JavaScript is disabled in your browser. Please enable JavaScript to view this website.
AB150794

Anti-LPHN3 antibody

Be the first to review this product! Submit a review

|

(1 Publication)

Rabbit Polyclonal LPHN3 antibody. Suitable for IHC-P and reacts with Human samples. Cited in 1 publication. Immunogen corresponding to Recombinant Fragment Protein within Human ADGRL3 aa 500-650.

View Alternative Names

KIAA0768, LEC3, LPHN3, ADGRL3, Adhesion G protein-coupled receptor L3, Calcium-independent alpha-latrotoxin receptor 3, Latrophilin-3, Lectomedin-3, CIRL-3

4 Images
Immunohistochemistry (Formalin/PFA-fixed paraffin-embedded sections) - Anti-LPHN3 antibody (AB150794)
  • IHC-P

Supplier Data

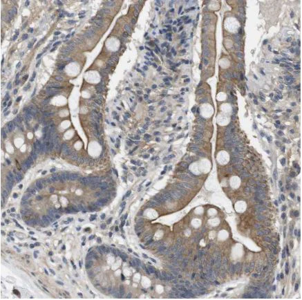
Immunohistochemistry (Formalin/PFA-fixed paraffin-embedded sections) - Anti-LPHN3 antibody (AB150794)

Immunohistochemical analysis of human small intestine tissue labeling LPHN3 in th membrane of glandular cells with ab150794 at a 1/50 dilution.

Performed heat mediated antigen retrieval with citrate buffer pH 6 before commencing with IHC staining protocol.

Immunohistochemistry (Formalin/PFA-fixed paraffin-embedded sections) - Anti-LPHN3 antibody (AB150794)
  • IHC-P

Supplier Data

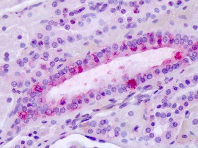
Immunohistochemistry (Formalin/PFA-fixed paraffin-embedded sections) - Anti-LPHN3 antibody (AB150794)

Immunohistochemical analysis of human uterine cervix tissue labeling LPHN3 in th membrane and cytoplasm of squamous epithelial cells with ab150794 at a 1/50 dilution.

Performed heat mediated antigen retrieval with citrate buffer pH 6 before commencing with IHC staining protocol.

Immunohistochemistry (Formalin/PFA-fixed paraffin-embedded sections) - Anti-LPHN3 antibody (AB150794)
  • IHC-P

Supplier Data

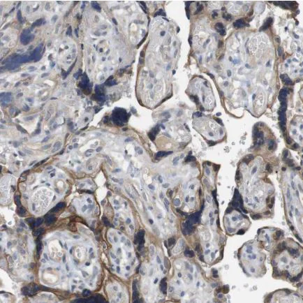
Immunohistochemistry (Formalin/PFA-fixed paraffin-embedded sections) - Anti-LPHN3 antibody (AB150794)

Immunohistochemical analysis of human placenta tissue labeling LPHN3 in th membrane of trophoblastic cells with ab150794 at a 1/50 dilution.

Performed heat mediated antigen retrieval with citrate buffer pH 6 before commencing with IHC staining protocol.

Immunohistochemistry (Formalin/PFA-fixed paraffin-embedded sections) - Anti-LPHN3 antibody (AB150794)
  • IHC-P

Supplier Data

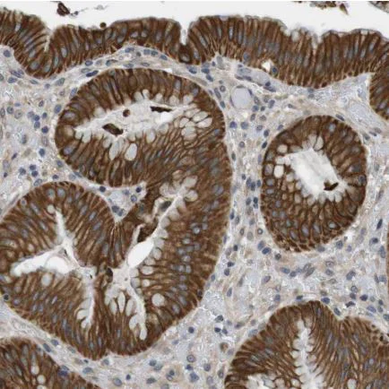
Immunohistochemistry (Formalin/PFA-fixed paraffin-embedded sections) - Anti-LPHN3 antibody (AB150794)

Immunohistochemical analysis of human stomach tissue labeling LPHN3 in th membrane and cytoplasm of glandular cells with ab150794 at a 1/50 dilution.

Performed heat mediated antigen retrieval with citrate buffer pH 6 before commencing with IHC staining protocol.

Key facts

Host species

Rabbit

Clonality

Polyclonal

Isotype

IgG

Carrier free

No

Reacts with

Human

Applications

IHC-P

applications

Immunogen

Recombinant Fragment Protein within Human ADGRL3 aa 500-650. The exact immunogen used to generate this antibody is proprietary information.

Q9HAR2

Reactivity data

{ "title": "Reactivity Data", "filters": { "stats": ["", "Species", "Dilution Info", "Notes"], "tabs": { "all-applications": {"fullname" : "All Applications", "shortname": "All Applications"}, "IHCP" : {"fullname" : "Immunohistochemistry (Formalin/PFA-fixed paraffin-embedded sections)", "shortname":"IHC-P"} }, "product-promise": { "all": "all", "testedAndGuaranteed": "tested", "guaranteed": "expected", "predicted": "predicted", "notRecommended": "not-recommended" } }, "values": { "Human": { "IHCP-species-checked": "testedAndGuaranteed", "IHCP-species-dilution-info": "1/50 - 1/200", "IHCP-species-notes": "<p></p> Perform heat-mediated antigen retrieval with citrate buffer pH 6 before commencing with IHC staining protocol." }, "Mouse": { "IHCP-species-checked": "predicted", "IHCP-species-dilution-info": "", "IHCP-species-notes": "" }, "Rat": { "IHCP-species-checked": "predicted", "IHCP-species-dilution-info": "", "IHCP-species-notes": "" } } }

Properties and storage information

Form
Liquid
Purification technique
Affinity purification Immunogen
Storage buffer
pH: 7.2 Preservative: 0.02% Sodium azide Constituents: PBS, 40% Glycerol (glycerin, glycerine)
Shipped at conditions
Blue Ice
Appropriate short-term storage conditions
+4°C
Appropriate long-term storage conditions
-20°C
Aliquoting information
Upon delivery aliquot
Storage information
Avoid freeze / thaw cycle

Product protocols

For this product, it's our understanding that no specific protocols are required. You can visit:

Target data

Plays a role in cell-cell adhesion and neuron guidance via its interactions with FLRT2 and FLRT3 that are expressed at the surface of adjacent cells (PubMed : 26235030). Plays a role in the development of glutamatergic synapses in the cortex. Important in determining the connectivity rates between the principal neurons in the cortex.
See full target information ADGRL3

Publications (1)

Recent publications for all applications. Explore the full list and refine your search

International endodontic journal 56:1254-1269 PubMed37400946

2023

Heterogeneity of T cells in periapical lesions and in vitro validation of the proangiogenic effect of GZMA on HUVECs.

Applications

Unspecified application

Species

Unspecified reactive species

Xinwei Lin,Xiaomin Lv,Baoyu Li,Qingzhen Meng,Hongbin Lai,Qimei Gong,Zhongchun Tong
View all publications

Product promise

We are committed to supporting your work with high-quality reagents, and we're here for you every step of the way. In the unlikely event that one of our products does not perform as expected, you're protected by our Product Promise.
For full details, please see our Terms & Conditions

Please note: All products are 'FOR RESEARCH USE ONLY. NOT FOR USE IN DIAGNOSTIC OR THERAPEUTIC PROCEDURES'.

For licensing inquiries, please contact partnerships@abcam.com