JavaScript is disabled in your browser. Please enable JavaScript to view this website.
AB251368

Anti-LRMP antibody [EPR17852] - BSA and Azide free

Be the first to review this product! Submit a review

|

(0 Publication)

Rabbit Recombinant Monoclonal LRMP antibody. Carrier free. Suitable for ICC/IF, WB, Flow Cyt (Intra), IHC-P and reacts with Human samples.

View Alternative Names

JAW1, LRMP, IRAG2, Lymphoid-restricted membrane protein, Protein Jaw1

6 Images
Western blot - Anti-LRMP antibody [EPR17852] - BSA and Azide free (AB251368)
  • WB

Supplier Data

Western blot - Anti-LRMP antibody [EPR17852] - BSA and Azide free (AB251368)

This data was developed using ab202418, the same antibody clone in a different buffer formulation.

Blocking and dilution buffer : 5% NFDM/TBST.

All lanes:

Western blot - Anti-LRMP antibody [EPR17852] (<a href='/en-us/products/primary-antibodies/lrmp-antibody-epr17852-ab202418'>ab202418</a>) at 1/10000 dilution

Lane 1:

Daudi (Human Burkitt's lymphoma cell line) whole cell lysate at 20 µg

Lane 2:

NAMALWA (Human Burkitt's lymphoma) whole cell lysate at 20 µg

Lane 3:

Ramos (Human Burkitt's lymphoma cell line) whole cell lysate at 20 µg

Lane 4:

HepG2 (Human liver hepatocellular carcinoma) whole cell lysate at 20 µg

Secondary

All lanes:

Goat Anti-Rabbit IgG, (H+L), Peroxidase conjugated at 1/1000 dilution

Predicted band size: 62 kDa

Observed band size: 62 kDa

false

Exposure time: 3min

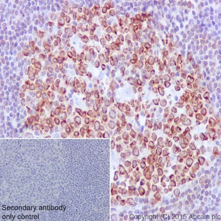
Immunohistochemistry (Formalin/PFA-fixed paraffin-embedded sections) - Anti-LRMP antibody [EPR17852] - BSA and Azide free (AB251368)
  • IHC-P

Supplier Data

Immunohistochemistry (Formalin/PFA-fixed paraffin-embedded sections) - Anti-LRMP antibody [EPR17852] - BSA and Azide free (AB251368)

This data was developed using ab202418, the same antibody clone in a different buffer formulation.

Immunohistochemical analysis of paraffin-embedded Human tonsil tissue labeling LRMP with ab202418 at 1/50 dilution, followed by Goat Anti-Rabbit IgG H&L (HRP) (ab97051) secondary antibody at 1/500 dilution. Cytoplasm staining on Human tonail tissue is observed. Counter stained with Hematoxylin.

Secondary antibody only control : Used PBS instead of primary antibody, secondary antibody is Goat Anti-Rabbit IgG H&L (HRP) (ab97051) at 1/500 dilution.

Perform heat mediated antigen retrieval with Tris/EDTA buffer pH 9.0 before commencing with IHC staining protocol.

Immunocytochemistry/ Immunofluorescence - Anti-LRMP antibody [EPR17852] - BSA and Azide free (AB251368)
  • ICC/IF

Supplier Data

Immunocytochemistry/ Immunofluorescence - Anti-LRMP antibody [EPR17852] - BSA and Azide free (AB251368)

This data was developed using ab202418, the same antibody clone in a different buffer formulation.

Immunofluorescent analysis of 4% paraformaldehyde-fixed, 0.1% Triton X-100 permeabilized Ramos (Human Burkitt's lymphoma cell line) cells labeling LRMP with ab202418 at 1/300 dilution, followed by Goat anti-rabbit IgG (Alexa Fluor® 488) (ab150077) secondary antibody at 1/500 dilution (green). Confocal image showing cytoplasmic staining on Ramos cell line. The nuclear counter stain is DAPI (blue). Tubulin is detected with ab7291 (anti-Tubulin mouse mAb) at 1/1000 dilution and ab150120 (AlexaFluor®594 Goat anti-Mouse secondary) at 1/500 dilution (red).

The negative controls are as follows :
-ve control 1 : ab202418 at 1/300 dilution followed by ab150120 (AlexaFluor®594 Goat anti-Mouse secondary) at 1/500 dilution.
-ve control 2 : ab7291 (anti-Tubulin mouse mAb) at 1/1000 dilution followed by ab150077 (Alexa Fluor®488 Goat Anti-Rabbit IgG H&L) at 1/500 dilution.

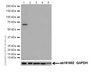
Western blot - Anti-LRMP antibody [EPR17852] - BSA and Azide free (AB251368)
  • WB

Supplier Data

Western blot - Anti-LRMP antibody [EPR17852] - BSA and Azide free (AB251368)

This data was developed using ab202418, the same antibody clone in a different buffer formulation.

Blocking and dilution buffer : 5% NFDM/TBST.

All lanes:

Western blot - Anti-LRMP antibody [EPR17852] (<a href='/en-us/products/primary-antibodies/lrmp-antibody-epr17852-ab202418'>ab202418</a>) at 1/10000 dilution

Lane 1:

Human tonsil lysate at 10 µg

Lane 2:

Human fetal brain tissue lysate at 10 µg

Lane 3:

Human fetal heart tissue lysate at 10 µg

Lane 4:

Human fetal kidney tissue lysate at 10 µg

Lane 5:

Human fetal spleen tissue lysate at 10 µg

Secondary

All lanes:

Anti-Rabbit IgG (HRP), specific to the non-reduced form of IgG at 1/1000 dilution

Predicted band size: 62 kDa

Observed band size: 62 kDa

false

Exposure time: 3min

Immunocytochemistry/ Immunofluorescence - Anti-LRMP antibody [EPR17852] - BSA and Azide free (AB251368)
  • ICC/IF

Supplier Data

Immunocytochemistry/ Immunofluorescence - Anti-LRMP antibody [EPR17852] - BSA and Azide free (AB251368)

This data was developed using ab202418, the same antibody clone in a different buffer formulation.

Immunofluorescent analysis of 4% paraformaldehyde-fixed, 0.1% Triton X-100 permeabilized Jurkat (Human T cell leukemia cells from peripheral blood) cells labeling LRMP with ab202418 at 1/300 dilution, followed by Goat anti-rabbit IgG (Alexa Fluor® 488) (ab150077) secondary antibody at 1/500 dilution (green). Confocal image showing cytoplasmic staining on Jurkat cell line. The nuclear counter stain is DAPI (blue). Tubulin is detected with ab7291 (anti-Tubulin mouse mAb) at 1/1000 dilution and ab150120 (AlexaFluor®594 Goat anti-Mouse secondary) at 1/500 dilution (red).

The negative controls are as follows :
-ve control 1 : ab202418 at 1/300 dilution followed by ab150120 (AlexaFluor®594 Goat anti-Mouse secondary) at 1/500 dilution.
-ve control 2 : ab7291 (anti-Tubulin mouse mAb) at 1/1000 dilution followed by ab150077 (Alexa Fluor®488 Goat Anti-Rabbit IgG H&L) at 1/500 dilution.

Flow Cytometry (Intracellular) - Anti-LRMP antibody [EPR17852] - BSA and Azide free (AB251368)
  • Flow Cyt (Intra)

Lab

Flow Cytometry (Intracellular) - Anti-LRMP antibody [EPR17852] - BSA and Azide free (AB251368)

This data was developed using ab202418, the same antibody clone in a different buffer formulation.

Intracellular Flow Cytometry analysis of Jurkat cells labelling LRMP (red) with purified ab202418 at dilution of 1/600. The secondary antibody used was Alexa Fluor® 488 goat-anti-rabbit IgG (1/2000). Cells were fixed with 4% paraformaldehyde and permeabilised with 90% methanol. Isotype control antibody used was Rabbit monoclonal IgG (black). The blue line shows cells without incubation with primary antibody and secondary antibody.

Key facts

Host species

Rabbit

Clonality

Monoclonal

Clone number

EPR17852

Isotype

IgG

Carrier free

Yes

Reacts with

Human

Applications

WB, IHC-P, Flow Cyt (Intra), ICC/IF

applications

Immunogen

The exact immunogen used to generate this antibody is proprietary information.

Reactivity data

{ "title": "Reactivity Data", "filters": { "stats": ["", "Species", "Dilution Info", "Notes"], "tabs": { "all-applications": {"fullname" : "All Applications", "shortname": "All Applications"}, "ICCIF" : {"fullname" : "Immunocytochemistry/ Immunofluorescence", "shortname":"ICC/IF"}, "WB" : {"fullname" : "Western blot", "shortname":"WB"}, "FlowCytIntra" : {"fullname" : "Flow Cytometry (Intracellular)", "shortname":"Flow Cyt (Intra)"}, "IHCP" : {"fullname" : "Immunohistochemistry (Formalin/PFA-fixed paraffin-embedded sections)", "shortname":"IHC-P"} }, "product-promise": { "all": "all", "testedAndGuaranteed": "tested", "guaranteed": "expected", "predicted": "predicted", "notRecommended": "not-recommended" } }, "values": { "Human": { "ICCIF-species-checked": "testedAndGuaranteed", "ICCIF-species-dilution-info": "", "ICCIF-species-notes": "<p></p> Perform heat-mediated antigen retrieval with Tris/EDTA buffer pH 9.0 before commencing with IHC staining protocol.", "WB-species-checked": "testedAndGuaranteed", "WB-species-dilution-info": "", "WB-species-notes": "<p></p>", "FlowCytIntra-species-checked": "testedAndGuaranteed", "FlowCytIntra-species-dilution-info": "", "FlowCytIntra-species-notes": "<p></p>", "IHCP-species-checked": "testedAndGuaranteed", "IHCP-species-dilution-info": "", "IHCP-species-notes": "<p></p> Perform heat-mediated antigen retrieval with Tris/EDTA buffer pH 9.0 before commencing with IHC staining protocol." } } }

Product details

ab251368 is the carrier-free version of ab202418.

Patented technology
Our RabMAb® technology is a patented hybridoma-based technology for making rabbit monoclonal antibodies. For details on our patents, please refer to RabMAb® patents.

What are the advantages of a recombinant monoclonal antibody?
This product is a recombinant monoclonal antibody, which offers several advantages including:

  • - High batch-to-batch consistency and reproducibility
  • - Improved sensitivity and specificity
  • - Long-term security of supply
  • - Animal-free batch production

For more information, read more on recombinant antibodies.

Conjugation ready
Our carrier-free antibodies are typically supplied in a PBS-only formulation, purified and free of BSA, sodium azide and glycerol. This conjugation-ready format is designed for use with fluorochromes, metal isotopes, oligonucleotides, and enzymes, which makes them ideal for antibody labelling, functional and cell-based assays, flow-based assays (e.g. mass cytometry) and Multiplex Imaging applications.

Use our conjugation kits for antibody conjugates that are ready-to-use in as little as 20 minutes with 1 minute hands-on-time and 100% antibody recovery: available for fluorescent dyes, HRP, biotin and gold.

Compatibility
This product is compatible with the Maxpar® Antibody Labeling Kit from Fluidigm, without the need for antibody preparation. Maxpar® is a trademark of Fluidigm Canada Inc.

Properties and storage information

Form
Liquid
Purification technique
Affinity purification Protein A
Storage buffer
pH: 7.2 - 7.4 Constituents: PBS
Shipped at conditions
Blue Ice
Appropriate short-term storage conditions
+4°C
Appropriate long-term storage conditions
+4°C
Storage information
Do Not Freeze

Product protocols

For this product, it's our understanding that no specific protocols are required. You can visit:

Target data

Plays a role in the delivery of peptides to major histocompatibility complex (MHC) class I molecules; this occurs in a transporter associated with antigen processing (TAP)-independent manner. May play a role in taste signal transduction via ITPR3. May play a role during fertilization in pronucleus congression and fusion. Plays a role in maintaining nuclear shape, maybe as a component of the LINC complex and through interaction with microtubules. Plays a role in the regulation of cellular excitability by regulating the hyperpolarization-activated cyclic nucleotide-gated HCN4 channel activity (By similarity).
See full target information IRAG2

Product promise

We are committed to supporting your work with high-quality reagents, and we're here for you every step of the way. In the unlikely event that one of our products does not perform as expected, you're protected by our Product Promise.
For full details, please see our Terms & Conditions

Please note: All products are 'FOR RESEARCH USE ONLY. NOT FOR USE IN DIAGNOSTIC OR THERAPEUTIC PROCEDURES'.

For licensing inquiries, please contact partnerships@abcam.com