JavaScript is disabled in your browser. Please enable JavaScript to view this website.
AB262938

Anti-LMTK3 antibody

Be the first to review this product! Submit a review

|

(0 Publication)

Rabbit Polyclonal LMTK3 antibody. Suitable for IHC-P and reacts with Human samples. Immunogen corresponding to Recombinant Fragment Protein within Human LMTK3 aa 650-750.

View Alternative Names

KIAA1883, TYKLM3, LMTK3, Serine/threonine-protein kinase LMTK3, Lemur tyrosine kinase 3

2 Images
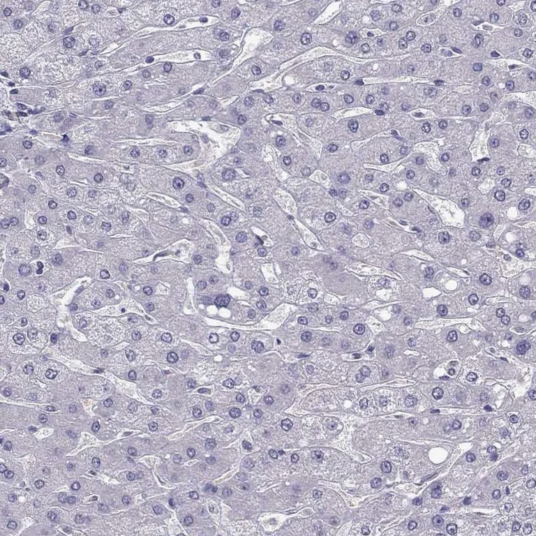
Immunohistochemistry (Formalin/PFA-fixed paraffin-embedded sections) - Anti-LMTK3 antibody (AB262938)
  • IHC-P

Unknown

Immunohistochemistry (Formalin/PFA-fixed paraffin-embedded sections) - Anti-LMTK3 antibody (AB262938)

Paraffin-embedded Human liver tissue stained for LMTK3 using ab262938 at 1/200 dilution in immunohistochemical analysis.

Immunohistochemistry (Formalin/PFA-fixed paraffin-embedded sections) - Anti-LMTK3 antibody (AB262938)
  • IHC-P

Unknown

Immunohistochemistry (Formalin/PFA-fixed paraffin-embedded sections) - Anti-LMTK3 antibody (AB262938)

Paraffin-embedded Human cerebral cortex tissue stained for LMTK3 using ab262938 at 1/200 dilution in immunohistochemical analysis.

Key facts

Host species

Rabbit

Clonality

Polyclonal

Isotype

IgG

Carrier free

No

Reacts with

Human

Applications

IHC-P

applications

Immunogen

Recombinant Fragment Protein within Human LMTK3 aa 650-750. The exact immunogen used to generate this antibody is proprietary information.

Q96Q04

Reactivity data

{ "title": "Reactivity Data", "filters": { "stats": ["", "Species", "Dilution Info", "Notes"], "tabs": { "all-applications": {"fullname" : "All Applications", "shortname": "All Applications"}, "IHCP" : {"fullname" : "Immunohistochemistry (Formalin/PFA-fixed paraffin-embedded sections)", "shortname":"IHC-P"} }, "product-promise": { "all": "all", "testedAndGuaranteed": "tested", "guaranteed": "expected", "predicted": "predicted", "notRecommended": "not-recommended" } }, "values": { "Human": { "IHCP-species-checked": "testedAndGuaranteed", "IHCP-species-dilution-info": "1/200 - 1/500", "IHCP-species-notes": "<p></p> Perform heat-mediated antigen retrieval with citrate buffer pH 6 before commencing with IHC staining protocol." } } }

Properties and storage information

Form
Liquid
Purification technique
Affinity purification Immunogen
Storage buffer
pH: 7.2 Preservative: 0.02% Sodium azide Constituents: PBS, 40% Glycerol (glycerin, glycerine)
Shipped at conditions
Blue Ice
Appropriate short-term storage duration
1-2 weeks
Appropriate short-term storage conditions
+4°C
Appropriate long-term storage conditions
-20°C
Aliquoting information
Upon delivery aliquot
Storage information
Avoid freeze / thaw cycle

Supplementary information

This supplementary information is collated from multiple sources and compiled automatically.

LMTK3 also known as Lemur Tyrosine Kinase 3 is a protein kinase with a molecular weight of approximately 97 kDa. It occurs widely in various tissues notably in the brain lung and reproductive tissues. LMTK3 complements several cellular functions because it modifies other proteins by adding phosphate groups which modulate their activity. Its expression seems to vary according to tissue specificity and physiological conditions.
Biological function summary

The kinase influences many cellular processes including cell signaling and receptor modulation. LMTK3 does not appear to be a part of a larger protein complex but its function impacts numerous downstream signaling networks. Studies suggest that LMTK3 regulates estrogen receptor activity influencing cell proliferation and survival. This makes it a relevant protein in hormone-sensitive tissues and conditions.

Pathways

LMTK3 is involved in key cellular signaling pathways such as the ERK/MAPK and PI3K/AKT. Its activity is related to the regulation of proteins like AKT and ERK which are important for cell proliferation differentiation and survival. These pathways position LMTK3 as an important player in cellular response and adaptation to external and internal signals affecting how cells behave in response to growth factors and stress conditions.

Research associates LMTK3 with breast cancer and neurodegenerative diseases. In breast cancer LMTK3 interacts with estrogen receptors affecting tumor growth and resistance to some therapies. This highlights its potential as a therapeutic target in oncology. In neurodegenerative diseases LMTK3’s connection with proteins like tau suggests a role in neuronal survival and function providing insights into disease progression and possible interventions.

Product protocols

For this product, it's our understanding that no specific protocols are required. You can visit:

Target data

Protein kinase which phosphorylates ESR1 (in vitro) and protects it against proteasomal degradation. May also regulate ESR1 levels indirectly via a PKC-AKT-FOXO3 pathway where it decreases the activity of PKC and the phosphorylation of AKT, thereby increasing binding of transcriptional activator FOXO3 to the ESR1 promoter and increasing ESR1 transcription (PubMed : 21602804). Involved in endocytic trafficking of N-methyl-D-aspartate receptors (NMDAR) in neurons (By similarity).
See full target information LMTK3

Product promise

We are committed to supporting your work with high-quality reagents, and we're here for you every step of the way. In the unlikely event that one of our products does not perform as expected, you're protected by our Product Promise.
For full details, please see our Terms & Conditions

Please note: All products are 'FOR RESEARCH USE ONLY. NOT FOR USE IN DIAGNOSTIC OR THERAPEUTIC PROCEDURES'.

For licensing inquiries, please contact partnerships@abcam.com