JavaScript is disabled in your browser. Please enable JavaScript to view this website.
AB309086

Anti-Lrp2 / Megalin antibody [EPR26093-84]

  • BOND RX™ Validated
  • 20ul selling size
  • RabMAb
  • Recombinant
  • What is this?

Be the first to review this product! Submit a review

|

(0 Publication)

Rabbit Recombinant Monoclonal Lrp2 / Megalin antibody. Suitable for WB, IHC-P and reacts with Human samples.

View Alternative Names

Low-density lipoprotein receptor-related protein 2, LRP-2, Glycoprotein 330, Megalin, gp330, LRP2

7 Images
Immunohistochemistry (Formalin/PFA-fixed paraffin-embedded sections) - Anti-Lrp2 / Megalin antibody [EPR26093-84] (AB309086)
  • IHC-P

Supplier Data

Immunohistochemistry (Formalin/PFA-fixed paraffin-embedded sections) - Anti-Lrp2 / Megalin antibody [EPR26093-84] (AB309086)

Immunohistochemical analysis of paraffin-embedded Human skeletal muscle tissue labeling Lrp2 / Megalin with ab309086 at 1/5000 (0.101 ug/ml) followed by a ready to use LeicaDS9800 (Bond™ Polymer Refine Detection). Negative control : no staining on human skeletal muscle. The section was incubated with ab309086 for 30 mins at room temperature. The immunostaining was performed on a Leica Biosystems BOND® RX instrument Counterstained with Hematoxylin. Secondary antibody only control : Secondary antibody is a ready to use LeicaDS9800 (Bond™ Polymer Refine Detection). Heat mediated antigen retrieval was performed with Tris-EDTA buffer (pH 9.0, Epitope Retrieval Solution2) for 20 mins.

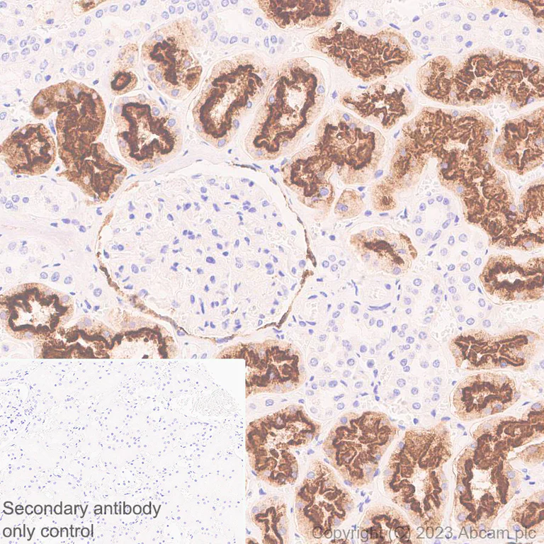
Immunohistochemistry (Formalin/PFA-fixed paraffin-embedded sections) - Anti-Lrp2 / Megalin antibody [EPR26093-84] (AB309086)
  • IHC-P

Supplier Data

Immunohistochemistry (Formalin/PFA-fixed paraffin-embedded sections) - Anti-Lrp2 / Megalin antibody [EPR26093-84] (AB309086)

Immunohistochemical analysis of paraffin-embedded Human kidney tissue labeling Lrp2 / Megalin with ab309086 at 1/5000 (0.101 ug/ml) followed by a ready to use LeicaDS9800 (Bond™ Polymer Refine Detection). Positive staining on human kidney (PMID : 10026171, 33305133). The section was incubated with ab309086 for 30 mins at room temperature. The immunostaining was performed on a Leica Biosystems BOND® RX instrument Counterstained with Hematoxylin. Secondary antibody only control : Secondary antibody is a ready to use LeicaDS9800 (Bond™ Polymer Refine Detection). Heat mediated antigen retrieval was performed with Tris-EDTA buffer (pH 9.0, Epitope Retrieval Solution2) for 20 mins.

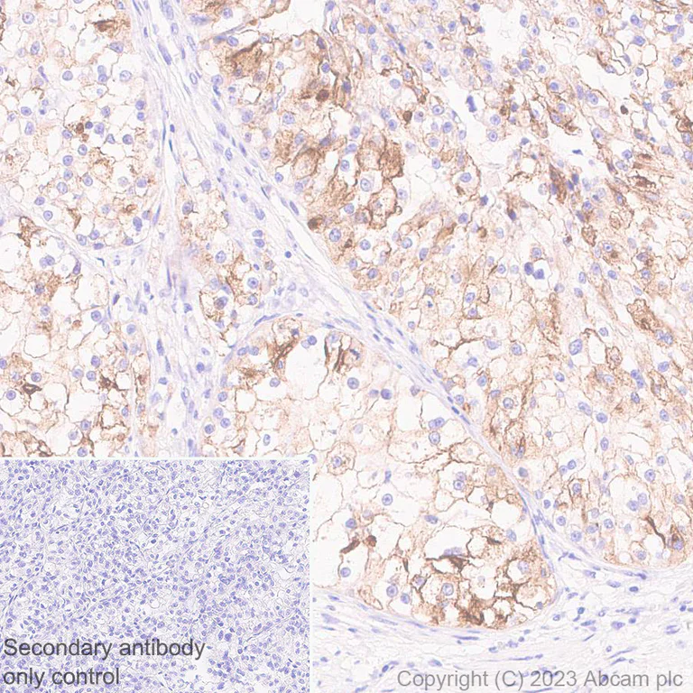
Immunohistochemistry (Formalin/PFA-fixed paraffin-embedded sections) - Anti-Lrp2 / Megalin antibody [EPR26093-84] (AB309086)
  • IHC-P

Supplier Data

Immunohistochemistry (Formalin/PFA-fixed paraffin-embedded sections) - Anti-Lrp2 / Megalin antibody [EPR26093-84] (AB309086)

Immunohistochemical analysis of paraffin-embedded Human clear cell ren tissue labeling Lrp2 / Megalin with ab309086 at 1/5000 (0.101 ug/ml) followed by a ready to use LeicaDS9800 (Bond™ Polymer Refine Detection). Positive staining on human clear cell renal cell carcinoma. The section was incubated with ab309086 for 30 mins at room temperature. The immunostaining was performed on a Leica Biosystems BOND® RX instrument Counterstained with Hematoxylin. Secondary antibody only control : Secondary antibody is a ready to use LeicaDS9800 (Bond™ Polymer Refine Detection). Heat mediated antigen retrieval was performed with Tris-EDTA buffer (pH 9.0, Epitope Retrieval Solution2) for 20 mins.

Immunohistochemistry (Formalin/PFA-fixed paraffin-embedded sections) - Anti-Lrp2 / Megalin antibody [EPR26093-84] (AB309086)
  • IHC-P

Supplier Data

Immunohistochemistry (Formalin/PFA-fixed paraffin-embedded sections) - Anti-Lrp2 / Megalin antibody [EPR26093-84] (AB309086)

Immunohistochemical analysis of paraffin-embedded Human placenta tissue labeling Lrp2 / Megalin with ab309086 at 1/5000 (0.101 ug/ml) followed by a ready to use LeicaDS9800 (Bond™ Polymer Refine Detection). Positive staining on human placenta (PMID : 27798286). The section was incubated with ab309086 for 30 mins at room temperature. The immunostaining was performed on a Leica Biosystems BOND® RX instrument Counterstained with Hematoxylin. Secondary antibody only control : Secondary antibody is a ready to use LeicaDS9800 (Bond™ Polymer Refine Detection). Heat mediated antigen retrieval was performed with Tris-EDTA buffer (pH 9.0, Epitope Retrieval Solution2) for 20 mins.

Western blot - Anti-Lrp2 / Megalin antibody [EPR26093-84] (AB309086)
  • WB

Supplier Data

Western blot - Anti-Lrp2 / Megalin antibody [EPR26093-84] (AB309086)

Blocking and diluting buffer and concentration : 5% NFDM/TBST Exposure time : 59 seconds

All lanes:

Human placenta tissue lysate at 20 µg

Observed band size: 522 kDa,460 kDa

false

Exposure time: 59s

Western blot - Anti-Lrp2 / Megalin antibody [EPR26093-84] (AB309086)
  • WB

Supplier Data

Western blot - Anti-Lrp2 / Megalin antibody [EPR26093-84] (AB309086)

Blocking and diluting buffer and concentration : 5% NFDM/TBST In Western blot, anti- Vinculin antibody (ab129002) loading control staining at 1/10, 000 dilution. Exposure time : 3 seconds

Lane 1:

Human kidney tissue lysate at 20 µg

Lane 2:

Human skeletal muscle tissue lysate

Observed band size: 522 kDa

false

Exposure time: 3s

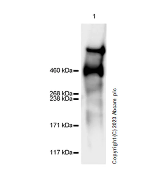
Western blot - Anti-Lrp2 / Megalin antibody [EPR26093-84] (AB309086)
  • WB

Supplier Data

Western blot - Anti-Lrp2 / Megalin antibody [EPR26093-84] (AB309086)

Blocking and diluting buffer and concentration : 5% NFDM/TBST Positive : JEG-3 (PMID : 27798286). In Western blot, anti- Vinculin antibody (ab129002) loading control staining at 1/10, 000 dilution. Exposure time : 6 seconds

Lane 1:

JEG-3 (human placenta epithelial cell) whole cell lysate at 20 µg

Lane 2:

293T (human embryonic kidney epithelial cell) whole cell lysate

Lane 3:

HeLa (human cervical adenocarcinoma epithelial cell) whole cell lysate

Observed band size: 522 kDa,460 kDa

false

Exposure time: 6s

  • 665 Alexa Fluor® 647

    Alexa Fluor® 647 Anti-Lrp2 / Megalin antibody [EPR26093-84]

  • 519 Alexa Fluor® 488

    Alexa Fluor® 488 Anti-Lrp2 / Megalin antibody [EPR26093-84]

  • Carrier free

    Anti-Lrp2 / Megalin antibody [EPR26093-84] - BSA and Azide free

Key facts

Host species

Rabbit

Clonality

Monoclonal

Clone number

EPR26093-84

Isotype

IgG

Carrier free

No

Reacts with

Human

Applications

IHC-P, WB

applications

Immunogen

The exact immunogen used to generate this antibody is proprietary information.

Reactivity data

{ "title": "Reactivity Data", "filters": { "stats": ["", "Species", "Dilution Info", "Notes"], "tabs": { "all-applications": {"fullname" : "All Applications", "shortname": "All Applications"}, "WB" : {"fullname" : "Western blot", "shortname":"WB"}, "IHCP" : {"fullname" : "Immunohistochemistry (Formalin/PFA-fixed paraffin-embedded sections)", "shortname":"IHC-P"}, "ICCIF" : {"fullname" : "Immunocytochemistry/ Immunofluorescence", "shortname":"ICC/IF"}, "FlowCyt" : {"fullname" : "Flow Cytometry", "shortname":"Flow Cyt"}, "IP" : {"fullname" : "Immunoprecipitation", "shortname":"IP"} }, "product-promise": { "all": "all", "testedAndGuaranteed": "tested", "guaranteed": "expected", "predicted": "predicted", "notRecommended": "not-recommended" } }, "values": { "Human": { "WB-species-checked": "testedAndGuaranteed", "WB-species-dilution-info": "1/1000", "WB-species-notes": "<p></p>", "IHCP-species-checked": "testedAndGuaranteed", "IHCP-species-dilution-info": "1/5000", "IHCP-species-notes": "<p></p> Perform heat-mediated antigen retrieval with Tris/EDTA buffer pH 9.0 before commencing with IHC staining protocol.", "ICCIF-species-checked": "notRecommended", "ICCIF-species-dilution-info": "", "ICCIF-species-notes": "<p></p>", "FlowCyt-species-checked": "notRecommended", "FlowCyt-species-dilution-info": "", "FlowCyt-species-notes": "<p></p>", "IP-species-checked": "notRecommended", "IP-species-dilution-info": "", "IP-species-notes": "<p></p>" }, "Mouse": { "WB-species-checked": "notRecommended", "WB-species-dilution-info": "", "WB-species-notes": "<p></p>", "IHCP-species-checked": "notRecommended", "IHCP-species-dilution-info": "", "IHCP-species-notes": "<p></p>", "ICCIF-species-checked": "notRecommended", "ICCIF-species-dilution-info": "", "ICCIF-species-notes": "<p></p>", "FlowCyt-species-checked": "notRecommended", "FlowCyt-species-dilution-info": "", "FlowCyt-species-notes": "<p></p>", "IP-species-checked": "notRecommended", "IP-species-dilution-info": "", "IP-species-notes": "" }, "Rat": { "WB-species-checked": "notRecommended", "WB-species-dilution-info": "", "WB-species-notes": "<p></p>", "IHCP-species-checked": "notRecommended", "IHCP-species-dilution-info": "", "IHCP-species-notes": "<p></p>", "ICCIF-species-checked": "notRecommended", "ICCIF-species-dilution-info": "", "ICCIF-species-notes": "<p></p>", "FlowCyt-species-checked": "notRecommended", "FlowCyt-species-dilution-info": "", "FlowCyt-species-notes": "<p></p>", "IP-species-checked": "notRecommended", "IP-species-dilution-info": "", "IP-species-notes": "" } } }

Product details

Patented technology
Our RabMAb® technology is a patented hybridoma-based technology for making rabbit monoclonal antibodies. For details on our patents, please refer to RabMAb® patents.

What are the advantages of a recombinant monoclonal antibody?
This product is a recombinant monoclonal antibody, which offers several advantages including:

  • - High batch-to-batch consistency and reproducibility
  • - Improved sensitivity and specificity
  • - Long-term security of supply
  • - Animal-free batch production

For more information, read more on recombinant antibodies.

Properties and storage information

Form
Liquid
Purification technique
Affinity purification Protein A
Storage buffer
pH: 7.2 - 7.4 Preservative: 0.01% Sodium azide Constituents: PBS, 40% Glycerol (glycerin, glycerine), 0.05% BSA
Shipped at conditions
Blue Ice
Appropriate short-term storage duration
1-2 weeks
Appropriate short-term storage conditions
+4°C
Appropriate long-term storage conditions
-20°C
Aliquoting information
Upon delivery aliquot
Storage information
Avoid freeze / thaw cycle

Product protocols

For this product, it's our understanding that no specific protocols are required. You can visit:

Target data

Multiligand endocytic receptor (By similarity). Acts together with CUBN to mediate endocytosis of high-density lipoproteins (By similarity). Mediates receptor-mediated uptake of polybasic drugs such as aprotinin, aminoglycosides and polymyxin B (By similarity). In the kidney, mediates the tubular uptake and clearance of leptin (By similarity). Also mediates transport of leptin across the blood-brain barrier through endocytosis at the choroid plexus epithelium (By similarity). Endocytosis of leptin in neuronal cells is required for hypothalamic leptin signaling and leptin-mediated regulation of feeding and body weight (By similarity). Mediates endocytosis and subsequent lysosomal degradation of CST3 in kidney proximal tubule cells (By similarity). Mediates renal uptake of 25-hydroxyvitamin D3 in complex with the vitamin D3 transporter GC/DBP (By similarity). Mediates renal uptake of metallothionein-bound heavy metals (PubMed : 15126248). Together with CUBN, mediates renal reabsorption of myoglobin (By similarity). Mediates renal uptake and subsequent lysosomal degradation of APOM (By similarity). Plays a role in kidney selenium homeostasis by mediating renal endocytosis of selenoprotein SEPP1 (By similarity). Mediates renal uptake of the antiapoptotic protein BIRC5/survivin which may be important for functional integrity of the kidney (PubMed : 23825075). Mediates renal uptake of matrix metalloproteinase MMP2 in complex with metalloproteinase inhibitor TIMP1 (By similarity). Mediates endocytosis of Sonic hedgehog protein N-product (ShhN), the active product of SHH (By similarity). Also mediates ShhN transcytosis (By similarity). In the embryonic neuroepithelium, mediates endocytic uptake and degradation of BMP4, is required for correct SHH localization in the ventral neural tube and plays a role in patterning of the ventral telencephalon (By similarity). Required at the onset of neurulation to sequester SHH on the apical surface of neuroepithelial cells of the rostral diencephalon ventral midline and to control PTCH1-dependent uptake and intracellular trafficking of SHH (By similarity). During neurulation, required in neuroepithelial cells for uptake of folate bound to the folate receptor FOLR1 which is necessary for neural tube closure (By similarity). In the adult brain, negatively regulates BMP signaling in the subependymal zone which enables neurogenesis to proceed (By similarity). In astrocytes, mediates endocytosis of ALB which is required for the synthesis of the neurotrophic factor oleic acid (By similarity). Involved in neurite branching (By similarity). During optic nerve development, required for SHH-mediated migration and proliferation of oligodendrocyte precursor cells (By similarity). Mediates endocytic uptake and clearance of SHH in the retinal margin which protects retinal progenitor cells from mitogenic stimuli and keeps them quiescent (By similarity). Plays a role in reproductive organ development by mediating uptake in reproductive tissues of androgen and estrogen bound to the sex hormone binding protein SHBG (By similarity). Mediates endocytosis of angiotensin-2 (By similarity). Also mediates endocytosis of angiotensis 1-7 (By similarity). Binds to the complex composed of beta-amyloid protein 40 and CLU/APOJ and mediates its endocytosis and lysosomal degradation (By similarity). Required for embryonic heart development (By similarity). Required for normal hearing, possibly through interaction with estrogen in the inner ear (By similarity).
See full target information LRP2

Product promise

We are committed to supporting your work with high-quality reagents, and we're here for you every step of the way. In the unlikely event that one of our products does not perform as expected, you're protected by our Product Promise.
For full details, please see our Terms & Conditions

Please note: All products are 'FOR RESEARCH USE ONLY. NOT FOR USE IN DIAGNOSTIC OR THERAPEUTIC PROCEDURES'.

For licensing inquiries, please contact partnerships@abcam.com