JavaScript is disabled in your browser. Please enable JavaScript to view this website.
AB133383

Anti-LOXL2 antibody

1

(1 Review)

|

(1 Publication)

Rabbit Polyclonal LOXL2 antibody. Suitable for IHC-P and reacts with Human samples. Cited in 1 publication. Immunogen corresponding to Synthetic Peptide within Human LOXL2.

View Alternative Names

Lysyl oxidase homolog 2, Lysyl oxidase-like protein 2, Lysyl oxidase-related protein 2, Lysyl oxidase-related protein WS9-14, LOXL2

2 Images
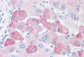
Immunohistochemistry (Formalin/PFA-fixed paraffin-embedded sections) - Anti-LOXL2 antibody (AB133383)
  • IHC-P

Unknown

Immunohistochemistry (Formalin/PFA-fixed paraffin-embedded sections) - Anti-LOXL2 antibody (AB133383)

Immunohistochemical analysis of formalin-fixed, paraffin embedded Human liver tissue labelling LOXL2 with ab133383 at 15µg/ml. Followed by biotinylated goat anti-rabbit IgG secondary antibody, alkaline phosphatase-streptavidin and chromogen.

Immunohistochemistry (Formalin/PFA-fixed paraffin-embedded sections) - Anti-LOXL2 antibody (AB133383)
  • IHC-P

Unknown

Immunohistochemistry (Formalin/PFA-fixed paraffin-embedded sections) - Anti-LOXL2 antibody (AB133383)

Immunohistochemical analysis of formalin-fixed, paraffin embedded Human prostate tissue labelling LOXL2 with ab133383 at 15µg/ml. Followed by biotinylated goat anti-rabbit IgG secondary antibody, alkaline phosphatase-streptavidin and chromogen.

Key facts

Host species

Rabbit

Clonality

Polyclonal

Isotype

IgG

Carrier free

No

Reacts with

Human

Applications

IHC-P

applications

Immunogen

Synthetic Peptide within Human LOXL2. The exact immunogen used to generate this antibody is proprietary information.

Q9Y4K0

Specificity

BLAST analysis of the peptide immunogen showed no homology with other human proteins.

Reactivity data

{ "title": "Reactivity Data", "filters": { "stats": ["", "Species", "Dilution Info", "Notes"], "tabs": { "all-applications": {"fullname" : "All Applications", "shortname": "All Applications"}, "IHCP" : {"fullname" : "Immunohistochemistry (Formalin/PFA-fixed paraffin-embedded sections)", "shortname":"IHC-P"} }, "product-promise": { "all": "all", "testedAndGuaranteed": "tested", "guaranteed": "expected", "predicted": "predicted", "notRecommended": "not-recommended" } }, "values": { "Human": { "IHCP-species-checked": "testedAndGuaranteed", "IHCP-species-dilution-info": "15 µg/mL", "IHCP-species-notes": "<p></p>" }, "Mouse": { "IHCP-species-checked": "predicted", "IHCP-species-dilution-info": "", "IHCP-species-notes": "" }, "Rat": { "IHCP-species-checked": "predicted", "IHCP-species-dilution-info": "", "IHCP-species-notes": "" }, "Bat": { "IHCP-species-checked": "predicted", "IHCP-species-dilution-info": "", "IHCP-species-notes": "" }, "Chicken": { "IHCP-species-checked": "predicted", "IHCP-species-dilution-info": "", "IHCP-species-notes": "" }, "Common marmoset": { "IHCP-species-checked": "predicted", "IHCP-species-dilution-info": "", "IHCP-species-notes": "" }, "Cow": { "IHCP-species-checked": "predicted", "IHCP-species-dilution-info": "", "IHCP-species-notes": "" }, "Dog": { "IHCP-species-checked": "predicted", "IHCP-species-dilution-info": "", "IHCP-species-notes": "" }, "Elephant": { "IHCP-species-checked": "predicted", "IHCP-species-dilution-info": "", "IHCP-species-notes": "" }, "Gorilla": { "IHCP-species-checked": "predicted", "IHCP-species-dilution-info": "", "IHCP-species-notes": "" }, "Horse": { "IHCP-species-checked": "predicted", "IHCP-species-dilution-info": "", "IHCP-species-notes": "" }, "Monkey": { "IHCP-species-checked": "predicted", "IHCP-species-dilution-info": "", "IHCP-species-notes": "" }, "Opossum": { "IHCP-species-checked": "predicted", "IHCP-species-dilution-info": "", "IHCP-species-notes": "" }, "Orangutan": { "IHCP-species-checked": "predicted", "IHCP-species-dilution-info": "", "IHCP-species-notes": "" }, "Platypus": { "IHCP-species-checked": "predicted", "IHCP-species-dilution-info": "", "IHCP-species-notes": "" }, "Rabbit": { "IHCP-species-checked": "predicted", "IHCP-species-dilution-info": "", "IHCP-species-notes": "" }, "Turkey": { "IHCP-species-checked": "predicted", "IHCP-species-dilution-info": "", "IHCP-species-notes": "" } } }

Properties and storage information

Form
Liquid
Purification technique
Affinity purification Immunogen
Storage buffer
pH: 7.4 Preservative: 0.1% Sodium azide Constituents: PBS
Shipped at conditions
Blue Ice
Appropriate short-term storage conditions
+4°C
Appropriate long-term storage conditions
-80°C
Aliquoting information
Upon delivery aliquot
Storage information
Avoid freeze / thaw cycle

Product protocols

For this product, it's our understanding that no specific protocols are required. You can visit:

Target data

Mediates the post-translational oxidative deamination of lysine residues on target proteins leading to the formation of deaminated lysine (allysine) (PubMed : 27735137). Acts as a transcription corepressor and specifically mediates deamination of trimethylated 'Lys-4' of histone H3 (H3K4me3), a specific tag for epigenetic transcriptional activation (PubMed : 27735137). Shows no activity against histone H3 when it is trimethylated on 'Lys-9' (H3K9me3) or 'Lys-27' (H3K27me3) or when 'Lys-4' is monomethylated (H3K4me1) or dimethylated (H3K4me2) (PubMed : 27735137). Also mediates deamination of methylated TAF10, a member of the transcription factor IID (TFIID) complex, which induces release of TAF10 from promoters, leading to inhibition of TFIID-dependent transcription (PubMed : 25959397). LOXL2-mediated deamination of TAF10 results in transcriptional repression of genes required for embryonic stem cell pluripotency including POU5F1/OCT4, NANOG, KLF4 and SOX2 (By similarity). Involved in epithelial to mesenchymal transition (EMT) via interaction with SNAI1 and participates in repression of E-cadherin CDH1, probably by mediating deamination of histone H3 (PubMed : 16096638, PubMed : 24414204, PubMed : 27735137). During EMT, involved with SNAI1 in negatively regulating pericentromeric heterochromatin transcription (PubMed : 24239292). SNAI1 recruits LOXL2 to pericentromeric regions to oxidize histone H3 and repress transcription which leads to release of heterochromatin component CBX5/HP1A, enabling chromatin reorganization and acquisition of mesenchymal traits (PubMed : 24239292). Interacts with the endoplasmic reticulum protein HSPA5 which activates the IRE1-XBP1 pathway of the unfolded protein response, leading to expression of several transcription factors involved in EMT and subsequent EMT induction (PubMed : 28332555). Involved in E-cadherin repression following hypoxia, a hallmark of EMT believed to amplify tumor aggressiveness, suggesting that it may play a role in tumor progression (PubMed : 20026874). When secreted into the extracellular matrix, promotes cross-linking of extracellular matrix proteins by mediating oxidative deamination of peptidyl lysine residues in precursors to fibrous collagen and elastin (PubMed : 20306300). Acts as a regulator of sprouting angiogenesis, probably via collagen IV scaffolding (PubMed : 21835952). Acts as a regulator of chondrocyte differentiation, probably by regulating expression of factors that control chondrocyte differentiation (By similarity).
See full target information LOXL2

Publications (1)

Recent publications for all applications. Explore the full list and refine your search

Cancer cell international 22:158 PubMed35440048

2022

Prognostic value and biological function of LRRN4 in colorectal cancer.

Applications

Unspecified application

Species

Unspecified reactive species

Cheng Xu,Yulin Chen,Feiwu Long,Junman Ye,Xue Li,Qiaorong Huang,Dejiao Yao,Xiaoli Wang,Jin Zhao,Wentong Meng,Xianming Mo,Ran Lu,Chuanwen Fan,Tao Zhang
View all publications

Product promise

We are committed to supporting your work with high-quality reagents, and we're here for you every step of the way. In the unlikely event that one of our products does not perform as expected, you're protected by our Product Promise.
For full details, please see our Terms & Conditions

Please note: All products are 'FOR RESEARCH USE ONLY. NOT FOR USE IN DIAGNOSTIC OR THERAPEUTIC PROCEDURES'.

For licensing inquiries, please contact partnerships@abcam.com