JavaScript is disabled in your browser. Please enable JavaScript to view this website.
AB183328

Anti-LMO2 antibody [SP51] - N-terminal

  • BOND RX™ Validated
  • RabMAb
  • Recombinant
  • 20ul selling size
  • What is this?

5

(1 Review)

|

(1 Publication)

Rabbit Recombinant Monoclonal LMO2 antibody. N-terminal. Suitable for IHC-P and reacts with Mouse, Human samples. Cited in 1 publication.

View Alternative Names

RBTN2, RBTNL1, RHOM2, TTG2, LMO2, Rhombotin-2, Cysteine-rich protein TTG-2, LIM domain only protein 2, T-cell translocation protein 2, LMO-2

4 Images
Immunohistochemistry (Formalin/PFA-fixed paraffin-embedded sections) - Anti-LMO2 antibody [SP51] - N-terminal (AB183328)
  • IHC-P

Supplier Data

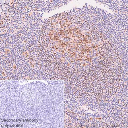
Immunohistochemistry (Formalin/PFA-fixed paraffin-embedded sections) - Anti-LMO2 antibody [SP51] - N-terminal (AB183328)

Immunohistochemical analysis of paraffin embedded Human tonsil tissue labeling LMO2 with ab183328 at 1/100.

Immunohistochemistry (Formalin/PFA-fixed paraffin-embedded sections) - Anti-LMO2 antibody [SP51] - N-terminal (AB183328)
  • IHC-P

Supplier Data

Immunohistochemistry (Formalin/PFA-fixed paraffin-embedded sections) - Anti-LMO2 antibody [SP51] - N-terminal (AB183328)

Immunohistochemical analysis of paraffin embedded Human tonsil tissue labeling LMO2 with ab183328 at 1/100.

Immunohistochemistry (Formalin/PFA-fixed paraffin-embedded sections) - Anti-LMO2 antibody [SP51] - N-terminal (AB183328)
  • IHC-P

Unknown

Immunohistochemistry (Formalin/PFA-fixed paraffin-embedded sections) - Anti-LMO2 antibody [SP51] - N-terminal (AB183328)

Immunohistochemistry (Formalin/PFA-fixed paraffin-embedded sections) analysis of Human tonsil tissue sections labeling LMO2 with ab183328 at 1/50 dilution (3.22 μg/ml). Heat mediated antigen retrieval with Tris-EDTA buffer (pH 6.0, epitope retrieval solution 1) for 20 mins. Rabbit specific IHC polymer detection kit HRP/DAB (ab209101) was used as the secondary antibody. Hematoxylin was used as a counterstain. Mainly nuclear staining on the human tonsil, performed on a Leica Biosystems BOND™ RX instrument.
The section was incubated with ab183328 for 30 mins at room temperature.

Immunohistochemistry (Formalin/PFA-fixed paraffin-embedded sections) - Anti-LMO2 antibody [SP51] - N-terminal (AB183328)
  • IHC-P

Unknown

Immunohistochemistry (Formalin/PFA-fixed paraffin-embedded sections) - Anti-LMO2 antibody [SP51] - N-terminal (AB183328)

Immunohistochemistry (Formalin/PFA-fixed paraffin-embedded sections) analysis of Mouse spleen tissue sections labeling LMO2 with ab183328 at 1/50 dilution (3.22 μg/ml). Heat mediated antigen retrieval with Tris-EDTA buffer (pH 6.0, epitope retrieval solution 1) for 20 mins. Rabbit specific IHC polymer detection kit HRP/DAB (ab209101) was used as the secondary antibody. Hematoxylin was used as a counterstain. The section was incubated with ab183328 for 30 mins at room temperature.

  • 775 Alexa Fluor® 750

    Alexa Fluor® 750 Anti-LMO2 antibody [SP51] - N-terminal

  • 578 PE

    PE Anti-LMO2 antibody [SP51] (N-terminal)

  • HRP

    HRP Anti-LMO2 antibody [SP51] (N-terminal)

  • 617 Alexa Fluor® 594

    Alexa Fluor® 594 Anti-LMO2 antibody [SP51] - N-terminal

  • 665 Alexa Fluor® 647

    Alexa Fluor® 647 Anti-LMO2 antibody [SP51] - N-terminal

  • 565 Alexa Fluor® 555

    Alexa Fluor® 555 Anti-LMO2 antibody [SP51] - N-terminal

  • 603 Alexa Fluor® 568

    Alexa Fluor® 568 Anti-LMO2 antibody [SP51] - N-terminal

  • Carrier free

    Anti-LMO2 antibody [SP51] - BSA and Azide free

  • 660 APC

    APC Anti-LMO2 antibody [SP51] (N-terminal)

Key facts

Host species

Rabbit

Clonality

Monoclonal

Clone number

SP51

Isotype

IgG

Carrier free

No

Reacts with

Mouse, Human

Applications

IHC-P

applications

Immunogen

The exact immunogen used to generate this antibody is proprietary information.

Reactivity data

{ "title": "Reactivity Data", "filters": { "stats": ["", "Species", "Dilution Info", "Notes"], "tabs": { "all-applications": {"fullname" : "All Applications", "shortname": "All Applications"}, "IHCP" : {"fullname" : "Immunohistochemistry (Formalin/PFA-fixed paraffin-embedded sections)", "shortname":"IHC-P"}, "WB" : {"fullname" : "Western blot", "shortname":"WB"}, "FlowCytIntra" : {"fullname" : "Flow Cytometry (Intracellular)", "shortname":"Flow Cyt (Intra)"} }, "product-promise": { "all": "all", "testedAndGuaranteed": "tested", "guaranteed": "expected", "predicted": "predicted", "notRecommended": "not-recommended" } }, "values": { "Human": { "IHCP-species-checked": "testedAndGuaranteed", "IHCP-species-dilution-info": "1/100", "IHCP-species-notes": "<p></p> Perform heat-mediated antigen retrieval with citrate buffer pH 6 before commencing with IHC staining protocol.", "WB-species-checked": "notRecommended", "WB-species-dilution-info": "1/100", "WB-species-notes": "<p></p>", "FlowCytIntra-species-checked": "notRecommended", "FlowCytIntra-species-dilution-info": "", "FlowCytIntra-species-notes": "<p><a href='/en-us/products/primary-antibodies/rabbit-igg-monoclonal-epr25a-isotype-control-ab172730'>ab172730</a> - Rabbit monoclonal IgG, is suitable for use as an isotype control with this antibody.</p>" }, "Mouse": { "IHCP-species-checked": "testedAndGuaranteed", "IHCP-species-dilution-info": "1/100", "IHCP-species-notes": "<p></p> Perform heat-mediated antigen retrieval with citrate buffer pH 6 before commencing with IHC staining protocol.", "WB-species-checked": "notRecommended", "WB-species-dilution-info": "", "WB-species-notes": "", "FlowCytIntra-species-checked": "notRecommended", "FlowCytIntra-species-dilution-info": "", "FlowCytIntra-species-notes": "" }, "Rat": { "IHCP-species-checked": "notRecommended", "IHCP-species-dilution-info": "", "IHCP-species-notes": "", "WB-species-checked": "notRecommended", "WB-species-dilution-info": "1/100", "WB-species-notes": "<p></p>", "FlowCytIntra-species-checked": "notRecommended", "FlowCytIntra-species-dilution-info": "", "FlowCytIntra-species-notes": "" }, "Chicken": { "IHCP-species-checked": "predicted", "IHCP-species-dilution-info": "", "IHCP-species-notes": "", "WB-species-checked": "notRecommended", "WB-species-dilution-info": "", "WB-species-notes": "", "FlowCytIntra-species-checked": "notRecommended", "FlowCytIntra-species-dilution-info": "", "FlowCytIntra-species-notes": "" }, "Cow": { "IHCP-species-checked": "predicted", "IHCP-species-dilution-info": "", "IHCP-species-notes": "", "WB-species-checked": "notRecommended", "WB-species-dilution-info": "", "WB-species-notes": "", "FlowCytIntra-species-checked": "notRecommended", "FlowCytIntra-species-dilution-info": "", "FlowCytIntra-species-notes": "" }, "Dog": { "IHCP-species-checked": "predicted", "IHCP-species-dilution-info": "", "IHCP-species-notes": "", "WB-species-checked": "notRecommended", "WB-species-dilution-info": "", "WB-species-notes": "", "FlowCytIntra-species-checked": "notRecommended", "FlowCytIntra-species-dilution-info": "", "FlowCytIntra-species-notes": "" }, "Pig": { "IHCP-species-checked": "predicted", "IHCP-species-dilution-info": "", "IHCP-species-notes": "", "WB-species-checked": "notRecommended", "WB-species-dilution-info": "", "WB-species-notes": "", "FlowCytIntra-species-checked": "notRecommended", "FlowCytIntra-species-dilution-info": "", "FlowCytIntra-species-notes": "" }, "Rabbit": { "IHCP-species-checked": "predicted", "IHCP-species-dilution-info": "", "IHCP-species-notes": "", "WB-species-checked": "notRecommended", "WB-species-dilution-info": "", "WB-species-notes": "", "FlowCytIntra-species-checked": "notRecommended", "FlowCytIntra-species-dilution-info": "", "FlowCytIntra-species-notes": "" } } }

Product details

Patented technology
Our RabMAb® technology is a patented hybridoma-based technology for making rabbit monoclonal antibodies. For details on our patents, please refer to RabMAb® patents.

What are the advantages of a recombinant monoclonal antibody?
This product is a recombinant monoclonal antibody, which offers several advantages including:

  • - High batch-to-batch consistency and reproducibility
  • - Improved sensitivity and specificity
  • - Long-term security of supply
  • - Animal-free batch production

For more information, read more on recombinant antibodies.

Properties and storage information

Form
Liquid
Purification technique
Affinity purification Protein A
Storage buffer
pH: 7.2 - 7.4 Preservative: 0.1% Sodium azide Constituents: PBS, 1% BSA
Shipped at conditions
Blue Ice
Appropriate short-term storage duration
1-2 weeks
Appropriate short-term storage conditions
+4°C
Appropriate long-term storage conditions
-20°C
Aliquoting information
Upon delivery aliquot
Storage information
Avoid freeze / thaw cycle

Supplementary information

This supplementary information is collated from multiple sources and compiled automatically.

LMO2 also known as LIM Domain Only 2 is a transcription factor with a molecular weight of approximately 24 kDa. It contains two LIM domains which enable protein-protein interactions. LMO2 expression is mostly found in hematopoietic tissues and the vascular endothelium. This protein does not directly bind DNA but forms complexes with other proteins to exert its regulatory roles.
Biological function summary

This transcription factor is important in hematopoiesis and angiogenesis. LMO2 forms multiprotein complexes that include TAL1 GATA1 and E47 which are necessary for the transcriptional activation of genes involved in blood cell differentiation and formation. Its role in angiogenesis involves participating in the transcriptional regulation of genes essential for blood vessel formation.

Pathways

LMO2 plays a significant role in the development of the hematopoietic system and vascular network. It is part of the TAL1-LMO2-LDB1 transcriptional complex within the hematopoietic transcriptional network which includes other key proteins like GATA1 and E47. These pathways ensure proper development and differentiation of various blood cell lineages and endothelial cells.

LMO2 has a known association with T-cell acute lymphoblastic leukemia (T-ALL) and some other hematological malignancies. Abnormal expression of LMO2 can lead to oncogenic transformation in hematopoietic cells. Within these disease contexts LMO2 interacts with proteins like TAL1 and LDB1 contributing to leukemogenic processes. Understanding its role helps in the development of therapeutic strategies targeting these pathways.

Product protocols

For this product, it's our understanding that no specific protocols are required. You can visit:

Target data

Acts with TAL1/SCL to regulate red blood cell development. Also acts with LDB1 to maintain erythroid precursors in an immature state.
See full target information LMO2

Publications (1)

Recent publications for all applications. Explore the full list and refine your search

American journal of clinical pathology 141:593-604 PubMed24619762

2014

p53 expression is a strong marker of inferior survival in de novo diffuse large B-cell lymphoma and may have enhanced negative effect with MYC coexpression: a single institutional clinicopathologic study.

Applications

Unspecified application

Species

Unspecified reactive species

Yi Xie,Mohmad Ajaz Bulbul,Lingyun Ji,Casey M Inouye,Susan G Groshen,Anil Tulpule,Dennis P O'Malley,Endi Wang,Imran N Siddiqi
View all publications

Product promise

We are committed to supporting your work with high-quality reagents, and we're here for you every step of the way. In the unlikely event that one of our products does not perform as expected, you're protected by our Product Promise.
For full details, please see our Terms & Conditions

Please note: All products are 'FOR RESEARCH USE ONLY. NOT FOR USE IN DIAGNOSTIC OR THERAPEUTIC PROCEDURES'.

For licensing inquiries, please contact partnerships@abcam.com