JavaScript is disabled in your browser. Please enable JavaScript to view this website.
AB254270

Anti-LMO2 antibody [EPR22404-45] - BSA and Azide free

Be the first to review this product! Submit a review

|

(1 Publication)

Rabbit Recombinant Monoclonal LMO2 antibody. Carrier free. Suitable for IHC-P and reacts with Human, Mouse, Rat samples. Cited in 1 publication.

View Alternative Names

RBTN2, RBTNL1, RHOM2, TTG2, LMO2, Rhombotin-2, Cysteine-rich protein TTG-2, LIM domain only protein 2, T-cell translocation protein 2, LMO-2

4 Images
Immunohistochemistry (Formalin/PFA-fixed paraffin-embedded sections) - Anti-LMO2 antibody [EPR22404-45] - BSA and Azide free (AB254270)
  • IHC-P

Unknown

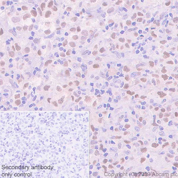
Immunohistochemistry (Formalin/PFA-fixed paraffin-embedded sections) - Anti-LMO2 antibody [EPR22404-45] - BSA and Azide free (AB254270)

Immunohistochemical analysis of paraffin-embedded human diffuse large B-cell lymphoma tissue labeling LM02 with ab245250 at 1/1000 dilution, followed by a ready to use Goat Anti-Rabbit IgG H&L (HRP). Nuclear staining in human diffuse large B-cell lymphoma (PMID : 17038524) is observed. Counterstained with hematoxylin. Secondary antibody only control : Used PBS instead of primary antibody, secondary antibody is a ready to use Goat Anti-Rabbit IgG H&L (HRP).

This data was developed using the same antibody clone in a different buffer formulation containing PBS, BSA, glycerol, and sodium azide (ab245250).

Perform heat mediated antigen retrieval with Tris/EDTA buffer pH 9.0 before commencing with IHC staining protocol.

Immunohistochemistry (Formalin/PFA-fixed paraffin-embedded sections) - Anti-LMO2 antibody [EPR22404-45] - BSA and Azide free (AB254270)
  • IHC-P

Unknown

Immunohistochemistry (Formalin/PFA-fixed paraffin-embedded sections) - Anti-LMO2 antibody [EPR22404-45] - BSA and Azide free (AB254270)

Immunohistochemical analysis of paraffin-embedded human tonsil tissue labeling LM02 with ab245250 at 1/1000 dilution, followed by a ready to use Goat Anti-Rabbit IgG H&L (HRP). Nuclear staining in germinal center of human tonsil (PMID : 17038524) is observed. Counterstained with hematoxylin. Secondary antibody only control : Used PBS instead of primary antibody, secondary antibody is a ready to use Goat Anti-Rabbit IgG H&L (HRP).

This data was developed using the same antibody clone in a different buffer formulation containing PBS, BSA, glycerol, and sodium azide (ab245250).

Perform heat mediated antigen retrieval with Tris/EDTA buffer pH 9.0 before commencing with IHC staining protocol.

Immunohistochemistry (Formalin/PFA-fixed paraffin-embedded sections) - Anti-LMO2 antibody [EPR22404-45] - BSA and Azide free (AB254270)
  • IHC-P

Unknown

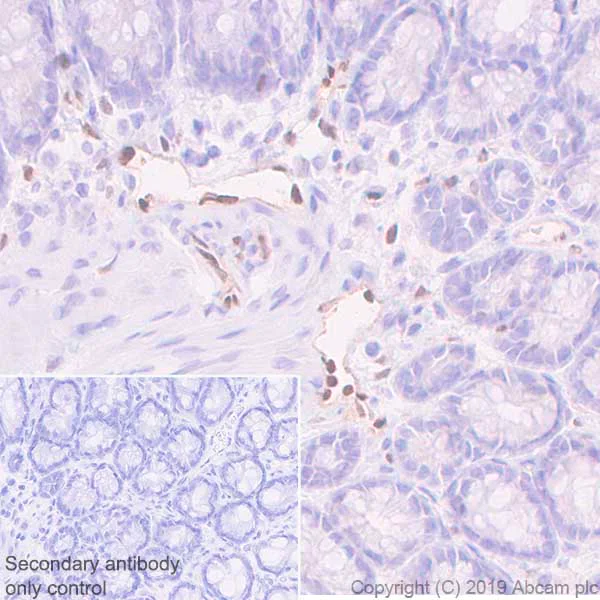
Immunohistochemistry (Formalin/PFA-fixed paraffin-embedded sections) - Anti-LMO2 antibody [EPR22404-45] - BSA and Azide free (AB254270)

Immunohistochemical analysis of paraffin-embedded rat colon tissue labeling LM02 with ab245250 at 1/1000 dilution, followed by a ready to use Goat Anti-Rabbit IgG H&L (HRP). Nuclear staining in endothelial cells of rat colon (PMID : 19141387) is onserved. Counterstained with hematoxylin. Secondary antibody only control : Used PBS instead of primary antibody, secondary antibody is a ready to use Goat Anti-Rabbit IgG H&L (HRP).

This data was developed using the same antibody clone in a different buffer formulation containing PBS, BSA, glycerol, and sodium azide (ab245250).

Perform heat mediated antigen retrieval with Tris/EDTA buffer pH 9.0 before commencing with IHC staining protocol.

Immunohistochemistry (Formalin/PFA-fixed paraffin-embedded sections) - Anti-LMO2 antibody [EPR22404-45] - BSA and Azide free (AB254270)
  • IHC-P

Unknown

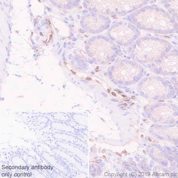
Immunohistochemistry (Formalin/PFA-fixed paraffin-embedded sections) - Anti-LMO2 antibody [EPR22404-45] - BSA and Azide free (AB254270)

Immunohistochemical analysis of paraffin-embedded mouse colon tissue labeling LM02 with ab245250 at 1/1000 dilution, followed by a ready to use Goat Anti-Rabbit IgG H&L (HRP). Nuclear staining in endothelial cells of mouse colon (PMID : 19141387) is observed. Counterstained with hematoxylin. Secondary antibody only control : Used PBS instead of primary antibody, secondary antibody is a ready to use Goat Anti-Rabbit IgG H&L (HRP).

This data was developed using the same antibody clone in a different buffer formulation containing PBS, BSA, glycerol, and sodium azide (ab245250).

Perform heat mediated antigen retrieval with Tris/EDTA buffer pH 9.0 before commencing with IHC staining protocol.

Key facts

Host species

Rabbit

Clonality

Monoclonal

Clone number

EPR22404-45

Isotype

IgG

Carrier free

Yes

Reacts with

Mouse, Rat, Human

Applications

IHC-P

applications

Immunogen

The exact immunogen used to generate this antibody is proprietary information.

Reactivity data

{ "title": "Reactivity Data", "filters": { "stats": ["", "Species", "Dilution Info", "Notes"], "tabs": { "all-applications": {"fullname" : "All Applications", "shortname": "All Applications"}, "IHCP" : {"fullname" : "Immunohistochemistry (Formalin/PFA-fixed paraffin-embedded sections)", "shortname":"IHC-P"}, "IP" : {"fullname" : "Immunoprecipitation", "shortname":"IP"}, "FlowCyt" : {"fullname" : "Flow Cytometry", "shortname":"Flow Cyt"}, "WB" : {"fullname" : "Western blot", "shortname":"WB"}, "ICCIF" : {"fullname" : "Immunocytochemistry/ Immunofluorescence", "shortname":"ICC/IF"} }, "product-promise": { "all": "all", "testedAndGuaranteed": "tested", "guaranteed": "expected", "predicted": "predicted", "notRecommended": "not-recommended" } }, "values": { "Human": { "IHCP-species-checked": "testedAndGuaranteed", "IHCP-species-dilution-info": "", "IHCP-species-notes": "<p>Heat mediated antigen retrieval using <a href='/en-us/products/buffers/antigen-retrieval-buffer-100x-tris-edta-buffer-ph-90-ab93684'>ab93684</a> (Tris/EDTA buffer, pH 9.0).</p>", "IP-species-checked": "notRecommended", "IP-species-dilution-info": "", "IP-species-notes": "<p></p>", "FlowCyt-species-checked": "notRecommended", "FlowCyt-species-dilution-info": "", "FlowCyt-species-notes": "<p></p>", "WB-species-checked": "notRecommended", "WB-species-dilution-info": "", "WB-species-notes": "<p></p>", "ICCIF-species-checked": "notRecommended", "ICCIF-species-dilution-info": "", "ICCIF-species-notes": "<p></p>" }, "Mouse": { "IHCP-species-checked": "testedAndGuaranteed", "IHCP-species-dilution-info": "", "IHCP-species-notes": "<p>Heat mediated antigen retrieval using <a href='/en-us/products/buffers/antigen-retrieval-buffer-100x-tris-edta-buffer-ph-90-ab93684'>ab93684</a> (Tris/EDTA buffer, pH 9.0).</p>", "IP-species-checked": "notRecommended", "IP-species-dilution-info": "", "IP-species-notes": "<p></p>", "FlowCyt-species-checked": "notRecommended", "FlowCyt-species-dilution-info": "", "FlowCyt-species-notes": "<p></p>", "WB-species-checked": "notRecommended", "WB-species-dilution-info": "", "WB-species-notes": "<p></p>", "ICCIF-species-checked": "notRecommended", "ICCIF-species-dilution-info": "", "ICCIF-species-notes": "<p></p>" }, "Rat": { "IHCP-species-checked": "testedAndGuaranteed", "IHCP-species-dilution-info": "", "IHCP-species-notes": "<p>Heat mediated antigen retrieval using <a href='/en-us/products/buffers/antigen-retrieval-buffer-100x-tris-edta-buffer-ph-90-ab93684'>ab93684</a> (Tris/EDTA buffer, pH 9.0).</p>", "IP-species-checked": "notRecommended", "IP-species-dilution-info": "", "IP-species-notes": "<p></p>", "FlowCyt-species-checked": "notRecommended", "FlowCyt-species-dilution-info": "", "FlowCyt-species-notes": "<p></p>", "WB-species-checked": "notRecommended", "WB-species-dilution-info": "", "WB-species-notes": "<p></p>", "ICCIF-species-checked": "notRecommended", "ICCIF-species-dilution-info": "", "ICCIF-species-notes": "<p></p>" } } }

Product details

ab254270 is the carrier-free version of ab245250.

Patented technology
Our RabMAb® technology is a patented hybridoma-based technology for making rabbit monoclonal antibodies. For details on our patents, please refer to RabMAb® patents.

What are the advantages of a recombinant monoclonal antibody?
This product is a recombinant monoclonal antibody, which offers several advantages including:

  • - High batch-to-batch consistency and reproducibility
  • - Improved sensitivity and specificity
  • - Long-term security of supply
  • - Animal-free batch production

For more information, read more on recombinant antibodies.

Conjugation ready
Our carrier-free antibodies are typically supplied in a PBS-only formulation, purified and free of BSA, sodium azide and glycerol. This conjugation-ready format is designed for use with fluorochromes, metal isotopes, oligonucleotides, and enzymes, which makes them ideal for antibody labelling, functional and cell-based assays, flow-based assays (e.g. mass cytometry) and Multiplex Imaging applications.

Use our conjugation kits for antibody conjugates that are ready-to-use in as little as 20 minutes with 1 minute hands-on-time and 100% antibody recovery: available for fluorescent dyes, HRP, biotin and gold.

Compatibility
This product is compatible with the Maxpar® Antibody Labeling Kit from Fluidigm, without the need for antibody preparation. Maxpar® is a trademark of Fluidigm Canada Inc.

Properties and storage information

Form
Liquid
Purification technique
Affinity purification Protein A
Storage buffer
pH: 7.2 - 7.4 Constituents: PBS
Shipped at conditions
Blue Ice
Appropriate short-term storage conditions
+4°C
Appropriate long-term storage conditions
+4°C
Storage information
Do Not Freeze

Supplementary information

This supplementary information is collated from multiple sources and compiled automatically.

LMO2 also known as LIM Domain Only 2 is a transcription factor with a molecular weight of approximately 24 kDa. It contains two LIM domains which enable protein-protein interactions. LMO2 expression is mostly found in hematopoietic tissues and the vascular endothelium. This protein does not directly bind DNA but forms complexes with other proteins to exert its regulatory roles.
Biological function summary

This transcription factor is important in hematopoiesis and angiogenesis. LMO2 forms multiprotein complexes that include TAL1 GATA1 and E47 which are necessary for the transcriptional activation of genes involved in blood cell differentiation and formation. Its role in angiogenesis involves participating in the transcriptional regulation of genes essential for blood vessel formation.

Pathways

LMO2 plays a significant role in the development of the hematopoietic system and vascular network. It is part of the TAL1-LMO2-LDB1 transcriptional complex within the hematopoietic transcriptional network which includes other key proteins like GATA1 and E47. These pathways ensure proper development and differentiation of various blood cell lineages and endothelial cells.

LMO2 has a known association with T-cell acute lymphoblastic leukemia (T-ALL) and some other hematological malignancies. Abnormal expression of LMO2 can lead to oncogenic transformation in hematopoietic cells. Within these disease contexts LMO2 interacts with proteins like TAL1 and LDB1 contributing to leukemogenic processes. Understanding its role helps in the development of therapeutic strategies targeting these pathways.

Product protocols

For this product, it's our understanding that no specific protocols are required. You can visit:

Target data

Acts with TAL1/SCL to regulate red blood cell development. Also acts with LDB1 to maintain erythroid precursors in an immature state.
See full target information LMO2

Publications (1)

Recent publications for all applications. Explore the full list and refine your search

PloS one 20:e0328530 PubMed40680001

2025

Integrated bioinformatics and experimental validation identify ATF3 as a key gene in secondary brain damage after intracerebral hemorrhage.

Applications

Unspecified application

Species

Unspecified reactive species

Tao Cui,Jinbang Huang,Chaoyong Zhang,Bin Wang
View all publications

Product promise

We are committed to supporting your work with high-quality reagents, and we're here for you every step of the way. In the unlikely event that one of our products does not perform as expected, you're protected by our Product Promise.
For full details, please see our Terms & Conditions

Please note: All products are 'FOR RESEARCH USE ONLY. NOT FOR USE IN DIAGNOSTIC OR THERAPEUTIC PROCEDURES'.

For licensing inquiries, please contact partnerships@abcam.com