JavaScript is disabled in your browser. Please enable JavaScript to view this website.
AB317690

Anti-LOX 1 antibody [EPR27871-67] - BSA and Azide free

  • Advanced Validation
  • BOND RX™ Validated
  • Recombinant
  • RabMAb
  • What is this?

Be the first to review this product! Submit a review

|

(0 Publication)

Rabbit Recombinant Monoclonal LOX 1 antibody. Carrier free. Suitable for WB, IHC-P, IP, mIHC and reacts with Mouse, Rat samples.

View Alternative Names

Lox1, Olr1, Oxidized low-density lipoprotein receptor 1, Ox-LDL receptor 1, Lectin-like oxidized LDL receptor 1, Lectin-type oxidized LDL receptor 1, LOX-1, Lectin-like oxLDL receptor 1

11 Images
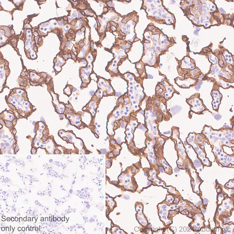
Immunohistochemistry (Formalin/PFA-fixed paraffin-embedded sections) - Anti-LOX 1 antibody [EPR27871-67] - BSA and Azide free (AB317690)
  • IHC-P

Supplier Data

Immunohistochemistry (Formalin/PFA-fixed paraffin-embedded sections) - Anti-LOX 1 antibody [EPR27871-67] - BSA and Azide free (AB317690)

This data was developed using ab317689, the same antibody clone in a different buffer formulation.

Immunohistochemical analysis of paraffin-embedded Mouse placenta tissue labeling LOX 1 with ab317689 at 1/2000 (0.26 ug/ml) dilution, followed by a ready to use LeicaDS9800 (Bond™ Polymer Refine Detection).

Positive staining in trophoblast of mouse placenta (PMID : 18474940).
The section was incubated with ab317689 for 30 mins at room temperature.
The immunostaining was performed on a Leica Biosystems BOND® RX instrument.

Counterstained with Hematoxylin.

Secondary antibody only control : Secondary antibody is a ready to use LeicaDS9800 (Bond™ Polymer Refine Detection).

Heat mediated antigen retrieval was performed with Tris-EDTA buffer (pH 9.0, Epitope Retrieval Solution2) for 20 mins.

Multiplex immunohistochemistry - Anti-LOX 1 antibody [EPR27871-67] - BSA and Azide free (AB317690)
  • mIHC

Lab

Multiplex immunohistochemistry - Anti-LOX 1 antibody [EPR27871-67] - BSA and Azide free (AB317690)

This data was developed using ab317689, the same antibody clone in a different buffer formulation.

Multiplex immunohistochemistry analysis of formalin/PFA-fixed paraffin-embedded mouse placenta tissue staining LOX 1 with ab317689 at a 1/2000 dilution, ab324045 anti-AP2 gamma used at 1/500 dilution and ab320823 anti-Trophoblast specific protein alpha used at a 1/1000 dilution.

Panel A : merged staining of anti-LOX 1 (green; Opal™520), anti-AP2 gamma (magenta; Opal™690) and anti-Trophoblast specific protein alpha (gray; Opal™570) on mouse placenta.

Panel B : anti-LOX 1 staining trophoblast in mouse placenta.

Panel C : ant-AP2 gamma staining trophoblast stem cell in mouse placenta.

Panel D : ant-Trophoblast specific protein alpha staining junctional zone in mouse placenta.

Nuclear DNA was labeled with DAPI (shown in blue).

The section was incubated in three rounds of staining : in the order of ab317689, ab324045 and ab320823 for 30 mins at room temperature. Each round was followed by a separate fluorescent tyramide signal amplification system.

The immunostaining was performed on a Leica Biosystems BOND® RX instrument with an Opal™ 4-color kit. Image acquisition was performed with Leica SP8 confocal microscope.

Heat mediated antigen retrieval was performed with Tris-EDTA buffer (pH 9.0, Epitope Retrieval Solution2) for 20 mins.

Immunohistochemistry (Formalin/PFA-fixed paraffin-embedded sections) - Anti-LOX 1 antibody [EPR27871-67] - BSA and Azide free (AB317690)
  • IHC-P

Supplier Data

Immunohistochemistry (Formalin/PFA-fixed paraffin-embedded sections) - Anti-LOX 1 antibody [EPR27871-67] - BSA and Azide free (AB317690)

This data was developed using ab317689, the same antibody clone in a different buffer formulation.

Immunohistochemical analysis of paraffin-embedded Rat placenta tissue labeling LOX 1 with ab317689 at 1/2000 (0.26 ug/ml) dilution, followed by a ready to use LeicaDS9800 (Bond™ Polymer Refine Detection).

Positive staining in trophoblast of rat placenta.
The section was incubated with ab317689 for 30 mins at room temperature.
The immunostaining was performed on a Leica Biosystems BOND® RX instrument.

Counterstained with Hematoxylin.

Secondary antibody only control : Secondary antibody is a ready to use LeicaDS9800 (Bond™ Polymer Refine Detection).

Heat mediated antigen retrieval was performed with Tris-EDTA buffer (pH 9.0, Epitope Retrieval Solution2) for 20 mins.

Immunohistochemistry (Formalin/PFA-fixed paraffin-embedded sections) - Anti-LOX 1 antibody [EPR27871-67] - BSA and Azide free (AB317690)
  • IHC-P

Supplier Data

Immunohistochemistry (Formalin/PFA-fixed paraffin-embedded sections) - Anti-LOX 1 antibody [EPR27871-67] - BSA and Azide free (AB317690)

This data was developed using ab317689, the same antibody clone in a different buffer formulation.

Immunohistochemical analysis of paraffin-embedded Mouse spleen tissue labeling LOX 1 with ab317689 at 1/2000 (0.26 ug/ml) dilution, followed by a ready to use LeicaDS9800 (Bond™ Polymer Refine Detection).

Positive staining in immune cell of mouse spleen.
The section was incubated with ab317689 for 30 mins at room temperature.
The immunostaining was performed on a Leica Biosystems BOND® RX instrument.

Counterstained with Hematoxylin.

Secondary antibody only control : Secondary antibody is a ready to use LeicaDS9800 (Bond™ Polymer Refine Detection).

Heat mediated antigen retrieval was performed with Tris-EDTA buffer (pH 9.0, Epitope Retrieval Solution2) for 20 mins.

Immunohistochemistry (Formalin/PFA-fixed paraffin-embedded sections) - Anti-LOX 1 antibody [EPR27871-67] - BSA and Azide free (AB317690)
  • IHC-P

Supplier Data

Immunohistochemistry (Formalin/PFA-fixed paraffin-embedded sections) - Anti-LOX 1 antibody [EPR27871-67] - BSA and Azide free (AB317690)

This data was developed using ab317689, the same antibody clone in a different buffer formulation.

Immunohistochemical analysis of paraffin-embedded Mouse skeletal muscle tissue labeling LOX 1 with ab317689 at 1/2000 (0.26 ug/ml) dilution, followed by a ready to use LeicaDS9800 (Bond™ Polymer Refine Detection).

Low expression tissue : No staining in mouse skeletal muscle.
The section was incubated with ab317689 for 30 mins at room temperature.
The immunostaining was performed on a Leica Biosystems BOND® RX instrument.

Counterstained with Hematoxylin.

Secondary antibody only control : Secondary antibody is a ready to use LeicaDS9800 (Bond™ Polymer Refine Detection).

Heat mediated antigen retrieval was performed with Tris-EDTA buffer (pH 9.0, Epitope Retrieval Solution2) for 20 mins.

Immunohistochemistry (Formalin/PFA-fixed paraffin-embedded sections) - Anti-LOX 1 antibody [EPR27871-67] - BSA and Azide free (AB317690)
  • IHC-P

Supplier Data

Immunohistochemistry (Formalin/PFA-fixed paraffin-embedded sections) - Anti-LOX 1 antibody [EPR27871-67] - BSA and Azide free (AB317690)

This data was developed using ab317689, the same antibody clone in a different buffer formulation.

Immunohistochemical analysis of paraffin-embedded Rat skeletal muscle tissue labeling LOX 1 with ab317689 at 1/2000 (0.26 ug/ml) dilution, followed by a ready to use LeicaDS9800 (Bond™ Polymer Refine Detection).

Low expression tissue : No staining in rat skeletal muscle.
The section was incubated with ab317689 for 30 mins at room temperature.
The immunostaining was performed on a Leica Biosystems BOND® RX instrument.

Counterstained with Hematoxylin.

Secondary antibody only control : Secondary antibody is a ready to use LeicaDS9800 (Bond™ Polymer Refine Detection).

Heat mediated antigen retrieval was performed with Tris-EDTA buffer (pH 9.0, Epitope Retrieval Solution2) for 20 mins.

Multiplex immunohistochemistry - Anti-LOX 1 antibody [EPR27871-67] - BSA and Azide free (AB317690)
  • mIHC

Lab

Multiplex immunohistochemistry - Anti-LOX 1 antibody [EPR27871-67] - BSA and Azide free (AB317690)

This data was developed using ab317689, the same antibody clone in a different buffer formulation.

Multiplex immunohistochemistry analysis of formalin/PFA-fixed paraffin-embedded mouse placenta tissue staining LOX 1 with ab317689 at a 1/2000 dilution, ab324045 anti-AP2 gamma used at 1/500 dilution and ab182981 anti-CD31 used at a 1/5000 dilution.

Panel A : merged staining of anti-LOX 1 (green; Opal™520), anti-AP2 gamma (magenta; Opal™690) and anti-CD31 (gray; Opal™570) on mouse placenta.

Panel B : anti-LOX 1 staining trophoblast in mouse placenta.

Panel C : ant-AP2 gamma staining trophoblast stem cell in mouse placenta.

Panel D : ant-CD31 staining endothelium in mouse placenta.

Nuclear DNA was labeled with DAPI (shown in blue).

The section was incubated in three rounds of staining : in the order of ab317689, ab324045 and ab182981 for 30 mins at room temperature. Each round was followed by a separate fluorescent tyramide signal amplification system.

The immunostaining was performed on a Leica Biosystems BOND® RX instrument with an Opal™ 4-color kit. Image acquisition was performed with Leica SP8 confocal microscope.

Heat mediated antigen retrieval was performed with Tris-EDTA buffer (pH 9.0, Epitope Retrieval Solution 2) for 20 mins.

Multiplex immunohistochemistry - Anti-LOX 1 antibody [EPR27871-67] - BSA and Azide free (AB317690)
  • mIHC

Lab

Multiplex immunohistochemistry - Anti-LOX 1 antibody [EPR27871-67] - BSA and Azide free (AB317690)

This data was developed using ab317689, the same antibody clone in a different buffer formulation.

Multiplex immunohistochemistry analysis of formalin/PFA-fixed paraffin-embedded mouse placenta tissue staining LOX 1 with ab317689 at a 1/2000 dilution, ab324045 anti-AP2 gamma used at 1/500 dilution and ab182981 anti-CD31 used at a 1/5000 dilution.

Panel A : merged staining of anti-LOX 1 (green; Opal™520), anti-AP2 gamma (magenta; Opal™690) and anti-CD31 (gray; Opal™570) on mouse placenta.

Panel B : anti-LOX 1 staining trophoblast in mouse placenta.

Panel C : ant-AP2 gamma staining trophoblast stem cell in mouse placenta.

Panel D : ant-CD31 staining endothelium in mouse placenta.

Nuclear DNA was labeled with DAPI (shown in blue).

The section was incubated in three rounds of staining : in the order of ab317689, ab324045 and ab182981 for 30 mins at room temperature. Each round was followed by a separate fluorescent tyramide signal amplification system.

The immunostaining was performed on a Leica Biosystems BOND® RX instrument with an Opal™ 4-color kit. Image acquisition was performed with Leica SP8 confocal microscope.

Heat mediated antigen retrieval was performed with Tris-EDTA buffer (pH 9.0, Epitope Retrieval Solution 2) for 20 mins.

Immunoprecipitation - Anti-LOX 1 antibody [EPR27871-67] - BSA and Azide free (AB317690)
  • IP

Supplier Data

Immunoprecipitation - Anti-LOX 1 antibody [EPR27871-67] - BSA and Azide free (AB317690)

This data was developed using ab317689, the same antibody clone in a different buffer formulation.

LOX 1 was immunoprecipitated from 0.35 mg Mouse placenta tissue lysate with ab317689 at 1/30 dilution (2ug in 0.35mg lysates). Western blot was performed on the immunoprecipitate using ab317689 at 1/1000 dilution. VeriBlot for IP secondary antibody(HRP)(ab131366) was used at 1/5000 dilution.

Lane 1 : Mouse placenta tissue lysate
Lane 2 : ab317689 IP in Mouse placenta tissue lysate
Lane 3 : Rabbit monoclonal IgG (ab172730) instead of ab317689 in mouse placenta tissue lysate

The expression profile/ molecular weight observed is consistent with what has been described in the literature (PMID : 9052782, PMID : 12354387).

All lanes:

Immunoprecipitation - Anti-LOX 1 antibody [EPR27871-67] (<a href='/en-us/products/primary-antibodies/lox-1-antibody-epr27871-67-ab317689'>ab317689</a>) at 1/30 dilution

All lanes:

Mouse placenta tissue lysate at 10 µg

Secondary

All lanes:

Immunoprecipitation - VeriBlot for IP Detection Reagent (HRP) (<a href='/en-us/products/reagents/veriblot-for-ip-detection-reagent-hrp-ab131366'>ab131366</a>) at 1/5000 dilution

false

Exposure time: 3s

Western blot - Anti-LOX 1 antibody [EPR27871-67] - BSA and Azide free (AB317690)
  • WB

Supplier Data

Western blot - Anti-LOX 1 antibody [EPR27871-67] - BSA and Azide free (AB317690)

This data was developed using ab317689, the same antibody clone in a different buffer formulation.

Low expression : liver, skeletal muscle, brain (PMID : 9828121, PMID : 9052782).

LOX1 is a glycoprotein of approximately 50-75 kDa and detected as a 30-37 kDa band after treated with Peptide : N-glycosidase F (PNGase F).

The expression profile/ molecular weight observed is consistent with what has been described in the literature (PMID : 9052782, PMID : 12354387).

In Western blot, Anti-GAPDH antibody [EPR16891] - Loading Control (ab181602) staining at 1/200000 dilution.

All lanes:

Western blot - Anti-LOX 1 antibody [EPR27871-67] (<a href='/en-us/products/primary-antibodies/lox-1-antibody-epr27871-67-ab317689'>ab317689</a>) at 1/1000 dilution

Lane 1:

Mouse placenta tissue lysate at 20 µg

Lane 2:

Mouse liver tissue lysate at 20 µg

Lane 3:

Mouse skeletal muscle tissue lysate at 20 µg

Lane 4:

Mouse brain tissue lysate at 20 µg

Lane 5:

Untreated Mouse placenta tissue lysate, at 20 µg

Lane 6:

Mouse placenta tissue lysate treated with Peptide:N-glycosidase F (PNGase F), at 20 µg

Secondary

All lanes:

Western blot - Goat Anti-Rabbit IgG H&L (HRP) (<a href='/en-us/products/secondary-antibodies/goat-rabbit-igg-h-l-hrp-ab97051'>ab97051</a>) at 1/100000 dilution

Observed band size: 30-37 kDa,50-75 kDa,36 kDa

false

Exposure time: 15s

Western blot - Anti-LOX 1 antibody [EPR27871-67] - BSA and Azide free (AB317690)
  • WB

Supplier Data

Western blot - Anti-LOX 1 antibody [EPR27871-67] - BSA and Azide free (AB317690)

This data was developed using ab317689, the same antibody clone in a different buffer formulation.

Low expression : liver (PMID : 9828121, PMID : 9052782).

The expression profile/ molecular weight observed is consistent with what has been described in the literature (PMID : 9052782, PMID : 12354387).

In Western blot, Anti-GAPDH antibody [EPR16891] - Loading Control (ab181602) staining at 1/200000 dilution.

All lanes:

Western blot - Anti-LOX 1 antibody [EPR27871-67] (<a href='/en-us/products/primary-antibodies/lox-1-antibody-epr27871-67-ab317689'>ab317689</a>) at 1/1000 dilution

Lane 1:

Rat placenta tissue lysate at 20 µg

Lane 2:

Rat liver tissue lysate at 20 µg

Secondary

All lanes:

Western blot - Goat Anti-Rabbit IgG H&L (HRP) (<a href='/en-us/products/secondary-antibodies/goat-rabbit-igg-h-l-hrp-ab97051'>ab97051</a>) at 1/100000 dilution

Observed band size: 30-37 kDa,36 kDa

false

Exposure time: 37s

Key facts

Host species

Rabbit

Clonality

Monoclonal

Clone number

EPR27871-67

Isotype

IgG

Carrier free

Yes

Reacts with

Mouse, Rat

Applications

IHC-P, mIHC, IP, WB

applications

Immunogen

The exact immunogen used to generate this antibody is proprietary information.

Reactivity data

{ "title": "Reactivity Data", "filters": { "stats": ["", "Species", "Dilution Info", "Notes"], "tabs": { "all-applications": {"fullname" : "All Applications", "shortname": "All Applications"}, "WB" : {"fullname" : "Western blot", "shortname":"WB"}, "IHCP" : {"fullname" : "Immunohistochemistry (Formalin/PFA-fixed paraffin-embedded sections)", "shortname":"IHC-P"}, "IP" : {"fullname" : "Immunoprecipitation", "shortname":"IP"}, "FlowCyt" : {"fullname" : "Flow Cytometry", "shortname":"Flow Cyt"}, "ICCIF" : {"fullname" : "Immunocytochemistry/ Immunofluorescence", "shortname":"ICC/IF"}, "mIHC" : {"fullname" : "Multiplex immunohistochemistry", "shortname":"mIHC"} }, "product-promise": { "all": "all", "testedAndGuaranteed": "tested", "guaranteed": "expected", "predicted": "predicted", "notRecommended": "not-recommended" } }, "values": { "Human": { "WB-species-checked": "notRecommended", "WB-species-dilution-info": "", "WB-species-notes": "<p></p>", "IHCP-species-checked": "notRecommended", "IHCP-species-dilution-info": "", "IHCP-species-notes": "<p></p>", "IP-species-checked": "notRecommended", "IP-species-dilution-info": "", "IP-species-notes": "", "FlowCyt-species-checked": "notRecommended", "FlowCyt-species-dilution-info": "", "FlowCyt-species-notes": "", "ICCIF-species-checked": "notRecommended", "ICCIF-species-dilution-info": "", "ICCIF-species-notes": "", "mIHC-species-checked": "notRecommended", "mIHC-species-dilution-info": "", "mIHC-species-notes": "" }, "Mouse": { "WB-species-checked": "testedAndGuaranteed", "WB-species-dilution-info": "", "WB-species-notes": "<p></p>", "IHCP-species-checked": "testedAndGuaranteed", "IHCP-species-dilution-info": "", "IHCP-species-notes": "<p></p>", "IP-species-checked": "testedAndGuaranteed", "IP-species-dilution-info": "", "IP-species-notes": "<p></p>", "FlowCyt-species-checked": "notRecommended", "FlowCyt-species-dilution-info": "", "FlowCyt-species-notes": "<p></p>", "ICCIF-species-checked": "notRecommended", "ICCIF-species-dilution-info": "", "ICCIF-species-notes": "<p></p>", "mIHC-species-checked": "testedAndGuaranteed", "mIHC-species-dilution-info": "", "mIHC-species-notes": "<p></p>" }, "Rat": { "WB-species-checked": "testedAndGuaranteed", "WB-species-dilution-info": "", "WB-species-notes": "<p></p>", "IHCP-species-checked": "testedAndGuaranteed", "IHCP-species-dilution-info": "", "IHCP-species-notes": "<p></p>", "IP-species-checked": "guaranteed", "IP-species-dilution-info": "", "IP-species-notes": "", "FlowCyt-species-checked": "notRecommended", "FlowCyt-species-dilution-info": "", "FlowCyt-species-notes": "", "ICCIF-species-checked": "notRecommended", "ICCIF-species-dilution-info": "", "ICCIF-species-notes": "", "mIHC-species-checked": "testedAndGuaranteed", "mIHC-species-dilution-info": "1/2000", "mIHC-species-notes": "<p></p>" } } }

Product details

ab317690 is the carrier-free version of ab317689.

Patented technology
Our RabMAb® technology is a patented hybridoma-based technology for making rabbit monoclonal antibodies. For details on our patents, please refer to RabMAb® patents.

What are the advantages of a recombinant monoclonal antibody?
This product is a recombinant monoclonal antibody, which offers several advantages including:

  • - High batch-to-batch consistency and reproducibility
  • - Improved sensitivity and specificity
  • - Long-term security of supply
  • - Animal-free batch production

For more information, read more on recombinant antibodies.

Conjugation ready
Our carrier-free antibodies are typically supplied in a PBS-only formulation, purified and free of BSA, sodium azide and glycerol. This conjugation-ready format is designed for use with fluorochromes, metal isotopes, oligonucleotides, and enzymes, which makes them ideal for antibody labelling, functional and cell-based assays, flow-based assays (e.g. mass cytometry) and Multiplex Imaging applications.

Use our conjugation kits for antibody conjugates that are ready-to-use in as little as 20 minutes with 1 minute hands-on-time and 100% antibody recovery: available for fluorescent dyes, HRP, biotin and gold.

Compatibility
This product is compatible with the Maxpar® Antibody Labeling Kit from Fluidigm, without the need for antibody preparation. Maxpar® is a trademark of Fluidigm Canada Inc.

Properties and storage information

Form
Liquid
Purification technique
Affinity purification Protein A
Storage buffer
pH: 7.2 - 7.4 Constituents: PBS
Shipped at conditions
Blue Ice
Appropriate short-term storage conditions
+4°C
Appropriate long-term storage conditions
+4°C

Product protocols

For this product, it's our understanding that no specific protocols are required. You can visit:

Target data

Receptor that mediates the recognition, internalization and degradation of oxidatively modified low density lipoprotein (oxLDL) by vascular endothelial cells. OxLDL is a marker of atherosclerosis that induces vascular endothelial cell activation and dysfunction, resulting in pro-inflammatory responses, pro-oxidative conditions and apoptosis. Its association with oxLDL induces the activation of NF-kappa-B through an increased production of intracellular reactive oxygen and a variety of pro-atherogenic cellular responses including a reduction of nitric oxide (NO) release, monocyte adhesion and apoptosis. In addition to binding oxLDL, it acts as a receptor for the HSP70 protein involved in antigen cross-presentation to naive T-cells in dendritic cells, thereby participating in cell-mediated antigen cross-presentation. Also involved in inflammatory process, by acting as a leukocyte-adhesion molecule at the vascular interface in endotoxin-induced inflammation. Also acts as a receptor for advanced glycation end (AGE) products, activated platelets, monocytes, apoptotic cells and both Gram-negative and Gram-positive bacteria (By similarity).
See full target information Olr1

Product promise

We are committed to supporting your work with high-quality reagents, and we're here for you every step of the way. In the unlikely event that one of our products does not perform as expected, you're protected by our Product Promise.
For full details, please see our Terms & Conditions

Please note: All products are 'FOR RESEARCH USE ONLY. NOT FOR USE IN DIAGNOSTIC OR THERAPEUTIC PROCEDURES'.

For licensing inquiries, please contact partnerships@abcam.com