JavaScript is disabled in your browser. Please enable JavaScript to view this website.
AB232878

Anti-LOXL3 antibody

Be the first to review this product! Submit a review

|

(1 Publication)

Rabbit Polyclonal LOXL3 antibody. Suitable for WB, IHC-P and reacts with Mouse, Human samples. Cited in 1 publication. Immunogen corresponding to Recombinant Fragment Protein within Human LOXL3 aa 500-750.

View Alternative Names

LOXL, LOXL3, Lysyl oxidase homolog 3, Lysyl oxidase-like protein 3

3 Images
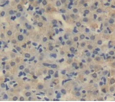
Immunohistochemistry (Formalin/PFA-fixed paraffin-embedded sections) - Anti-LOXL3 antibody (AB232878)
  • IHC-P

Supplier Data

Immunohistochemistry (Formalin/PFA-fixed paraffin-embedded sections) - Anti-LOXL3 antibody (AB232878)

Formalin-fixed, paraffin-embedded human ovary tissue stained for LOXL3 using ab232878 at 20 μg/mL in immunohistochemical analysis.

Western blot - Anti-LOXL3 antibody (AB232878)
  • WB

Supplier Data

Western blot - Anti-LOXL3 antibody (AB232878)

All lanes:

Western blot - Anti-LOXL3 antibody (ab232878) at 2 µg/mL

All lanes:

Recombinant human LOXL3 protein.

Predicted band size: 83 kDa

false

Western blot - Anti-LOXL3 antibody (AB232878)
  • WB

Supplier Data

Western blot - Anti-LOXL3 antibody (AB232878)

All lanes:

Western blot - Anti-LOXL3 antibody (ab232878) at 5 µg/mL

All lanes:

Mouse small intestine tissue lysate.

Predicted band size: 83 kDa

false

Key facts

Host species

Rabbit

Clonality

Polyclonal

Isotype

IgG

Carrier free

No

Reacts with

Mouse, Human

Applications

WB, IHC-P

applications

Immunogen

Recombinant Fragment Protein within Human LOXL3 aa 500-750. The exact immunogen used to generate this antibody is proprietary information.

P58215

Reactivity data

{ "title": "Reactivity Data", "filters": { "stats": ["", "Species", "Dilution Info", "Notes"], "tabs": { "all-applications": {"fullname" : "All Applications", "shortname": "All Applications"}, "WB" : {"fullname" : "Western blot", "shortname":"WB"}, "IHCP" : {"fullname" : "Immunohistochemistry (Formalin/PFA-fixed paraffin-embedded sections)", "shortname":"IHC-P"} }, "product-promise": { "all": "all", "testedAndGuaranteed": "tested", "guaranteed": "expected", "predicted": "predicted", "notRecommended": "not-recommended" } }, "values": { "Human": { "WB-species-checked": "testedAndGuaranteed", "WB-species-dilution-info": "0.2-2 µg/mL", "WB-species-notes": "<p></p>", "IHCP-species-checked": "testedAndGuaranteed", "IHCP-species-dilution-info": "5-20 µg/mL", "IHCP-species-notes": "<p></p>" }, "Mouse": { "WB-species-checked": "testedAndGuaranteed", "WB-species-dilution-info": "0.2-2 µg/mL", "WB-species-notes": "<p></p>", "IHCP-species-checked": "guaranteed", "IHCP-species-dilution-info": "", "IHCP-species-notes": "" } } }

Properties and storage information

Form
Liquid
Purification technique
Affinity purification Immunogen
Purification notes
Antigen-specific affinity chromatography followed by Protein A affinity chromatography.
Storage buffer
pH: 7.4 Preservative: 0.011% Proclin 300 Constituents: PBS, 55.77% Glycerol (glycerin, glycerine)
Shipped at conditions
Blue Ice
Appropriate short-term storage duration
1-2 weeks
Appropriate short-term storage conditions
+4°C
Appropriate long-term storage conditions
-20°C
Aliquoting information
Upon delivery aliquot
Storage information
Avoid freeze / thaw cycle

Product protocols

For this product, it's our understanding that no specific protocols are required. You can visit:

Target data

Protein-lysine 6-oxidase that mediates the oxidation of peptidyl lysine residues to allysine in target proteins (PubMed : 17018530, PubMed : 28065600). Catalyzes the post-translational oxidative deamination of peptidyl lysine residues in precursors of elastin and different types of collagens, a prerequisite in the formation of cross-links between collagens and elastin (PubMed : 17018530). Required for somite boundary formation by catalyzing oxidation of fibronectin (FN1), enhancing integrin signaling in myofibers and their adhesion to the myotendinous junction (MTJ) (By similarity). Acts as a regulator of inflammatory response by inhibiting differentiation of naive CD4(+) T-cells into T-helper Th17 or regulatory T-cells (Treg) : acts by interacting with STAT3 in the nucleus and catalyzing both deacetylation and oxidation of lysine residues on STAT3, leading to disrupt STAT3 dimerization and inhibit STAT3 transcription activity (PubMed : 28065600). Oxidation of lysine residues to allysine on STAT3 preferentially takes place on lysine residues that are acetylated (PubMed : 28065600). Also able to catalyze deacetylation of lysine residues on STAT3 (PubMed : 28065600).. Isoform 1. Shows protein-lysine 6-oxidase activity toward elastin and different types of collagens, with the highest activity toward collagen type VIII (PubMed : 17018530).. Isoform 2. Shows protein-lysine 6-oxidase activity toward elastin and different types of collagens, with the highest activity toward collagen type IV (PubMed : 17018530).
See full target information LOXL3

Publications (1)

Recent publications for all applications. Explore the full list and refine your search

Oxidative medicine and cellular longevity 2022:5772509 PubMed36105481

2022

Leukemia Inhibitory Factor Facilitates Self-Renewal and Differentiation and Attenuates Oxidative Stress of BMSCs by Activating PI3K/AKT Signaling.

Applications

Unspecified application

Species

Unspecified reactive species

Youde Liang,Ruiping Zhou,Xin Liu,Lin You,Chang Chen,Xiaoling Ye,Wei Wei,Jie Liu,Jiawei Dai,Kaixiong Li,Xiangxiang Zhao
View all publications

Product promise

We are committed to supporting your work with high-quality reagents, and we're here for you every step of the way. In the unlikely event that one of our products does not perform as expected, you're protected by our Product Promise.
For full details, please see our Terms & Conditions

Please note: All products are 'FOR RESEARCH USE ONLY. NOT FOR USE IN DIAGNOSTIC OR THERAPEUTIC PROCEDURES'.

For licensing inquiries, please contact partnerships@abcam.com