JavaScript is disabled in your browser. Please enable JavaScript to view this website.
AB313741

Anti-Lrp2 / Megalin antibody [EPR26093-68]

Be the first to review this product! Submit a review

|

(2 Publications)

Rabbit Recombinant Monoclonal Lrp2 / Megalin antibody. Suitable for WB, ICC/IF, IP and reacts with Human samples. Cited in 2 publications.

View Alternative Names

Low-density lipoprotein receptor-related protein 2, LRP-2, Glycoprotein 330, Megalin, gp330, LRP2

3 Images
Immunocytochemistry/ Immunofluorescence - Anti-Lrp2 / Megalin antibody [EPR26093-68] (AB313741)
  • ICC/IF

Supplier Data

Immunocytochemistry/ Immunofluorescence - Anti-Lrp2 / Megalin antibody [EPR26093-68] (AB313741)

Immunofluorescent analysis of 4% Paraformaldehyde-fixed, 0.1% TritonX-100 permeabilized JEG-3 (human placenta epithelial cell) cells labelling Lrp2 / Megalin with ab313741 at 1/50 (10.52 ug/ml) dilution, followed by ab150081 Goat Anti-Rabbit IgG H&L (Alexa Fluor® 488) preadsorbed antibody at 1/1000 2ug/ml dilution (Green). Confocal image showing cytoplasmic staining in JEG-3 cells. Positive : JEG-3 (PMID : 27798286). Negative control : HeLa (PMID : 36064583). Image was taken with a confocal microscope (Leica-Microsystems, TCS SP8). ab195889 Anti-alpha Tubulin mouse monoclonal antibody - Microtubule Marker (Alexa Fluor® 594) was used to counterstain tubulin at 1/200 2.5ug/ml dilution (Red). The Nuclear counterstain was DAPI (Blue). Secondary antibody only control : Secondary antibody is ab150081 Goat Anti-Rabbit IgG H&L (Alexa Fluor® 488) preadsorbed at 1/1000 2ug/ml dilution.

Immunoprecipitation - Anti-Lrp2 / Megalin antibody [EPR26093-68] (AB313741)
  • IP

Supplier Data

Immunoprecipitation - Anti-Lrp2 / Megalin antibody [EPR26093-68] (AB313741)

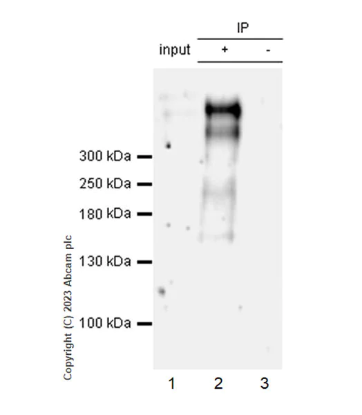
Lrp2 / Megalin was immunoprecipitated from 0.35 mg human kidney tissue lysate with ab313741 at 1/30 dilution (2ug in 0.35mg lysates). Western blot was performed on the immunoprecipitate using ab313741 at 1/1000 dilution. VeriBlot for IP secondary antibody(HRP)(ab131366) was used at 1/5000 dilution. Lane 1 : Human kidney tissue lysate Lane 2 : Human kidney tissue lysate Lane 3 : Rabbit monoclonal IgG (ab172730) instead of ab313741 in human kidney tissue lysate Blocking and dilution buffer and concentration : 5% NFDM/TBST. Exposure time : 137 seconds

All lanes:

Immunoprecipitation - Anti-Lrp2 / Megalin antibody [EPR26093-68] (ab313741) at 1/30 dilution

All lanes:

Human kidney tissue lysate

Secondary

All lanes:

Immunoprecipitation - VeriBlot for IP Detection Reagent (HRP) (<a href='/en-us/products/reagents/veriblot-for-ip-detection-reagent-hrp-ab131366'>ab131366</a>) at 1/5000 dilution

false

Exposure time: 137s

Western blot - Anti-Lrp2 / Megalin antibody [EPR26093-68] (AB313741)
  • WB

Supplier Data

Western blot - Anti-Lrp2 / Megalin antibody [EPR26093-68] (AB313741)

Blocking and diluting buffer and concentration : 5% NFDM/TBST Positive : JEG-3 (PMID : 27798286). Negative control : HeLa, Raji (PMID : 35839778), human skeletal muscle. In Western blot, anti- Vinculin antibody (ab129002) loading control staining at 1/10000 dilution. Exposure time : Lanes 1-3 : 70 seconds; Lanes 4-5 : 6 seconds; Lane 6 : 180 seconds.

All lanes:

Western blot - Anti-Lrp2 / Megalin antibody [EPR26093-68] (ab313741) at 1/1000 dilution

Lane 1:

JEG-3 (human placenta epithelial cell) whole cell lysate at 20 µg

Lane 2:

HeLa (human cervical adenocarcinoma epithelial cell) whole cell lysate at 20 µg

Lane 3:

Raji (human burkitts lymphoma b lymphocyte) whole cell lysate at 20 µg

Lane 4:

Human kidney tissue lysate at 20 µg

Lane 5:

Human skeletal muscle tissue lysate at 20 µg

Lane 6:

Caco-2 (human colorectal adenocarcinoma epithelial cell) whole cell lysate at 20 µg

Secondary

All lanes:

Western blot - Goat Anti-Rabbit IgG H&L (HRP) (<a href='/en-us/products/secondary-antibodies/goat-rabbit-igg-h-l-hrp-ab97051'>ab97051</a>) at 1/20000 dilution

Observed band size: 522 kDa

false

Key facts

Host species

Rabbit

Clonality

Monoclonal

Clone number

EPR26093-68

Isotype

IgG

Carrier free

No

Reacts with

Human

Applications

IP, ICC/IF, WB

applications

Immunogen

The exact immunogen used to generate this antibody is proprietary information.

Reactivity data

{ "title": "Reactivity Data", "filters": { "stats": ["", "Species", "Dilution Info", "Notes"], "tabs": { "all-applications": {"fullname" : "All Applications", "shortname": "All Applications"}, "WB" : {"fullname" : "Western blot", "shortname":"WB"}, "ICCIF" : {"fullname" : "Immunocytochemistry/ Immunofluorescence", "shortname":"ICC/IF"}, "IP" : {"fullname" : "Immunoprecipitation", "shortname":"IP"}, "IHCP" : {"fullname" : "Immunohistochemistry (Formalin/PFA-fixed paraffin-embedded sections)", "shortname":"IHC-P"}, "FlowCyt" : {"fullname" : "Flow Cytometry", "shortname":"Flow Cyt"} }, "product-promise": { "all": "all", "testedAndGuaranteed": "tested", "guaranteed": "expected", "predicted": "predicted", "notRecommended": "not-recommended" } }, "values": { "Human": { "WB-species-checked": "testedAndGuaranteed", "WB-species-dilution-info": "1/1000", "WB-species-notes": "<p></p>", "ICCIF-species-checked": "testedAndGuaranteed", "ICCIF-species-dilution-info": "1/50", "ICCIF-species-notes": "<p></p>", "IP-species-checked": "testedAndGuaranteed", "IP-species-dilution-info": "1/30", "IP-species-notes": "<p></p>", "IHCP-species-checked": "notRecommended", "IHCP-species-dilution-info": "", "IHCP-species-notes": "", "FlowCyt-species-checked": "notRecommended", "FlowCyt-species-dilution-info": "", "FlowCyt-species-notes": "<p></p>" }, "Mouse": { "WB-species-checked": "notRecommended", "WB-species-dilution-info": "", "WB-species-notes": "<p></p>", "ICCIF-species-checked": "notRecommended", "ICCIF-species-dilution-info": "", "ICCIF-species-notes": "", "IP-species-checked": "notRecommended", "IP-species-dilution-info": "", "IP-species-notes": "", "IHCP-species-checked": "notRecommended", "IHCP-species-dilution-info": "", "IHCP-species-notes": "<p></p>", "FlowCyt-species-checked": "notRecommended", "FlowCyt-species-dilution-info": "", "FlowCyt-species-notes": "" }, "Rat": { "WB-species-checked": "notRecommended", "WB-species-dilution-info": "", "WB-species-notes": "<p></p>", "ICCIF-species-checked": "notRecommended", "ICCIF-species-dilution-info": "", "ICCIF-species-notes": "", "IP-species-checked": "notRecommended", "IP-species-dilution-info": "", "IP-species-notes": "", "IHCP-species-checked": "notRecommended", "IHCP-species-dilution-info": "", "IHCP-species-notes": "<p></p>", "FlowCyt-species-checked": "notRecommended", "FlowCyt-species-dilution-info": "", "FlowCyt-species-notes": "" } } }

Product details

Patented technology
Our RabMAb® technology is a patented hybridoma-based technology for making rabbit monoclonal antibodies. For details on our patents, please refer to RabMAb® patents.

What are the advantages of a recombinant monoclonal antibody?
This product is a recombinant monoclonal antibody, which offers several advantages including:

  • - High batch-to-batch consistency and reproducibility
  • - Improved sensitivity and specificity
  • - Long-term security of supply
  • - Animal-free batch production

For more information, read more on recombinant antibodies.

Properties and storage information

Form
Liquid
Purification technique
Affinity purification Protein A
Storage buffer
pH: 7.2 - 7.4 Preservative: 0.01% Sodium azide Constituents: PBS, 40% Glycerol (glycerin, glycerine), 0.05% BSA
Shipped at conditions
Blue Ice
Appropriate short-term storage duration
1-2 weeks
Appropriate short-term storage conditions
+4°C
Appropriate long-term storage conditions
-20°C
Aliquoting information
Upon delivery aliquot
Storage information
Avoid freeze / thaw cycle

Product protocols

For this product, it's our understanding that no specific protocols are required. You can visit:

Target data

Multiligand endocytic receptor (By similarity). Acts together with CUBN to mediate endocytosis of high-density lipoproteins (By similarity). Mediates receptor-mediated uptake of polybasic drugs such as aprotinin, aminoglycosides and polymyxin B (By similarity). In the kidney, mediates the tubular uptake and clearance of leptin (By similarity). Also mediates transport of leptin across the blood-brain barrier through endocytosis at the choroid plexus epithelium (By similarity). Endocytosis of leptin in neuronal cells is required for hypothalamic leptin signaling and leptin-mediated regulation of feeding and body weight (By similarity). Mediates endocytosis and subsequent lysosomal degradation of CST3 in kidney proximal tubule cells (By similarity). Mediates renal uptake of 25-hydroxyvitamin D3 in complex with the vitamin D3 transporter GC/DBP (By similarity). Mediates renal uptake of metallothionein-bound heavy metals (PubMed : 15126248). Together with CUBN, mediates renal reabsorption of myoglobin (By similarity). Mediates renal uptake and subsequent lysosomal degradation of APOM (By similarity). Plays a role in kidney selenium homeostasis by mediating renal endocytosis of selenoprotein SEPP1 (By similarity). Mediates renal uptake of the antiapoptotic protein BIRC5/survivin which may be important for functional integrity of the kidney (PubMed : 23825075). Mediates renal uptake of matrix metalloproteinase MMP2 in complex with metalloproteinase inhibitor TIMP1 (By similarity). Mediates endocytosis of Sonic hedgehog protein N-product (ShhN), the active product of SHH (By similarity). Also mediates ShhN transcytosis (By similarity). In the embryonic neuroepithelium, mediates endocytic uptake and degradation of BMP4, is required for correct SHH localization in the ventral neural tube and plays a role in patterning of the ventral telencephalon (By similarity). Required at the onset of neurulation to sequester SHH on the apical surface of neuroepithelial cells of the rostral diencephalon ventral midline and to control PTCH1-dependent uptake and intracellular trafficking of SHH (By similarity). During neurulation, required in neuroepithelial cells for uptake of folate bound to the folate receptor FOLR1 which is necessary for neural tube closure (By similarity). In the adult brain, negatively regulates BMP signaling in the subependymal zone which enables neurogenesis to proceed (By similarity). In astrocytes, mediates endocytosis of ALB which is required for the synthesis of the neurotrophic factor oleic acid (By similarity). Involved in neurite branching (By similarity). During optic nerve development, required for SHH-mediated migration and proliferation of oligodendrocyte precursor cells (By similarity). Mediates endocytic uptake and clearance of SHH in the retinal margin which protects retinal progenitor cells from mitogenic stimuli and keeps them quiescent (By similarity). Plays a role in reproductive organ development by mediating uptake in reproductive tissues of androgen and estrogen bound to the sex hormone binding protein SHBG (By similarity). Mediates endocytosis of angiotensin-2 (By similarity). Also mediates endocytosis of angiotensis 1-7 (By similarity). Binds to the complex composed of beta-amyloid protein 40 and CLU/APOJ and mediates its endocytosis and lysosomal degradation (By similarity). Required for embryonic heart development (By similarity). Required for normal hearing, possibly through interaction with estrogen in the inner ear (By similarity).
See full target information LRP2

Publications (2)

Recent publications for all applications. Explore the full list and refine your search

Discover oncology 16:782 PubMed40377809

2025

Deciphering the interaction between the expression of LRP2 served as a mitochondrial metabolism-related gene and prognosis in colon cancer integrating multi-omics analysis.

Applications

Unspecified application

Species

Unspecified reactive species

Jie Zhang,Ziyun Liu,Xiaoqing Ma,Zhenyu Shi,Jing Zhao,Yongjie Xie,Xiaobin Shang,Xia Zhang

Scientific reports 15:7689 PubMed40044913

2025

The landscape of renal protein S-acylation in mice with lipid-induced nephrotoxicity.

Applications

Unspecified application

Species

Unspecified reactive species

Fangrui Xiu,Zhibo Gai,Peter Gehrig,Witold E Wolski,Museer A Lone,Michele Visentin
View all publications

Product promise

We are committed to supporting your work with high-quality reagents, and we're here for you every step of the way. In the unlikely event that one of our products does not perform as expected, you're protected by our Product Promise.
For full details, please see our Terms & Conditions

Please note: All products are 'FOR RESEARCH USE ONLY. NOT FOR USE IN DIAGNOSTIC OR THERAPEUTIC PROCEDURES'.

For licensing inquiries, please contact partnerships@abcam.com