JavaScript is disabled in your browser. Please enable JavaScript to view this website.
AB168454

Anti-LRP1 antibody

0

(1 Review)

|

(3 Publications)

Mouse Polyclonal LRP1 antibody. Suitable for IHC-P, WB, ICC/IF and reacts with Human samples. Cited in 3 publications. Immunogen corresponding to Recombinant Fragment Protein within Human LRP1 aa 1-300.

View Alternative Names

CD91, A2MR, APR, LRP1, Prolow-density lipoprotein receptor-related protein 1, LRP-1, Alpha-2-macroglobulin receptor, Apolipoprotein E receptor, APOER

3 Images
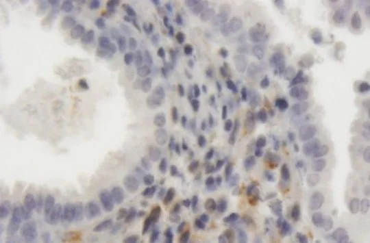
Immunohistochemistry (Formalin/PFA-fixed paraffin-embedded sections) - Anti-LRP1 antibody (AB168454)
  • IHC-P

Unknown

Immunohistochemistry (Formalin/PFA-fixed paraffin-embedded sections) - Anti-LRP1 antibody (AB168454)

Immunohistochemistry analysis of Formalin-fixed, paraffin-embedded Human endometrium tissue labeling LRP1 with ab168454 at 3μg/ml.

Immunocytochemistry/ Immunofluorescence - Anti-LRP1 antibody (AB168454)
  • ICC/IF

Unknown

Immunocytochemistry/ Immunofluorescence - Anti-LRP1 antibody (AB168454)

Immunocytochemistry/Immunofluorescence analysis of HeLa cells labeling LRP1 with ab168454 at 10μg/ml.

Western blot - Anti-LRP1 antibody (AB168454)
  • WB

Unknown

Western blot - Anti-LRP1 antibody (AB168454)

All lanes:

Western blot - Anti-LRP1 antibody (ab168454) at 1 µg/mL

Lane 1:

LRP1 transfected 293T cell lysate at 15 µL

Lane 2:

Non-transfected 293T cell lysate at 15 µL

Secondary

All lanes:

Goat Anti-mouse HRP at 1/2500 dilution

Predicted band size: 504 kDa

false

Key facts

Host species

Mouse

Clonality

Polyclonal

Isotype

IgG

Carrier free

No

Reacts with

Human

Applications

IHC-P, WB, ICC/IF

applications

Immunogen

Recombinant Fragment Protein within Human LRP1 aa 1-300. The exact immunogen used to generate this antibody is proprietary information.

Q07954

Reactivity data

{ "title": "Reactivity Data", "filters": { "stats": ["", "Species", "Dilution Info", "Notes"], "tabs": { "all-applications": {"fullname" : "All Applications", "shortname": "All Applications"}, "IHCP" : {"fullname" : "Immunohistochemistry (Formalin/PFA-fixed paraffin-embedded sections)", "shortname":"IHC-P"}, "WB" : {"fullname" : "Western blot", "shortname":"WB"}, "ICCIF" : {"fullname" : "Immunocytochemistry/ Immunofluorescence", "shortname":"ICC/IF"} }, "product-promise": { "all": "all", "testedAndGuaranteed": "tested", "guaranteed": "expected", "predicted": "predicted", "notRecommended": "not-recommended" } }, "values": { "Human": { "IHCP-species-checked": "testedAndGuaranteed", "IHCP-species-dilution-info": "3 µg/mL", "IHCP-species-notes": "<p></p>", "WB-species-checked": "testedAndGuaranteed", "WB-species-dilution-info": "1 µg/mL", "WB-species-notes": "<p></p>", "ICCIF-species-checked": "testedAndGuaranteed", "ICCIF-species-dilution-info": "10 µg/mL", "ICCIF-species-notes": "<p></p>" }, "Mouse": { "IHCP-species-checked": "predicted", "IHCP-species-dilution-info": "", "IHCP-species-notes": "", "WB-species-checked": "predicted", "WB-species-dilution-info": "", "WB-species-notes": "", "ICCIF-species-checked": "predicted", "ICCIF-species-dilution-info": "", "ICCIF-species-notes": "" } } }

Properties and storage information

Form
Liquid
Purification technique
Affinity purification Protein A
Storage buffer
pH: 7.4 Constituents: PBS
Shipped at conditions
Blue Ice
Appropriate short-term storage duration
1-2 weeks
Appropriate short-term storage conditions
+4°C
Appropriate long-term storage conditions
-20°C
Aliquoting information
Upon delivery aliquot

Product protocols

For this product, it's our understanding that no specific protocols are required. You can visit:

Target data

Endocytic receptor involved in endocytosis and in phagocytosis of apoptotic cells (PubMed : 11907044, PubMed : 12713657). Required for early embryonic development (By similarity). Involved in cellular lipid homeostasis. Involved in the plasma clearance of chylomicron remnants and activated LRPAP1 (alpha 2-macroglobulin), as well as the local metabolism of complexes between plasminogen activators and their endogenous inhibitors. Acts as an LRPAP1 alpha-2-macroglobulin receptor (PubMed : 1702392, PubMed : 26142438). Acts as TAU/MAPT receptor and controls the endocytosis of TAU/MAPT as well as its subsequent spread (PubMed : 32296178). May modulate cellular events, such as APP metabolism, kinase-dependent intracellular signaling, neuronal calcium signaling as well as neurotransmission (PubMed : 12888553). Acts also as a receptor for IGFBP3 to mediate cell growth inhibition (PubMed : 9252371).. (Microbial infection) Functions as a receptor for Pseudomonas aeruginosa exotoxin A.
See full target information LRP1

Publications (3)

Recent publications for all applications. Explore the full list and refine your search

Journal of Cancer 14:114-128 PubMed36605486

2023

Anti-PAI-1 Monoclonal Antibody Inhibits the Metastasis and Growth of Esophageal Squamous Cell Carcinoma.

Applications

Unspecified application

Species

Unspecified reactive species

Yutian Zheng,Lin Meng,Like Qu,Chuanke Zhao,Lixin Wang,Caiyun Liu,Chengchao Shou

American journal of physiology. Lung cellular and molecular physiology 321:L555-L565 PubMed34261337

2021

Neutrophil elastase-regulated macrophage sheddome/secretome and phagocytic failure.

Applications

Unspecified application

Species

Unspecified reactive species

Jonathan Ma,Apparao B Kummarapurugu,Adam Hawkridge,Shobha Ghosh,Shuo Zheng,Judith A Voynow

Molecular immunology 119:132-143 PubMed32014632

2020

Camelid type I interferons: Identification and functional characterization of interferon alpha from the dromedary camel (Camelus dromedarius).

Applications

Unspecified application

Species

Unspecified reactive species

Avinash Premraj,Abi George Aleyas,Binita Nautiyal,Thaha Jamal Rasool
View all publications

Product promise

We are committed to supporting your work with high-quality reagents, and we're here for you every step of the way. In the unlikely event that one of our products does not perform as expected, you're protected by our Product Promise.
For full details, please see our Terms & Conditions

Please note: All products are 'FOR RESEARCH USE ONLY. NOT FOR USE IN DIAGNOSTIC OR THERAPEUTIC PROCEDURES'.

For licensing inquiries, please contact partnerships@abcam.com