JavaScript is disabled in your browser. Please enable JavaScript to view this website.
AB96233

Anti-LOXL2 antibody

4

(9 Reviews)

|

(43 Publications)

Anti-LOXL2 antibody (ab96233) is a rabbit polyclonal antibody detecting LOXL2 in Western Blot, IHC-P, ICC/IF. Suitable for Human.

- Over 30 publications
- Trusted since 2010

View Alternative Names

Lysyl oxidase homolog 2, Lysyl oxidase-like protein 2, Lysyl oxidase-related protein 2, Lysyl oxidase-related protein WS9-14, LOXL2

9 Images
Immunocytochemistry/ Immunofluorescence - Anti-LOXL2 antibody (AB96233)
  • ICC/IF

Supplier Data

Immunocytochemistry/ Immunofluorescence - Anti-LOXL2 antibody (AB96233)

Immunocytochemistry/ Immunofluorescence analysis of A431 cells labeling LOXL2 with ab96233 at 1 : 500 (green). Cells were fixed in ice cold methanol for 5 minutes. Cells were co-stained with Hoechst 33342 (blue).

Immunohistochemistry (Formalin/PFA-fixed paraffin-embedded sections) - Anti-LOXL2 antibody (AB96233)
  • IHC-P

Unknown

Immunohistochemistry (Formalin/PFA-fixed paraffin-embedded sections) - Anti-LOXL2 antibody (AB96233)

Immunohistochemical analysis of Paraffin-embedded human esophageal carcinoma tissue labeling LOXL2 with ab96233 at 1/3000 dilution. Antigen Retrieval : Citrate buffer, pH 6.0, 15 min (Cuisinart Electric Pressure Cooker #EPC-1200, choose "high pressure"). Endogenous peroxidase blocking : 3% H2O2, RT, 30min. Blocking : 1.5% goat serum (dilute goat serum by 1xPBS), RT, 30 min. Primary antibody incubation : 4°C overnight. Secondary antibody incubation : ABC HRP Kit (Rabbit IgG), 1 : 200, RT, 30min. Washing condition : PBS, 2 x 5 mins. Chromogen system : DAB.

Immunohistochemistry (Formalin/PFA-fixed paraffin-embedded sections) - Anti-LOXL2 antibody (AB96233)
  • IHC-P

Lab

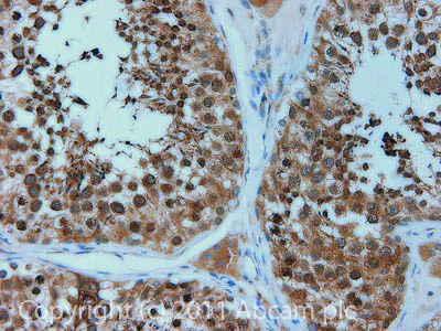
Immunohistochemistry (Formalin/PFA-fixed paraffin-embedded sections) - Anti-LOXL2 antibody (AB96233)

IHC image of ab96233 staining in human testis formalin fixed paraffin embedded tissue section, performed on a Leica BondTM system using the standard protocol F. The section was pre-treated using heat mediated antigen retrieval with sodium citrate buffer (pH6, epitope retrieval solution 1) for 20 mins. The section was then incubated with ab96233, 1µg/ml, for 15 mins at room temperature and detected using an HRP conjugated compact polymer system. DAB was used as the chromogen. The section was then counterstained with haematoxylin and mounted with DPX.

For other IHC staining systems (automated and non-automated) customers should optimize variable parameters such as antigen retrieval conditions, primary antibody concentration and antibody incubation times.

Immunocytochemistry/ Immunofluorescence - Anti-LOXL2 antibody (AB96233)
  • ICC/IF

Supplier Data

Immunocytochemistry/ Immunofluorescence - Anti-LOXL2 antibody (AB96233)

Immunofluorescence analysis of 4% paraformaldehyde fixed at RT for 15 mins HeLa cells labelling LOXL2 protein at nucleus using ab96233 at a 1/500 dilution (Green). Alpha tubulin, a cytoskeleton marker stained by anti-alpha tubulin antibody at a 1/1000 dilution (Red).

Indirect ELISA - Anti-LOXL2 antibody (AB96233)
  • I-ELISA

Supplier Data

Indirect ELISA - Anti-LOXL2 antibody (AB96233)

Indirect ELISA analysis was performed by coating the plate with recombinant Human LOXL2 protein, His tagged (44.94-0.7 nM). Coated protein was probed with ab96233 (1 μg/mL). A Goat anti-rabbit IgG antibody (HRP) conjugated (1 : 10000) was used to detect the bound primary antibody.

Western blot - Anti-LOXL2 antibody (AB96233)
  • WB

Supplier Data

Western blot - Anti-LOXL2 antibody (AB96233)

Samples were separated by 7.5% SDS-PAGE.

All lanes:

Western blot - Anti-LOXL2 antibody (ab96233) at 1/5000 dilution

Lane 1:

Non-transfected (-) 293T whole cell extracts at 30 µg

Lane 2:

Transfected (+) 293T whole cell extracts at 30 µg

Predicted band size: 87 kDa

false

Western blot - Anti-LOXL2 antibody (AB96233)
  • WB

Supplier Data

Western blot - Anti-LOXL2 antibody (AB96233)

Samples were separated by 7.5% SDS-PAGE.

All lanes:

Western blot - Anti-LOXL2 antibody (ab96233) at 1/500 dilution

Lane 1:

Wild-type (WT) HeLa cell extracts at 30 µg

Lane 2:

LOXL2 knockout (KO) HeLa cell extracts at 30 µg

Secondary

All lanes:

HRP-conjugated anti-rabbit IgG antibody

Predicted band size: 87 kDa

false

Western blot - Anti-LOXL2 antibody (AB96233)
  • WB

Supplier Data

Western blot - Anti-LOXL2 antibody (AB96233)

Samples were separated by 7.5% SDS-PAGE.

All lanes:

Western blot - Anti-LOXL2 antibody (ab96233) at 1/5000 dilution

Lane 1:

MCF-7 whole cell extracts at 30 µg

Lane 2:

MDA-MB-231 whole cell extracts at 30 µg

Secondary

All lanes:

HRP-conjugated anti-rabbit IgG antibody

Predicted band size: 87 kDa

false

Western blot - Anti-LOXL2 antibody (AB96233)
  • WB

Supplier Data

Western blot - Anti-LOXL2 antibody (AB96233)

Samples were separated by 7.5% SDS-PAGE.

All lanes:

Western blot - Anti-LOXL2 antibody (ab96233) at 1/5000 dilution

All lanes:

U87-MG Whole cell extract at 30 µg

Secondary

All lanes:

HRP-conjugated anti-rabbit IgG antibody

Predicted band size: 87 kDa

false

Key facts

Host species

Rabbit

Clonality

Polyclonal

Isotype

IgG

Carrier free

No

Reacts with

Human

Applications

IHC-P, I-ELISA, WB, ICC/IF

applications

Immunogen

Recombinant Fragment Protein within Human LOXL2. The exact immunogen used to generate this antibody is proprietary information.

Q9Y4K0

Reactivity data

{ "title": "Reactivity Data", "filters": { "stats": ["", "Species", "Dilution Info", "Notes"], "tabs": { "all-applications": {"fullname" : "All Applications", "shortname": "All Applications"}, "IHCP" : {"fullname" : "Immunohistochemistry (Formalin/PFA-fixed paraffin-embedded sections)", "shortname":"IHC-P"}, "WB" : {"fullname" : "Western blot", "shortname":"WB"}, "ICCIF" : {"fullname" : "Immunocytochemistry/ Immunofluorescence", "shortname":"ICC/IF"}, "IELISA" : {"fullname" : "Indirect ELISA", "shortname":"I-ELISA"} }, "product-promise": { "all": "all", "testedAndGuaranteed": "tested", "guaranteed": "expected", "predicted": "predicted", "notRecommended": "not-recommended" } }, "values": { "Human": { "IHCP-species-checked": "testedAndGuaranteed", "IHCP-species-dilution-info": "1/100 - 1/1000", "IHCP-species-notes": "<p></p> Perform heat-mediated antigen retrieval with citrate buffer pH 6 before commencing with IHC staining protocol.", "WB-species-checked": "testedAndGuaranteed", "WB-species-dilution-info": "1/500 - 1/10000", "WB-species-notes": "<p>Blocking: 5% non-fat milk in TBST at room temperature 60 minutes. Please ensure to include a positive control in your experiment, examples are included on this datasheet.</p><p><strong>WB application is validated in human samples only.</strong> <a href='/en-us/products/primary-antibodies/loxl2-antibody-epr12733-c-terminal-ab179810'>ab179810</a> can be used as an alternative product for WB using mouse samples.</p>", "ICCIF-species-checked": "testedAndGuaranteed", "ICCIF-species-dilution-info": "1/100 - 1/1000", "ICCIF-species-notes": "<p></p>", "IELISA-species-checked": "guaranteed", "IELISA-species-dilution-info": "", "IELISA-species-notes": "" }, "Rat": { "IHCP-species-checked": "predicted", "IHCP-species-dilution-info": "", "IHCP-species-notes": "", "WB-species-checked": "predicted", "WB-species-dilution-info": "", "WB-species-notes": "", "ICCIF-species-checked": "predicted", "ICCIF-species-dilution-info": "", "ICCIF-species-notes": "", "IELISA-species-checked": "predicted", "IELISA-species-dilution-info": "", "IELISA-species-notes": "" }, "Cow": { "IHCP-species-checked": "predicted", "IHCP-species-dilution-info": "", "IHCP-species-notes": "", "WB-species-checked": "predicted", "WB-species-dilution-info": "", "WB-species-notes": "", "ICCIF-species-checked": "predicted", "ICCIF-species-dilution-info": "", "ICCIF-species-notes": "", "IELISA-species-checked": "predicted", "IELISA-species-dilution-info": "", "IELISA-species-notes": "" }, "Recombinant fragment - Human": { "IHCP-species-checked": "notRecommended", "IHCP-species-dilution-info": "", "IHCP-species-notes": "", "WB-species-checked": "notRecommended", "WB-species-dilution-info": "", "WB-species-notes": "", "ICCIF-species-checked": "notRecommended", "ICCIF-species-dilution-info": "", "ICCIF-species-notes": "", "IELISA-species-checked": "testedAndGuaranteed", "IELISA-species-dilution-info": "", "IELISA-species-notes": "<p></p>" } } }

Product details

What is this antibody validated in?
Anti-LOXL2 antibody (ab96233) is a rabbit polyclonal antibody and is validated for use in Western Blot (WB), Immunohistochemistry (IHC-P), Immunocytochemistry/immunofluorescence (ICC/IF) in Human samples.

What is the molecular weight of LOXL2?
Anti-LOXL2 (ab96233) specifically detects a band for LOXL2 (UniProt: Q9Y4K0) at a molecular weight of 87kDa.

Trusted by the scientific community
Anti-LOXL2 (ab96233) was first used in a scientific publication in 2010 and has been cited over 30 times in peer-reviewed journals.

Reviewed by scientists
Anti-LOXL2 (ab96233) has over 5 independent reviews from customers.

Properties and storage information

Form
Liquid
Purification technique
Affinity purification Immunogen
Storage buffer
pH: 7 Preservative: 0.025% Proclin 300 Constituents: PBS, 20% Glycerol (glycerin, glycerine), 1% BSA
Shipped at conditions
Blue Ice
Appropriate short-term storage conditions
+4°C
Appropriate long-term storage conditions
-20°C
Aliquoting information
Upon delivery aliquot
Storage information
Avoid freeze / thaw cycle

Product protocols

For this product, it's our understanding that no specific protocols are required. You can visit:

Target data

Mediates the post-translational oxidative deamination of lysine residues on target proteins leading to the formation of deaminated lysine (allysine) (PubMed : 27735137). Acts as a transcription corepressor and specifically mediates deamination of trimethylated 'Lys-4' of histone H3 (H3K4me3), a specific tag for epigenetic transcriptional activation (PubMed : 27735137). Shows no activity against histone H3 when it is trimethylated on 'Lys-9' (H3K9me3) or 'Lys-27' (H3K27me3) or when 'Lys-4' is monomethylated (H3K4me1) or dimethylated (H3K4me2) (PubMed : 27735137). Also mediates deamination of methylated TAF10, a member of the transcription factor IID (TFIID) complex, which induces release of TAF10 from promoters, leading to inhibition of TFIID-dependent transcription (PubMed : 25959397). LOXL2-mediated deamination of TAF10 results in transcriptional repression of genes required for embryonic stem cell pluripotency including POU5F1/OCT4, NANOG, KLF4 and SOX2 (By similarity). Involved in epithelial to mesenchymal transition (EMT) via interaction with SNAI1 and participates in repression of E-cadherin CDH1, probably by mediating deamination of histone H3 (PubMed : 16096638, PubMed : 24414204, PubMed : 27735137). During EMT, involved with SNAI1 in negatively regulating pericentromeric heterochromatin transcription (PubMed : 24239292). SNAI1 recruits LOXL2 to pericentromeric regions to oxidize histone H3 and repress transcription which leads to release of heterochromatin component CBX5/HP1A, enabling chromatin reorganization and acquisition of mesenchymal traits (PubMed : 24239292). Interacts with the endoplasmic reticulum protein HSPA5 which activates the IRE1-XBP1 pathway of the unfolded protein response, leading to expression of several transcription factors involved in EMT and subsequent EMT induction (PubMed : 28332555). Involved in E-cadherin repression following hypoxia, a hallmark of EMT believed to amplify tumor aggressiveness, suggesting that it may play a role in tumor progression (PubMed : 20026874). When secreted into the extracellular matrix, promotes cross-linking of extracellular matrix proteins by mediating oxidative deamination of peptidyl lysine residues in precursors to fibrous collagen and elastin (PubMed : 20306300). Acts as a regulator of sprouting angiogenesis, probably via collagen IV scaffolding (PubMed : 21835952). Acts as a regulator of chondrocyte differentiation, probably by regulating expression of factors that control chondrocyte differentiation (By similarity).
See full target information LOXL2

Publications (43)

Recent publications for all applications. Explore the full list and refine your search

Histochemistry and cell biology 163:84 PubMed40875056

2025

Extracellular matrix reorganization during endometrial decidualization.

Applications

Unspecified application

Species

Unspecified reactive species

Mona Gebril,Sparhawk Mulder,Rimi Das,Shanmugasundaram Nallasamy

Cancer cell international 25:235 PubMed40555979

2025

A novel mesothelioma molecular classification based on malignant cell differentiation.

Applications

Unspecified application

Species

Unspecified reactive species

Jun Liu,Yifan Liu,Yuwei Lu,Wei Zhang,Jiale Yan,Bingnan Lu,Yuntao Yao,Shuyuan Xian,Donghao Lyu,Jiaying Shi,Yuanan Li,Xinru Wu,Chenguang Bai,Jie Zhang,Yuan Zhang

Journal of the Endocrine Society 9:bvaf028 PubMed40170697

2025

Lysyl Oxidases Are Necessary for Myometrial Contractility and On-time Parturition in Mice.

Applications

Unspecified application

Species

Unspecified reactive species

Alexis Ouellette,Christina Do,Sydney Cohn-Guthrie,Ying-Wai Lam,Mala Mahendroo,Shanmugasundaram Nallasamy

Bone research 12:24 PubMed38594260

2024

Sorafenib inhibits ossification of the posterior longitudinal ligament by blocking LOXL2-mediated vascularization.

Applications

Unspecified application

Species

Unspecified reactive species

Longqing Wang,Wenhao Jiang,Siyuan Zhao,Dong Xie,Qing Chen,Qi Zhao,Hao Wu,Jian Luo,Lili Yang

Heliyon 9:e21220 PubMed37920527

2023

Salidroside attenuates atrial fibrosis and atrial fibrillation vulnerability induced by angiotensin-II through inhibition of LOXL2-TGF-β1-Smad2/3 pathway.

Applications

Unspecified application

Species

Unspecified reactive species

Zhen Hai,Yingbiao Wu,Zhongping Ning

Frontiers in immunology 14:1177847 PubMed37583701

2023

Identification of novel gene signature for lung adenocarcinoma by machine learning to predict immunotherapy and prognosis.

Applications

Unspecified application

Species

Unspecified reactive species

Jianfeng Shu,Jinni Jiang,Guofang Zhao

Iranian journal of basic medical sciences 26:717-724 PubMed37275755

2023

Irisin attenuates angiotensin II-induced atrial fibrillation and atrial fibrosis via LOXL2 and TGFβ1/Smad2/3 signaling pathways.

Applications

Unspecified application

Species

Unspecified reactive species

Yingbiao Wu,Jun Luo,Xiang Song,Wei Gu,Saihua Wang,Shuwen Hao,Zhiwu Dong,Zhongping Ning

Molecules (Basel, Switzerland) 28: PubMed37298909

2023

New Functions of Intracellular LOXL2: Modulation of RNA-Binding Proteins.

Applications

Unspecified application

Species

Unspecified reactive species

Pilar Eraso,María J Mazón,Victoria Jiménez,Patricia Pizarro-García,Eva P Cuevas,Jara Majuelos-Melguizo,Jesús Morillo-Bernal,Amparo Cano,Francisco Portillo

Laboratory investigation; a journal of technical methods and pathology 103:100014 PubMed36870293

2023

Cigarette Smoke Enhances the Malignant Phenotype of Esophageal Adenocarcinoma Cells by Disrupting a Repressive Regulatory Interaction Between miR-145 and LOXL2.

Applications

Unspecified application

Species

Unspecified reactive species

Sichuan Xi,Shakirat Oyetunji,Haitao Wang,Said Azoury,Yi Liu,Shih-Hsin Hsiao,Mary Zhang,Shamus R Carr,Chuong D Hoang,Haobin Chen,David S Schrump

Experimental and therapeutic medicine 24:648 PubMed36168418

2022

Inhibition of lysyl oxidase‑like 2 ameliorates folic acid‑induced renal tubulointerstitial fibrosis.

Applications

Unspecified application

Species

Unspecified reactive species

Sung-Eun Choi,Nara Jeon,Hoon Young Choi,Hyeon Joo Jeong,Beom Jin Lim
View all publications

Product promise

We are committed to supporting your work with high-quality reagents, and we're here for you every step of the way. In the unlikely event that one of our products does not perform as expected, you're protected by our Product Promise.
For full details, please see our Terms & Conditions

Please note: All products are 'FOR RESEARCH USE ONLY. NOT FOR USE IN DIAGNOSTIC OR THERAPEUTIC PROCEDURES'.

For licensing inquiries, please contact partnerships@abcam.com