JavaScript is disabled in your browser. Please enable JavaScript to view this website.
AB215997

Anti-LRP1 antibody [EPR3724] - BSA and Azide free

Be the first to review this product! Submit a review

|

(17 Publications)

Rabbit Recombinant Monoclonal LRP1 antibody. Carrier free. Suitable for IHC-P, IP, WB, ICC/IF, Flow Cyt (Intra) and reacts with Human, Pig, Rat, Mouse samples. Cited in 17 publications.

View Alternative Names

CD91, A2MR, APR, LRP1, Prolow-density lipoprotein receptor-related protein 1, LRP-1, Alpha-2-macroglobulin receptor, Apolipoprotein E receptor, APOER

13 Images
Immunoprecipitation - Anti-LRP1 antibody [EPR3724] - BSA and Azide free (AB215997)
  • IP

Lab

Immunoprecipitation - Anti-LRP1 antibody [EPR3724] - BSA and Azide free (AB215997)

This data was developed using ab92544, the same antibody clone in a different buffer formulation.

Immunoprecipitation of LRP1 in HAP1 cells. Lysates were prepared and immunoprecipitation was performed using 2.0 µg of ab92544 pre-coupled to Protein A beads. Samples were then washed and processed for western blot.

These data were provided by YCharOS Inc., an open science company with the mission of characterizing commercially available antibody reagents for all human proteins. Abcam and YCharOS are working together to help address the reproducibility crisis by enabling the life science community to better evaluate commercially available antibodies.

All lanes:

Immunoprecipitation - Anti-LRP1 antibody [EPR3724] (<a href='/en-us/products/primary-antibodies/lrp1-antibody-epr3724-ab92544'>ab92544</a>) at 2 µg

All lanes:

HAP1 cells

false

Western blot - Anti-LRP1 antibody [EPR3724] - BSA and Azide free (AB215997)
  • WB

Lab

Western blot - Anti-LRP1 antibody [EPR3724] - BSA and Azide free (AB215997)

This data was developed using ab92544, the same antibody clone in a different buffer formulation.

ab92544 was shown to react with LRP1 in wild-type HAP1 cells in Western blot with loss of signal observed in a LRP1 knockout cell line. Wild-type HAP1 and LRP1 knockout cell lysates were subjected to SDS-PAGE. Membranes were blocked in 5% milk in TBST for 1 hr before incubation with ab92544 overnight at 4 °C at a 1/50000 dilution. Blots were incubated with secondary antibodies at 0.2 µg/mL before imaging.

These data were provided by YCharOS Inc., an open science company with the mission of characterizing commercially available antibody reagents for all human proteins. Abcam and YCharOS are working together to help address the reproducibility crisis by enabling the life science community to better evaluate commercially available antibodies.

All lanes:

Western blot - Anti-LRP1 antibody [EPR3724] (<a href='/en-us/products/primary-antibodies/lrp1-antibody-epr3724-ab92544'>ab92544</a>) at 1/50000 dilution

Lane 1:

Wild-type HAP1 lysate at 30 µg

Lane 2:

LRP1 knock-out HAP1 lysate at 30 µg

false

Immunocytochemistry/ Immunofluorescence - Anti-LRP1 antibody [EPR3724] - BSA and Azide free (AB215997)
  • ICC/IF

AbReview33110****

Immunocytochemistry/ Immunofluorescence - Anti-LRP1 antibody [EPR3724] - BSA and Azide free (AB215997)

ICC/IF image of LRP1 staining on rat mixed glia culture using unpurified ab92544 (1 : 200). The cells were fixed using paraformaldehyde. The cells were then permeabilised using 0.1% TritonX in 0.1% PBS. Non-specific protein was blocked using 10% donkey serum at 24°C for 1 hour. ab92544 was diluted (1/200) using 0.1% TritonX with 0.1% PBS and 10% donkey serum and the cells were incubated for 4 hours at 24°C. The secondary antibody used was donkey polyclonal to Rabbit IgG conjugated to Alexa Fluor® 488. DAPI was used to stain the nucleus.

This data was developed using the same antibody clone in a different buffer formulation containing PBS, BSA, glycerol, and sodium azide (ab92544).

This image is courtesy of an Abreview submitted by Ruma Raha-Chowdhury.

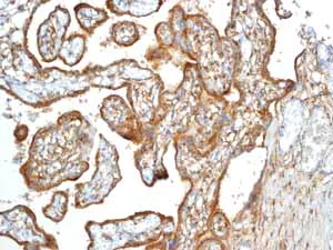
Immunohistochemistry (Formalin/PFA-fixed paraffin-embedded sections) - Anti-LRP1 antibody [EPR3724] - BSA and Azide free (AB215997)
  • IHC-P

Unknown

Immunohistochemistry (Formalin/PFA-fixed paraffin-embedded sections) - Anti-LRP1 antibody [EPR3724] - BSA and Azide free (AB215997)

Immunohistochemistry (Formalin/PFA-fixed paraffin-embedded sections) analysis of normal human placenta tissue labelling LRP1 with unpurified ab92544.

This data was developed using the same antibody clone in a different buffer formulation containing PBS, BSA, glycerol, and sodium azide (ab92544).

Perform heat mediated antigen retrieval before commencing with IHC staining protocol.

Immunohistochemistry (Formalin/PFA-fixed paraffin-embedded sections) - Anti-LRP1 antibody [EPR3724] - BSA and Azide free (AB215997)
  • IHC-P

Unknown

Immunohistochemistry (Formalin/PFA-fixed paraffin-embedded sections) - Anti-LRP1 antibody [EPR3724] - BSA and Azide free (AB215997)

Immunohistochemistry (Formalin/PFA-fixed paraffin-embedded sections) analysis of normal human brain tissue labelling LRP1 with unpurified ab92544.

This data was developed using the same antibody clone in a different buffer formulation containing PBS, BSA, glycerol, and sodium azide (ab92544).

Perform heat mediated antigen retrieval before commencing with IHC staining protocol.

Immunohistochemistry (Formalin/PFA-fixed paraffin-embedded sections) - Anti-LRP1 antibody [EPR3724] - BSA and Azide free (AB215997)
  • IHC-P

Unknown

Immunohistochemistry (Formalin/PFA-fixed paraffin-embedded sections) - Anti-LRP1 antibody [EPR3724] - BSA and Azide free (AB215997)

Immunohistochemistry (Formalin/PFA-fixed paraffin-embedded sections) analysis of normal human lung tissue labelling LRP1 with unpurified ab92544.

This data was developed using the same antibody clone in a different buffer formulation containing PBS, BSA, glycerol, and sodium azide (ab92544).

Perform heat mediated antigen retrieval before commencing with IHC staining protocol.

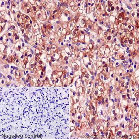
Immunohistochemistry (Formalin/PFA-fixed paraffin-embedded sections) - Anti-LRP1 antibody [EPR3724] - BSA and Azide free (AB215997)
  • IHC-P

Unknown

Immunohistochemistry (Formalin/PFA-fixed paraffin-embedded sections) - Anti-LRP1 antibody [EPR3724] - BSA and Azide free (AB215997)

This IHC data was generated using the same anti-LRP1 antibody clone, EPR3724, in a different buffer formulation (cat# ab92544).

Immunohistochemistry (Formalin/PFA-fixed paraffin-embedded sections) analysis of human clear cell carcinoma of the kidney tissue labelling LRP1 with purified ab92544 at 1/100. Heat mediated antigen retrieval was performed using Tris/EDTA buffer pH 9. ab97051, a HRP-conjugated goat anti-rabbit IgG (H+L) was used as the secondary antibody (1/500). Negative control using PBS instead of primary antibody. Counterstained with hematoxylin.

Flow Cytometry (Intracellular) - Anti-LRP1 antibody [EPR3724] - BSA and Azide free (AB215997)
  • Flow Cyt (Intra)

Unknown

Flow Cytometry (Intracellular) - Anti-LRP1 antibody [EPR3724] - BSA and Azide free (AB215997)

Overlay histogram showing Jurkat cells stained with unpurified ab92544 (red line). The cells were fixed with 80% methanol (5 min) and then permeabilized with 0.1% PBS-Tween for 20 min. The cells were then incubated in 1x PBS / 10% normal goat serum / 0.3M glycine to block non-specific protein-protein interactions followed by the antibody (ab92544, 1/1000 dilution) for 30 min at 22°C. The secondary antibody used was Alexa Fluor® 488 goat anti-rabbit IgG (H+L) (ab150077) at 1/2000 dilution for 30 min at 22°C. Isotype control antibody (black line) was rabbit IgG (monoclonal) (1μg/1x106 cells) used under the same conditions. Unlabelled sample (blue line) was also used as a control. Acquisition of >5,000 events were collected using a 20mW Argon ion laser (488nm) and 525/30 bandpass filter.

This data was developed using the same antibody clone in a different buffer formulation containing PBS, BSA, glycerol, and sodium azide (ab92544).

Flow Cytometry (Intracellular) - Anti-LRP1 antibody [EPR3724] - BSA and Azide free (AB215997)
  • Flow Cyt (Intra)

Unknown

Flow Cytometry (Intracellular) - Anti-LRP1 antibody [EPR3724] - BSA and Azide free (AB215997)

Intracellular Flow Cytometry analysis of Jurkat cells labelling LRP1 with purified ab92544 at 1/100 (red). Cells were fixed with 2% paraformaldehyde. A FITC-conjugated goat anti-rabbit IgG (1/150) was used as the secondary antibody. Black - Isotype control, rabbit monoclonal IgG. Blue - Unlabelled control, cells without incubation with primary and secondary antibodies.

This data was developed using the same antibody clone in a different buffer formulation containing PBS, BSA, glycerol, and sodium azide (ab92544).

Immunocytochemistry/ Immunofluorescence - Anti-LRP1 antibody [EPR3724] - BSA and Azide free (AB215997)
  • ICC/IF

Unknown

Immunocytochemistry/ Immunofluorescence - Anti-LRP1 antibody [EPR3724] - BSA and Azide free (AB215997)

Immunocytochemistry/Immunofluorescence analysis of U87-MG cells labelling LRP1 with purified ab92544 at 1/100. Cells were fixed with 4% paraformaldehyde and permeabilized with 0.1% Triton X-100. ab150077, an Alexa Fluor® 488-conjugated goat anti-rabbit IgG (1/500) was used as the secondary antibody. DAPI (blue) was used as the nuclear counterstain.

Control : primary antibody (1/100) and secondary antibody, ab150120, an Alexa Fluor® 594-conjugated goat anti-mouse IgG (1/500).

This data was developed using the same antibody clone in a different buffer formulation containing PBS, BSA, glycerol, and sodium azide (ab92544).

Immunohistochemistry (Formalin/PFA-fixed paraffin-embedded sections) - Anti-LRP1 antibody [EPR3724] - BSA and Azide free (AB215997)
  • IHC-P

Unknown

Immunohistochemistry (Formalin/PFA-fixed paraffin-embedded sections) - Anti-LRP1 antibody [EPR3724] - BSA and Azide free (AB215997)

Immunohistochemistry (Formalin/PFA-fixed paraffin-embedded sections) analysis of human liver tissue labelling LRP1 with unpurified ab92544 at 1/100.

This data was developed using the same antibody clone in a different buffer formulation containing PBS, BSA, glycerol, and sodium azide (ab92544).

Perform heat mediated antigen retrieval before commencing with IHC staining protocol.

Immunoprecipitation - Anti-LRP1 antibody [EPR3724] - BSA and Azide free (AB215997)
  • IP

Unknown

Immunoprecipitation - Anti-LRP1 antibody [EPR3724] - BSA and Azide free (AB215997)

ab92544 (purified) at 1/30 immunoprecipitating LRP1 in A549 cell lysate. For western blotting, a peroxidase-conjugated goat anti-rabbit IgG (H+L) was used as the secondary antibody (1/1000).

Blocking buffer and concentration : 5% NFDM/TBST.

Diluting buffer and concentration : 5% NFDM /TBST.

This data was developed using the same antibody clone in a different buffer formulation containing PBS, BSA, glycerol, and sodium azide (ab92544).

All lanes:

Immunoprecipitation - Anti-LRP1 antibody [EPR3724] (<a href='/en-us/products/primary-antibodies/lrp1-antibody-epr3724-ab92544'>ab92544</a>)

Predicted band size: 504 kDa

Observed band size: 85 kDa

false

Western blot - Anti-LRP1 antibody [EPR3724] - BSA and Azide free (AB215997)
  • WB

Unknown

Western blot - Anti-LRP1 antibody [EPR3724] - BSA and Azide free (AB215997)

This WB data was generated using the same anti-LRP1 antibody clone, EPR3724, in a different buffer formulation (cat# ab92544).

Lane 1 : Wild-type HAP1 cell lysate (20 μg)
Lane 2 : LRP1 knockout HAP1 cell lysate (20 μg)
Lane 3 : A549 cell lysate (20 μg)
Lane 4 : Mouse heart tissue lysate (20 μg)

Lanes 1 - 4 : Merged signal (red and green). Green - ab92544 observed at 92 kDa. Red - loading control, ab8245, observed at 37 kDa.

ab92544 was shown to specifically react with LRP1 in wild-type HAP1 cells. No band was observed when LRP1 knockout samples were used. Wild-type and LRP1 knockout samples were subjected to SDS-PAGE. ab92544 and ab8245 (loading control to GAPDH) were diluted at 1/5000 and 1/10,000 respectively and incubated overnight at 4°C. Blots were developed with Goat anti-Rabbit IgG H&L (IRDye® 800CW) preadsorbed (ab216773) and Goat anti-Mouse IgG H&L (IRDye® 680RD) preadsorbed (ab216776) secondary antibodies at 1/10,000 dilution for 1 hour at room temperature before imaging.

All lanes:

Western blot - Anti-LRP1 antibody [EPR3724] (<a href='/en-us/products/primary-antibodies/lrp1-antibody-epr3724-ab92544'>ab92544</a>)

Predicted band size: 504 kDa

false

  • 603 Alexa Fluor® 568

    Alexa Fluor® 568 Anti-LRP1 antibody [EPR3724]

  • Unconjugated

    Anti-LRP1 antibody [EPR3724]

  • HRP

    HRP Anti-LRP1 antibody [EPR3724]

  • 565 Alexa Fluor® 555

    Alexa Fluor® 555 Anti-LRP1 antibody [EPR3724]

  • 660 APC

    APC Anti-LRP1 antibody [EPR3724]

  • 578 PE

    PE Anti-LRP1 antibody [EPR3724]

Key facts

Host species

Rabbit

Clonality

Monoclonal

Clone number

EPR3724

Isotype

IgG

Carrier free

Yes

Reacts with

Mouse, Rat, Human, Pig

Applications

Flow Cyt (Intra), IP, IHC-P, ICC/IF, WB

applications

Immunogen

The exact immunogen used to generate this antibody is proprietary information.

Reactivity data

{ "title": "Reactivity Data", "filters": { "stats": ["", "Species", "Dilution Info", "Notes"], "tabs": { "all-applications": {"fullname" : "All Applications", "shortname": "All Applications"}, "IHCP" : {"fullname" : "Immunohistochemistry (Formalin/PFA-fixed paraffin-embedded sections)", "shortname":"IHC-P"}, "IP" : {"fullname" : "Immunoprecipitation", "shortname":"IP"}, "WB" : {"fullname" : "Western blot", "shortname":"WB"}, "ICCIF" : {"fullname" : "Immunocytochemistry/ Immunofluorescence", "shortname":"ICC/IF"}, "FlowCytIntra" : {"fullname" : "Flow Cytometry (Intracellular)", "shortname":"Flow Cyt (Intra)"} }, "product-promise": { "all": "all", "testedAndGuaranteed": "tested", "guaranteed": "expected", "predicted": "predicted", "notRecommended": "not-recommended" } }, "values": { "Human": { "IHCP-species-checked": "testedAndGuaranteed", "IHCP-species-dilution-info": "", "IHCP-species-notes": "<p></p>", "IP-species-checked": "testedAndGuaranteed", "IP-species-dilution-info": "", "IP-species-notes": "<p></p>", "WB-species-checked": "testedAndGuaranteed", "WB-species-dilution-info": "", "WB-species-notes": "<p></p>", "ICCIF-species-checked": "testedAndGuaranteed", "ICCIF-species-dilution-info": "", "ICCIF-species-notes": "<p></p>", "FlowCytIntra-species-checked": "testedAndGuaranteed", "FlowCytIntra-species-dilution-info": "", "FlowCytIntra-species-notes": "<p><a href='/en-us/products/primary-antibodies/rabbit-igg-monoclonal-epr25a-isotype-control-low-endotoxin-azide-free-ab199376'>ab199376</a> - Rabbit monoclonal IgG, is suitable for use as an isotype control with this antibody.</p>" }, "Mouse": { "IHCP-species-checked": "guaranteed", "IHCP-species-dilution-info": "", "IHCP-species-notes": "", "IP-species-checked": "guaranteed", "IP-species-dilution-info": "", "IP-species-notes": "", "WB-species-checked": "testedAndGuaranteed", "WB-species-dilution-info": "", "WB-species-notes": "<p></p>", "ICCIF-species-checked": "guaranteed", "ICCIF-species-dilution-info": "", "ICCIF-species-notes": "", "FlowCytIntra-species-checked": "guaranteed", "FlowCytIntra-species-dilution-info": "", "FlowCytIntra-species-notes": "" }, "Rat": { "IHCP-species-checked": "guaranteed", "IHCP-species-dilution-info": "", "IHCP-species-notes": "", "IP-species-checked": "guaranteed", "IP-species-dilution-info": "", "IP-species-notes": "", "WB-species-checked": "testedAndGuaranteed", "WB-species-dilution-info": "", "WB-species-notes": "<p></p>", "ICCIF-species-checked": "testedAndGuaranteed", "ICCIF-species-dilution-info": "", "ICCIF-species-notes": "<p></p>", "FlowCytIntra-species-checked": "guaranteed", "FlowCytIntra-species-dilution-info": "", "FlowCytIntra-species-notes": "" }, "Pig": { "IHCP-species-checked": "guaranteed", "IHCP-species-dilution-info": "", "IHCP-species-notes": "", "IP-species-checked": "guaranteed", "IP-species-dilution-info": "", "IP-species-notes": "", "WB-species-checked": "testedAndGuaranteed", "WB-species-dilution-info": "", "WB-species-notes": "<p></p>", "ICCIF-species-checked": "guaranteed", "ICCIF-species-dilution-info": "", "ICCIF-species-notes": "", "FlowCytIntra-species-checked": "guaranteed", "FlowCytIntra-species-dilution-info": "", "FlowCytIntra-species-notes": "" } } }

You may be interested in:

AB65390

Cholesterol Assay Kit - HDL and LDL/VLDL

4

10 Reviews

View product

We recommend this product because it’s often used in the same experiment or related research.

We advise that you always check the datasheet to ensure it fits your experiments, or contact ourtechnical teamfor help.

Product details

ab215997 is the carrier-free version of ab92544.

Patented technology
Our RabMAb® technology is a patented hybridoma-based technology for making rabbit monoclonal antibodies. For details on our patents, please refer to RabMAb® patents.

What are the advantages of a recombinant monoclonal antibody?
This product is a recombinant monoclonal antibody, which offers several advantages including:

  • - High batch-to-batch consistency and reproducibility
  • - Improved sensitivity and specificity
  • - Long-term security of supply
  • - Animal-free batch production

For more information, read more on recombinant antibodies.

Conjugation ready
Our carrier-free antibodies are typically supplied in a PBS-only formulation, purified and free of BSA, sodium azide and glycerol. This conjugation-ready format is designed for use with fluorochromes, metal isotopes, oligonucleotides, and enzymes, which makes them ideal for antibody labelling, functional and cell-based assays, flow-based assays (e.g. mass cytometry) and Multiplex Imaging applications.

Use our conjugation kits for antibody conjugates that are ready-to-use in as little as 20 minutes with 1 minute hands-on-time and 100% antibody recovery: available for fluorescent dyes, HRP, biotin and gold.

Compatibility
This product is compatible with the Maxpar® Antibody Labeling Kit from Fluidigm, without the need for antibody preparation. Maxpar® is a trademark of Fluidigm Canada Inc.

Properties and storage information

Form
Liquid
Purification technique
Affinity purification Protein A
Storage buffer
pH: 7.2 - 7.4 Constituents: PBS
Shipped at conditions
Blue Ice
Appropriate short-term storage conditions
+4°C
Appropriate long-term storage conditions
+4°C
Storage information
Do Not Freeze

Product protocols

For this product, it's our understanding that no specific protocols are required. You can visit:

Target data

Endocytic receptor involved in endocytosis and in phagocytosis of apoptotic cells (PubMed : 11907044, PubMed : 12713657). Required for early embryonic development (By similarity). Involved in cellular lipid homeostasis. Involved in the plasma clearance of chylomicron remnants and activated LRPAP1 (alpha 2-macroglobulin), as well as the local metabolism of complexes between plasminogen activators and their endogenous inhibitors. Acts as an LRPAP1 alpha-2-macroglobulin receptor (PubMed : 1702392, PubMed : 26142438). Acts as TAU/MAPT receptor and controls the endocytosis of TAU/MAPT as well as its subsequent spread (PubMed : 32296178). May modulate cellular events, such as APP metabolism, kinase-dependent intracellular signaling, neuronal calcium signaling as well as neurotransmission (PubMed : 12888553). Acts also as a receptor for IGFBP3 to mediate cell growth inhibition (PubMed : 9252371).. (Microbial infection) Functions as a receptor for Pseudomonas aeruginosa exotoxin A.
See full target information LRP1

Publications (17)

Recent publications for all applications. Explore the full list and refine your search

Journal of cerebral blood flow and metabolism : official journal of the International Society of Cerebral Blood Flow and Metabolism 35:86-94 PubMed25335802

2014

Human apolipoprotein E ɛ4 expression impairs cerebral vascularization and blood-brain barrier function in mice.

Applications

Unspecified application

Species

Unspecified reactive species

Wael Alata,Yue Ye,Isabelle St-Amour,Milène Vandal,Frédéric Calon

Journal of hematology & oncology 7:76 PubMed25300797

2014

Recurrent LRP1-SNRNP25 and KCNMB4-CCND3 fusion genes promote tumor cell motility in human osteosarcoma.

Applications

WB, IHC

Species

Human, Human

Jilong Yang,Matti Annala,Ping Ji,Guowen Wang,Hong Zheng,David Codgell,Xiaoling Du,Zhiwei Fang,Baocun Sun,Matti Nykter,Kexin Chen,Wei Zhang

The international journal of biochemistry & cell b 55:209-19 PubMed25218173

2014

Cardiomyocyte intracellular cholesteryl ester accumulation promotes tropoelastin physical alteration and degradation: Role of LRP1 and cathepsin S.

Applications

Unspecified application

Species

Unspecified reactive species

Valerie Samouillan,Elena Revuelta-López,Jany Dandurand,Laura Nasarre,Lina Badimon,Colette Lacabanne,Vicenta Llorente-Cortés

Nature communications 5:3917 PubMed24894631

2014

The FAM3 superfamily member ILEI ameliorates Alzheimer's disease-like pathology by destabilizing the penultimate amyloid-β precursor.

Applications

Unspecified application

Species

Unspecified reactive species

Hiroshi Hasegawa,Lei Liu,Ikuo Tooyama,Shigeo Murayama,Masaki Nishimura

Proceedings of the National Academy of Sciences of 111:6431-6 PubMed24737893

2014

LRP1 is a receptor for Clostridium perfringens TpeL toxin indicating a two-receptor model of clostridial glycosylating toxins.

Applications

WB, ICC/IF

Species

Mouse, Mouse

Björn Schorch,Shuo Song,Ferdy R van Diemen,Hans H Bock,Petra May,Joachim Herz,Thijn R Brummelkamp,Panagiotis Papatheodorou,Klaus Aktories

Journal of neuroinflammation 11:39 PubMed24593993

2014

Traumatic brain injury enhances neuroinflammation and lesion volume in caveolin deficient mice.

Applications

WB

Species

Mouse

Ingrid R Niesman,Jan M Schilling,Lee A Shapiro,Sarah E Kellerhals,Jacqueline A Bonds,Alexander M Kleschevnikov,Weihua Cui,April Voong,Stan Krajewski,Sameh S Ali,David M Roth,Hemal H Patel,Piyush M Patel,Brian P Head

The Journal of cell biology 204:395-408 PubMed24469637

2014

KIF13B enhances the endocytosis of LRP1 by recruiting LRP1 to caveolae.

Applications

Unspecified application

Species

Mouse

Yoshimitsu Kanai,Daliang Wang,Nobutaka Hirokawa

Metabolism: clinical and experimental 63:112-9 PubMed24139096

2013

The hypolipidemic effect of cilostazol can be mediated by regulation of hepatic low-density lipoprotein receptor-related protein 1 (LRP1) expression.

Applications

IHC, IHC

Species

Human, Mouse

Hyung Jun Kim,Jae Hoon Moon,Hyun Min Kim,Mi Ra Yun,Byung Hun Jeon,Byungwan Lee,Eun Seok Kang,Hyun Chul Lee,Bong Soo Cha

Journal of immunology (Baltimore, Md. : 1950) 191:4456-65 PubMed24048898

2013

Identification of the cellular sentinels for native immunogenic heat shock proteins in vivo.

Applications

Unspecified application

Species

Unspecified reactive species

Michelle Nicole Messmer,Joshua Pasmowitz,Laura Elizabeth Kropp,Simon C Watkins,Robert Julian Binder

Molecular biology of the cell 24:3115-22 PubMed23966466

2013

Insulin responsiveness of glucose transporter 4 in 3T3-L1 cells depends on the presence of sortilin.

Applications

WB

Species

Unspecified reactive species

Guanrong Huang,Dana Buckler-Pena,Tessa Nauta,Maneet Singh,Agnes Asmar,Jun Shi,Ju Youn Kim,Konstantin V Kandror
View all publications

Product promise

We are committed to supporting your work with high-quality reagents, and we're here for you every step of the way. In the unlikely event that one of our products does not perform as expected, you're protected by our Product Promise.
For full details, please see our Terms & Conditions

Associated Products

Select an associated product type
Alternative Product
Primary Antibodies

AB168454

Anti-LRP1 antibody

primary-antibodies

lrp1-antibody-ab168454

0

(1 reviews)

Alternative Product
Primary Antibodies

AB227734

Anti-LRP1 antibody - C-terminal

primary-antibodies

lrp1-antibody-c-terminal-ab227734

0

(0 reviews)

Alternative Version
Primary Antibodies

AB195569

HRP Anti-LRP1 antibody [EPR3724]

primary-antibodies

hrp-lrp1-antibody-epr3724-ab195569

0

(0 reviews)

Alternative Version
Primary Antibodies

AB313174

Alexa Fluor® 555 Anti-LRP1 antibody [EPR3724]

primary-antibodies

alexa-fluor-555-lrp1-antibody-epr3724-ab313174

0

(0 reviews)

Alternative Version
Primary Antibodies

AB310885

APC Anti-LRP1 antibody [EPR3724]

primary-antibodies

apc-lrp1-antibody-epr3724-ab310885

0

(0 reviews)

Alternative Version
Primary Antibodies

AB310941

PE Anti-LRP1 antibody [EPR3724]

primary-antibodies

pe-lrp1-antibody-epr3724-ab310941

0

(0 reviews)

Please note: All products are 'FOR RESEARCH USE ONLY. NOT FOR USE IN DIAGNOSTIC OR THERAPEUTIC PROCEDURES'.

For licensing inquiries, please contact partnerships@abcam.com