclonal antibody?
This product is a recombinant monoclonal antibody, which offers several advantages including:

  • - High batch-to-batch consistency and reproducibility
  • - Improved sensitivity and specificity
  • - Long-term security of supply
  • - Animal-free batch production

For more information, read more on recombinant antibodies.

Conjugation ready
Our carrier-free antibodies are typically supplied in a PBS-only formulation, purified and free of BSA, sodium azide and glycerol. This conjugation-ready format is designed for use with fluorochromes, metal isotopes, oligonucleotides, and enzymes, which makes them ideal for antibody labelling, functional and cell-based assays, flow-based assays (e.g. mass cytometry) and Multiplex Imaging applications.

Use our conjugation kits for antibody conjugates that are ready-to-use in as little as 20 minutes with 1 minute hands-on-time and 100% antibody recovery: available for fluorescent dyes, HRP, biotin and gold.

Compatibility
This product is compatible with the Maxpar® Antibody Labeling Kit from Fluidigm, without the need for antibody preparation. Maxpar® is a trademark of Fluidigm Canada Inc.

Properties and storage information

Form
Liquid
Purification technique
Affinity purification Protein A
Storage buffer
pH: 7.2 - 7.4 Constituents: PBS
Shipped at conditions
Blue Ice
Appropriate short-term storage conditions
+4°C
Appropriate long-term storage conditions
+4°C
Storage information
Do Not Freeze

Supplementary information

This supplementary information is collated from multiple sources and compiled automatically.

LMAN1 also known as ERGIC-53 or lectin mannose-binding 1 is a protein involved in the transport and quality control of glycoproteins. It has a mass of approximately 53 kDa. LMAN1 primarily expresses in the endoplasmic reticulum-Golgi intermediate compartment (ERGIC) and is important for efficient cargo sorting and proper folding. It functions by binding to specific carbohydrate moieties on glycoproteins aiding their transport between the ER and Golgi apparatus.
Biological function summary

LMAN1 functions significantly within a protein complex known as the LMAN1-MCFD2 complex. It serves an essential role as a cargo receptor for glycoproteins particularly those with particular mannose-rich domains influencing their secretion and stability. This protein complex is integral in maintaining protein homeostasis and cellular physiology by ensuring the correct sorting and transport of glycoproteins from the ER to the Golgi.

Pathways

LMAN1 significantly participates in the secretory pathway and quality control mechanisms in the cell. It interacts with proteins such as MCFD2 to mediate the transport of specific glycoproteins like α1-antitrypsin through the secretory pathway. This pathway is important for the secretion of a variety of proteins and disruptions can lead to disorders associated with improper protein folding and trafficking.

Defects in LMAN1 can lead to bleeding disorders such as combined coagulation factor V and VIII deficiency. The protein's dysfunction impairs the transport of coagulation factors disrupting their secretion. Additionally proteins like MCFD2 work closely with LMAN1 in this context as mutations in either protein can cause a similar deficiency highlighting the significant role of LMAN1 in maintaining normal hemostatic processes.

Product protocols

For this product, it's our understanding that no specific protocols are required. You can visit:

Target data

Mannose-specific lectin. May recognize sugar residues of glycoproteins, glycolipids, or glycosylphosphatidyl inositol anchors and may be involved in the sorting or recycling of proteins, lipids, or both. The LMAN1-MCFD2 complex forms a specific cargo receptor for the ER-to-Golgi transport of selected proteins.
See full target information LMAN1

Publications (1)

Recent publications for all applications. Explore the full list and refine your search

International journal of molecular sciences 23: PubMed35269806

2022

Modulation of Gut Microbiota Combined with Upregulation of Intestinal Tight Junction Explains Anti-Inflammatory Effect of Corylin on Colitis-Associated Cancer in Mice.

Applications

Unspecified application

Species

Unspecified reactive species

Zi-Yu Chang,Hsuan-Miao Liu,Yann-Lii Leu,Chung-Hua Hsu,Tzung-Yan Lee
View all publications

Product promise

We are committed to supporting your work with high-quality reagents, and we're here for you every step of the way. In the unlikely event that one of our products does not perform as expected, you're protected by our Product Promise.
For full details, please see our Terms & Conditions

Please note: All products are 'FOR RESEARCH USE ONLY. NOT FOR USE IN DIAGNOSTIC OR THERAPEUTIC PROCEDURES'.

For licensing inquiries, please contact partnerships@abcam.com