JavaScript is disabled in your browser. Please enable JavaScript to view this website.
AB244415

Anti-LMOD1 antibody

Be the first to review this product! Submit a review

|

(1 Publication)

Rabbit Polyclonal LMOD1 antibody. Suitable for IHC-P, WB, ICC/IF and reacts with Human samples. Cited in 1 publication. Immunogen corresponding to Recombinant Fragment Protein within Human LMOD1 aa 50-150.

View Alternative Names

Leiomodin-1, 64 kDa autoantigen 1D, 64 kDa autoantigen 1D3, 64 kDa autoantigen D1, Smooth muscle leiomodin, Thyroid-associated ophthalmopathy autoantigen, SM-Lmod, LMOD1

6 Images
Immunohistochemistry (Formalin/PFA-fixed paraffin-embedded sections) - Anti-LMOD1 antibody (AB244415)
  • IHC-P

Unknown

Immunohistochemistry (Formalin/PFA-fixed paraffin-embedded sections) - Anti-LMOD1 antibody (AB244415)

Paraffin-embedded human liver tissue stained for LMOD1 using ab244415 at 1/50 dilution in immunohistochemical analysis.

Immunohistochemistry (Formalin/PFA-fixed paraffin-embedded sections) - Anti-LMOD1 antibody (AB244415)
  • IHC-P

Unknown

Immunohistochemistry (Formalin/PFA-fixed paraffin-embedded sections) - Anti-LMOD1 antibody (AB244415)

Paraffin-embedded human smooth muscle tissue stained for LMOD1 using ab244415 at 1/50 dilution in immunohistochemical analysis.

Immunohistochemistry (Formalin/PFA-fixed paraffin-embedded sections) - Anti-LMOD1 antibody (AB244415)
  • IHC-P

Unknown

Immunohistochemistry (Formalin/PFA-fixed paraffin-embedded sections) - Anti-LMOD1 antibody (AB244415)

Paraffin-embedded human prostate tissue stained for LMOD1 using ab244415 at 1/50 dilution in immunohistochemical analysis.

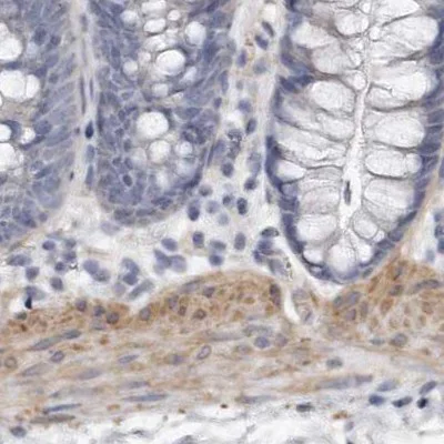
Immunohistochemistry (Formalin/PFA-fixed paraffin-embedded sections) - Anti-LMOD1 antibody (AB244415)
  • IHC-P

Unknown

Immunohistochemistry (Formalin/PFA-fixed paraffin-embedded sections) - Anti-LMOD1 antibody (AB244415)

Paraffin-embedded human colon tissue stained for LMOD1 using ab244415 at 1/50 dilution in immunohistochemical analysis.

Western blot - Anti-LMOD1 antibody (AB244415)
  • WB

Unknown

Western blot - Anti-LMOD1 antibody (AB244415)

All lanes:

Western blot - Anti-LMOD1 antibody (ab244415) at 0.4 µg/mL

Lane 1:

RT4 (human urinary bladder cancer cell line) cell lysate

Lane 2:

U-251 MG (human brain glioma cell line) cell lysate

Lane 3:

Human plasma (IgG/HSA depleted)

Lane 4:

Human liver lysate

Lane 5:

Human tonsil lysate

Predicted band size: 67 kDa

false

Immunocytochemistry/ Immunofluorescence - Anti-LMOD1 antibody (AB244415)
  • ICC/IF

Unknown

Immunocytochemistry/ Immunofluorescence - Anti-LMOD1 antibody (AB244415)

PFA-fixed, Triton X-100 permeabilized U-2 OS (human bone osteosarcoma epithelial cell line) cells stained for LMOD1 (green) using ab244415 at 4 μg/ml in ICC/IF.

Key facts

Host species

Rabbit

Clonality

Polyclonal

Isotype

IgG

Carrier free

No

Reacts with

Human

Applications

ICC/IF, IHC-P, WB

applications

Immunogen

Recombinant Fragment Protein within Human LMOD1 aa 50-150. The exact immunogen used to generate this antibody is proprietary information.

P29536

Reactivity data

{ "title": "Reactivity Data", "filters": { "stats": ["", "Species", "Dilution Info", "Notes"], "tabs": { "all-applications": {"fullname" : "All Applications", "shortname": "All Applications"}, "IHCP" : {"fullname" : "Immunohistochemistry (Formalin/PFA-fixed paraffin-embedded sections)", "shortname":"IHC-P"}, "WB" : {"fullname" : "Western blot", "shortname":"WB"}, "ICCIF" : {"fullname" : "Immunocytochemistry/ Immunofluorescence", "shortname":"ICC/IF"} }, "product-promise": { "all": "all", "testedAndGuaranteed": "tested", "guaranteed": "expected", "predicted": "predicted", "notRecommended": "not-recommended" } }, "values": { "Human": { "IHCP-species-checked": "testedAndGuaranteed", "IHCP-species-dilution-info": "1/50 - 1/200", "IHCP-species-notes": "<p></p> Perform heat-mediated antigen retrieval with citrate buffer pH 6 before commencing with IHC staining protocol.", "WB-species-checked": "testedAndGuaranteed", "WB-species-dilution-info": "0.04-0.4 µg/mL", "WB-species-notes": "<p></p>", "ICCIF-species-checked": "testedAndGuaranteed", "ICCIF-species-dilution-info": "0.25-2 µg/mL", "ICCIF-species-notes": "<p>Fixation/Permeabilization: PFA/Triton X-100.</p>" } } }

Properties and storage information

Form
Liquid
Purification technique
Affinity purification Immunogen
Storage buffer
pH: 7.2 Preservative: 0.02% Sodium azide Constituents: PBS, 40% Glycerol (glycerin, glycerine)
Shipped at conditions
Blue Ice
Appropriate short-term storage duration
1-2 weeks
Appropriate short-term storage conditions
+4°C
Appropriate long-term storage conditions
-20°C
Aliquoting information
Upon delivery aliquot
Storage information
Avoid freeze / thaw cycle

Supplementary information

This supplementary information is collated from multiple sources and compiled automatically.

LMOD1 also known as Leiomodin 1 is a protein involved in actin filament dynamics. It has a molecular mass of approximately 64 kDa. The protein plays a role in the regulation of actin nucleation and assembly which are critical for the structural integrity and function of muscle cells. LMOD1 is expressed in smooth muscle tissues including those in the vascular system. This expression highlights its functional significance in maintaining smooth muscle contractility.
Biological function summary

LMOD1 contributes to muscle cell contraction by stabilizing and organizing actin filaments. It functions by binding to the pointed ends of actin filaments and may form a part of a multiprotein complex with actin and other actin-binding proteins. This association enhances its capability to regulate actin filament growth and stability factors essential for maintaining cellular structure and motility in smooth muscle tissues. LMOD1's ability to influence actin filament dynamics highlights its significance in muscle cell function and integrity.

Pathways

LMOD1 impacts actin dynamics critical to the smooth muscle contraction pathway. It interacts with proteins such as tropomyosin and tropomodulin influencing actin filament stabilization and organization. The smooth muscle contraction pathway is essential for vascular tone and blood flow regulation. LMOD1's association with actin regulation aligns its role within this pathway impacting smooth muscle cellular contractility and overall smooth muscle function.

LMOD1 is associated with vascular diseases such as arteriosclerosis due to its role in smooth muscle function. Alterations in LMOD1 expression or mutations can lead to abnormal muscle contraction and vascular issues. Additionally LMOD1 has links to hypertensive conditions where dysregulated smooth muscle contraction affects blood pressure control. In these conditions LMOD1 interacts with proteins like actin and tropomyosin which play a role in cellular contractility and are critical in maintaining normal vascular function.

Product protocols

For this product, it's our understanding that no specific protocols are required. You can visit:

Target data

Required for proper contractility of visceral smooth muscle cells (PubMed : 28292896). Mediates nucleation of actin filaments.
See full target information LMOD1

Publications (1)

Recent publications for all applications. Explore the full list and refine your search

Extracellular vesicles and circulating nucleic acids 5:397-416 PubMed39697634

2024

Transfer of and increases 3D growth and invasiveness in recipient cancer cells.

Applications

Unspecified application

Species

Unspecified reactive species

Hannah M Nelson,Shimian Qu,Liyu Huang,Muhammad Shameer,Kevin C Corn,Sydney N Chapman,Nicole L Luthcke,Sara A Schuster,Tellie D Stamaris,Lauren A Turnbull,Lucas L Guy,Xiao Liu,Danielle L Michell,Elizabeth M Semler,Kasey C Vickers,Qi Liu,Jeffrey L Franklin,Alissa M Weaver,Marjan Rafat,Robert J Coffey,James G Patton
View all publications

Product promise

We are committed to supporting your work with high-quality reagents, and we're here for you every step of the way. In the unlikely event that one of our products does not perform as expected, you're protected by our Product Promise.
For full details, please see our Terms & Conditions

Please note: All products are 'FOR RESEARCH USE ONLY. NOT FOR USE IN DIAGNOSTIC OR THERAPEUTIC PROCEDURES'.

For licensing inquiries, please contact partnerships@abcam.com