JavaScript is disabled in your browser. Please enable JavaScript to view this website.
AB309539

Anti-LMX1A antibody [EPR27269-57] - BSA and Azide free

Be the first to review this product! Submit a review

|

(0 Publication)

Rabbit Recombinant Monoclonal LMX1A antibody. Carrier free. Suitable for WB, IHC-P and reacts with Recombinant fragment - Human, Mouse, Rat samples.

View Alternative Names

LIM homeobox transcription factor 1-alpha, LIM/homeobox protein 1.1, LIM/homeobox protein LMX1A, LMX-1.1, LMX1A

6 Images
Immunohistochemistry (Formalin/PFA-fixed paraffin-embedded sections) - Anti-LMX1A antibody [EPR27269-57] - BSA and Azide free (AB309539)
  • IHC-P

Supplier Data

Immunohistochemistry (Formalin/PFA-fixed paraffin-embedded sections) - Anti-LMX1A antibody [EPR27269-57] - BSA and Azide free (AB309539)

This data was developed using ab309538, the same antibody clone in a different buffer formulation. Immunohistochemical analysis of paraffin-embedded Rat liver tissue labeling LMX1A with ab309538 at 1/5000 (0.1 ug/ml) followed by a ready to use LeicaDS9800 (Bond™ Polymer Refine Detection). Negative control : no staining on rat liver. The section was incubated with ab309538 for 30 mins at room temperature.The immunostaining was performed on a Leica Biosystems BOND® RX instrument Counterstained with Hematoxylin. Secondary antibody only control : Secondary antibody is a ready to use LeicaDS9800 (Bond™ Polymer Refine Detection). Heat mediated antigen retrieval was performed with Tris-EDTA buffer (pH 9.0, Epitope Retrieval Solution2) for 20 mins

Immunohistochemistry (Formalin/PFA-fixed paraffin-embedded sections) - Anti-LMX1A antibody [EPR27269-57] - BSA and Azide free (AB309539)
  • IHC-P

Supplier Data

Immunohistochemistry (Formalin/PFA-fixed paraffin-embedded sections) - Anti-LMX1A antibody [EPR27269-57] - BSA and Azide free (AB309539)

This data was developed using ab309538, the same antibody clone in a different buffer formulation. Immunohistochemical analysis of paraffin-embedded Mouse liver tissue labeling LMX1A with ab309538 at 1/500 (1.002 ug/ml) followed by a ready to use LeicaDS9800 (Bond™ Polymer Refine Detection). Negative control : no staining on mouse liver. The section was incubated with ab309538 for 30 mins at room temperature.The immunostaining was performed on a Leica Biosystems BOND® RX instrument Counterstained with Hematoxylin. Secondary antibody only control : Secondary antibody is a ready to use LeicaDS9800 (Bond™ Polymer Refine Detection). Heat mediated antigen retrieval was performed with Tris-EDTA buffer (pH 9.0, Epitope Retrieval Solution2) for 20 mins

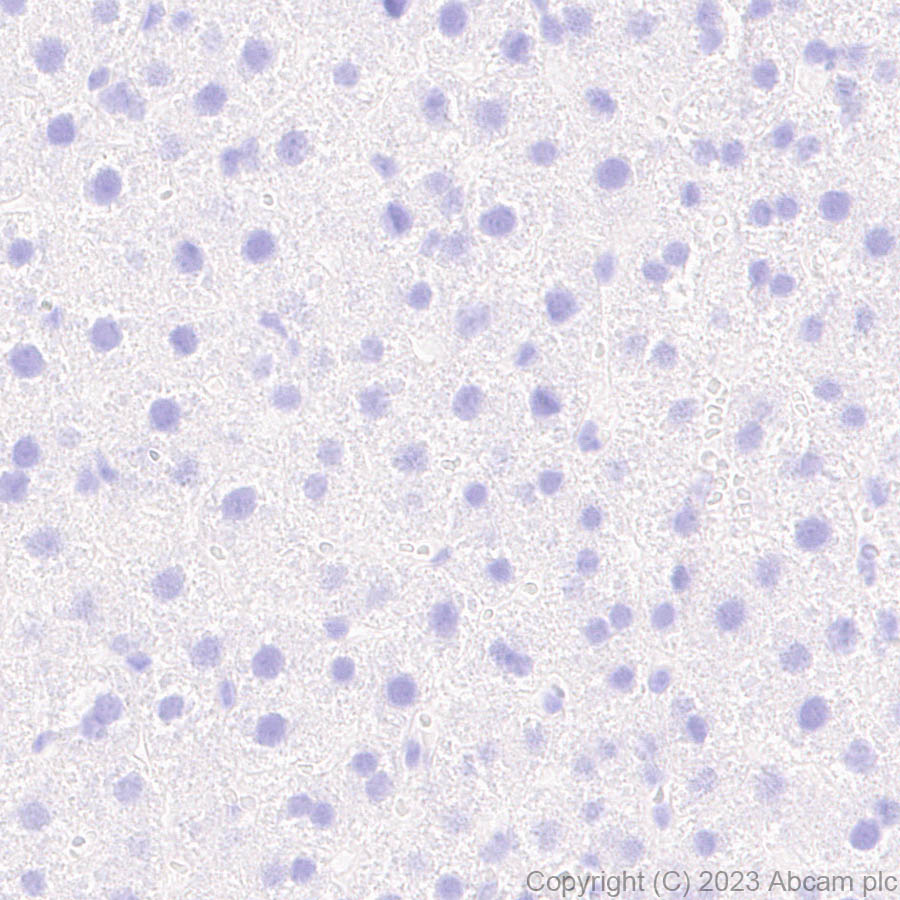
Immunohistochemistry (Formalin/PFA-fixed paraffin-embedded sections) - Anti-LMX1A antibody [EPR27269-57] - BSA and Azide free (AB309539)
  • IHC-P

Supplier Data

Immunohistochemistry (Formalin/PFA-fixed paraffin-embedded sections) - Anti-LMX1A antibody [EPR27269-57] - BSA and Azide free (AB309539)

This data was developed using ab309538, the same antibody clone in a different buffer formulation. Immunohistochemical analysis of paraffin-embedded Mouse E12.5 brain tissue labeling LMX1A with ab309538 at 1/500 (1.002 ug/ml) followed by a ready to use LeicaDS9800 (Bond™ Polymer Refine Detection). Positive staining on mouse E12.5 brain (PMID : 16439212). The section was incubated with ab309538 for 30 mins at room temperature.The immunostaining was performed on a Leica Biosystems BOND® RX instrument Counterstained with Hematoxylin. Secondary antibody only control : Secondary antibody is a ready to use LeicaDS9800 (Bond™ Polymer Refine Detection). Heat mediated antigen retrieval was performed with Tris-EDTA buffer (pH 9.0, Epitope Retrieval Solution2) for 20 mins

Immunohistochemistry (Formalin/PFA-fixed paraffin-embedded sections) - Anti-LMX1A antibody [EPR27269-57] - BSA and Azide free (AB309539)
  • IHC-P

Supplier Data

Immunohistochemistry (Formalin/PFA-fixed paraffin-embedded sections) - Anti-LMX1A antibody [EPR27269-57] - BSA and Azide free (AB309539)

This data was developed using ab309538, the same antibody clone in a different buffer formulation. Immunohistochemical analysis of paraffin-embedded Rat E12.5 brain tissue labeling LMX1A with ab309538 at 1/5000 (0.1 ug/ml) followed by a ready to use LeicaDS9800 (Bond™ Polymer Refine Detection). Positive staining on rat E12.5 brain. The section was incubated with ab309538 for 30 mins at room temperature.The immunostaining was performed on a Leica Biosystems BOND® RX instrument Counterstained with Hematoxylin. Secondary antibody only control : Secondary antibody is a ready to use LeicaDS9800 (Bond™ Polymer Refine Detection). Heat mediated antigen retrieval was performed with Tris-EDTA buffer (pH 9.0, Epitope Retrieval Solution2) for 20 mins

Immunohistochemistry (Formalin/PFA-fixed paraffin-embedded sections) - Anti-LMX1A antibody [EPR27269-57] - BSA and Azide free (AB309539)
  • IHC-P

Supplier Data

Immunohistochemistry (Formalin/PFA-fixed paraffin-embedded sections) - Anti-LMX1A antibody [EPR27269-57] - BSA and Azide free (AB309539)

This data was developed using ab309538, the same antibody clone in a different buffer formulation. Immunohistochemical analysis of paraffin-embedded Mouse brain tissue labeling LMX1A with ab309538 at 1/500 (1.002 ug/ml) followed by a ready to use LeicaDS9800 (Bond™ Polymer Refine Detection). Positive staining on ventral midbrain of mouse (PMID : 27407143). The section was incubated with ab309538 for 30 mins at room temperature.The immunostaining was performed on a Leica Biosystems BOND® RX instrument Counterstained with Hematoxylin. Secondary antibody only control : Secondary antibody is a ready to use LeicaDS9800 (Bond™ Polymer Refine Detection). Heat mediated antigen retrieval was performed with Tris-EDTA buffer (pH 9.0, Epitope Retrieval Solution2) for 20 mins

Western blot - Anti-LMX1A antibody [EPR27269-57] - BSA and Azide free (AB309539)
  • WB

Supplier Data

Western blot - Anti-LMX1A antibody [EPR27269-57] - BSA and Azide free (AB309539)

This data was developed using ab309538, the same antibody clone in a different buffer formulation. Blocking and diluting buffer and concentration : 5% NFDM/TBST This antibody does not cross-react with human LMX1B. In Western blot, anti-His antibody (ab213204) staining at 1/5000 dilution. Exposure time : 15 seconds

All lanes:

Western blot - Anti-LMX1A antibody [EPR27269-57] (<a href='/en-us/products/primary-antibodies/lmx1a-antibody-epr27269-57-ab309538'>ab309538</a>) at 1/1000 dilution

Lane 1:

His-tagged human LMX1B recombinant protein at 20 µg

Lane 2:

His-tagged human LMX1A recombinant protein at 20 µg

Secondary

All lanes:

Western blot - Goat Anti-Rabbit IgG H&L (HRP) (<a href='/en-us/products/secondary-antibodies/goat-rabbit-igg-h-l-hrp-ab97051'>ab97051</a>) at 1/100000 dilution

Observed band size: 42 kDa

false

Exposure time: 15s

Key facts

Host species

Rabbit

Clonality

Monoclonal

Clone number

EPR27269-57

Isotype

IgG

Carrier free

Yes

Reacts with

Human, Mouse, Rat

Applications

WB, IHC-P

applications

Immunogen

The exact immunogen used to generate this antibody is proprietary information.

Reactivity data

{ "title": "Reactivity Data", "filters": { "stats": ["", "Species", "Dilution Info", "Notes"], "tabs": { "all-applications": {"fullname" : "All Applications", "shortname": "All Applications"}, "WB" : {"fullname" : "Western blot", "shortname":"WB"}, "IHCP" : {"fullname" : "Immunohistochemistry (Formalin/PFA-fixed paraffin-embedded sections)", "shortname":"IHC-P"}, "ICCIF" : {"fullname" : "Immunocytochemistry/ Immunofluorescence", "shortname":"ICC/IF"}, "FlowCytIntra" : {"fullname" : "Flow Cytometry (Intracellular)", "shortname":"Flow Cyt (Intra)"}, "IP" : {"fullname" : "Immunoprecipitation", "shortname":"IP"} }, "product-promise": { "all": "all", "testedAndGuaranteed": "tested", "guaranteed": "expected", "predicted": "predicted", "notRecommended": "not-recommended" } }, "values": { "Human": { "WB-species-checked": "notRecommended", "WB-species-dilution-info": "", "WB-species-notes": "<p></p>", "IHCP-species-checked": "predicted", "IHCP-species-dilution-info": "", "IHCP-species-notes": "", "ICCIF-species-checked": "notRecommended", "ICCIF-species-dilution-info": "", "ICCIF-species-notes": "<p></p>", "FlowCytIntra-species-checked": "notRecommended", "FlowCytIntra-species-dilution-info": "", "FlowCytIntra-species-notes": "<p></p>", "IP-species-checked": "notRecommended", "IP-species-dilution-info": "", "IP-species-notes": "" }, "Mouse": { "WB-species-checked": "notRecommended", "WB-species-dilution-info": "", "WB-species-notes": "<p></p>", "IHCP-species-checked": "testedAndGuaranteed", "IHCP-species-dilution-info": "", "IHCP-species-notes": "<p></p>", "ICCIF-species-checked": "notRecommended", "ICCIF-species-dilution-info": "", "ICCIF-species-notes": "<p></p>", "FlowCytIntra-species-checked": "notRecommended", "FlowCytIntra-species-dilution-info": "", "FlowCytIntra-species-notes": "<p></p>", "IP-species-checked": "notRecommended", "IP-species-dilution-info": "", "IP-species-notes": "<p></p>" }, "Rat": { "WB-species-checked": "notRecommended", "WB-species-dilution-info": "", "WB-species-notes": "<p></p>", "IHCP-species-checked": "testedAndGuaranteed", "IHCP-species-dilution-info": "", "IHCP-species-notes": "<p></p>", "ICCIF-species-checked": "notRecommended", "ICCIF-species-dilution-info": "", "ICCIF-species-notes": "", "FlowCytIntra-species-checked": "notRecommended", "FlowCytIntra-species-dilution-info": "", "FlowCytIntra-species-notes": "", "IP-species-checked": "notRecommended", "IP-species-dilution-info": "", "IP-species-notes": "" }, "Recombinant fragment - Human": { "WB-species-checked": "testedAndGuaranteed", "WB-species-dilution-info": "", "WB-species-notes": "<p></p>", "IHCP-species-checked": "notRecommended", "IHCP-species-dilution-info": "", "IHCP-species-notes": "", "ICCIF-species-checked": "notRecommended", "ICCIF-species-dilution-info": "", "ICCIF-species-notes": "", "FlowCytIntra-species-checked": "notRecommended", "FlowCytIntra-species-dilution-info": "", "FlowCytIntra-species-notes": "", "IP-species-checked": "notRecommended", "IP-species-dilution-info": "", "IP-species-notes": "" } } }

Product details

Patented technology
Our RabMAb® technology is a patented hybridoma-based technology for making rabbit monoclonal antibodies. For details on our patents, please refer to RabMAb® patents.

What are the advantages of a recombinant monoclonal antibody?
This product is a recombinant monoclonal antibody, which offers several advantages including:

  • - High batch-to-batch consistency and reproducibility
  • - Improved sensitivity and specificity
  • - Long-term security of supply
  • - Animal-free batch production

For more information, read more on recombinant antibodies.

Conjugation ready
Our carrier-free antibodies are typically supplied in a PBS-only formulation, purified and free of BSA, sodium azide and glycerol. This conjugation-ready format is designed for use with fluorochromes, metal isotopes, oligonucleotides, and enzymes, which makes them ideal for antibody labelling, functional and cell-based assays, flow-based assays (e.g. mass cytometry) and Multiplex Imaging applications.

Use our conjugation kits for antibody conjugates that are ready-to-use in as little as 20 minutes with 1 minute hands-on-time and 100% antibody recovery: available for fluorescent dyes, HRP, biotin and gold.

Compatibility
This product is compatible with the Maxpar® Antibody Labeling Kit from Fluidigm, without the need for antibody preparation. Maxpar® is a trademark of Fluidigm Canada Inc.

Properties and storage information

Form
Liquid
Purification technique
Affinity purification Protein A
Storage buffer
pH: 7.2 - 7.4 Constituents: PBS
Shipped at conditions
Blue Ice
Appropriate short-term storage conditions
+4°C
Appropriate long-term storage conditions
+4°C

Supplementary information

This supplementary information is collated from multiple sources and compiled automatically.

LMX1A also known as LIM homeobox transcription factor 1 alpha serves as a transcription factor involved in embryonic development. It belongs to the LIM homeobox gene family and weighs approximately 42 kDa. This protein primarily localizes in the central nervous system and developing limb tissues. It plays an important role in the differentiation and development of dopamine-producing neurons which are important for proper nervous system function.
Biological function summary

The presence of LMX1A is essential for the development of dopaminergic neurons in the midbrain. It functions as part of a complex transcriptional network with other key transcription factors such as NURR1 and PITX3 to regulate genes essential for dopamine synthesis and neuron maintenance. Through its actions LMX1A influences the dopaminergic system contributing to motor control and behavior regulation. This makes it important for studies in neurobiology and developmental biology.

Pathways

LMX1A is an integral component in the Wnt signaling pathway which is vital for maintaining dopaminergic neuron populations. It directly impacts the regulation and expression of genes related to dopamine synthesis. In collaboration with transcription factors like NURR1 LMX1A promotes the production of enzymes necessary for dopamine metabolism. This pathway plays an important role in neuronal survival and connectivity illustrating the connection of LMX1A to other proteins within this system.

Alterations in LMX1A expression or function are linked to Parkinson's disease and neural developmental disorders. In Parkinson's disease the degeneration of dopaminergic neurons occurs where LMX1A plays an important role in neuronal development and maintenance showcasing its potential therapeutic significance. Furthermore downregulation of LMX1A can lead to a disrupted neuronal development illustrating its impact on diseases associated with neurological development while the protein NURR1 is also critically involved in these processes.

Product protocols

For this product, it's our understanding that no specific protocols are required. You can visit:

Target data

Acts as a transcriptional activator by binding to an A/T-rich sequence, the FLAT element, in the insulin gene promoter. Required for development of the roof plate and, in turn, for specification of dorsal cell fates in the CNS and developing vertebrae (By similarity).
See full target information LMX1A

Product promise

We are committed to supporting your work with high-quality reagents, and we're here for you every step of the way. In the unlikely event that one of our products does not perform as expected, you're protected by our Product Promise.
For full details, please see our Terms & Conditions

Please note: All products are 'FOR RESEARCH USE ONLY. NOT FOR USE IN DIAGNOSTIC OR THERAPEUTIC PROCEDURES'.

For licensing inquiries, please contact partnerships@abcam.com