JavaScript is disabled in your browser. Please enable JavaScript to view this website.
AB126720

Anti-LMAN1 antibody [EPR6980]

Be the first to review this product! Submit a review

|

(1 Publication)

Rabbit Recombinant Monoclonal LMAN1 antibody. Suitable for WB, IHC-P and reacts with Human samples. Cited in 1 publication.

View Alternative Names

ERGIC53, F5F8D, LMAN1, Protein ERGIC-53, ER-Golgi intermediate compartment 53 kDa protein, Gp58, Intracellular mannose-specific lectin MR60, Lectin mannose-binding 1

4 Images
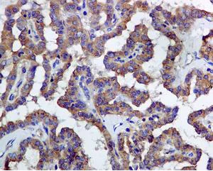
Immunohistochemistry (Formalin/PFA-fixed paraffin-embedded sections) - Anti-LMAN1 antibody [EPR6980] (AB126720)
  • IHC-P

Unknown

Immunohistochemistry (Formalin/PFA-fixed paraffin-embedded sections) - Anti-LMAN1 antibody [EPR6980] (AB126720)

ab126720, at 1/50 dilution, stains LMAN1 in paraffin-embedded papillary adenocarcinoma tissue by immunohistochemistry.

Perform heat mediated antigen retrieval with citrate buffer pH 6 before commencing with IHC staining protocol.

Western blot - Anti-LMAN1 antibody [EPR6980] (AB126720)
  • WB

Lab

Western blot - Anti-LMAN1 antibody [EPR6980] (AB126720)

Lanes 1-4 : Merged signal (red and green). Green - ab126720 observed at 55 kDa. Red - loading control ab8245 observed at 37 kDa.

ab126720 Anti-LMAN1 antibody [EPR6980] was shown to specifically react with Protein ERGIC-53 in wild-type HEK-293T cells. Loss of signal was observed when knockout cell line ab266248 (knockout cell lysate ab257505) was used. Wild-type and Protein ERGIC-53 knockout samples were subjected to SDS-PAGE. ab126720 and Anti-GAPDH antibody [6C5] - Loading Control (ab8245) were incubated overnight at 4°CC at 1 in 1000 Dilution and 1 in 20000 dilution respectively. Blots were developed with Goat anti-Rabbit IgG H&L (IRDye® 800CW) preadsorbed (ab216773) and Goat anti-Mouse IgG H&L (IRDye® 680RD) preadsorbed (ab216776) secondary antibodies at 1 in 20000 dilution for 1 hour at room temperature before imaging.

All lanes:

Western blot - Anti-LMAN1 antibody [EPR6980] (ab126720) at 1/1000 dilution

Lane 1:

Wild-type HEK-293T cell lysate at 20 µg

Lane 2:

LMAN1 knockout HEK-293T cell lysate at 20 µg

Lane 2:

Western blot - Human LMAN1 knockout HEK-293T cell line (<a href='/en-us/products/cell-lines/human-lman1-knockout-hek-293t-cell-line-ab266248'>ab266248</a>)

Lane 3:

HeLa cell lysate at 20 µg

Lane 4:

Daudi cell lysate at 20 µg

Predicted band size: 58 kDa

Observed band size: 55 kDa

false

Western blot - Anti-LMAN1 antibody [EPR6980] (AB126720)
  • WB

Unknown

Western blot - Anti-LMAN1 antibody [EPR6980] (AB126720)

All lanes:

Western blot - Anti-LMAN1 antibody [EPR6980] (ab126720) at 1/1000 dilution

Lane 1:

HeLa cell lysates

Lane 2:

NCI-H460 cell lysates

Lane 3:

JAR cell lysates

Predicted band size: 58 kDa

false

OI-RD Scanning - Anti-LMAN1 antibody [EPR6980] (AB126720)
  • OI-RD Scanning

Unknown

OI-RD Scanning - Anti-LMAN1 antibody [EPR6980] (AB126720)

We have systematically measured KD (the equilibrium dissociation constant between the antibody and its antigen), of more than 840 recombinant antibodies to assess not only their individual KD values but also to see the average affinity of antibody. Based on the comparison with published literature values for mouse monoclonal antibodies, Recombinant antibodies appear to be on average 1-2 order of magnitude higher affinity.

  • Carrier free

    Anti-LMAN1 antibody [EPR6980] - BSA and Azide free

Key facts

Host species

Rabbit

Clonality

Monoclonal

Clone number

EPR6980

Isotype

IgG

Carrier free

No

Reacts with

Human

Applications

IHC-P, WB

applications

Immunogen

The exact immunogen used to generate this antibody is proprietary information.

Reactivity data

{ "title": "Reactivity Data", "filters": { "stats": ["", "Species", "Dilution Info", "Notes"], "tabs": { "all-applications": {"fullname" : "All Applications", "shortname": "All Applications"}, "IP" : {"fullname" : "Immunoprecipitation", "shortname":"IP"}, "FlowCyt" : {"fullname" : "Flow Cytometry", "shortname":"Flow Cyt"}, "WB" : {"fullname" : "Western blot", "shortname":"WB"}, "IHCP" : {"fullname" : "Immunohistochemistry (Formalin/PFA-fixed paraffin-embedded sections)", "shortname":"IHC-P"} }, "product-promise": { "all": "all", "testedAndGuaranteed": "tested", "guaranteed": "expected", "predicted": "predicted", "notRecommended": "not-recommended" } }, "values": { "Human": { "IP-species-checked": "notRecommended", "IP-species-dilution-info": "", "IP-species-notes": "<p></p>", "FlowCyt-species-checked": "notRecommended", "FlowCyt-species-dilution-info": "", "FlowCyt-species-notes": "<p></p>", "WB-species-checked": "testedAndGuaranteed", "WB-species-dilution-info": "1/1000 - 1/10000", "WB-species-notes": "<p></p>", "IHCP-species-checked": "testedAndGuaranteed", "IHCP-species-dilution-info": "1/50 - 1/100", "IHCP-species-notes": "<p>Antigen retrieval is recommended.</p>" }, "Mouse": { "IP-species-checked": "notRecommended", "IP-species-dilution-info": "", "IP-species-notes": "", "FlowCyt-species-checked": "notRecommended", "FlowCyt-species-dilution-info": "", "FlowCyt-species-notes": "", "WB-species-checked": "predicted", "WB-species-dilution-info": "", "WB-species-notes": "", "IHCP-species-checked": "predicted", "IHCP-species-dilution-info": "", "IHCP-species-notes": "" }, "Rat": { "IP-species-checked": "notRecommended", "IP-species-dilution-info": "", "IP-species-notes": "", "FlowCyt-species-checked": "notRecommended", "FlowCyt-species-dilution-info": "", "FlowCyt-species-notes": "", "WB-species-checked": "predicted", "WB-species-dilution-info": "", "WB-species-notes": "", "IHCP-species-checked": "predicted", "IHCP-species-dilution-info": "", "IHCP-species-notes": "" } } }

Product details

Patented technology
Our RabMAb® technology is a patented hybridoma-based technology for making rabbit monoclonal antibodies. For details on our patents, please refer to RabMAb® patents.

What are the advantages of a recombinant monoclonal antibody?
This product is a recombinant monoclonal antibody, which offers several advantages including:

  • - High batch-to-batch consistency and reproducibility
  • - Improved sensitivity and specificity
  • - Long-term security of supply
  • - Animal-free batch production

For more information, read more on recombinant antibodies.

Properties and storage information

Form
Liquid
Purification technique
Affinity purification Protein A
Storage buffer
pH: 7.2 - 7.4 Preservative: 0.01% Sodium azide Constituents: PBS, 50% Tissue culture supernatant, 40% Glycerol (glycerin, glycerine), 0.05% BSA
Shipped at conditions
Blue Ice
Appropriate short-term storage conditions
+4°C
Appropriate long-term storage conditions
-20°C
Storage information
Stable for 12 months at -20°C

Supplementary information

This supplementary information is collated from multiple sources and compiled automatically.

LMAN1 also known as ERGIC-53 or lectin mannose-binding 1 is a protein involved in the transport and quality control of glycoproteins. It has a mass of approximately 53 kDa. LMAN1 primarily expresses in the endoplasmic reticulum-Golgi intermediate compartment (ERGIC) and is important for efficient cargo sorting and proper folding. It functions by binding to specific carbohydrate moieties on glycoproteins aiding their transport between the ER and Golgi apparatus.
Biological function summary

LMAN1 functions significantly within a protein complex known as the LMAN1-MCFD2 complex. It serves an essential role as a cargo receptor for glycoproteins particularly those with particular mannose-rich domains influencing their secretion and stability. This protein complex is integral in maintaining protein homeostasis and cellular physiology by ensuring the correct sorting and transport of glycoproteins from the ER to the Golgi.

Pathways

LMAN1 significantly participates in the secretory pathway and quality control mechanisms in the cell. It interacts with proteins such as MCFD2 to mediate the transport of specific glycoproteins like α1-antitrypsin through the secretory pathway. This pathway is important for the secretion of a variety of proteins and disruptions can lead to disorders associated with improper protein folding and trafficking.

Defects in LMAN1 can lead to bleeding disorders such as combined coagulation factor V and VIII deficiency. The protein's dysfunction impairs the transport of coagulation factors disrupting their secretion. Additionally proteins like MCFD2 work closely with LMAN1 in this context as mutations in either protein can cause a similar deficiency highlighting the significant role of LMAN1 in maintaining normal hemostatic processes.

Product protocols

For this product, it's our understanding that no specific protocols are required. You can visit:

Target data

Mannose-specific lectin. May recognize sugar residues of glycoproteins, glycolipids, or glycosylphosphatidyl inositol anchors and may be involved in the sorting or recycling of proteins, lipids, or both. The LMAN1-MCFD2 complex forms a specific cargo receptor for the ER-to-Golgi transport of selected proteins.
See full target information LMAN1

Publications (1)

Recent publications for all applications. Explore the full list and refine your search

Cell reports 32:108154 PubMed32937139

2020

Protein Stability Buffers the Cost of Translation Attenuation following eIF2α Phosphorylation.

Applications

Unspecified application

Species

Unspecified reactive species

Kim Schneider,Geoffrey Michael Nelson,Joseph Luke Watson,Jörg Morf,Maximillian Dalglish,Laura Martina Luh,Annika Weber,Anne Bertolotti
View all publications

Product promise

We are committed to supporting your work with high-quality reagents, and we're here for you every step of the way. In the unlikely event that one of our products does not perform as expected, you're protected by our Product Promise.
For full details, please see our Terms & Conditions

Please note: All products are 'FOR RESEARCH USE ONLY. NOT FOR USE IN DIAGNOSTIC OR THERAPEUTIC PROCEDURES'.

For licensing inquiries, please contact partnerships@abcam.com