JavaScript is disabled in your browser. Please enable JavaScript to view this website.
AB214034

Anti-LPCAT1 antibody [EPR19882]

Be the first to review this product! Submit a review

|

(12 Publications)

Rabbit Recombinant Monoclonal LPCAT1 antibody. Suitable for IP, WB, ICC/IF, Flow Cyt (Intra), IHC-P and reacts with Human samples. Cited in 12 publications.

View Alternative Names

AYTL2, PFAAP3, LPCAT1, Lysophosphatidylcholine acyltransferase 1, LPC acyltransferase 1, LPCAT-1, LysoPC acyltransferase 1, 1-acylglycerol-3-phosphate O-acyltransferase, 1-acylglycerophosphocholine O-acyltransferase, 1-alkenylglycerophosphocholine O-acyltransferase, 1-alkylglycerophosphocholine O-acetyltransferase, Acetyl-CoA:lyso-platelet-activating factor acetyltransferase, Acyltransferase-like 2, Phosphonoformate immuno-associated protein 3, Acetyl-CoA:lyso-PAF acetyltransferase, Lyso-PAF acetyltransferase, LysoPAFAT

9 Images
Immunohistochemistry (Formalin/PFA-fixed paraffin-embedded sections) - Anti-LPCAT1 antibody [EPR19882] (AB214034)
  • IHC-P

Supplier Data

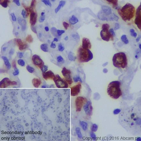
Immunohistochemistry (Formalin/PFA-fixed paraffin-embedded sections) - Anti-LPCAT1 antibody [EPR19882] (AB214034)

Immunohistochemical analysis of paraffin-embedded human lung tissue labeling LPCAT1 with ab214034 at 1/2000 dilution followed by Goat Anti-Rabbit IgG H&L (HRP) at 1/500 dilution.

Cytoplasmic or granular staining on the type two alveolar epithelial cells of human lung is observed.

Counter stained with Hematoxylin.

Secondary antibody only control : Used PBS instead of primary antibody secondary antibody is Goat Anti-Rabbit IgG H&L (HRP) at 1/500 dilution.

Perform heat mediated antigen retrieval with Tris/EDTA buffer pH 9.0 before commencing with IHC staining protocol.

Flow Cytometry (Intracellular) - Anti-LPCAT1 antibody [EPR19882] (AB214034)
  • Flow Cyt (Intra)

Supplier Data

Flow Cytometry (Intracellular) - Anti-LPCAT1 antibody [EPR19882] (AB214034)

Intracellular flow cytometric analysis of 4% paraformaldehyde-fixed A431 (Human epidermoid carcinoma cell line) cells labeling LPCAT1 with ab214034 at 1/50 dilution (red) compared with aRabbit IgG, monoclonal [EPR25A] - Isotype Control (ab172730; black) and an unlabeled control (cells without incubation with primary antibody and secondary antibody; blue). Goat Anti-Rabbit IgG (Alexa Fluor® 488) at 1/2000 dilution was used as the secondary antibody.

Immunohistochemistry (Formalin/PFA-fixed paraffin-embedded sections) - Anti-LPCAT1 antibody [EPR19882] (AB214034)
  • IHC-P

Supplier Data

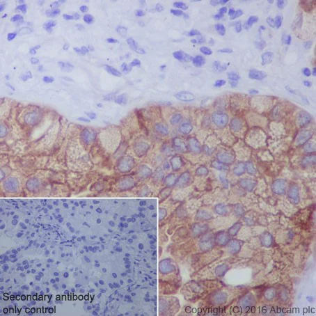
Immunohistochemistry (Formalin/PFA-fixed paraffin-embedded sections) - Anti-LPCAT1 antibody [EPR19882] (AB214034)

Immunohistochemical analysis of paraffin-embedded human liver cancer tissue labeling LPCAT1 with ab214034 at 1/2000 dilution followed by Goat Anti-Rabbit IgG H&L (HRP) at 1/500 dilution.

Cytoplasmic or granular staining on the liver cancer cells which contain abundant lipid drops is observed.

Counter stained with Hematoxylin.

Secondary antibody only control : Used PBS instead of primary antibody secondary antibody is Goat Anti-Rabbit IgG H&L (HRP) at 1/500 dilution.

Perform heat mediated antigen retrieval with Tris/EDTA buffer pH 9.0 before commencing with IHC staining protocol.

Flow Cytometry (Intracellular) - Anti-LPCAT1 antibody [EPR19882] (AB214034)
  • Flow Cyt (Intra)

Supplier Data

Flow Cytometry (Intracellular) - Anti-LPCAT1 antibody [EPR19882] (AB214034)

Intracellular flow cytometric analysis of 4% paraformaldehyde-fixed A549 (Human lung carcinoma cell line) cells labeling LPCAT1 with ab214034 at 1/50 dilution (red) compared withRabbit IgG, monoclonal [EPR25A] - Isotype Control (ab172730; black) and an unlabeled control (cells without incubation with primary antibody and secondary antibody; blue). Goat Anti-Rabbit IgG (Alexa Fluor® 488) at 1/2000 dilution was used as the secondary antibody.

Immunocytochemistry/ Immunofluorescence - Anti-LPCAT1 antibody [EPR19882] (AB214034)
  • ICC/IF

Supplier Data

Immunocytochemistry/ Immunofluorescence - Anti-LPCAT1 antibody [EPR19882] (AB214034)

Immunofluorescent analysis of 4% paraformaldehyde-fixed 0.1% Triton X-100 permeabilized A431 (Human epidermoid carcinoma cell line) cells labeling LPCAT1 with ab214034 at 1/250 dilution followed by Goat Anti-Rabbit IgG (Alexa Fluor® 488) (ab150077) secondary antibody at 1/1000 dilution (green). Confocal image showing cytoplasmic staining on A431 cells. The nuclear counterstain is DAPI (blue).

Tubulin is detected with Anti-alpha Tubulin antibody [DM1A] - Microtubule Marker (Alexa Fluor® 594) (ab195889) at 1/200 dilution (red).

Secondary antibody only control : Used PBS instead of primary antibody secondary antibody is Goat Anti-Rabbit IgG (Alexa Fluor® 488) (ab150077) at 1/1000 dilution.

Immunocytochemistry/ Immunofluorescence - Anti-LPCAT1 antibody [EPR19882] (AB214034)
  • ICC/IF

Supplier Data

Immunocytochemistry/ Immunofluorescence - Anti-LPCAT1 antibody [EPR19882] (AB214034)

Immunofluorescent analysis of 4% paraformaldehyde-fixed 0.1% Triton X-100 permeabilized A549 (Human lung carcinoma cell line) cells labeling LPCAT1 with ab214034 at 1/250 dilution followed by Goat Anti-Rabbit IgG (Alexa Fluor® 488) (ab150077) secondary antibody at 1/1000 dilution (green). Confocal image showing cytoplasmic staining on A549 cells. The nuclear counterstain is DAPI (blue).

Tubulin is detected with Anti-alpha Tubulin antibody [DM1A] - Microtubule Marker (Alexa Fluor® 594) (ab195889) at 1/200 dilution (red).

Secondary antibody only control : Used PBS instead of primary antibody secondary antibody is Goat Anti-Rabbit IgG (Alexa Fluor® 488) (ab150077) at 1/1000 dilution.

Immunohistochemistry (Formalin/PFA-fixed paraffin-embedded sections) - Anti-LPCAT1 antibody [EPR19882] (AB214034)
  • IHC-P

Supplier Data

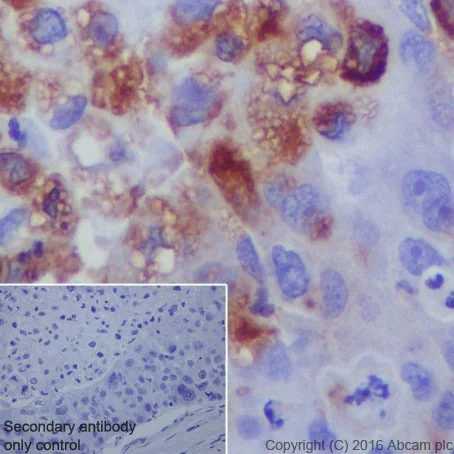
Immunohistochemistry (Formalin/PFA-fixed paraffin-embedded sections) - Anti-LPCAT1 antibody [EPR19882] (AB214034)

Immunohistochemical analysis of paraffin-embedded human lung cancer tissue labeling LPCAT1 with ab214034 at 1/2000 dilution followed by Goat Anti-Rabbit IgG H&L (HRP) at 1/500 dilution.

Cytoplasmic or granular staining on the lung cancer cells is observed.

Counter stained with Hematoxylin.

Secondary antibody only control : Used PBS instead of primary antibody secondary antibody is Goat Anti-Rabbit IgG H&L (HRP) at 1/500 dilution.

Perform heat mediated antigen retrieval with Tris/EDTA buffer pH 9.0 before commencing with IHC staining protocol.

Immunoprecipitation - Anti-LPCAT1 antibody [EPR19882] (AB214034)
  • IP

Supplier Data

Immunoprecipitation - Anti-LPCAT1 antibody [EPR19882] (AB214034)

LPCAT1 was immunoprecipitated from 0.35 mg of A549 (Human lung carcinoma cell line) whole cell lysate with ab214034 at 1/30 dilution.

Western blot was performed from the immunoprecipitate using ab214034 at 1/1000 dilution.

VeriBlot for IP Detection Reagent (HRP) (ab131366), was used for detection at 1/10,000 dilution

Lane 1 : A549 whole cell lysate 10μg (Input).

Lane 2 : ab214034 IP in A549 whole cell lysate.

Lane 3 : Rabbit IgG, monoclonal [EPR25A] - Isotype Control (ab172730) instead of ab214034 in A549 whole cell lysate.

Blocking and dilution buffer and concentration : 5% NFDM/TBST.

Exposure time : 1 second.

All lanes:

Immunoprecipitation - Anti-LPCAT1 antibody [EPR19882] (ab214034)

Predicted band size: 59 kDa

false

Western blot - Anti-LPCAT1 antibody [EPR19882] (AB214034)
  • WB

Supplier Data

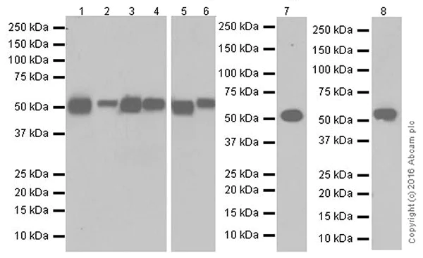
Western blot - Anti-LPCAT1 antibody [EPR19882] (AB214034)

Blocking/Dilution buffer : 5% NFDM/TBST.

Exposure time : Lane 1-4/8 : 4 seconds; Lane 5/6 : 8 seconds; Lane 7 : 3 minutes.

Lanes 1 - 6:

Western blot - Anti-LPCAT1 antibody [EPR19882] (ab214034) at 1/2000 dilution

Lanes 7 - 8:

Western blot - Anti-LPCAT1 antibody [EPR19882] (ab214034) at 1/10000 dilution

Lane 1:

Human fetal brain lysate at 10 µg

Lane 2:

Human testis lysate at 10 µg

Lane 3:

A431 (Human epidermoid carcinoma cell line) whole cell lysate at 10 µg

Lane 4:

A549 (Human lung carcinoma cell line) whole cell lysate at 10 µg

Lane 5:

Human fetal spleen lysate at 10 µg

Lane 6:

Human fetal kidney lysate at 10 µg

Lane 7:

Human prostate cancer lysate at 10 µg

Lane 8:

PC-3 (Human prostate adenocarcinoma cell line) whole cell lysate at 10 µg

Secondary

All lanes:

Western blot - Goat Anti-Rabbit IgG H&L (HRP) (<a href='/en-us/products/secondary-antibodies/goat-rabbit-igg-h-l-hrp-ab97051'>ab97051</a>) at 1/100000 dilution

Predicted band size: 59 kDa

Observed band size: 59 kDa

false

  • Carrier free

    Anti-LPCAT1 antibody [EPR19882] - BSA and Azide free

Key facts

Host species

Rabbit

Clonality

Monoclonal

Clone number

EPR19882

Isotype

IgG

Carrier free

No

Reacts with

Human

Applications

WB, ICC/IF, Flow Cyt (Intra), IHC-P, IP

applications

Immunogen

The exact immunogen used to generate this antibody is proprietary information.

Reactivity data

{ "title": "Reactivity Data", "filters": { "stats": ["", "Species", "Dilution Info", "Notes"], "tabs": { "all-applications": {"fullname" : "All Applications", "shortname": "All Applications"}, "IP" : {"fullname" : "Immunoprecipitation", "shortname":"IP"}, "WB" : {"fullname" : "Western blot", "shortname":"WB"}, "ICCIF" : {"fullname" : "Immunocytochemistry/ Immunofluorescence", "shortname":"ICC/IF"}, "FlowCytIntra" : {"fullname" : "Flow Cytometry (Intracellular)", "shortname":"Flow Cyt (Intra)"}, "IHCP" : {"fullname" : "Immunohistochemistry (Formalin/PFA-fixed paraffin-embedded sections)", "shortname":"IHC-P"} }, "product-promise": { "all": "all", "testedAndGuaranteed": "tested", "guaranteed": "expected", "predicted": "predicted", "notRecommended": "not-recommended" } }, "values": { "Human": { "IP-species-checked": "testedAndGuaranteed", "IP-species-dilution-info": "1/30", "IP-species-notes": "<p></p>", "WB-species-checked": "testedAndGuaranteed", "WB-species-dilution-info": "1/2000", "WB-species-notes": "<p></p>", "ICCIF-species-checked": "testedAndGuaranteed", "ICCIF-species-dilution-info": "1/250", "ICCIF-species-notes": "<p></p>", "FlowCytIntra-species-checked": "testedAndGuaranteed", "FlowCytIntra-species-dilution-info": "1/50", "FlowCytIntra-species-notes": "<p></p>", "IHCP-species-checked": "testedAndGuaranteed", "IHCP-species-dilution-info": "1/2000", "IHCP-species-notes": "<p></p>" } } }

Product details

Patented technology
Our RabMAb® technology is a patented hybridoma-based technology for making rabbit monoclonal antibodies. For details on our patents, please refer to RabMAb® patents.

What are the advantages of a recombinant monoclonal antibody?
This product is a recombinant monoclonal antibody, which offers several advantages including:

  • - High batch-to-batch consistency and reproducibility
  • - Improved sensitivity and specificity
  • - Long-term security of supply
  • - Animal-free batch production

For more information, read more on recombinant antibodies.

Properties and storage information

Form
Liquid
Purification technique
Affinity purification Protein A
Storage buffer
pH: 7.2 - 7.4 Preservative: 0.01% Sodium azide Constituents: PBS, 40% Glycerol (glycerin, glycerine), 0.05% BSA
Shipped at conditions
Blue Ice
Appropriate short-term storage duration
1-2 weeks
Appropriate short-term storage conditions
+4°C
Appropriate long-term storage conditions
-20°C
Aliquoting information
Upon delivery aliquot
Storage information
Avoid freeze / thaw cycle

Product protocols

For this product, it's our understanding that no specific protocols are required. You can visit:

Target data

Exhibits acyltransferase activity (PubMed : 18156367, PubMed : 21498505). Exhibits acetyltransferase activity (By similarity). Activity is calcium-independent (By similarity). Catalyzes the conversion of lysophosphatidylcholine (1-acyl-sn-glycero-3-phosphocholine or LPC) into phosphatidylcholine (1,2-diacyl-sn-glycero-3-phosphocholine or PC) (PubMed : 18156367, PubMed : 21498505). Catalyzes the conversion 1-acyl-sn-glycerol-3-phosphate (lysophosphatidic acid or LPA) into 1,2-diacyl-sn-glycerol-3-phosphate (phosphatidic acid or PA) by incorporating an acyl moiety at the sn-2 position of the glycerol backbone (By similarity). Displays a clear preference for saturated fatty acyl-CoAs, and 1-myristoyl or 1-palmitoyl LPC as acyl donors and acceptors, respectively (By similarity). Involved in platelet-activating factor (PAF) biosynthesis by catalyzing the conversion of the PAF precursor, 1-O-alkyl-sn-glycero-3-phosphocholine (lyso-PAF) into 1-O-alkyl-2-acetyl-sn-glycero-3-phosphocholine (PAF) (By similarity). May synthesize phosphatidylcholine in pulmonary surfactant, thereby playing a pivotal role in respiratory physiology (By similarity). Involved in the regulation of lipid droplet number and size (PubMed : 25491198).
See full target information LPCAT1

Publications (12)

Recent publications for all applications. Explore the full list and refine your search

Acta neuropathologica 149:41 PubMed40314782

2025

Abundant non-inclusion α-synuclein pathology in Lewy body-negative LRRK2-mutant cases.

Applications

Unspecified application

Species

Unspecified reactive species

Nanna Møller Jensen,Zagorka Vitic,Mia R Antorini,Tobias Bruun Viftrup,Laura Parkkinen,Poul Henning Jensen

World journal of clinical oncology 15:1412-1427 PubMed39582611

2024

Potential regulatory mechanism and clinical significance of synaptotagmin binding cytoplasmic RNA interacting protein in colorectal cancer.

Applications

Unspecified application

Species

Unspecified reactive species

Hui Li,He-Qing Huang,Zhi-Guang Huang,Rong-Quan He,Ye-Ying Fang,Rui Song,Jia-Yuan Luo,Da-Tong Zeng,Kai Qin,Dan-Ming Wei,Gang Chen

Oncology reports 51: PubMed38551165

2024

LPCAT1 promotes melanoma cell proliferation via Akt signaling.

Applications

Unspecified application

Species

Unspecified reactive species

Yuqian Wang,Yingjian Huang,Yan Wang,Wen Zhang,Ning Wang,Ruimin Bai,Ruiting Luo,Huihui Tuo,Yan Zheng

Cell reports. Medicine 4:101078 PubMed37301197

2023

Distinct immune microenvironment of lung adenocarcinoma in never-smokers from smokers.

Applications

Unspecified application

Species

Unspecified reactive species

Wenxin Luo,Zhen Zeng,Yang Jin,Lan Yang,Ting Fan,Zhoufeng Wang,Yitong Pan,Ying Yang,Menglin Yao,Yangqian Li,Xue Xiao,Gang Wang,Chengdi Wang,Shuai Chang,Guowei Che,Li Zhang,Yalun Li,Yong Peng,Weimin Li

Neoplasma 70:260-271 PubMed37226933

2023

The inhibition of Aurora A kinase regulates phospholipid remodeling by upregulating LPCAT1 in glioblastoma.

Applications

Unspecified application

Species

Unspecified reactive species

Ya-Zhou Miao,Jing Wang,Shu-Yu Hao,Yu-Xuan Deng,Zhe Zhang,Ze-Ping Jin,Da-Yuan Liu,Shao-Dong Zhang,Hong Wan,Nan Ji,Jie Feng

Cancer medicine 12:13438-13454 PubMed37184260

2023

LPCAT1 enhances the invasion and migration in gastric cancer: Based on computational biology methods and in vitro experiments.

Applications

Unspecified application

Species

Unspecified reactive species

Zu-Xuan Chen,Liang Liang,He-Qing Huang,Jian-Di Li,Rong-Quan He,Zhi-Guang Huang,Rui Song,Gang Chen,Jian-Jun Li,Zheng-Wen Cai,Jie-An Huang

Oncology letters 25:134 PubMed36909375

2023

LPCAT1 is transcriptionally regulated by FOXA1 to promote breast cancer progression and paclitaxel resistance.

Applications

Unspecified application

Species

Unspecified reactive species

Huayi Zhang,Yaqin Zheng

Acta biochimica et biophysica Sinica 54:904-916 PubMed35880567

2022

Overexpression of LPCAT1 enhances endometrial cancer stemness and metastasis by changing lipid components and activating the TGF/β-Smad2/3 signaling pathway.

Applications

Unspecified application

Species

Unspecified reactive species

Tianyi Zhao,Rui Sun,Xiaohong Ma,Lina Wei,Yixin Hou,Kun Song,Jie Jiang

Journal of Cancer 13:1837-1847 PubMed35399731

2022

LPCAT1 promotes gefitinib resistance via upregulation of the EGFR/PI3K/AKT signaling pathway in lung adenocarcinoma.

Applications

Unspecified application

Species

Unspecified reactive species

Jianghua Ding,Xinjing Ding,Zhaohui Leng

Cell death & disease 12:845 PubMed34518524

2021

LPCAT1 reprogramming cholesterol metabolism promotes the progression of esophageal squamous cell carcinoma.

Applications

Unspecified application

Species

Unspecified reactive species

Mingyue Tao,Jing Luo,Tong Gu,Xiaojuan Yu,Zhen Song,Yali Jun,Hao Gu,Kairong Han,Xiujuan Huang,Weiyong Yu,Su'an Sun,Zhengwei Zhang,Lu Liu,Xiaofei Chen,Li Zhang,Chao Luo,Qilong Wang
View all publications

Product promise

We are committed to supporting your work with high-quality reagents, and we're here for you every step of the way. In the unlikely event that one of our products does not perform as expected, you're protected by our Product Promise.
For full details, please see our Terms & Conditions

Please note: All products are 'FOR RESEARCH USE ONLY. NOT FOR USE IN DIAGNOSTIC OR THERAPEUTIC PROCEDURES'.

For licensing inquiries, please contact partnerships@abcam.com