JavaScript is disabled in your browser. Please enable JavaScript to view this website.
AB174316

Anti-LOX antibody [EPR4025]

  • RabMAb
  • Recombinant
  • KO Validated
  • 20ul selling size
  • What is this?

4

(5 Reviews)

|

(73 Publications)

Anti-LOX antibody [EPR4025] (ab174316) is a rabbit monoclonal antibody detecting LOX in Western Blot, Flow Cytometry (Intra), Flow Cytometry, IP, IHC-P, ICC/IF. Suitable for Human, Mouse, Rat.

- KO validated for confirmed specificity
- Biophysical QC for unrivalled batch-batch consistency
- Over 40 publications

View Alternative Names

Protein-lysine 6-oxidase, Lysyl oxidase, LOX

8 Images
Immunocytochemistry/ Immunofluorescence - Anti-LOX antibody [EPR4025] (AB174316)
  • ICC/IF

Lab

Immunocytochemistry/ Immunofluorescence - Anti-LOX antibody [EPR4025] (AB174316)

Immunofluorescence staining of Jurkat cells with purified ab174316 at a working dilution of 1 in 300 counter-stained with DAPI. The secondary antibody was Alexa Fluor® 488 goat anti rabbit used at a dilution of 1 in 200. The cells were fixed in 4% PFA.

Immunocytochemistry/ Immunofluorescence - Anti-LOX antibody [EPR4025] (AB174316)
  • ICC/IF

AbReview82508****

Immunocytochemistry/ Immunofluorescence - Anti-LOX antibody [EPR4025] (AB174316)

Immunocytochemistry/ Immunofluorescence analysis of formaldehyde-fixed Triton X-100 permeabilized human chondrocytes staining with ab174316 at 1/100 dilution in PBS with 0.1% triton x100. Secondary antibody was Alexa Fluor® 488 Goat Anti-Rabbit at 1/2000 dilution. Samples were incubated with the primary antibody for 30 minutes at 37°C. Blocking was with 0.1% BSA for 30 minutes at 37°C (ref : PMC7204390)

This image is courtesy of an anonymous Abreview

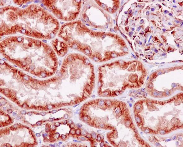
Immunohistochemistry (Formalin/PFA-fixed paraffin-embedded sections) - Anti-LOX antibody [EPR4025] (AB174316)
  • IHC-P

Lab

Immunohistochemistry (Formalin/PFA-fixed paraffin-embedded sections) - Anti-LOX antibody [EPR4025] (AB174316)

Immunohistochemical staining of paraffin embedded human kidney with purified ab174316 at a working dilution of 1 in 900. The secondary antibody used is a HRP polymer for rabbit IgG. The sample is counter-stained with hematoxylin. Antigen retrieval was perfomed using Tris-EDTA buffer pH 9.0.

Flow Cytometry (Intracellular) - Anti-LOX antibody [EPR4025] (AB174316)
  • Flow Cyt (Intra)

Lab

Flow Cytometry (Intracellular) - Anti-LOX antibody [EPR4025] (AB174316)

Flow Cytometry (Intracellular) analysis of ab174316. HeLa (Human cervix adenocarcinoma epithelial cell) cells were fixed in 4% paraformaldehyde and permeabilized with 90% methanol. ab174316 was used at 1 : 100 dilution (1ug) (Red). Secondary antibody Goat anti rabbit IgG (Alexa Fluor® 647, ab150083) at 1 : 5000 dilution. Isotype control Rabbit monoclonal IgG (ab172730) (Black). Unlabelled control, cells without incubation with primary antibody and secondary antibody (Blue).

Immunoprecipitation - Anti-LOX antibody [EPR4025] (AB174316)
  • IP

Supplier Data

Immunoprecipitation - Anti-LOX antibody [EPR4025] (AB174316)

Western blot analysis on immunoprecipitation pellet from (Lane 1) WI-38 (Human fetal lung fibroblast cell line) cells lysate or (Lane 2) 1X PBS (negative control) using unpurified ab174316 at a 1/10 dilution and HRP-conjugated anti-rabbit IgG preferentially detecting the non-reduced form of rabbit IgG.

All lanes:

Immunoprecipitation - Anti-LOX antibody [EPR4025] (ab174316)

Predicted band size: 47 kDa

false

Western blot - Anti-LOX antibody [EPR4025] (AB174316)
  • WB

Lab

Western blot - Anti-LOX antibody [EPR4025] (AB174316)

Blocking buffer : 5% NFDM/TBST

Dilution buffer : 5% NFDM/TBST

All lanes:

Western blot - Anti-LOX antibody [EPR4025] (ab174316) at 1/3700 dilution

Lane 1:

WI-38 cell lysate at 20 µg

Lane 2:

Jurkat cell lysate at 20 µg

Lane 3:

Mouse brain at 20 µg

Lane 4:

Rat brain at 20 µg

Secondary

All lanes:

HRP goat anti-rabbit (H+L) at 1/1000 dilution

Predicted band size: 47 kDa

Observed band size: 50 kDa

false

Western blot - Anti-LOX antibody [EPR4025] (AB174316)
  • WB

Lab

Western blot - Anti-LOX antibody [EPR4025] (AB174316)

False colour image of Western blot : Anti-LOX antibody [EPR4025] staining at 1/1000 dilution, shown in green; Mouse anti-GAPDH antibody [6C5] (ab8245) loading control staining at 1/20000 dilution, shown in red. In Western blot, ab174316 was shown to bind specifically to LOX. A band was observed at 52 kDa in wild-type HeLa cell lysates with no signal observed at this size in Lox knockout cell line ab261801 (knockout cell lysate ab256981). To generate this image, wild-type and Lox knockout HeLa cell lysates were analysed. First, samples were run on an SDS-PAGE gel then transferred onto a nitrocellulose membrane. Membranes were blocked in 3% milk in TBS-0.1 % Tween® 20 (TBS-T) before incubation with primary antibodies overnight at 4°C. Blots were washed four times in TBS-T, incubated with secondary antibodies for 1 h at room temperature, washed again four times then imaged. Secondary antibodies used were Goat anti-Rabbit IgG H&L (IRDye® 800CW) preabsorbed (ab216773) and Goat anti-Mouse IgG H&L (IRDye® 680RD) preabsorbed (ab216776) at 1/20000 dilution.

All lanes:

Western blot - Anti-LOX antibody [EPR4025] (ab174316) at 1/1000 dilution

Lane 1:

Wild-type HeLa Vehicle Control DFO (0 mM, 24 h) cell lysate at 20 µg

Lane 2:

Wild-type HeLa Treated DFO (0.5 mM, 24 h) cell lysate at 20 µg

Lane 2:

Western blot - Human LOX knockout HeLa cell line (<a href='/en-us/products/cell-lines/human-lox-knockout-hela-cell-line-ab261801'>ab261801</a>)

Lane 3:

LOX knockout HeLa Vehicle Control DFO (0 mM, 24 h) cell lysate at 20 µg

Lane 4:

LOX knockout HeLa Treated DFO (0.5 mM, 24 h) cell lysate at 20 µg

Predicted band size: 47 kDa

Observed band size: 52 kDa

false

Western blot - Anti-LOX antibody [EPR4025] (AB174316)
  • WB

Lab

Western blot - Anti-LOX antibody [EPR4025] (AB174316)

Primary antibody dilution :

ab174316 Anti-LOX antibody 1 : 5000 dilution (0.1mg/ml)

ab179483 Anti-HIF-1 alpha antibody 1 : 500 dilution (0.3mg/ml)

Blocking buffer / Dilution buffer and concentration :

5% NFDM/TBST

LOX and HIF-1 alpha could be induced under hypoxia condition (PMID : 23545606, PMID : 30226558).

All lanes:

Western blot - Anti-LOX antibody [EPR4025] (ab174316)

Lane 1:

HeLa (Human cervix adenocarcinoma epithelial cell) whole cell lysates at 20 µg

Lane 2:

HeLa (Human cervix adenocarcinoma epithelial cell) treated with 0.5 mM DFO for 24 hours whole cell lysates at 20 µg

Secondary

All lanes:

Western blot - Goat Anti-Rabbit IgG H&L (HRP) (<a href='/en-us/products/secondary-antibodies/goat-rabbit-igg-h-l-hrp-ab97051'>ab97051</a>) at 1/10000 dilution

Predicted band size: 47 kDa

Observed band size: 50 kDa

false

Exposure time: 7s

Key facts

Host species

Rabbit

Clonality

Monoclonal

Clone number

EPR4025

Isotype

IgG

Carrier free

No

Reacts with

Mouse, Rat, Human

Applications

WB, Flow Cyt (Intra), ICC/IF, IHC-P, IP

applications

Immunogen

The exact immunogen used to generate this antibody is proprietary information.

Reactivity data

{ "title": "Reactivity Data", "filters": { "stats": ["", "Species", "Dilution Info", "Notes"], "tabs": { "all-applications": {"fullname" : "All Applications", "shortname": "All Applications"}, "IHCP" : {"fullname" : "Immunohistochemistry (Formalin/PFA-fixed paraffin-embedded sections)", "shortname":"IHC-P"}, "IP" : {"fullname" : "Immunoprecipitation", "shortname":"IP"}, "WB" : {"fullname" : "Western blot", "shortname":"WB"}, "ICCIF" : {"fullname" : "Immunocytochemistry/ Immunofluorescence", "shortname":"ICC/IF"}, "FlowCytIntra" : {"fullname" : "Flow Cytometry (Intracellular)", "shortname":"Flow Cyt (Intra)"} }, "product-promise": { "all": "all", "testedAndGuaranteed": "tested", "guaranteed": "expected", "predicted": "predicted", "notRecommended": "not-recommended" } }, "values": { "Human": { "IHCP-species-checked": "testedAndGuaranteed", "IHCP-species-dilution-info": "1/900", "IHCP-species-notes": "<p><strong>For unpurified, use 1/300.</strong></p>", "IP-species-checked": "testedAndGuaranteed", "IP-species-dilution-info": "1/10 - 1/100", "IP-species-notes": "<p></p>", "WB-species-checked": "testedAndGuaranteed", "WB-species-dilution-info": "1/1000 - 1/10000", "WB-species-notes": "<p><strong>For unpurified, use 1/1000 - 1/2000.</strong></p>", "ICCIF-species-checked": "testedAndGuaranteed", "ICCIF-species-dilution-info": "1/300", "ICCIF-species-notes": "<p><strong>For unpurified, use 1/100.</strong></p>", "FlowCytIntra-species-checked": "testedAndGuaranteed", "FlowCytIntra-species-dilution-info": "1/100", "FlowCytIntra-species-notes": "<p>For unpurified, use 1/30. <a href='/en-us/products/primary-antibodies/rabbit-igg-monoclonal-epr25a-isotype-control-ab172730'>ab172730</a> - Rabbit monoclonal IgG, is suitable for use as an isotype control with this antibody.</p>" }, "Mouse": { "IHCP-species-checked": "guaranteed", "IHCP-species-dilution-info": "", "IHCP-species-notes": "", "IP-species-checked": "guaranteed", "IP-species-dilution-info": "", "IP-species-notes": "", "WB-species-checked": "testedAndGuaranteed", "WB-species-dilution-info": "1/1000 - 1/10000", "WB-species-notes": "<p><strong>For unpurified, use 1/1000 - 1/2000.</strong></p>", "ICCIF-species-checked": "guaranteed", "ICCIF-species-dilution-info": "", "ICCIF-species-notes": "", "FlowCytIntra-species-checked": "guaranteed", "FlowCytIntra-species-dilution-info": "", "FlowCytIntra-species-notes": "" }, "Rat": { "IHCP-species-checked": "guaranteed", "IHCP-species-dilution-info": "", "IHCP-species-notes": "", "IP-species-checked": "guaranteed", "IP-species-dilution-info": "", "IP-species-notes": "", "WB-species-checked": "testedAndGuaranteed", "WB-species-dilution-info": "1/1000 - 1/10000", "WB-species-notes": "<p><strong>For unpurified, use 1/1000 - 1/2000.</strong></p>", "ICCIF-species-checked": "guaranteed", "ICCIF-species-dilution-info": "", "ICCIF-species-notes": "", "FlowCytIntra-species-checked": "guaranteed", "FlowCytIntra-species-dilution-info": "", "FlowCytIntra-species-notes": "" } } }

Product details

What is this antibody validated in?
Anti-LOX antibody [EPR4025] (ab174316) is a rabbit recombinant monoclonal antibody and is validated for use in Western Blot (WB), Flow Cytometry (Intra), Flow Cytometry (Flow Cyt), Immunoprecipitation (IP), Immunohistochemistry (IHC-P), Immunocytochemistry/immunofluorescence (ICC/IF) in Human, Mouse, Rat samples.

What is the molecular weight of LOX?
Anti-LOX [EPR4025] (ab174316) specifically detects a band for LOX (UniProt: P28300) at a molecular weight of 47kDa.

Trusted by the scientific community
Anti-LOX [EPR4025] (ab174316) was first used in a scientific publication in 2013 and has been cited over 40 times in peer-reviewed journals.

Reviewed by scientists
Anti-LOX [EPR4025] (ab174316) has over 5 independent reviews from customers.

Trial sizes available!
Test your antibody or perform pre-screening before committing to a larger quantity. Sold in 10µl. Discover our selection of trial-size antibodies.

Specificity confirmed
The specificity of Anti-LOX antibody [EPR4025] (ab174316) has been confirmed by Western blot testing in LOX Knockout HeLa cell line, ab261801.

Other related products
We have a range of other formats of antibody clone [EPR4025] also available for your convenience: ab174316, Alexa Fluor® 647 - ab197061, Carrier free - ab219369, Carrier free - ab271926, APC - ab310833, PE - ab310908, Alexa Fluor® 488 - ab310965, Alexa Fluor® 594 - ab311678, Alexa Fluor® 568 - ab312953, Alexa Fluor® 555 - ab313162, Alexa Fluor® 750 - ab321179

Patented technology
Our RabMAb® technology is a patented hybridoma-based technology for making rabbit monoclonal antibodies. For details on our patents, please refer to RabMAb® patents.

What are the advantages of a recombinant monoclonal antibody?
This product is a recombinant monoclonal antibody, which offers several advantages including:

  • - High batch-to-batch consistency and reproducibility
  • - Improved sensitivity and specificity
  • - Long-term security of supply
  • - Animal-free batch production

For more information, read more on recombinant antibodies.

Properties and storage information

Form
Liquid
Purification technique
Affinity purification Protein A
Storage buffer
Preservative: 0.01% Sodium azide Constituents: PBS, 40% Glycerol (glycerin, glycerine), 0.05% BSA
Shipped at conditions
Blue Ice
Appropriate short-term storage duration
1-2 weeks
Appropriate short-term storage conditions
+4°C
Appropriate long-term storage conditions
-20°C
Aliquoting information
Upon delivery aliquot
Storage information
Avoid freeze / thaw cycle

Product protocols

For this product, it's our understanding that no specific protocols are required. You can visit:

Target data

Responsible for the post-translational oxidative deamination of peptidyl lysine residues in precursors to fibrous collagen and elastin (PubMed : 26838787). Regulator of Ras expression. May play a role in tumor suppression. Plays a role in the aortic wall architecture (By similarity).
See full target information Protein-lysine 6-oxidase

Publications (73)

Recent publications for all applications. Explore the full list and refine your search

Acta biochimica et biophysica Sinica : PubMed40922685

2025

Lysyl oxidase exacerbates rheumatoid arthritis through promoting angiogenesis and the proliferation of fibroblast-like synoviocytes.

Applications

Unspecified application

Species

Unspecified reactive species

Hong Deng,Yanmeng Li,Tai Teng,Kaibo Wang,Chen Ji,Lijuan Yang,Shuming Zhang,Yanbin Tian,Mei Han

Histochemistry and cell biology 163:84 PubMed40875056

2025

Extracellular matrix reorganization during endometrial decidualization.

Applications

Unspecified application

Species

Unspecified reactive species

Mona Gebril,Sparhawk Mulder,Rimi Das,Shanmugasundaram Nallasamy

Scientific reports 15:31465 PubMed40858710

2025

Lysyl oxidase as a potential biomarker of lung recurrence after hepatectomy in hepatocellular carcinoma.

Applications

Unspecified application

Species

Unspecified reactive species

Wan-Ting Xing,Jing-Xuan Xu,Lu-Nan Qi

Molecular medicine (Cambridge, Mass.) 31:281 PubMed40849639

2025

CAF-derived exosomes drive the FGF4/SHH feedback loop by encapsulating GREM1 in non-small cell lung cancer.

Applications

Unspecified application

Species

Unspecified reactive species

Xianqiao Wu,Wei Chen,Tianzheng Fang,Ziyuan Chen,Shuai Fang,Chengwei Zhou

The journal of physiological sciences : JPS 75:100024 PubMed40451130

2025

Proximal aortic aneurysms in mice underexpressing transforming growth factor-β1.

Applications

Unspecified application

Species

Unspecified reactive species

Masao Kakoki,John R Hagaman,Masahiko Terajima,Masako Nagasawa,Katsumi Uoshima,Mitsuo Yamauchi,Oliver Smithies,Kenji Kansaku

Cellular oncology (Dordrecht, Netherlands) 48:815-834 PubMed40327295

2025

High extracellular matrix stiffness upregulates TNNT1 to awaken dormant tumor cells in liver metastatic niches of gastric cancer.

Applications

Unspecified application

Species

Unspecified reactive species

Linhua Ji,Jie Peng,Yuxuan Lin,Yiqing Zhong,Bo Ni,Chunchao Zhu,Zizhen Zhang

Journal of cellular and molecular medicine 29:e70536 PubMed40179101

2025

Systematic Characterisation and Analysis of Lysyl Oxidase Family Members as Drivers of Tumour Progression and Multiple Drug Resistance.

Applications

Unspecified application

Species

Unspecified reactive species

Hongjin Liu,Xiaojiao Sun,Bingqi Dong,Jixin Zhang,Junling Zhang,Yanlun Gu,Lin Chen,Xiaocong Pang,Jingming Ye,Xin Wang,Zhuona Rong

Journal of the Endocrine Society 9:bvaf028 PubMed40170697

2025

Lysyl Oxidases Are Necessary for Myometrial Contractility and On-time Parturition in Mice.

Applications

Unspecified application

Species

Unspecified reactive species

Alexis Ouellette,Christina Do,Sydney Cohn-Guthrie,Ying-Wai Lam,Mala Mahendroo,Shanmugasundaram Nallasamy

Biomedical reports 22:84 PubMed40151800

2025

Relationships between intervertebral disc degeneration and lysyl oxidase expression in human nucleus pulposus.

Applications

Unspecified application

Species

Unspecified reactive species

Changqing Chen,Wanqiang Feng,Zhihuang Sun,Lianchi Lv,Canbin Lin,Dasheng Lin

Scientific reports 15:7028 PubMed40016474

2025

LOX iCAFs in HNSCC have the potential to predict prognosis and immunotherapy responses revealed by single cell RNA sequencing analysis.

Applications

Unspecified application

Species

Unspecified reactive species

Xue Liu,Huibing Li,Yanjin Wang,Qian Zhang,Yuehua Liu,Tingjiao Liu
View all publications

Product promise

We are committed to supporting your work with high-quality reagents, and we're here for you every step of the way. In the unlikely event that one of our products does not perform as expected, you're protected by our Product Promise.
For full details, please see our Terms & Conditions

Please note: All products are 'FOR RESEARCH USE ONLY. NOT FOR USE IN DIAGNOSTIC OR THERAPEUTIC PROCEDURES'.

For licensing inquiries, please contact partnerships@abcam.com