JavaScript is disabled in your browser. Please enable JavaScript to view this website.
AB121472

Anti-LRIG2 antibody

Be the first to review this product! Submit a review

|

(2 Publications)

Rabbit Polyclonal LRIG2 antibody. Suitable for IHC-P, ICC/IF and reacts with Human samples. Cited in 2 publications. Immunogen corresponding to Recombinant Fragment Protein within Human LRIG2 aa 850-1050.

View Alternative Names

KIAA0806, LIG2, LRIG2, Leucine-rich repeats and immunoglobulin-like domains protein 2, LIG-2

3 Images
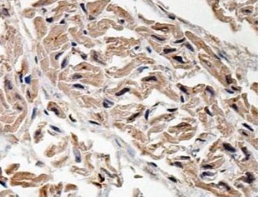
Immunohistochemistry (Formalin/PFA-fixed paraffin-embedded sections) - Anti-LRIG2 antibody (AB121472)
  • IHC-P

Unknown

Immunohistochemistry (Formalin/PFA-fixed paraffin-embedded sections) - Anti-LRIG2 antibody (AB121472)

ab121472 at 1/10 dilution staining LRIG2 in Human skeletal muscle tissue by Immunohistochemistry.

Immunocytochemistry/ Immunofluorescence - Anti-LRIG2 antibody (AB121472)
  • ICC/IF

Unknown

Immunocytochemistry/ Immunofluorescence - Anti-LRIG2 antibody (AB121472)

ab121472 at 2 μg/ml staining LRIG2 in human cell line A-43 tissue by Immunocytochemistry/Immunofluorescence

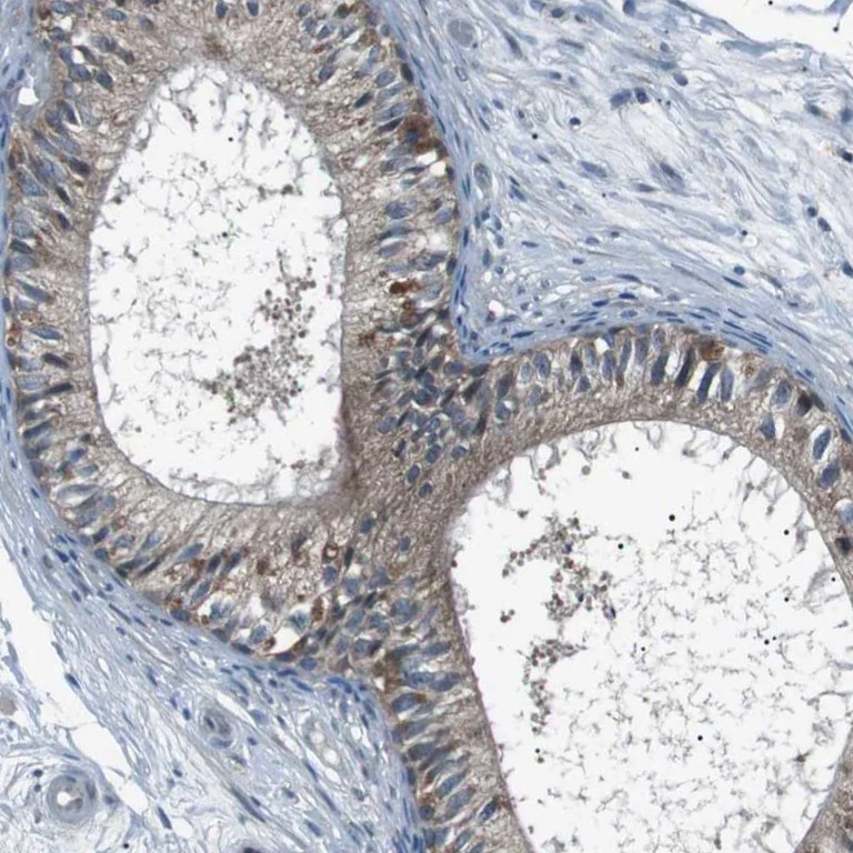
Immunohistochemistry (Formalin/PFA-fixed paraffin-embedded sections) - Anti-LRIG2 antibody (AB121472)
  • IHC-P

Unknown

Immunohistochemistry (Formalin/PFA-fixed paraffin-embedded sections) - Anti-LRIG2 antibody (AB121472)

ab121472 at 1/10 dilution staining LRIG2 in Human epididymis tissue by Immunohistochemistry.

Key facts

Host species

Rabbit

Clonality

Polyclonal

Isotype

IgG

Carrier free

No

Reacts with

Human

Applications

ICC/IF, IHC-P

applications

Immunogen

Recombinant Fragment Protein within Human LRIG2 aa 850-1050. The exact immunogen used to generate this antibody is proprietary information.

O94898

Reactivity data

{ "title": "Reactivity Data", "filters": { "stats": ["", "Species", "Dilution Info", "Notes"], "tabs": { "all-applications": {"fullname" : "All Applications", "shortname": "All Applications"}, "IHCP" : {"fullname" : "Immunohistochemistry (Formalin/PFA-fixed paraffin-embedded sections)", "shortname":"IHC-P"}, "ICCIF" : {"fullname" : "Immunocytochemistry/ Immunofluorescence", "shortname":"ICC/IF"} }, "product-promise": { "all": "all", "testedAndGuaranteed": "tested", "guaranteed": "expected", "predicted": "predicted", "notRecommended": "not-recommended" } }, "values": { "Human": { "IHCP-species-checked": "testedAndGuaranteed", "IHCP-species-dilution-info": "1/20 - 1/50", "IHCP-species-notes": "<p></p> Perform heat-mediated antigen retrieval with citrate buffer pH 6 before commencing with IHC staining protocol.", "ICCIF-species-checked": "testedAndGuaranteed", "ICCIF-species-dilution-info": "0.2-0.25 µg/mL", "ICCIF-species-notes": "<p></p>" } } }

Properties and storage information

Form
Liquid
Purification technique
Affinity purification Immunogen
Storage buffer
pH: 7.2 Preservative: 0.02% Sodium azide Constituents: PBS, 40% Glycerol (glycerin, glycerine)
Shipped at conditions
Blue Ice
Appropriate short-term storage conditions
+4°C
Appropriate long-term storage conditions
-20°C
Aliquoting information
Upon delivery aliquot
Storage information
Avoid freeze / thaw cycle

Product protocols

For this product, it's our understanding that no specific protocols are required. You can visit:

Publications (2)

Recent publications for all applications. Explore the full list and refine your search

Journal for immunotherapy of cancer 10: PubMed36096529

2022

LRIG2 promotes glioblastoma progression by modulating innate antitumor immunity through macrophage infiltration and polarization.

Applications

Unspecified application

Species

Unspecified reactive species

Jinyang Hu,Feng Dong,You He,Xianyou Xia,Fangling Cheng,Sui Chen,Xiaoshuang Hou,Po Zhang,Guohao Liu,Ying Li,Qian Gao,Minhai Dong,Ting Li,Wei Li,Qungen Xiao,Xiaopeng Li,Xingjiang Yu,Guifa Xi,Dongsheng Guo,Xudong Wu,Baofeng Wang

Oncogenesis 7:3 PubMed29358688

2018

LRIG2 is a growth suppressor of Hec-1A and Ishikawa endometrial adenocarcinoma cells by regulating PI3K/AKT- and EGFR-mediated apoptosis and cell-cycle.

Applications

Unspecified application

Species

Unspecified reactive species

Dae-Shik Suh,Si Eun Park,Hanyong Jin,Kangseok Lee,Jeehyeon Bae
View all publications

Product promise

We are committed to supporting your work with high-quality reagents, and we're here for you every step of the way. In the unlikely event that one of our products does not perform as expected, you're protected by our Product Promise.
For full details, please see our Terms & Conditions

Please note: All products are 'FOR RESEARCH USE ONLY. NOT FOR USE IN DIAGNOSTIC OR THERAPEUTIC PROCEDURES'.

For licensing inquiries, please contact partnerships@abcam.com