JavaScript is disabled in your browser. Please enable JavaScript to view this website.
AB121788

Anti-LMCD1 antibody

Be the first to review this product! Submit a review

|

(1 Publication)

Rabbit Polyclonal LMCD1 antibody. Suitable for IHC-P, WB, ICC/IF and reacts with Human samples. Cited in 1 publication. Immunogen corresponding to Recombinant Fragment Protein within Human LMCD1 aa 150-300.

View Alternative Names

LIM and cysteine-rich domains protein 1, Dyxin, LMCD1

3 Images
Immunocytochemistry/ Immunofluorescence - Anti-LMCD1 antibody (AB121788)
  • ICC/IF

Unknown

Immunocytochemistry/ Immunofluorescence - Anti-LMCD1 antibody (AB121788)

Immunofluorescent staining of Human cell line A-431 shows positivity in plasma membrane and cell junctions. Recommended concentration of ab121788 1-4 µg/ml. Cells treated with PFA/Triton X-100.

Immunohistochemistry (Formalin/PFA-fixed paraffin-embedded sections) - Anti-LMCD1 antibody (AB121788)
  • IHC-P

Unknown

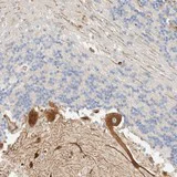
Immunohistochemistry (Formalin/PFA-fixed paraffin-embedded sections) - Anti-LMCD1 antibody (AB121788)

ab121788, at 1/400 dilution, staining LMCD1 in paraffin-embedded Human cerebellum tissue, by Immunohistochemistry.

Western blot - Anti-LMCD1 antibody (AB121788)
  • WB

Unknown

Western blot - Anti-LMCD1 antibody (AB121788)

All lanes:

Western blot - Anti-LMCD1 antibody (ab121788) at 1/250 dilution

Lane 1:

RT-4 cell lysate

Lane 2:

U-251 MG cell lysate

Lane 3:

Human Plasma

Lane 4:

Human Liver lysate

Lane 5:

Human Tonsil lysate

Predicted band size: 41 kDa

true

Key facts

Host species

Rabbit

Clonality

Polyclonal

Isotype

IgG

Carrier free

No

Reacts with

Human

Applications

ICC/IF, WB, IHC-P

applications

Immunogen

Recombinant Fragment Protein within Human LMCD1 aa 150-300. The exact immunogen used to generate this antibody is proprietary information.

Q9NZU5

Reactivity data

{ "title": "Reactivity Data", "filters": { "stats": ["", "Species", "Dilution Info", "Notes"], "tabs": { "all-applications": {"fullname" : "All Applications", "shortname": "All Applications"}, "IHCP" : {"fullname" : "Immunohistochemistry (Formalin/PFA-fixed paraffin-embedded sections)", "shortname":"IHC-P"}, "WB" : {"fullname" : "Western blot", "shortname":"WB"}, "ICCIF" : {"fullname" : "Immunocytochemistry/ Immunofluorescence", "shortname":"ICC/IF"} }, "product-promise": { "all": "all", "testedAndGuaranteed": "tested", "guaranteed": "expected", "predicted": "predicted", "notRecommended": "not-recommended" } }, "values": { "Human": { "IHCP-species-checked": "testedAndGuaranteed", "IHCP-species-dilution-info": "1/200 - 1/500", "IHCP-species-notes": "<p></p> Perform heat-mediated antigen retrieval with citrate buffer pH 6 before commencing with IHC staining protocol.", "WB-species-checked": "testedAndGuaranteed", "WB-species-dilution-info": "0.04-0.4 µg/mL", "WB-species-notes": "<p></p>", "ICCIF-species-checked": "testedAndGuaranteed", "ICCIF-species-dilution-info": "0.25-2 µg/mL", "ICCIF-species-notes": "<p></p>" } } }

Properties and storage information

Form
Liquid
Purification technique
Affinity purification Immunogen
Storage buffer
pH: 7.2 Preservative: 0.02% Sodium azide Constituents: PBS, 40% Glycerol (glycerin, glycerine)
Shipped at conditions
Blue Ice
Appropriate short-term storage conditions
+4°C
Appropriate long-term storage conditions
-20°C
Aliquoting information
Upon delivery aliquot
Storage information
Avoid freeze / thaw cycle

Supplementary information

This supplementary information is collated from multiple sources and compiled automatically.

LMCD1 also known as LIM and cysteine-rich domains protein 1 is a protein that plays several roles at the cell level. This protein has a mass of approximately 39 kDa. LMCD1 is expressed in various tissues in the body including the heart and liver. It contains LIM domains which are important for protein-protein interactions and cysteine-rich domains which contribute to its function.
Biological function summary

LMCD1 regulates gene expression by acting as a transcriptional co-regulator. It is not part of a large complex but interacts with other proteins to modulate cardiac and hepatic functions. By affecting transcription LMCD1 influences development and maintenance of specific tissue structures including heart muscle and liver tissues.

Pathways

LMCD1 plays a role in the regulation of the Wnt signaling pathway vital for cardiac and hepatic development. It interacts with beta-catenin a central protein in this pathway impacting cell growth and differentiation. LMCD1 also has connections to the TGF-beta signaling pathway where it associates with Smad proteins that mediate cellular responses.

LMCD1 links to cardiac hypertrophy and hepatocellular carcinoma. In cardiac hypertrophy it interacts with GATA4 a transcription factor involved in heart muscle growth. In hepatocellular carcinoma changes in LMCD1 expression can disrupt normal cell proliferation by altering TGF-beta signaling affecting several downstream targets including SMAD proteins.

Product protocols

For this product, it's our understanding that no specific protocols are required. You can visit:

Target data

Transcriptional cofactor that restricts GATA6 function by inhibiting DNA-binding, resulting in repression of GATA6 transcriptional activation of downstream target genes. Represses GATA6-mediated trans activation of lung- and cardiac tissue-specific promoters. Inhibits DNA-binding by GATA4 and GATA1 to the cTNC promoter (By similarity). Plays a critical role in the development of cardiac hypertrophy via activation of calcineurin/nuclear factor of activated T-cells signaling pathway.
See full target information LMCD1

Publications (1)

Recent publications for all applications. Explore the full list and refine your search

Frontiers in cell and developmental biology 9:684259 PubMed34307361

2021

Development and Validation of a Ferroptosis-Related Gene Signature for Overall Survival Prediction in Lung Adenocarcinoma.

Applications

Unspecified application

Species

Unspecified reactive species

Qi Tian,Yan Zhou,Lizhe Zhu,Huan Gao,Jin Yang
View all publications

Product promise

We are committed to supporting your work with high-quality reagents, and we're here for you every step of the way. In the unlikely event that one of our products does not perform as expected, you're protected by our Product Promise.
For full details, please see our Terms & Conditions

Please note: All products are 'FOR RESEARCH USE ONLY. NOT FOR USE IN DIAGNOSTIC OR THERAPEUTIC PROCEDURES'.

For licensing inquiries, please contact partnerships@abcam.com