JavaScript is disabled in your browser. Please enable JavaScript to view this website.
AB238152

Anti-LOXL1 antibody

Be the first to review this product! Submit a review

|

(3 Publications)

Rabbit Polyclonal LOXL1 antibody. Suitable for IHC-P and reacts with Human samples. Cited in 3 publications. Immunogen corresponding to Recombinant Fragment Protein within Human LOXL1 aa 100 to C-terminus.

View Alternative Names

LOXL, LOXL1, Lysyl oxidase homolog 1, Lysyl oxidase-like protein 1, LOL

1 Images
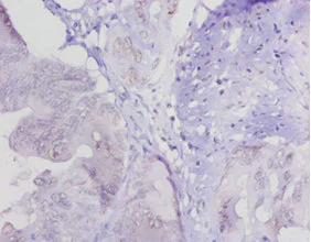
Immunohistochemistry (Formalin/PFA-fixed paraffin-embedded sections) - Anti-LOXL1 antibody (AB238152)
  • IHC-P

Supplier Data

Immunohistochemistry (Formalin/PFA-fixed paraffin-embedded sections) - Anti-LOXL1 antibody (AB238152)

Paraffin-embedded human colon cancer tissue stained for LOXL1 using ab238152 at 1/100 dilution in immunohistochemical analysis.

Key facts

Host species

Rabbit

Clonality

Polyclonal

Isotype

IgG

Carrier free

No

Reacts with

Human

Applications

IHC-P

applications

Immunogen

Recombinant Fragment Protein within Human LOXL1 aa 100 to C-terminus. The exact immunogen used to generate this antibody is proprietary information.

Q08397

Reactivity data

{ "title": "Reactivity Data", "filters": { "stats": ["", "Species", "Dilution Info", "Notes"], "tabs": { "all-applications": {"fullname" : "All Applications", "shortname": "All Applications"}, "IHCP" : {"fullname" : "Immunohistochemistry (Formalin/PFA-fixed paraffin-embedded sections)", "shortname":"IHC-P"} }, "product-promise": { "all": "all", "testedAndGuaranteed": "tested", "guaranteed": "expected", "predicted": "predicted", "notRecommended": "not-recommended" } }, "values": { "Human": { "IHCP-species-checked": "testedAndGuaranteed", "IHCP-species-dilution-info": "1/20 - 1/200", "IHCP-species-notes": "<p></p>" } } }

Properties and storage information

Form
Liquid
Purification technique
Affinity purification Protein G
Purification notes
Purity >95%
Storage buffer
pH: 7.4 Preservative: 0.03% Proclin 300 Constituents: PBS, 50% Glycerol (glycerin, glycerine)
Shipped at conditions
Blue Ice
Appropriate short-term storage duration
1-2 weeks
Appropriate short-term storage conditions
+4°C
Appropriate long-term storage conditions
-20°C
Aliquoting information
Upon delivery aliquot
Storage information
Avoid freeze / thaw cycle

Product protocols

For this product, it's our understanding that no specific protocols are required. You can visit:

Target data

Catalyzes the oxidative deamination of lysine and hydroxylysine residues in collagen and elastin, resulting in the formation of covalent cross-linkages, and the stabilization of collagen and elastin fibers (By similarity). Essential for the elastic fiber homeostasis and for their maintenance at adult age (By similarity).
See full target information LOXL1

Publications (3)

Recent publications for all applications. Explore the full list and refine your search

Brain sciences 13: PubMed37891828

2023

Transcriptomic Characterization of Copper-Binding Proteins for Predicting Prognosis in Glioma.

Applications

Unspecified application

Species

Unspecified reactive species

Hao-Long Zeng,Huijun Li,Qing Yang,Chao-Xi Li

Journal of experimental orthopaedics 10:68 PubMed37400744

2023

Development and characterization of an intra-articular fracture mediated model of post-traumatic osteoarthritis.

Applications

Unspecified application

Species

Unspecified reactive species

Michael S Valerio,William A Pace,Connor P Dolan,Jorge B Edwards,Naveena B Janakiram,Benjamin K Potter,Christopher L Dearth,Stephen M Goldman

Oncology letters 22:624 PubMed34267816

2021

lncRNA LOXL1-AS1 promotes liver cancer cell proliferation and migration by regulating the miR-377-3p/NFIB axis.

Applications

Unspecified application

Species

Unspecified reactive species

Wei Yu,Yong Dai
View all publications

Product promise

We are committed to supporting your work with high-quality reagents, and we're here for you every step of the way. In the unlikely event that one of our products does not perform as expected, you're protected by our Product Promise.
For full details, please see our Terms & Conditions

Please note: All products are 'FOR RESEARCH USE ONLY. NOT FOR USE IN DIAGNOSTIC OR THERAPEUTIC PROCEDURES'.

For licensing inquiries, please contact partnerships@abcam.com