JavaScript is disabled in your browser. Please enable JavaScript to view this website.
AB240187

Anti-Loricrin antibody [EPR7148(2)(B)] - BSA and Azide free

  • BOND RX™ Validated
  • Recombinant
  • Advanced Validation
  • RabMAb
  • What is this?

Be the first to review this product! Submit a review

|

(1 Publication)

Rabbit Recombinant Monoclonal Loricrin antibody. Carrier free. Suitable for IHC-P, WB, mIHC and reacts with Human samples. Cited in 1 publication.

View Alternative Names

LOR, LRN, LORICRIN, Loricrin

2 Images
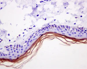
Immunohistochemistry (Formalin/PFA-fixed paraffin-embedded sections) - Anti-Loricrin antibody [EPR7148(2)(B)] - BSA and Azide free (AB240187)
  • IHC-P

Supplier Data

Immunohistochemistry (Formalin/PFA-fixed paraffin-embedded sections) - Anti-Loricrin antibody [EPR7148(2)(B)] - BSA and Azide free (AB240187)

Immunohistochemical analysis of paraffin-embedded Human skin tissue labeling Loricrin using ab176322 at a 1/250 dilution.

This data was developed using the same antibody clone in a different buffer formulation containing PBS, BSA, glycerol, and sodium azide (ab176322).

Perform heat mediated antigen retrieval with citrate buffer pH 6 before commencing with IHC staining protocol.

Multiplex immunohistochemistry - Anti-Loricrin antibody [EPR7148(2)(B)] - BSA and Azide free (AB240187)
  • mIHC

Supplier Data

Multiplex immunohistochemistry - Anti-Loricrin antibody [EPR7148(2)(B)] - BSA and Azide free (AB240187)

Immunohistochemistry (Formalin/PFA-fixed paraffin-embedded sections) analysis of Human skin tissue labelling Aquaporin 3 with ab307969 at 1/5000 dilution (0.094 µg/mL) (B), Loricrin with ab176322 at 1/3000 dilution (0.031 μg/ml) (C) and Filaggrin with ab221155 at 1/2000 dilution (0.523 μg/ml) (D). Opal Polymer HRP Ms + Rb was used as a secondary antibody, and DAPI was used for a nuclear counter stain. Heat mediated antigen retrieval with Tris-EDTA buffer (pH 9.0, epitope retrieval solution2) for 20 mins. Panel A : merged staining of anti-Aquaporin 3 (magenta; Opal™690), anti-Loricrin (green; Opal™520) and anti-Filaggrin (red; Opal™570) on human skin. Panel B : anti-Aquaporin 3 stained on keratinocytes from the stratum basale to the stratum granulosum of the epidermis. Panel C : anti-Loricrin stained on stratum corneum. Panel D : anti-Filaggrin stained on the granular to stratum corneum transition. The section was incubated in three rounds of staining : in the order of ab307969, ab176322, and ab221155 for 30 mins at room temperature. Each round was followed by a separate fluorescent tyramide signal amplification system. The immunostaining was performed on a Leica Biosystems BOND® RX instrument with an Opal™ 4-color kit. Image acquisition was performed with Leica SP8 confocal microscope.

  • Unconjugated

    Anti-Loricrin antibody [EPR7148(2)(B)]

  • 578 PE

    PE Anti-Loricrin antibody [EPR7148(2)(B)]

  • 660 APC

    APC Anti-Loricrin antibody [EPR7148(2)(B)]

  • 665 Alexa Fluor® 647

    Alexa Fluor® 647 Anti-Loricrin antibody [EPR7148(2)(B)]

  • 565 Alexa Fluor® 555

    Alexa Fluor® 555 Anti-Loricrin antibody [EPR7148(2)(B)]

  • 617 Alexa Fluor® 594

    Alexa Fluor® 594 Anti-Loricrin antibody [EPR7148(2)(B)]

  • 519 Alexa Fluor® 488

    Alexa Fluor® 488 Anti-Loricrin antibody [EPR7148(2)(B)]

  • 775 Alexa Fluor® 750

    Alexa Fluor® 750 Anti-Loricrin antibody [EPR7148(2)(B)]

Key facts

Host species

Rabbit

Clonality

Monoclonal

Clone number

EPR7148(2)(B)

Isotype

IgG

Carrier free

Yes

Reacts with

Human

Applications

IHC-P, WB, mIHC

applications

Immunogen

The exact immunogen used to generate this antibody is proprietary information.

Reactivity data

{ "title": "Reactivity Data", "filters": { "stats": ["", "Species", "Dilution Info", "Notes"], "tabs": { "all-applications": {"fullname" : "All Applications", "shortname": "All Applications"}, "IHCP" : {"fullname" : "Immunohistochemistry (Formalin/PFA-fixed paraffin-embedded sections)", "shortname":"IHC-P"}, "ICCIF" : {"fullname" : "Immunocytochemistry/ Immunofluorescence", "shortname":"ICC/IF"}, "IP" : {"fullname" : "Immunoprecipitation", "shortname":"IP"}, "WB" : {"fullname" : "Western blot", "shortname":"WB"}, "mIHC" : {"fullname" : "Multiplex immunohistochemistry", "shortname":"mIHC"} }, "product-promise": { "all": "all", "testedAndGuaranteed": "tested", "guaranteed": "expected", "predicted": "predicted", "notRecommended": "not-recommended" } }, "values": { "Human": { "IHCP-species-checked": "testedAndGuaranteed", "IHCP-species-dilution-info": "", "IHCP-species-notes": "<p></p>", "ICCIF-species-checked": "notRecommended", "ICCIF-species-dilution-info": "", "ICCIF-species-notes": "<p></p>", "IP-species-checked": "notRecommended", "IP-species-dilution-info": "", "IP-species-notes": "<p></p>", "WB-species-checked": "guaranteed", "WB-species-dilution-info": "", "WB-species-notes": "<p></p>", "mIHC-species-checked": "testedAndGuaranteed", "mIHC-species-dilution-info": "", "mIHC-species-notes": "<p></p>" } } }

Product details

ab240187 is the carrier-free version of ab176322.

Species reactivity
Mouse, Rat: We have preliminary internal testing data to indicate this antibody may not react with these species.
Please contact us for more information.

Patented technology
Our RabMAb® technology is a patented hybridoma-based technology for making rabbit monoclonal antibodies. For details on our patents, please refer to RabMAb® patents.

What are the advantages of a recombinant monoclonal antibody?
This product is a recombinant monoclonal antibody, which offers several advantages including:

  • - High batch-to-batch consistency and reproducibility
  • - Improved sensitivity and specificity
  • - Long-term security of supply
  • - Animal-free batch production

For more information, read more on recombinant antibodies.

Conjugation ready
Our carrier-free antibodies are typically supplied in a PBS-only formulation, purified and free of BSA, sodium azide and glycerol. This conjugation-ready format is designed for use with fluorochromes, metal isotopes, oligonucleotides, and enzymes, which makes them ideal for antibody labelling, functional and cell-based assays, flow-based assays (e.g. mass cytometry) and Multiplex Imaging applications.

Use our conjugation kits for antibody conjugates that are ready-to-use in as little as 20 minutes with 1 minute hands-on-time and 100% antibody recovery: available for fluorescent dyes, HRP, biotin and gold.

Compatibility
This product is compatible with the Maxpar® Antibody Labeling Kit from Fluidigm, without the need for antibody preparation. Maxpar® is a trademark of Fluidigm Canada Inc.

Properties and storage information

Form
Liquid
Purification technique
Affinity purification Protein A
Storage buffer
pH: 7.2 - 7.4 Constituents: PBS
Shipped at conditions
Blue Ice
Appropriate short-term storage conditions
+4°C
Appropriate long-term storage conditions
+4°C
Storage information
Do Not Freeze

Product protocols

For this product, it's our understanding that no specific protocols are required. You can visit:

Target data

Major keratinocyte cell envelope protein.
See full target information LORICRIN

Publications (1)

Recent publications for all applications. Explore the full list and refine your search

PLoS pathogens 19:e1011090 PubMed36634130

2023

Exosomes mediate Coxsackievirus B3 transmission and expand the viral tropism.

Applications

Unspecified application

Species

Unspecified reactive species

Yuxuan Fu,Sidong Xiong
View all publications

Product promise

We are committed to supporting your work with high-quality reagents, and we're here for you every step of the way. In the unlikely event that one of our products does not perform as expected, you're protected by our Product Promise.
For full details, please see our Terms & Conditions

Please note: All products are 'FOR RESEARCH USE ONLY. NOT FOR USE IN DIAGNOSTIC OR THERAPEUTIC PROCEDURES'.

For licensing inquiries, please contact partnerships@abcam.com