JavaScript is disabled in your browser. Please enable JavaScript to view this website.
AB223203

Anti-LRP5 antibody [EPR22477-218]

  • RabMAb
  • Recombinant
  • KO Validated
  • 20ul selling size
  • What is this?

Be the first to review this product! Submit a review

|

(5 Publications)

Rabbit Recombinant Monoclonal LRP5 antibody. Suitable for IP, WB and reacts with Mouse, Rat, Human, Transfected cell line - Human samples. Cited in 5 publications.

View Alternative Names

LR3, LRP7, LRP5, Low-density lipoprotein receptor-related protein 5, LRP-5, Low-density lipoprotein receptor-related protein 7, LRP-7

6 Images
Western blot - Anti-LRP5 antibody [EPR22477-218] (AB223203)
  • WB

Lab

Western blot - Anti-LRP5 antibody [EPR22477-218] (AB223203)

Lanes 1-3 : Merged signal (red and green). Green - ab223203 observed at 180-200 kDa. Red - loading control ab7291 observed at 50 kDa.

ab223203 Anti-LRP5 antibody [EPR22477-218] was shown to specifically react with LRP5 in wild-type HEK293T cells. Loss of signal was observed when knockout cell line ab266618 (knockout cell lysate ab257202) was used. Wild-type and LRP5 knockout samples were subjected to SDS-PAGE. ab223203 and Anti-alpha Tubulin antibody [DM1A] - Loading Control (ab7291) were incubated overnight at 4°C at 1 in 500 dilution and 1 in 20000 dilution respectively. Blots were developed with Goat anti-Rabbit IgG H&L (IRDye® 800CW) preadsorbed (ab216773) and Goat anti-Mouse IgG H&L (IRDye® 680RD) preadsorbed (ab216776) secondary antibodies at 1 in 20000 dilution for 1 hour at room temperature before imaging.

All lanes:

Western blot - Anti-LRP5 antibody [EPR22477-218] (ab223203) at 1/500 dilution

Lane 1:

Wild-type HEK293T cell lysate at 20 µg

Lane 2:

LRP5 knockout HEK293T cell lysate at 20 µg

Lane 2:

Western blot - Human LRP5 knockout HEK-293T cell line (<a href='/en-us/products/cell-lines/human-lrp5-knockout-hek-293t-cell-line-ab266618'>ab266618</a>)

Lane 3:

SW620 cell lysate at 20 µg

Secondary

All lanes:

Western blot - Goat anti-Rabbit IgG H&L (IRDye® 800CW) preadsorbed (<a href='/en-us/products/secondary-antibodies/goat-rabbit-igg-h-l-irdye-800cw-preadsorbed-ab216773'>ab216773</a>) at 1/10000 dilution

Predicted band size: 179 kDa

Observed band size: 180-200 kDa

false

Western blot - Anti-LRP5 antibody [EPR22477-218] (AB223203)
  • WB

Lab

Western blot - Anti-LRP5 antibody [EPR22477-218] (AB223203)

The expression profile observed is consistent with what has been described in the literature (PMID : 25808845).

Differentiation procedure : https : //www.abcam.com/protocols/differentiation-of-3t3-l1-cells-into-adipocyte-like-cells-protocol

Exposure times : Lane 1 : 3 mins; Lane 2-3 : 26 secs.

Blocking/Dilution buffer : 5% NFDM/TBST.

All lanes:

Western blot - Anti-LRP5 antibody [EPR22477-218] (ab223203) at 1/1000 dilution

Lane 1:

MEF (mouse embryonic fibroblast (immortalized)), whole cell lysate at 20 µg

Lane 2:

Untreated 3T3-L1 (mouse embryonic fibroblast), whole cell lysate at 20 µg

Lane 3:

3T3-L1 differentiated adipocytes whole cell lysate 20ug

Secondary

All lanes:

Western blot - Goat Anti-Rabbit IgG H&L (HRP) (<a href='/en-us/products/secondary-antibodies/goat-rabbit-igg-h-l-hrp-ab97051'>ab97051</a>) at 1/100000 dilution

Predicted band size: 179 kDa

Observed band size: 180-200 kDa

false

Immunoprecipitation - Anti-LRP5 antibody [EPR22477-218] (AB223203)
  • IP

Unknown

Immunoprecipitation - Anti-LRP5 antibody [EPR22477-218] (AB223203)

LRP5 was immunoprecipitated from 0.35 mg 3T3-L1 (mouse embryonic fibroblast) differentiated adipocytes whole cell lysate 10μg with ab223203 at 1/30 dilution (2μg in 0.35mg lysates). Western blot was performed on the immunoprecipitate using ab223203. VeriBlot for IP Detection Reagent (HRP) (ab131366) was used at 1/1000 dilution.

Lane 1 : 3T3-L1 (mouse embryonic fibroblast) differentiated adipocytes whole cell lysate 10μg.

Lane 2 : ab223203 IP in 3T3-L1 differentiated adipocytes whole cell lysate.

Lane 3 : Rabbit monoclonal IgG (ab172730) instead of ab223203 in 3T3-L1 differentiated adipocytes whole cell lysate.

Blocking/Dilution buffer : 5% NFDM/TBST.

Exposure time : 3 mins.

Differentiation procedure : https : //www.abcam.com/protocols/differentiation-of-3t3-l1-cells-into-adipocyte-like-cells-protocol.

All lanes:

Immunoprecipitation - Anti-LRP5 antibody [EPR22477-218] (ab223203)

Predicted band size: 179 kDa

Observed band size: 180-200 kDa

false

Western blot - Anti-LRP5 antibody [EPR22477-218] (AB223203)
  • WB

Lab

Western blot - Anti-LRP5 antibody [EPR22477-218] (AB223203)

The expression profile observed is consistent with what has been described in the literature (PMID : 25808845).

Blocking/Dilution buffer : 5% NFDM/TBST.

All lanes:

Western blot - Anti-LRP5 antibody [EPR22477-218] (ab223203) at 1/1000 dilution

Lane 1:

MCF7 (human breast adenocarcinoma epithelial cell), whole cell lysate at 20 µg

Lane 2:

HCT116 (human colorectal carcinoma epithelial cell), whole cell lysate at 20 µg

Lane 3:

HeLa (human cervix adenocarcinoma epithelial cell), whole cell lysate at 20 µg

Lane 4:

Rat liver tissue lysate at 20 µg

Secondary

All lanes:

Western blot - Goat Anti-Rabbit IgG H&L (HRP) (<a href='/en-us/products/secondary-antibodies/goat-rabbit-igg-h-l-hrp-ab97051'>ab97051</a>) at 1/20000 dilution

Predicted band size: 179 kDa

false

Exposure time: 3min

Western blot - Anti-LRP5 antibody [EPR22477-218] (AB223203)
  • WB

Lab

Western blot - Anti-LRP5 antibody [EPR22477-218] (AB223203)

Blocking/Dilution buffer : 5% NFDM/TBST.

Exposure time : lane 1 : 5.5 secs; lane 2 : 59secs

All lanes:

Western blot - Anti-LRP5 antibody [EPR22477-218] (ab223203) at 1/1000 dilution

Lane 1:

His-tagged mouse LRP5 recombinant protein (aa 1407-1614)

Lane 2:

His-tagged mouse LRP6 recombinant protein (aa 1394-1613)

Secondary

All lanes:

Western blot - Goat Anti-Rabbit IgG H&L (HRP) (<a href='/en-us/products/secondary-antibodies/goat-rabbit-igg-h-l-hrp-ab97051'>ab97051</a>) at 1/100000 dilution

Predicted band size: 179 kDa

Observed band size: 25.1 kDa,37.5 kDa

false

Western blot - Anti-LRP5 antibody [EPR22477-218] (AB223203)
  • WB

Lab

Western blot - Anti-LRP5 antibody [EPR22477-218] (AB223203)

Blocking and dilution buffer : 5%NFDM/TBST.

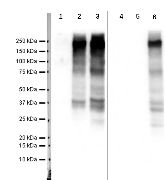
Lanes 1 - 3:

Western blot - Anti-LRP6 (phospho S1490) + LRP5 (phospho S1503) antibody [EP2360Y] (<a href='/en-us/products/primary-antibodies/lrp6-phospho-s1490-lrp5-phospho-s1503-antibody-ep2360y-ab76417'>ab76417</a>) at 1/10000 dilution

Lanes 4 - 6:

Western blot - Anti-LRP5 antibody [EPR22477-218] (ab223203) at 1/10000 dilution

Lanes 1 and 4:

293T transfected with blank vector whole cell lysate at 20 µg

Lanes 2 and 5:

293T transfected with LRP6 overexpression vector whole cell lysate at 20 µg

Lanes 3 and 6:

293T transfected with LRP5 overexpression vector whole cell lysate at 20 µg

Secondary

All lanes:

Western blot - Goat Anti-Rabbit IgG H&L (HRP) (<a href='/en-us/products/secondary-antibodies/goat-rabbit-igg-h-l-hrp-ab97051'>ab97051</a>) at 1/100000 dilution

Predicted band size: 179 kDa

Observed band size: 180 kDa

false

Exposure time: 180s

Key facts

Host species

Rabbit

Clonality

Monoclonal

Clone number

EPR22477-218

Isotype

IgG

Carrier free

No

Reacts with

Mouse, Rat, Human

Applications

IP, WB

applications

Immunogen

The exact immunogen used to generate this antibody is proprietary information.

Reactivity data

{ "title": "Reactivity Data", "filters": { "stats": ["", "Species", "Dilution Info", "Notes"], "tabs": { "all-applications": {"fullname" : "All Applications", "shortname": "All Applications"}, "IP" : {"fullname" : "Immunoprecipitation", "shortname":"IP"}, "FlowCyt" : {"fullname" : "Flow Cytometry", "shortname":"Flow Cyt"}, "WB" : {"fullname" : "Western blot", "shortname":"WB"}, "IHCP" : {"fullname" : "Immunohistochemistry (Formalin/PFA-fixed paraffin-embedded sections)", "shortname":"IHC-P"}, "ICCIF" : {"fullname" : "Immunocytochemistry/ Immunofluorescence", "shortname":"ICC/IF"} }, "product-promise": { "all": "all", "testedAndGuaranteed": "tested", "guaranteed": "expected", "predicted": "predicted", "notRecommended": "not-recommended" } }, "values": { "Human": { "IP-species-checked": "guaranteed", "IP-species-dilution-info": "", "IP-species-notes": "", "FlowCyt-species-checked": "notRecommended", "FlowCyt-species-dilution-info": "", "FlowCyt-species-notes": "", "WB-species-checked": "testedAndGuaranteed", "WB-species-dilution-info": "1/500 - 1/1000", "WB-species-notes": "<p></p>", "IHCP-species-checked": "notRecommended", "IHCP-species-dilution-info": "", "IHCP-species-notes": "<p></p>", "ICCIF-species-checked": "notRecommended", "ICCIF-species-dilution-info": "", "ICCIF-species-notes": "" }, "Mouse": { "IP-species-checked": "testedAndGuaranteed", "IP-species-dilution-info": "1/30", "IP-species-notes": "<p></p>", "FlowCyt-species-checked": "notRecommended", "FlowCyt-species-dilution-info": "", "FlowCyt-species-notes": "<p></p>", "WB-species-checked": "testedAndGuaranteed", "WB-species-dilution-info": "1/1000", "WB-species-notes": "<p></p>", "IHCP-species-checked": "notRecommended", "IHCP-species-dilution-info": "", "IHCP-species-notes": "<p></p>", "ICCIF-species-checked": "notRecommended", "ICCIF-species-dilution-info": "", "ICCIF-species-notes": "<p></p>" }, "Rat": { "IP-species-checked": "guaranteed", "IP-species-dilution-info": "", "IP-species-notes": "", "FlowCyt-species-checked": "notRecommended", "FlowCyt-species-dilution-info": "", "FlowCyt-species-notes": "", "WB-species-checked": "testedAndGuaranteed", "WB-species-dilution-info": "1/1000", "WB-species-notes": "<p></p>", "IHCP-species-checked": "notRecommended", "IHCP-species-dilution-info": "", "IHCP-species-notes": "<p></p>", "ICCIF-species-checked": "notRecommended", "ICCIF-species-dilution-info": "", "ICCIF-species-notes": "" }, "Transfected cell line - Human": { "IP-species-checked": "notRecommended", "IP-species-dilution-info": "", "IP-species-notes": "", "FlowCyt-species-checked": "notRecommended", "FlowCyt-species-dilution-info": "", "FlowCyt-species-notes": "", "WB-species-checked": "testedAndGuaranteed", "WB-species-dilution-info": "1/10000", "WB-species-notes": "<p></p>", "IHCP-species-checked": "notRecommended", "IHCP-species-dilution-info": "", "IHCP-species-notes": "", "ICCIF-species-checked": "notRecommended", "ICCIF-species-dilution-info": "", "ICCIF-species-notes": "" } } }

Product details

Patented technology
Our RabMAb® technology is a patented hybridoma-based technology for making rabbit monoclonal antibodies. For details on our patents, please refer to RabMAb® patents.

What are the advantages of a recombinant monoclonal antibody?
This product is a recombinant monoclonal antibody, which offers several advantages including:

  • - High batch-to-batch consistency and reproducibility
  • - Improved sensitivity and specificity
  • - Long-term security of supply
  • - Animal-free batch production

For more information, read more on recombinant antibodies.

Properties and storage information

Form
Liquid
Purification technique
Affinity purification Protein A
Storage buffer
pH: 7.2 - 7.4 Preservative: 0.01% Sodium azide Constituents: PBS, 40% Glycerol (glycerin, glycerine), 0.05% BSA
Shipped at conditions
Blue Ice
Appropriate short-term storage duration
1-2 weeks
Appropriate short-term storage conditions
+4°C
Appropriate long-term storage conditions
-20°C
Aliquoting information
Upon delivery aliquot
Storage information
Avoid freeze / thaw cycle

Product protocols

For this product, it's our understanding that no specific protocols are required. You can visit:

Target data

Acts as a coreceptor with members of the frizzled family of seven-transmembrane spanning receptors to transduce signal by Wnt proteins (PubMed : 11336703, PubMed : 11448771, PubMed : 11719191, PubMed : 15778503, PubMed : 15908424, PubMed : 16252235). Activates the canonical Wnt signaling pathway that controls cell fate determination and self-renewal during embryonic development and adult tissue regeneration (PubMed : 11336703, PubMed : 11719191). In particular, may play an important role in the development of the posterior patterning of the epiblast during gastrulation (By similarity). During bone development, regulates osteoblast proliferation and differentiation thus determining bone mass (PubMed : 11719191). Mechanistically, the formation of the signaling complex between Wnt ligand, frizzled receptor and LRP5 coreceptor promotes the recruitment of AXIN1 to LRP5, stabilizing beta-catenin/CTNNB1 and activating TCF/LEF-mediated transcriptional programs (PubMed : 11336703, PubMed : 14731402, PubMed : 24706814, PubMed : 25920554). Acts as a coreceptor for non-Wnt proteins, such as norrin/NDP. Binding of norrin/NDP to frizzled 4/FZD4-LRP5 receptor complex triggers beta-catenin/CTNNB1-dependent signaling known to be required for retinal vascular development (PubMed : 16252235, PubMed : 27228167). Plays a role in controlling postnatal vascular regression in retina via macrophage-induced endothelial cell apoptosis (By similarity).
See full target information LRP5

Publications (5)

Recent publications for all applications. Explore the full list and refine your search

Bioactive materials 52:753-772 PubMed40688064

2025

Modular assembled biomimetic nanobubbles for synergistic therapy of ischemic stroke cascade modulation thrombo-inflammatory network.

Applications

Unspecified application

Species

Unspecified reactive species

Mingxi Li,Xuan Xu,Guoyan Tang,Huan Wu,Yakun Wang,Chen Cheng,Hongde Liu,Fang Yang

Stem cells international 2023:4980871 PubMed36970598

2023

Extracellular Vesicles Secreted by TGF-1-Treated Mesenchymal Stem Cells Promote Fracture Healing by SCD1-Regulated Transference of LRP5.

Applications

Unspecified application

Species

Unspecified reactive species

Zihui Zhou,Chenyang Guo,Xulong Sun,Zhengwei Ren,Jie Tao

Emergency medicine international 2022:1022078 PubMed37008288

2022

Abnormal Variations of the Key Genes in Osteoporotic Fractures.

Applications

Unspecified application

Species

Unspecified reactive species

Bin Wang,Caiyuan Mai,Lei Pan

Chinese medicine 17:11 PubMed34991661

2022

Astragalus membranaceus (Huangqi) and Rhizoma curcumae (Ezhu) decoction suppresses colorectal cancer via downregulation of Wnt5/β-Catenin signal.

Applications

Unspecified application

Species

Unspecified reactive species

Yong Bian,Gang Wang,Jing Zhou,Gang Yin,Tiantian Liu,Li Liang,Xinyue Yang,Wen Zhang,Kexin Ni,Decai Tang,Yun Yu

Frontiers in cell and developmental biology 9:766815 PubMed34796178

2021

LRP5-Mediated Lipid Uptake Modulates Osteogenic Differentiation of Bone Marrow Mesenchymal Stromal Cells.

Applications

Unspecified application

Species

Unspecified reactive species

Jiachen Lin,Zhifa Zheng,Jieying Liu,Guihua Yang,Ling Leng,Hai Wang,Guixing Qiu,Zhihong Wu
View all publications

Product promise

We are committed to supporting your work with high-quality reagents, and we're here for you every step of the way. In the unlikely event that one of our products does not perform as expected, you're protected by our Product Promise.
For full details, please see our Terms & Conditions

Please note: All products are 'FOR RESEARCH USE ONLY. NOT FOR USE IN DIAGNOSTIC OR THERAPEUTIC PROCEDURES'.

For licensing inquiries, please contact partnerships@abcam.com