JavaScript is disabled in your browser. Please enable JavaScript to view this website.
AB325339

Anti-LOX 1 antibody [EPR27185-134]

Be the first to review this product! Submit a review

|

(0 Publication)

Rabbit Recombinant Monoclonal LOX 1 antibody. Suitable for Flow Cyt, IHC-P, WB and reacts with Human samples.

View Alternative Names

CLEC8A, LOX1, OLR1, Oxidized low-density lipoprotein receptor 1, Ox-LDL receptor 1, C-type lectin domain family 8 member A, Lectin-like oxidized LDL receptor 1, Lectin-type oxidized LDL receptor 1, LOX-1, Lectin-like oxLDL receptor 1, hLOX-1

8 Images
Immunohistochemistry (Formalin/PFA-fixed paraffin-embedded sections) - Anti-LOX 1 antibody [EPR27185-134] (AB325339)
  • IHC-P

Lab

Immunohistochemistry (Formalin/PFA-fixed paraffin-embedded sections) - Anti-LOX 1 antibody [EPR27185-134] (AB325339)

Immunohistochemical analysis of paraffin-embedded Human skeletal muscle tissue labeling LOX 1 with ab325339 at 1/100 (5.05 µg/ml) dilution, followed by a ready to use LeicaDS9800 (Bond™ Polymer Refine Detection).

Low expression tissue : Weak staining on human skeletal muscle (HPA datasheet).

The primary antibody was incubated for 30 mins at room temperature.

The immunostaining was performed on a Leica Biosystems BOND® RX instrument

Counterstained with Hematoxylin.

Secondary antibody only control : Secondary antibody is a ready to use LeicaDS9800 (Bond™ Polymer Refine Detection).

Heat mediated antigen retrieval was performed with Tris-EDTA buffer (pH 9.0, Epitope Retrieval Solution2) for 20 mins

Immunohistochemistry (Formalin/PFA-fixed paraffin-embedded sections) - Anti-LOX 1 antibody [EPR27185-134] (AB325339)
  • IHC-P

Lab

Immunohistochemistry (Formalin/PFA-fixed paraffin-embedded sections) - Anti-LOX 1 antibody [EPR27185-134] (AB325339)

Immunohistochemical analysis of paraffin-embedded Human spleen tissue labeling LOX 1 with ab325339 at 1/100 (5.05 µg/ml) dilution, followed by a ready to use LeicaDS9800 (Bond™ Polymer Refine Detection).

Positive staining on human spleen.

The primary antibody was incubated for 30 mins at room temperature.

The immunostaining was performed on a Leica Biosystems BOND® RX instrument

Counterstained with Hematoxylin.

Secondary antibody only control : Secondary antibody is a ready to use LeicaDS9800 (Bond™ Polymer Refine Detection).

Heat mediated antigen retrieval was performed with Tris-EDTA buffer (pH 9.0, Epitope Retrieval Solution2) for 20 mins

Flow Cytometry - Anti-LOX 1 antibody [EPR27185-134] (AB325339)
  • Flow Cyt

Lab

Flow Cytometry - Anti-LOX 1 antibody [EPR27185-134] (AB325339)

Flow cytometric analysis of 786-O (human kidney epithelial cell, Left) DLD-1 (human colorectal adenocarcinoma epithelial cell, Right) cells labelling LOX 1 with ab325339 at 1/500 dilution (0.1ug) / Red compared with a Rabbit monoclonal IgG (ab172730) / Black isotype control and an unlabelled control (cells without incubation with primary antibody and secondary antibody)/ Blue.

Goat anti-Rabbit IgG (Alexa Fluor® 647, ab150083) at 1/5000 dilution was used as the secondary antibody.

Gated on viable cells. Negative control : 786-O.

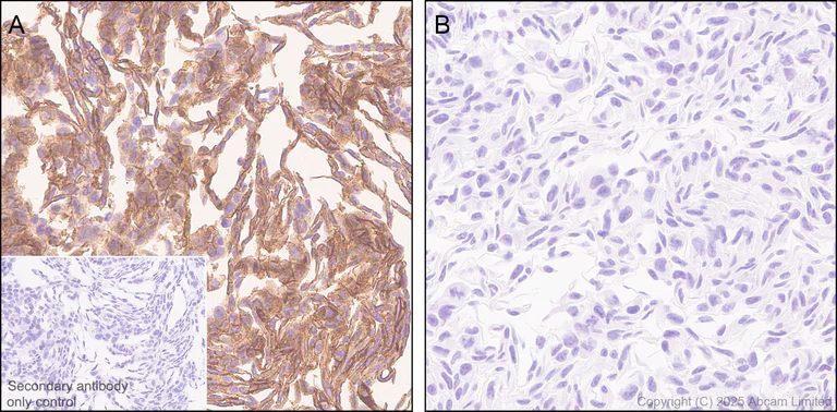
Immunohistochemistry (Formalin/PFA-fixed paraffin-embedded sections) - Anti-LOX 1 antibody [EPR27185-134] (AB325339)
  • IHC-P

Lab

Immunohistochemistry (Formalin/PFA-fixed paraffin-embedded sections) - Anti-LOX 1 antibody [EPR27185-134] (AB325339)

Immunohistochemical analysis of paraffin-embedded (A) DLD-1 (human colorectal adenocarcinoma epithelial cell) cell pellet and (B) 786-O (human kidney epithelial cell) cell pellet labeling LOX 1 with ab325339 at 1/100 (5.05 µg/ml) dilution, followed by a ready to use LeicaDS9800 (Bond™ Polymer Refine Detection).

Positive staining on (A) DLD-1 cell pellet, no staining on (B) 786-O cell pellet.

The primary antibody was incubated for 30 mins at room temperature.

The immunostaining was performed on a Leica Biosystems BOND® RX instrument

Counterstained with Hematoxylin.

Secondary antibody only control : Secondary antibody is a ready to use LeicaDS9800 (Bond™ Polymer Refine Detection).

Heat mediated antigen retrieval was performed with Tris-EDTA buffer (pH 9.0, Epitope Retrieval Solution2) for 20 mins

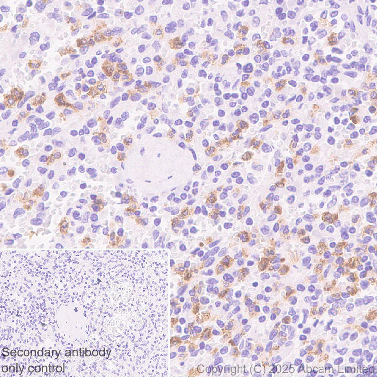
Immunohistochemistry (Formalin/PFA-fixed paraffin-embedded sections) - Anti-LOX 1 antibody [EPR27185-134] (AB325339)
  • IHC-P

Lab

Immunohistochemistry (Formalin/PFA-fixed paraffin-embedded sections) - Anti-LOX 1 antibody [EPR27185-134] (AB325339)

Immunohistochemical analysis of paraffin-embedded Human colon carcinoma tissue labeling LOX 1 with ab325339 at 1/100 (5.05 µg/ml) dilution, followed by a ready to use LeicaDS9800 (Bond™ Polymer Refine Detection).

Positive staining on immune cells in human colon carcinoma.

The primary antibody was incubated for 30 mins at room temperature.

The immunostaining was performed on a Leica Biosystems BOND® RX instrument

Counterstained with Hematoxylin.

Secondary antibody only control : Secondary antibody is a ready to use LeicaDS9800 (Bond™ Polymer Refine Detection).

Heat mediated antigen retrieval was performed with Tris-EDTA buffer (pH 9.0, Epitope Retrieval Solution2) for 20 mins

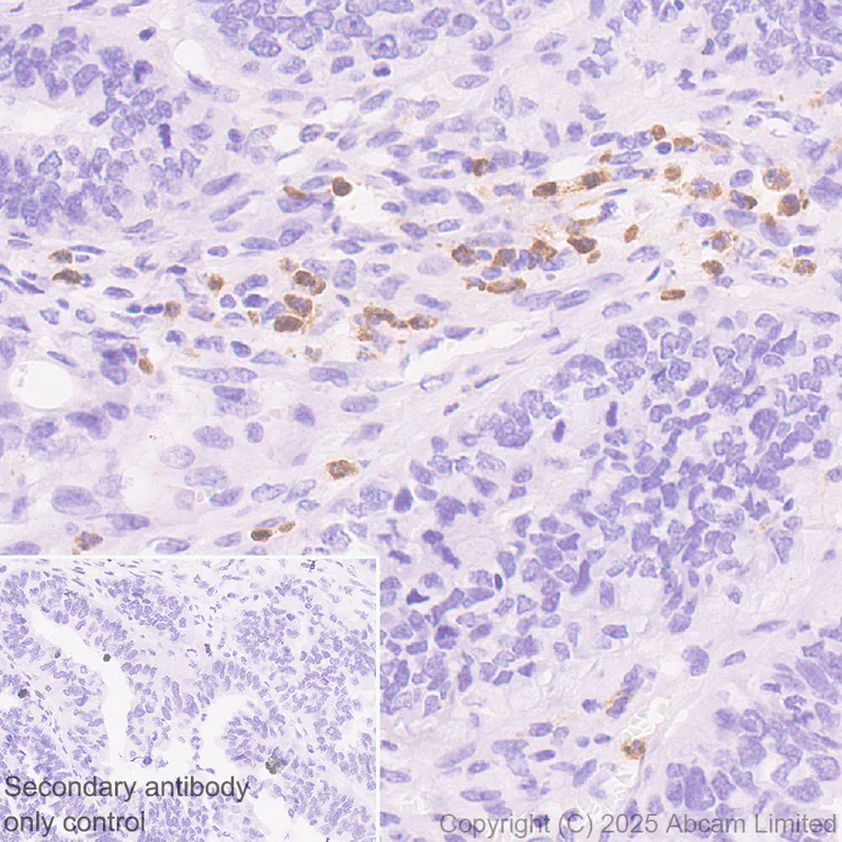
Immunohistochemistry (Formalin/PFA-fixed paraffin-embedded sections) - Anti-LOX 1 antibody [EPR27185-134] (AB325339)
  • IHC-P

Lab

Immunohistochemistry (Formalin/PFA-fixed paraffin-embedded sections) - Anti-LOX 1 antibody [EPR27185-134] (AB325339)

Immunohistochemical analysis of paraffin-embedded Human ovarian carcinoma tissue labeling LOX 1 with ab325339 at 1/100 (5.05 µg/ml) dilution, followed by a ready to use LeicaDS9800 (Bond™ Polymer Refine Detection).

Positive staining on immune cells in human ovarian carcinoma.

The primary antibody was incubated for 30 mins at room temperature.

The immunostaining was performed on a Leica Biosystems BOND® RX instrument

Counterstained with Hematoxylin.

Secondary antibody only control : Secondary antibody is a ready to use LeicaDS9800 (Bond™ Polymer Refine Detection).

Heat mediated antigen retrieval was performed with Tris-EDTA buffer (pH 9.0, Epitope Retrieval Solution2) for 20 mins

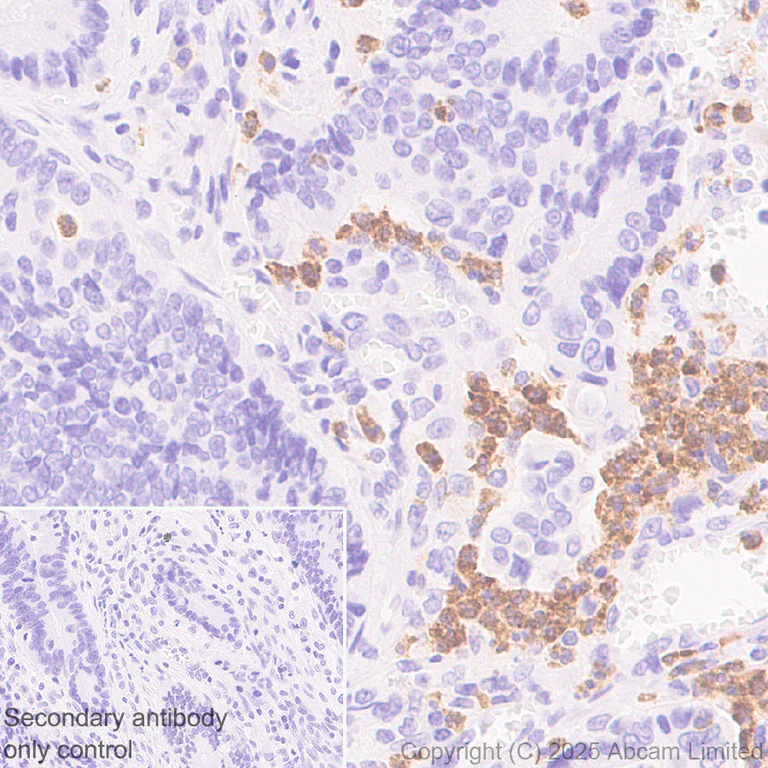
Immunohistochemistry (Formalin/PFA-fixed paraffin-embedded sections) - Anti-LOX 1 antibody [EPR27185-134] (AB325339)
  • IHC-P

Lab

Immunohistochemistry (Formalin/PFA-fixed paraffin-embedded sections) - Anti-LOX 1 antibody [EPR27185-134] (AB325339)

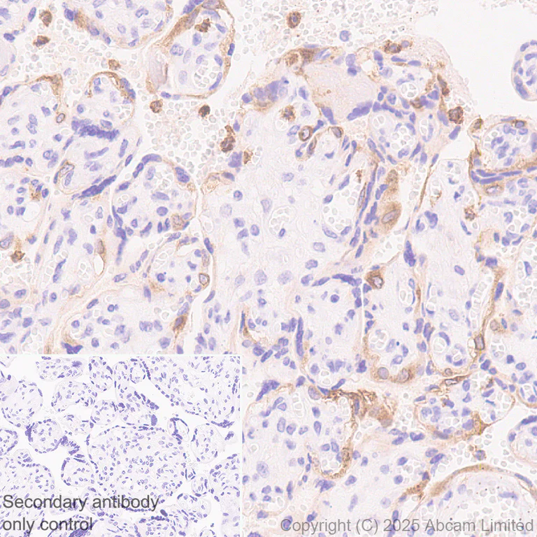
Immunohistochemical analysis of paraffin-embedded Human placenta tissue labeling LOX 1 with ab325339 at 1/100 (5.05 µg/ml) dilution, followed by a ready to use LeicaDS9800 (Bond™ Polymer Refine Detection).

Positive staining on human placenta (PMID : 18599643).

The primary antibody was incubated for 30 mins at room temperature.

The immunostaining was performed on a Leica Biosystems BOND® RX instrument

Counterstained with Hematoxylin.

Secondary antibody only control : Secondary antibody is a ready to use LeicaDS9800 (Bond™ Polymer Refine Detection).

Heat mediated antigen retrieval was performed with Tris-EDTA buffer (pH 9.0, Epitope Retrieval Solution2) for 20 mins

Western blot - Anti-LOX 1 antibody [EPR27185-134] (AB325339)
  • WB

Lab

Western blot - Anti-LOX 1 antibody [EPR27185-134] (AB325339)

Blocking and diluting buffer and concentration : 5% NFDM/TBST.

Negative control : 786-O.

Low expression : THP-1.

In Western blot, Anti-GAPDH antibody [EPR16891] - Loading Control (ab181602) (1 : 200000) (36KDa).

All lanes:

Western blot - Anti-LOX 1 antibody [EPR27185-134] (ab325339) at 1/1000 dilution

Lane 1:

DLD-1 (human colorectal adenocarcinoma epithelial cell) whole cell lysate at 20 µg

Lane 2:

786-O (human kidney epithelial cell) whole cell lysate at 20 µg

Lane 3:

HCT-15 (human colon epithelial cell) whole cell lysate at 20 µg

Lane 4:

THP-1 (human monocytic leukemia monocyte) whole cell lysate at 20 µg

Secondary

All lanes:

Western blot - Goat Anti-Rabbit IgG H&L (HRP) (<a href='/en-us/products/secondary-antibodies/goat-rabbit-igg-h-l-hrp-ab97051'>ab97051</a>) at 1/20000 dilution

Observed band size: 35-42 kDa,36 kDa

false

Exposure time: 180s

  • Carrier free

    Anti-LOX 1 antibody [EPR27185-134] - BSA and Azide free

Key facts

Host species

Rabbit

Clonality

Monoclonal

Clone number

EPR27185-134

Isotype

IgG

Carrier free

No

Reacts with

Human

Applications

Flow Cyt, IHC-P, WB

applications

Immunogen

The exact immunogen used to generate this antibody is proprietary information.

Reactivity data

{ "title": "Reactivity Data", "filters": { "stats": ["", "Species", "Dilution Info", "Notes"], "tabs": { "all-applications": {"fullname" : "All Applications", "shortname": "All Applications"}, "FlowCyt" : {"fullname" : "Flow Cytometry", "shortname":"Flow Cyt"}, "IHCP" : {"fullname" : "Immunohistochemistry (Formalin/PFA-fixed paraffin-embedded sections)", "shortname":"IHC-P"}, "WB" : {"fullname" : "Western blot", "shortname":"WB"} }, "product-promise": { "all": "all", "testedAndGuaranteed": "tested", "guaranteed": "expected", "predicted": "predicted", "notRecommended": "not-recommended" } }, "values": { "Human": { "FlowCyt-species-checked": "testedAndGuaranteed", "FlowCyt-species-dilution-info": "1/500", "FlowCyt-species-notes": "<p></p>", "IHCP-species-checked": "testedAndGuaranteed", "IHCP-species-dilution-info": "1/100", "IHCP-species-notes": "<p></p> Perform heat-mediated antigen retrieval with Tris/EDTA buffer pH 9.0 before commencing with IHC staining protocol.", "WB-species-checked": "testedAndGuaranteed", "WB-species-dilution-info": "1/1000", "WB-species-notes": "<p></p>" } } }

Product details

Patented technology
Our RabMAb® technology is a patented hybridoma-based technology for making rabbit monoclonal antibodies. For details on our patents, please refer to RabMAb® patents.

What are the advantages of a recombinant monoclonal antibody?
This product is a recombinant monoclonal antibody, which offers several advantages including:

  • - High batch-to-batch consistency and reproducibility
  • - Improved sensitivity and specificity
  • - Long-term security of supply
  • - Animal-free batch production

For more information, read more on recombinant antibodies.

Properties and storage information

Form
Liquid
Purification technique
Affinity purification Protein A
Storage buffer
pH: 7.2 - 7.4 Preservative: 0.01% Sodium azide Constituents: PBS, 40% Glycerol (glycerin, glycerine), 0.05% BSA
Shipped at conditions
Blue Ice
Appropriate short-term storage duration
1-2 weeks
Appropriate short-term storage conditions
+4°C
Appropriate long-term storage conditions
-20°C
Aliquoting information
Upon delivery aliquot
Storage information
Avoid freeze / thaw cycle

Product protocols

For this product, it's our understanding that no specific protocols are required. You can visit:

Target data

Receptor that mediates the recognition, internalization and degradation of oxidatively modified low density lipoprotein (oxLDL) by vascular endothelial cells. OxLDL is a marker of atherosclerosis that induces vascular endothelial cell activation and dysfunction, resulting in pro-inflammatory responses, pro-oxidative conditions and apoptosis. Its association with oxLDL induces the activation of NF-kappa-B through an increased production of intracellular reactive oxygen and a variety of pro-atherogenic cellular responses including a reduction of nitric oxide (NO) release, monocyte adhesion and apoptosis. In addition to binding oxLDL, it acts as a receptor for the HSP70 protein involved in antigen cross-presentation to naive T-cells in dendritic cells, thereby participating in cell-mediated antigen cross-presentation. Also involved in inflammatory process, by acting as a leukocyte-adhesion molecule at the vascular interface in endotoxin-induced inflammation. Also acts as a receptor for advanced glycation end (AGE) products, activated platelets, monocytes, apoptotic cells and both Gram-negative and Gram-positive bacteria.. (Microbial infection) May serve as a receptor for adhesin A variant 3 (nadA) of N.meningitidis.
See full target information OLR1

Product promise

We are committed to supporting your work with high-quality reagents, and we're here for you every step of the way. In the unlikely event that one of our products does not perform as expected, you're protected by our Product Promise.
For full details, please see our Terms & Conditions

Please note: All products are 'FOR RESEARCH USE ONLY. NOT FOR USE IN DIAGNOSTIC OR THERAPEUTIC PROCEDURES'.

For licensing inquiries, please contact partnerships@abcam.com