JavaScript is disabled in your browser. Please enable JavaScript to view this website.
AB203246

Anti-LOX 1 antibody - C-terminal

Be the first to review this product! Submit a review

|

(5 Publications)

Rabbit Polyclonal LOX 1 antibody. C-terminal. Suitable for IHC-P and reacts with Rat samples. Cited in 5 publications. Immunogen corresponding to Synthetic Peptide within Rabbit OLR1 aa 200 to C-terminus conjugated to Keyhole Limpet Haemocyanin.

View Alternative Names

Lox1, Oldlr1, Olr1, Oxidized low-density lipoprotein receptor 1, Ox-LDL receptor 1, Lectin-like oxidized LDL receptor 1, Lectin-type oxidized LDL receptor 1, LOX-1, Lectin-like oxLDL receptor 1

1 Images
Immunohistochemistry (Formalin/PFA-fixed paraffin-embedded sections) - Anti-LOX 1 antibody - C-terminal (AB203246)
  • IHC-P

Supplier Data

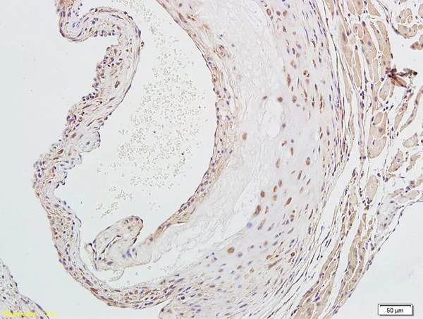
Immunohistochemistry (Formalin/PFA-fixed paraffin-embedded sections) - Anti-LOX 1 antibody - C-terminal (AB203246)

Immunohistochemical analysis of formalin-fixed paraffin-embedded rat aorta tissue labeling LOX 1 with ab203246 at 1/100 dilution, followed by conjugation to the secondary antibody and DAB staining.

Key facts

Host species

Rabbit

Clonality

Polyclonal

Isotype

IgG

Carrier free

No

Reacts with

Rat

Applications

IHC-P

applications

Immunogen

Synthetic Peptide within Rabbit OLR1 aa 200 to C-terminus conjugated to Keyhole Limpet Haemocyanin. The exact immunogen used to generate this antibody is proprietary information.

Q9XTA8

Reactivity data

{ "title": "Reactivity Data", "filters": { "stats": ["", "Species", "Dilution Info", "Notes"], "tabs": { "all-applications": {"fullname" : "All Applications", "shortname": "All Applications"}, "IHCP" : {"fullname" : "Immunohistochemistry (Formalin/PFA-fixed paraffin-embedded sections)", "shortname":"IHC-P"} }, "product-promise": { "all": "all", "testedAndGuaranteed": "tested", "guaranteed": "expected", "predicted": "predicted", "notRecommended": "not-recommended" } }, "values": { "Rat": { "IHCP-species-checked": "testedAndGuaranteed", "IHCP-species-dilution-info": "1/100 - 1/500", "IHCP-species-notes": "<p>1/50-1/200 when using fluorescent detection methods.</p>" } } }

Properties and storage information

Form
Liquid
Purification technique
Affinity purification Protein A
Storage buffer
pH: 7.4 Preservative: 0.02% Proclin 300 Constituents: 50% Glycerol (glycerin, glycerine), 48.98% TBS, 1X, 1% BSA
Shipped at conditions
Blue Ice
Appropriate short-term storage duration
1-2 weeks
Appropriate short-term storage conditions
+4°C
Appropriate long-term storage conditions
-20°C
Aliquoting information
Upon delivery aliquot
Storage information
Avoid freeze / thaw cycle

Product protocols

For this product, it's our understanding that no specific protocols are required. You can visit:

Target data

Receptor that mediates the recognition, internalization and degradation of oxidatively modified low density lipoprotein (oxLDL) by vascular endothelial cells. OxLDL is a marker of atherosclerosis that induces vascular endothelial cell activation and dysfunction, resulting in pro-inflammatory responses, pro-oxidative conditions and apoptosis. Its association with oxLDL induces the activation of NF-kappa-B through an increased production of intracellular reactive oxygen and a variety of pro-atherogenic cellular responses including a reduction of nitric oxide (NO) release, monocyte adhesion and apoptosis. In addition to binding oxLDL, it acts as a receptor for the HSP70 protein involved in antigen cross-presentation to naive T-cells in dendritic cells, thereby participating in cell-mediated antigen cross-presentation. Also involved in inflammatory process, by acting as a leukocyte-adhesion molecule at the vascular interface in endotoxin-induced inflammation. Also acts as a receptor for advanced glycation end (AGE) products, activated platelets, monocytes, apoptotic cells and both Gram-negative and Gram-positive bacteria.
See full target information Olr1

Publications (5)

Recent publications for all applications. Explore the full list and refine your search

Oxidative medicine and cellular longevity 2022:7541411 PubMed35391927

2022

Reducing the Damage of Ox-LDL/LOX-1 Pathway to Vascular Endothelial Barrier Can Inhibit Atherosclerosis.

Applications

Unspecified application

Species

Unspecified reactive species

Xiaopeng Guo,Yishan Guo,Zhiwen Wang,Bingxin Cao,Chuansheng Zheng,Zhuanglin Zeng,Yumiao Wei

Molecular medicine (Cambridge, Mass.) 28:26 PubMed35236285

2022

The LOX-1 receptor ectopically expressed in the liver alleviates atherosclerosis by clearing Ox-LDL from the circulation.

Applications

Unspecified application

Species

Unspecified reactive species

Zhiwen Wang,Juan Chen,Zhuanglin Zeng,Qing Zhang,Gaohui Du,Xiaopeng Guo,Yumiao Wei

Science advances 5:eaax9183 PubMed31692955

2019

Myeloid Tribbles 1 induces early atherosclerosis via enhanced foam cell expansion.

Applications

Unspecified application

Species

Unspecified reactive species

Jessica M Johnston,Adrienn Angyal,Robert C Bauer,Stephen Hamby,S Kim Suvarna,Kajus Baidžajevas,Zoltan Hegedus,T Neil Dear,Martin Turner,Heather L Wilson,Alison H Goodall,Daniel J Rader,Carol C Shoulders,Sheila E Francis,Endre Kiss-Toth

Biomedicine & pharmacotherapy = Biomedecine & phar 118:109251 PubMed31351426

2019

PPAR signaling pathway in the first trimester placenta from in vitro fertilization and embryo transfer.

Applications

Unspecified application

Species

Unspecified reactive species

Liang Zhao,Xiuli Zheng,Jingfang Liu,Rong Zheng,Rui Yang,Ying Wang,Lifang Sun

PPAR research 2019:2715176 PubMed31354796

2019

Peroxisome Proliferator-Activated Receptor-γ Antagonizes LOX-1-Mediated Endothelial Injury by Transcriptional Activation of miR-590-5p.

Applications

Unspecified application

Species

Unspecified reactive species

Lei Xu,Gang Zhao,Hong Zhu,Shijun Wang,Aijun Sun,Yunzeng Zou,Junbo Ge
View all publications

Product promise

We are committed to supporting your work with high-quality reagents, and we're here for you every step of the way. In the unlikely event that one of our products does not perform as expected, you're protected by our Product Promise.
For full details, please see our Terms & Conditions

Please note: All products are 'FOR RESEARCH USE ONLY. NOT FOR USE IN DIAGNOSTIC OR THERAPEUTIC PROCEDURES'.

For licensing inquiries, please contact partnerships@abcam.com