JavaScript is disabled in your browser. Please enable JavaScript to view this website.
AB281937

Anti-LMX1b antibody [EPR24053-161] - BSA and Azide free

Be the first to review this product! Submit a review

|

(0 Publication)

Rabbit Recombinant Monoclonal LMX1B antibody. Carrier free. Suitable for IP, Dot, WB, IHC-P and reacts with Mouse, Rat samples.

View Alternative Names

LIM homeobox transcription factor 1-beta, LIM/homeobox protein 1.2, LIM/homeobox protein LMX1B, LMX-1.2, Lmx1b

10 Images
Immunoprecipitation - Anti-LMX1b antibody [EPR24053-161] - BSA and Azide free (AB281937)
  • IP

Supplier Data

Immunoprecipitation - Anti-LMX1b antibody [EPR24053-161] - BSA and Azide free (AB281937)

This data was developed using ab259926, the same antibody clone in a different buffer formulation.

LMX1b was immunoprecipitated from 0.35 mg HEK-293T (human embryonic kidney) transfected with mouse LMX1b expression vector containing a myc-His-tag®, whole cell lysate 10 ug with ab259926 at 1/30 dilution (2ug in 0.35mg lysates). Western blot was performed on the immunoprecipitate using ab259926 at 1/1000 dilution. VeriBlot for IP Detection Reagent (HRP)(ab131366) was used at 1/5000 dilution.

Lane 1 : HEK-293T (human embryonic kidney) transfected with mouse LMX1b expression vector containing a myc-His-tag®, whole cell lysate 10 ug

Lane 2 : ab259926 IP in HEK-293T transfected with mouse LMX1b expression vector containing a myc-His-tag®, whole cell lysate

Lane 3 : Rabbit monoclonal IgG (ab172730) instead of ab259926 in HEK-293T transfected with mouse LMX1b expression vector containing a myc-His-tag®, whole cell lysate

Blocking and dilution buffer and concentration : 5% NFDM/TBST.

Exposure time : 32 seconds

All lanes:

Immunoprecipitation - Anti-LMX1b antibody [EPR24053-161] (<a href='/en-us/products/primary-antibodies/lmx1b-antibody-epr24053-161-ab259926'>ab259926</a>)

Predicted band size: 42 kDa

Observed band size: 45 kDa

false

Immunohistochemistry (Formalin/PFA-fixed paraffin-embedded sections) - Anti-LMX1b antibody [EPR24053-161] - BSA and Azide free (AB281937)
  • IHC-P

Supplier Data

Immunohistochemistry (Formalin/PFA-fixed paraffin-embedded sections) - Anti-LMX1b antibody [EPR24053-161] - BSA and Azide free (AB281937)

This data was developed using ab259926, the same antibody clone in a different buffer formulation.

Immunohistochemical analysis of paraffin-embedded Rat hypothalamus tissue labelling LMX1b with ab259926 at 1/2000 (0.278 ug/ml) dilution followed by a ready to use LeicaDS9800 (Bond™ Polymer Refine Detection). Nuclear staining on rat hypothalamus. The section was incubated with ab259926 for 30 mins at room temperature. The immunostaining was performed on a Leica Biosystems BOND® RX instrument Counterstained with Hematoxylin.

Secondary antibody only control : Secondary antibody is a ready to use LeicaDS9800 (Bond™ Polymer Refine Detection).

Heat mediated antigen retrieval with Tris-EDTA buffer (pH 9.0, epitope retrieval solution2) for 20 mins

Immunohistochemistry (Formalin/PFA-fixed paraffin-embedded sections) - Anti-LMX1b antibody [EPR24053-161] - BSA and Azide free (AB281937)
  • IHC-P

Supplier Data

Immunohistochemistry (Formalin/PFA-fixed paraffin-embedded sections) - Anti-LMX1b antibody [EPR24053-161] - BSA and Azide free (AB281937)

This data was developed using ab259926, the same antibody clone in a different buffer formulation.

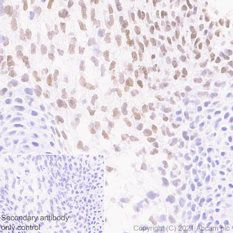
Immunohistochemical analysis of paraffin-embedded Mouse hypothalamus tissue labelling LMX1b with ab259926 at 1/2000 (0.278 ug/ml) dilution followed by a ready to use LeicaDS9800 (Bond™ Polymer Refine Detection). Nuclear staining on mouse hypothalamus (PMID : 27407143). The section was incubated with ab259926 for 30 mins at room temperature. The immunostaining was performed on a Leica Biosystems BOND® RX instrument Counterstained with Hematoxylin.

Secondary antibody only control : Secondary antibody is a ready to use LeicaDS9800 (Bond™ Polymer Refine Detection).

Heat mediated antigen retrieval with Tris-EDTA buffer (pH 9.0, epitope retrieval solution2) for 20 mins

Immunohistochemistry (Formalin/PFA-fixed paraffin-embedded sections) - Anti-LMX1b antibody [EPR24053-161] - BSA and Azide free (AB281937)
  • IHC-P

Supplier Data

Immunohistochemistry (Formalin/PFA-fixed paraffin-embedded sections) - Anti-LMX1b antibody [EPR24053-161] - BSA and Azide free (AB281937)

This data was developed using ab259926, the same antibody clone in a different buffer formulation.

Immunohistochemical analysis of paraffin-embedded Mouse stomach tissue labelling LMX1b with ab259926 at 1/2000 (0.278 ug/ml) dilution followed by a ready to use LeicaDS9800 (Bond™ Polymer Refine Detection). Negative control : almost no staining on mouse stomach. The section was incubated with ab259926 for 30 mins at room temperature. The immunostaining was performed on a Leica Biosystems BOND® RX instrument Counterstained with Hematoxylin.

Secondary antibody only control : Secondary antibody is a ready to use LeicaDS9800 (Bond™ Polymer Refine Detection).

Heat mediated antigen retrieval with Tris-EDTA buffer (pH 9.0, epitope retrieval solution2) for 20 mins

Immunohistochemistry (Formalin/PFA-fixed paraffin-embedded sections) - Anti-LMX1b antibody [EPR24053-161] - BSA and Azide free (AB281937)
  • IHC-P

Supplier Data

Immunohistochemistry (Formalin/PFA-fixed paraffin-embedded sections) - Anti-LMX1b antibody [EPR24053-161] - BSA and Azide free (AB281937)

This data was developed using ab259926, the same antibody clone in a different buffer formulation.

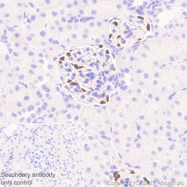
Immunohistochemical analysis of paraffin-embedded Rat kidney tissue labelling LMX1b with ab259926 at 1/2000 (0.278 ug/ml) dilution followed by a ready to use LeicaDS9800 (Bond™ Polymer Refine Detection). Nuclear staining on the glomerulus of rat kidney (PMID : 24785190). The section was incubated with ab259926 for 30 mins at room temperature. The immunostaining was performed on a Leica Biosystems BOND® RX instrument Counterstained with Hematoxylin.

Secondary antibody only control : Secondary antibody is a ready to use LeicaDS9800 (Bond™ Polymer Refine Detection).

Heat mediated antigen retrieval with Tris-EDTA buffer (pH 9.0, epitope retrieval solution2) for 20 mins

Immunohistochemistry (Formalin/PFA-fixed paraffin-embedded sections) - Anti-LMX1b antibody [EPR24053-161] - BSA and Azide free (AB281937)
  • IHC-P

Supplier Data

Immunohistochemistry (Formalin/PFA-fixed paraffin-embedded sections) - Anti-LMX1b antibody [EPR24053-161] - BSA and Azide free (AB281937)

This data was developed using ab259926, the same antibody clone in a different buffer formulation.

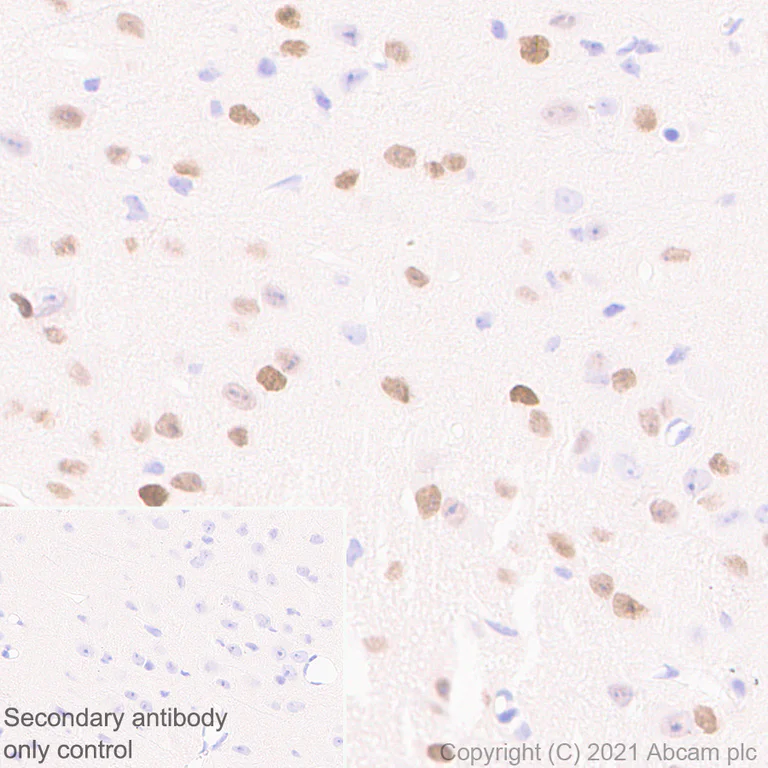
Immunohistochemical analysis of paraffin-embedded Rat E14.5 embryo tissue labelling LMX1b with ab259926 at 1/2000 (0.278 ug/ml) dilution followed by a ready to use LeicaDS9800 (Bond™ Polymer Refine Detection). Nuclear staining on the spinal cord of rat E14.5 embryo. The section was incubated with ab259926 for 30 mins at room temperature. The immunostaining was performed on a Leica Biosystems BOND® RX instrument Counterstained with Hematoxylin.

Secondary antibody only control : Secondary antibody is a ready to use LeicaDS9800 (Bond™ Polymer Refine Detection).

Heat mediated antigen retrieval with Tris-EDTA buffer (pH 9.0, epitope retrieval solution2) for 20 mins

Immunohistochemistry (Formalin/PFA-fixed paraffin-embedded sections) - Anti-LMX1b antibody [EPR24053-161] - BSA and Azide free (AB281937)
  • IHC-P

Supplier Data

Immunohistochemistry (Formalin/PFA-fixed paraffin-embedded sections) - Anti-LMX1b antibody [EPR24053-161] - BSA and Azide free (AB281937)

This data was developed using ab259926, the same antibody clone in a different buffer formulation.

Immunohistochemical analysis of paraffin-embedded Mouse kidney tissue labelling LMX1b with ab259926 at 1/2000 (0.278 ug/ml) dilution followed by a ready to use LeicaDS9800 (Bond™ Polymer Refine Detection). Nuclear staining on the glomerulus of mouse kidney. The section was incubated with ab259926 for 30 mins at room temperature. The immunostaining was performed on a Leica Biosystems BOND® RX instrument Counterstained with Hematoxylin.

Secondary antibody only control : Secondary antibody is a ready to use LeicaDS9800 (Bond™ Polymer Refine Detection).

Heat mediated antigen retrieval with Tris-EDTA buffer (pH 9.0, epitope retrieval solution2) for 20 mins

Western blot - Anti-LMX1b antibody [EPR24053-161] - BSA and Azide free (AB281937)
  • WB

Lab

Western blot - Anti-LMX1b antibody [EPR24053-161] - BSA and Azide free (AB281937)

This data was developed using ab259926, the same antibody clone in a different buffer formulation.

Blocking and diluting buffer and concentration : 5% NFDM/TBSTNegative control : stomach and ovary (PMID : 24056967).

This blot was developed using a higher sensitivity ECL substrate.

Exposure time : 3 minutes

All lanes:

Western blot - Anti-LMX1b antibody [EPR24053-161] (<a href='/en-us/products/primary-antibodies/lmx1b-antibody-epr24053-161-ab259926'>ab259926</a>) at 1/1000 dilution

Lane 1:

Mouse hypothalamus tissue lysate at 40 µg

Lane 2:

Mouse stomach tissue lysate at 40 µg

Lane 3:

Mouse ovary tissue lysate at 40 µg

Lane 4:

Rat hypothalamus tissue lysate at 40 µg

Lane 5:

Rat E17 embryo tissue lysate at 40 µg

Lane 6:

Rat stomach tissue lysate at 40 µg

Secondary

All lanes:

Western blot - VeriBlot for IP Detection Reagent (HRP) (<a href='/en-us/products/reagents/veriblot-for-ip-detection-reagent-hrp-ab131366'>ab131366</a>) at 1/1000 dilution

Predicted band size: 42 kDa

Observed band size: 45 kDa

false

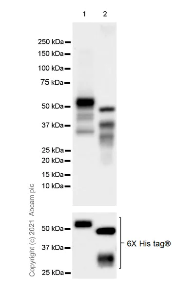
Western blot - Anti-LMX1b antibody [EPR24053-161] - BSA and Azide free (AB281937)
  • WB

Lab

Western blot - Anti-LMX1b antibody [EPR24053-161] - BSA and Azide free (AB281937)

This data was developed using ab259926, the same antibody clone in a different buffer formulation.

Blocking and diluting buffer and concentration : 5% NFDM/TBST

This antibody has a weak cross-reactivity with LMX1a.

Exposure time : 5.5 seconds

All lanes:

Western blot - Anti-LMX1b antibody [EPR24053-161] (<a href='/en-us/products/primary-antibodies/lmx1b-antibody-epr24053-161-ab259926'>ab259926</a>) at 1/1000 dilution

Lane 1:

HeLa (human cervix adenocarcinoma epithelial cell) transfected with mouse LMX1b full length expression vector containing a myc-His-tag®, whole cell lysate at 10 µg

Lane 2:

E.coli extracts containing his-tagged mouse LMX1a full length recombinant protein at 20 µL

Secondary

All lanes:

Western blot - Goat Anti-Rabbit IgG H&L (HRP) (<a href='/en-us/products/secondary-antibodies/goat-rabbit-igg-h-l-hrp-ab97051'>ab97051</a>) at 1/100000 dilution

Predicted band size: 42 kDa

false

Dot Blot - Anti-LMX1b antibody [EPR24053-161] - BSA and Azide free (AB281937)
  • Dot

Supplier Data

Dot Blot - Anti-LMX1b antibody [EPR24053-161] - BSA and Azide free (AB281937)

This data was developed using ab259926, the same antibody clone in a different buffer formulation.

Dot blot analysis of LMX1b using ab259926 at 1 : 1000 (0.556 ug/ml) followed by a Goat Anti-Rabbit IgG, (H+L), Peroxidase conjugated (ab97051) at 1 : 100,000 dilution.

Exposure time : 3 minutes

Blocking and diluting buffer and concentration : 5% NFDM/TBST

Key facts

Host species

Rabbit

Clonality

Monoclonal

Clone number

EPR24053-161

Isotype

IgG

Carrier free

Yes

Reacts with

Mouse, Rat

Applications

WB, Dot, IP, IHC-P

applications

Immunogen

The exact immunogen used to generate this antibody is proprietary information.

Reactivity data

{ "title": "Reactivity Data", "filters": { "stats": ["", "Species", "Dilution Info", "Notes"], "tabs": { "all-applications": {"fullname" : "All Applications", "shortname": "All Applications"}, "ICCIF" : {"fullname" : "Immunocytochemistry/ Immunofluorescence", "shortname":"ICC/IF"}, "IP" : {"fullname" : "Immunoprecipitation", "shortname":"IP"}, "Dot" : {"fullname" : "Dot Blot", "shortname":"Dot"}, "WB" : {"fullname" : "Western blot", "shortname":"WB"}, "IHCP" : {"fullname" : "Immunohistochemistry (Formalin/PFA-fixed paraffin-embedded sections)", "shortname":"IHC-P"}, "IHCFr" : {"fullname" : "Immunohistochemistry (Frozen sections)", "shortname":"IHC-Fr"}, "FlowCytIntra" : {"fullname" : "Flow Cytometry (Intracellular)", "shortname":"Flow Cyt (Intra)"} }, "product-promise": { "all": "all", "testedAndGuaranteed": "tested", "guaranteed": "expected", "predicted": "predicted", "notRecommended": "not-recommended" } }, "values": { "Human": { "ICCIF-species-checked": "notRecommended", "ICCIF-species-dilution-info": "", "ICCIF-species-notes": "", "IP-species-checked": "notRecommended", "IP-species-dilution-info": "", "IP-species-notes": "", "Dot-species-checked": "notRecommended", "Dot-species-dilution-info": "", "Dot-species-notes": "", "WB-species-checked": "notRecommended", "WB-species-dilution-info": "", "WB-species-notes": "<p></p>", "IHCP-species-checked": "notRecommended", "IHCP-species-dilution-info": "", "IHCP-species-notes": "<p></p>", "IHCFr-species-checked": "notRecommended", "IHCFr-species-dilution-info": "", "IHCFr-species-notes": "", "FlowCytIntra-species-checked": "notRecommended", "FlowCytIntra-species-dilution-info": "", "FlowCytIntra-species-notes": "" }, "Mouse": { "ICCIF-species-checked": "notRecommended", "ICCIF-species-dilution-info": "", "ICCIF-species-notes": "<p></p>", "IP-species-checked": "testedAndGuaranteed", "IP-species-dilution-info": "", "IP-species-notes": "<p></p>", "Dot-species-checked": "testedAndGuaranteed", "Dot-species-dilution-info": "", "Dot-species-notes": "<p></p>", "WB-species-checked": "testedAndGuaranteed", "WB-species-dilution-info": "", "WB-species-notes": "<p></p>", "IHCP-species-checked": "testedAndGuaranteed", "IHCP-species-dilution-info": "", "IHCP-species-notes": "<p></p>", "IHCFr-species-checked": "notRecommended", "IHCFr-species-dilution-info": "", "IHCFr-species-notes": "<p></p>", "FlowCytIntra-species-checked": "notRecommended", "FlowCytIntra-species-dilution-info": "", "FlowCytIntra-species-notes": "<p></p>" }, "Rat": { "ICCIF-species-checked": "notRecommended", "ICCIF-species-dilution-info": "", "ICCIF-species-notes": "", "IP-species-checked": "guaranteed", "IP-species-dilution-info": "", "IP-species-notes": "", "Dot-species-checked": "guaranteed", "Dot-species-dilution-info": "", "Dot-species-notes": "", "WB-species-checked": "testedAndGuaranteed", "WB-species-dilution-info": "", "WB-species-notes": "<p></p>", "IHCP-species-checked": "testedAndGuaranteed", "IHCP-species-dilution-info": "", "IHCP-species-notes": "<p></p>", "IHCFr-species-checked": "notRecommended", "IHCFr-species-dilution-info": "", "IHCFr-species-notes": "", "FlowCytIntra-species-checked": "notRecommended", "FlowCytIntra-species-dilution-info": "", "FlowCytIntra-species-notes": "<p></p>" } } }

Product details

ab281937 is the carrier-free version of ab259926.

Patented technology
Our RabMAb® technology is a patented hybridoma-based technology for making rabbit monoclonal antibodies. For details on our patents, please refer to RabMAb® patents.

What are the advantages of a recombinant monoclonal antibody?
This product is a recombinant monoclonal antibody, which offers several advantages including:

  • - High batch-to-batch consistency and reproducibility
  • - Improved sensitivity and specificity
  • - Long-term security of supply
  • - Animal-free batch production

For more information, read more on recombinant antibodies.

Conjugation ready
Our carrier-free antibodies are typically supplied in a PBS-only formulation, purified and free of BSA, sodium azide and glycerol. This conjugation-ready format is designed for use with fluorochromes, metal isotopes, oligonucleotides, and enzymes, which makes them ideal for antibody labelling, functional and cell-based assays, flow-based assays (e.g. mass cytometry) and Multiplex Imaging applications.

Use our conjugation kits for antibody conjugates that are ready-to-use in as little as 20 minutes with 1 minute hands-on-time and 100% antibody recovery: available for fluorescent dyes, HRP, biotin and gold.

Compatibility
This product is compatible with the Maxpar® Antibody Labeling Kit from Fluidigm, without the need for antibody preparation. Maxpar® is a trademark of Fluidigm Canada Inc.

Properties and storage information

Form
Liquid
Purification technique
Affinity purification Protein A
Storage buffer
pH: 7.2 - 7.4 Constituents: PBS
Shipped at conditions
Blue Ice
Appropriate short-term storage conditions
+4°C
Appropriate long-term storage conditions
+4°C

Supplementary information

This supplementary information is collated from multiple sources and compiled automatically.

LMX1b also known as LIM homeobox transcription factor 1 beta functions as a transcription factor critical for the development of various tissues. This protein has a mass of approximately 42 kDa. LMX1b is mainly expressed in tissues such as the limb bud kidney and central nervous system during developmental stages. It regulates gene expression by binding to specific DNA sequences facilitating the transcription of target genes vital for tissue specification.
Biological function summary

LMX1b plays a significant role in differentiation and patterning processes. It acts in a transcriptional complex to regulate morphogenetic genes in developing tissues. Specifically LMX1b regulates dorsal-ventral patterning in limbs and kidney development. Mutations in this protein can result in critical errors during embryogenesis reflecting its importance in organogenesis and maintaining tissue homeostasis.

Pathways

LMX1b is involved in essential developmental signaling pathways such as the Wnt and Shh pathways. It interacts with other proteins like LDB1 and ISL1 in these pathways influencing gene networks that dictate cell fate and tissue architecture. The Wnt signaling pathway in particular is important for limb bud development where LMX1b ensures proper dorsal structures highlighting its regulatory role in morphogenetic signaling.

LMX1b mutations have strong associations with Nail-Patella Syndrome and Focal Segmental Glomerulosclerosis. Nail-Patella Syndrome results from disrupted LMX1b function leading to abnormalities in limb and nail development. The protein BMPR1B collaborates with LMX1b in bone morphogenesis and mutations can exacerbate disorder symptoms. Understanding LMX1b’s interactions offers insights into potential therapeutic pathways for managing these conditions.

Product protocols

For this product, it's our understanding that no specific protocols are required. You can visit:

Target data

Transcription factor involved in the regulation of podocyte-expressed genes. Essential for the specification of dorsal limb fate at both the zeugopodal and autopodal levels.
See full target information Lmx1b

Product promise

We are committed to supporting your work with high-quality reagents, and we're here for you every step of the way. In the unlikely event that one of our products does not perform as expected, you're protected by our Product Promise.
For full details, please see our Terms & Conditions

Please note: All products are 'FOR RESEARCH USE ONLY. NOT FOR USE IN DIAGNOSTIC OR THERAPEUTIC PROCEDURES'.

For licensing inquiries, please contact partnerships@abcam.com