JavaScript is disabled in your browser. Please enable JavaScript to view this website.
AB139736

Anti-LMX1b antibody

Be the first to review this product! Submit a review

|

(1 Publication)

Rabbit Polyclonal LMX1B antibody. Suitable for WB, IHC-P and reacts with Mouse samples. Cited in 1 publication. Immunogen corresponding to Synthetic Peptide within Human LMX1B.

View Alternative Names

LIM homeobox transcription factor 1-beta, LIM/homeobox protein 1.2, LIM/homeobox protein LMX1B, LMX-1.2, LMX1B

2 Images
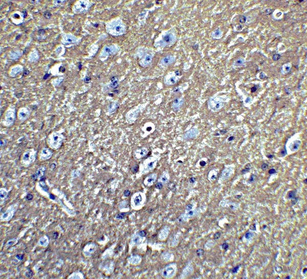
Immunohistochemistry (Formalin/PFA-fixed paraffin-embedded sections) - Anti-LMX1b antibody (AB139736)
  • IHC-P

Unknown

Immunohistochemistry (Formalin/PFA-fixed paraffin-embedded sections) - Anti-LMX1b antibody (AB139736)

Immunohistochemistry (Formalin-fixed paraffin embedded sections) of mouse brain tissue labeling LMX1b with Anti-LMX1b antibody (ab139736) at 5μg/ml.

Western blot - Anti-LMX1b antibody (AB139736)
  • WB

Unknown

Western blot - Anti-LMX1b antibody (AB139736)

Lane 1:

Western blot - Anti-LMX1b antibody (ab139736) at 1 µg/mL

Lane 2:

Western blot - Anti-LMX1b antibody (ab139736) at 2 µg/mL

All lanes:

A-20 cell lysate at 15 µg

Predicted band size: 42 kDa

false

Key facts

Host species

Rabbit

Clonality

Polyclonal

Isotype

IgG

Carrier free

No

Reacts with

Mouse

Applications

IHC-P, WB

applications

Immunogen

Synthetic Peptide within Human LMX1B. The exact immunogen used to generate this antibody is proprietary information.

O60663

Specificity

ab139736 is predicted to not cross-react with LMX1a.

Reactivity data

{ "title": "Reactivity Data", "filters": { "stats": ["", "Species", "Dilution Info", "Notes"], "tabs": { "all-applications": {"fullname" : "All Applications", "shortname": "All Applications"}, "WB" : {"fullname" : "Western blot", "shortname":"WB"}, "IHCP" : {"fullname" : "Immunohistochemistry (Formalin/PFA-fixed paraffin-embedded sections)", "shortname":"IHC-P"} }, "product-promise": { "all": "all", "testedAndGuaranteed": "tested", "guaranteed": "expected", "predicted": "predicted", "notRecommended": "not-recommended" } }, "values": { "Mouse": { "WB-species-checked": "testedAndGuaranteed", "WB-species-dilution-info": "1-2 µg/mL", "WB-species-notes": "<p></p>", "IHCP-species-checked": "testedAndGuaranteed", "IHCP-species-dilution-info": "5 µg/mL", "IHCP-species-notes": "<p></p>" } } }

Properties and storage information

Form
Liquid
Purification technique
Affinity purification Immunogen
Storage buffer
pH: 7.2 Preservative: 0.02% Sodium azide Constituents: PBS
Shipped at conditions
Blue Ice
Appropriate short-term storage duration
1-2 weeks
Appropriate short-term storage conditions
+4°C
Appropriate long-term storage conditions
-20°C
Aliquoting information
Upon delivery aliquot

Supplementary information

This supplementary information is collated from multiple sources and compiled automatically.

LMX1b also known as LIM homeobox transcription factor 1 beta functions as a transcription factor critical for the development of various tissues. This protein has a mass of approximately 42 kDa. LMX1b is mainly expressed in tissues such as the limb bud kidney and central nervous system during developmental stages. It regulates gene expression by binding to specific DNA sequences facilitating the transcription of target genes vital for tissue specification.
Biological function summary

LMX1b plays a significant role in differentiation and patterning processes. It acts in a transcriptional complex to regulate morphogenetic genes in developing tissues. Specifically LMX1b regulates dorsal-ventral patterning in limbs and kidney development. Mutations in this protein can result in critical errors during embryogenesis reflecting its importance in organogenesis and maintaining tissue homeostasis.

Pathways

LMX1b is involved in essential developmental signaling pathways such as the Wnt and Shh pathways. It interacts with other proteins like LDB1 and ISL1 in these pathways influencing gene networks that dictate cell fate and tissue architecture. The Wnt signaling pathway in particular is important for limb bud development where LMX1b ensures proper dorsal structures highlighting its regulatory role in morphogenetic signaling.

LMX1b mutations have strong associations with Nail-Patella Syndrome and Focal Segmental Glomerulosclerosis. Nail-Patella Syndrome results from disrupted LMX1b function leading to abnormalities in limb and nail development. The protein BMPR1B collaborates with LMX1b in bone morphogenesis and mutations can exacerbate disorder symptoms. Understanding LMX1b’s interactions offers insights into potential therapeutic pathways for managing these conditions.

Product protocols

For this product, it's our understanding that no specific protocols are required. You can visit:

Target data

Transcription factor involved in the regulation of podocyte-expressed genes (PubMed : 24042019, PubMed : 28059119). Essential for the specification of dorsal limb fate at both the zeugopodal and autopodal levels.
See full target information LMX1B

Publications (1)

Recent publications for all applications. Explore the full list and refine your search

Nature biomedical engineering 4:69-83 PubMed31844155

2019

Large-scale generation of functional mRNA-encapsulating exosomes via cellular nanoporation.

Applications

Unspecified application

Species

Unspecified reactive species

Zhaogang Yang,Junfeng Shi,Jing Xie,Yifan Wang,Jingyao Sun,Tongzheng Liu,Yarong Zhao,Xiuting Zhao,Xinmei Wang,Yifan Ma,Veysi Malkoc,Chiling Chiang,Weiye Deng,Yuanxin Chen,Yuan Fu,Kwang J Kwak,Yamin Fan,Chen Kang,Changcheng Yin,June Rhee,Paul Bertani,Jose Otero,Wu Lu,Kyuson Yun,Andrew S Lee,Wen Jiang,Lesheng Teng,Betty Y S Kim,L James Lee
View all publications

Product promise

We are committed to supporting your work with high-quality reagents, and we're here for you every step of the way. In the unlikely event that one of our products does not perform as expected, you're protected by our Product Promise.
For full details, please see our Terms & Conditions

Please note: All products are 'FOR RESEARCH USE ONLY. NOT FOR USE IN DIAGNOSTIC OR THERAPEUTIC PROCEDURES'.

For licensing inquiries, please contact partnerships@abcam.com