JavaScript is disabled in your browser. Please enable JavaScript to view this website.
AB256528

Anti-LRP5 antibody [EPR22477-218] - BSA and Azide free

Be the first to review this product! Submit a review

|

(1 Publication)

Rabbit Recombinant Monoclonal LRP5 antibody. Carrier free. Suitable for IP, WB and reacts with Mouse, Human, Rat, Transfected cell line - Human, Recombinant fragment - Mouse samples. Cited in 1 publication.

View Alternative Names

LR3, LRP7, LRP5, Low-density lipoprotein receptor-related protein 5, LRP-5, Low-density lipoprotein receptor-related protein 7, LRP-7

3 Images
Immunoprecipitation - Anti-LRP5 antibody [EPR22477-218] - BSA and Azide free (AB256528)
  • IP

Unknown

Immunoprecipitation - Anti-LRP5 antibody [EPR22477-218] - BSA and Azide free (AB256528)

LRP5 was immunoprecipitated from 0.35 mg 3T3-L1 (mouse embryonic fibroblast) differentiated adipocytes whole cell lysate 10μg with ab223203 at 1/30 dilution (2μg in 0.35mg lysates). Western blot was performed on the immunoprecipitate using ab223203. VeriBlot for IP Detection Reagent (HRP) (ab131366) was used at 1/1000 dilution.

Lane 1 : 3T3-L1 (mouse embryonic fibroblast) differentiated adipocytes whole cell lysate 10μg.

Lane 2 : ab223203 IP in 3T3-L1 differentiated adipocytes whole cell lysate.

Lane 3 : Rabbit monoclonal IgG (ab172730) instead of ab223203 in 3T3-L1 differentiated adipocytes whole cell lysate.

Blocking/Dilution buffer : 5% NFDM/TBST.

Exposure time : 3 mins.

Differentiation procedure : https : //www.abcam.com/protocols/differentiation-of-3t3-l1-cells-into-adipocyte-like-cells-protocol.

This data was developed using the same antibody clone in a different buffer formulation containing PBS, BSA, glycerol, and sodium azide (ab223203).

All lanes:

Immunoprecipitation - Anti-LRP5 antibody [EPR22477-218] (<a href='/en-us/products/primary-antibodies/lrp5-antibody-epr22477-218-ab223203'>ab223203</a>)

Predicted band size: 179 kDa

Observed band size: 180-200 kDa

false

Western blot - Anti-LRP5 antibody [EPR22477-218] - BSA and Azide free (AB256528)
  • WB

Lab

Western blot - Anti-LRP5 antibody [EPR22477-218] - BSA and Azide free (AB256528)

This data was developed using the same antibody clone in a different buffer formulation (ab223203).

Lanes 1-3 : Merged signal (red and green). Green - ab223203 observed at 180-200 kDa. Red - loading control ab7291 observed at 50 kDa.

ab223203 Anti-LRP5 antibody [EPR22477-218] was shown to specifically react with LRP5 in wild-type HEK293T cells. Loss of signal was observed when knockout cell line ab266618 (knockout cell lysate ab257202) was used. Wild-type and LRP5 knockout samples were subjected to SDS-PAGE. ab223203 and Anti-alpha Tubulin antibody [DM1A] - Loading Control (ab7291) were incubated overnight at 4°C at 1 in 500 dilution and 1 in 20000 dilution respectively. Blots were developed with Goat anti-Rabbit IgG H&L (IRDye® 800CW) preadsorbed (ab216773) and Goat anti-Mouse IgG H&L (IRDye® 680RD) preadsorbed (ab216776) secondary antibodies at 1 in 20000 dilution for 1 hour at room temperature before imaging.

All lanes:

Western blot - Anti-LRP5 antibody [EPR22477-218] (<a href='/en-us/products/primary-antibodies/lrp5-antibody-epr22477-218-ab223203'>ab223203</a>) at 1/500 dilution

Lane 1:

Wild-type HEK293T cell lysate at 20 µg

Lane 2:

LRP5 knockout HEK293T cell lysate at 20 µg

Lane 2:

Western blot - Human LRP5 knockout HEK-293T cell line (<a href='/en-us/products/cell-lines/human-lrp5-knockout-hek-293t-cell-line-ab266618'>ab266618</a>)

Lane 3:

SW620 cell lysate at 20 µg

Secondary

All lanes:

Western blot - Goat anti-Rabbit IgG H&L (IRDye® 800CW) preadsorbed (<a href='/en-us/products/secondary-antibodies/goat-rabbit-igg-h-l-irdye-800cw-preadsorbed-ab216773'>ab216773</a>) at 1/10000 dilution

Predicted band size: 179 kDa

Observed band size: 180-200 kDa

false

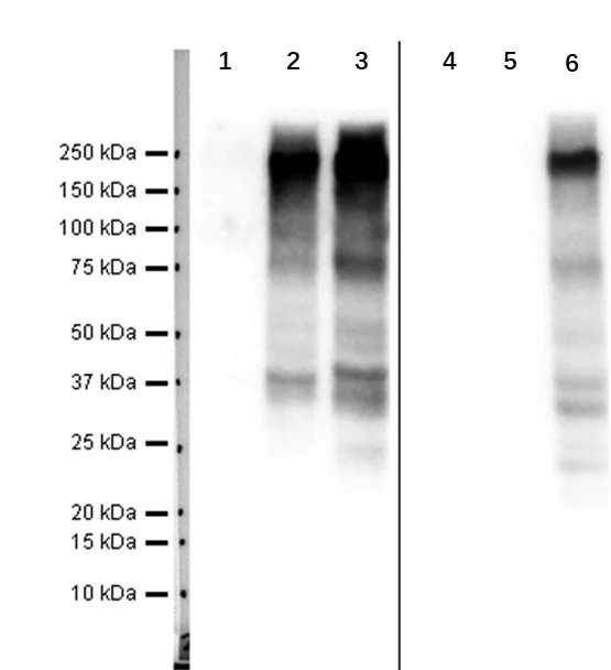
Western blot - Anti-LRP5 antibody [EPR22477-218] - BSA and Azide free (AB256528)
  • WB

Lab

Western blot - Anti-LRP5 antibody [EPR22477-218] - BSA and Azide free (AB256528)

Blocking and dilution buffer : 5%NFDM/TBST. This data was developed using the same antibody clone in a different buffer formulation containing PBS, BSA, glycerol, and sodium azide (ab223203).

Lanes 1 - 3:

Western blot - Anti-LRP6 (phospho S1490) + LRP5 (phospho S1503) antibody [EP2360Y] (<a href='/en-us/products/primary-antibodies/lrp6-phospho-s1490-lrp5-phospho-s1503-antibody-ep2360y-ab76417'>ab76417</a>) at 1/10000 dilution

Lanes 4 - 6:

Western blot - Anti-LRP5 antibody [EPR22477-218] (<a href='/en-us/products/primary-antibodies/lrp5-antibody-epr22477-218-ab223203'>ab223203</a>) at 1/10000 dilution

Lanes 1 and 4:

293T transfected with blank vector whole cell lysate at 20 µg

Lanes 2 and 5:

293T transfected with LRP6 overexpression vector whole cell lysate at 20 µg

Lanes 3 and 6:

293T transfected with LRP5 overexpression vector whole cell lysate at 20 µg

Secondary

All lanes:

Western blot - Goat Anti-Rabbit IgG H&L (HRP) (<a href='/en-us/products/secondary-antibodies/goat-rabbit-igg-h-l-hrp-ab97051'>ab97051</a>) at 1/100000 dilution

Predicted band size: 179 kDa

Observed band size: 180 kDa

false

Exposure time: 180s

Key facts

Host species

Rabbit

Clonality

Monoclonal

Clone number

EPR22477-218

Isotype

IgG

Carrier free

Yes

Reacts with

Mouse, Rat, Human

Applications

IP, WB

applications

Immunogen

The exact immunogen used to generate this antibody is proprietary information.

Reactivity data

{ "title": "Reactivity Data", "filters": { "stats": ["", "Species", "Dilution Info", "Notes"], "tabs": { "all-applications": {"fullname" : "All Applications", "shortname": "All Applications"}, "IP" : {"fullname" : "Immunoprecipitation", "shortname":"IP"}, "FlowCyt" : {"fullname" : "Flow Cytometry", "shortname":"Flow Cyt"}, "WB" : {"fullname" : "Western blot", "shortname":"WB"}, "IHCP" : {"fullname" : "Immunohistochemistry (Formalin/PFA-fixed paraffin-embedded sections)", "shortname":"IHC-P"}, "ICCIF" : {"fullname" : "Immunocytochemistry/ Immunofluorescence", "shortname":"ICC/IF"} }, "product-promise": { "all": "all", "testedAndGuaranteed": "tested", "guaranteed": "expected", "predicted": "predicted", "notRecommended": "not-recommended" } }, "values": { "Human": { "IP-species-checked": "guaranteed", "IP-species-dilution-info": "", "IP-species-notes": "", "FlowCyt-species-checked": "notRecommended", "FlowCyt-species-dilution-info": "", "FlowCyt-species-notes": "<p></p>", "WB-species-checked": "testedAndGuaranteed", "WB-species-dilution-info": "", "WB-species-notes": "<p></p>", "IHCP-species-checked": "notRecommended", "IHCP-species-dilution-info": "", "IHCP-species-notes": "", "ICCIF-species-checked": "notRecommended", "ICCIF-species-dilution-info": "", "ICCIF-species-notes": "<p></p>" }, "Mouse": { "IP-species-checked": "testedAndGuaranteed", "IP-species-dilution-info": "", "IP-species-notes": "<p></p>", "FlowCyt-species-checked": "notRecommended", "FlowCyt-species-dilution-info": "", "FlowCyt-species-notes": "<p></p>", "WB-species-checked": "testedAndGuaranteed", "WB-species-dilution-info": "", "WB-species-notes": "<p></p>", "IHCP-species-checked": "notRecommended", "IHCP-species-dilution-info": "", "IHCP-species-notes": "<p></p>", "ICCIF-species-checked": "notRecommended", "ICCIF-species-dilution-info": "", "ICCIF-species-notes": "<p></p>" }, "Rat": { "IP-species-checked": "guaranteed", "IP-species-dilution-info": "", "IP-species-notes": "", "FlowCyt-species-checked": "notRecommended", "FlowCyt-species-dilution-info": "", "FlowCyt-species-notes": "<p></p>", "WB-species-checked": "testedAndGuaranteed", "WB-species-dilution-info": "", "WB-species-notes": "<p></p>", "IHCP-species-checked": "notRecommended", "IHCP-species-dilution-info": "", "IHCP-species-notes": "<p></p>", "ICCIF-species-checked": "notRecommended", "ICCIF-species-dilution-info": "", "ICCIF-species-notes": "<p></p>" }, "Recombinant fragment - Mouse": { "IP-species-checked": "notRecommended", "IP-species-dilution-info": "", "IP-species-notes": "", "FlowCyt-species-checked": "notRecommended", "FlowCyt-species-dilution-info": "", "FlowCyt-species-notes": "", "WB-species-checked": "testedAndGuaranteed", "WB-species-dilution-info": "", "WB-species-notes": "<p></p>", "IHCP-species-checked": "notRecommended", "IHCP-species-dilution-info": "", "IHCP-species-notes": "", "ICCIF-species-checked": "notRecommended", "ICCIF-species-dilution-info": "", "ICCIF-species-notes": "" }, "Transfected cell line - Human": { "IP-species-checked": "notRecommended", "IP-species-dilution-info": "", "IP-species-notes": "", "FlowCyt-species-checked": "notRecommended", "FlowCyt-species-dilution-info": "", "FlowCyt-species-notes": "", "WB-species-checked": "testedAndGuaranteed", "WB-species-dilution-info": "", "WB-species-notes": "<p></p>", "IHCP-species-checked": "notRecommended", "IHCP-species-dilution-info": "", "IHCP-species-notes": "", "ICCIF-species-checked": "notRecommended", "ICCIF-species-dilution-info": "", "ICCIF-species-notes": "" } } }

Product details

ab256528 is the carrier-free version of ab223203.

Patented technology
Our RabMAb® technology is a patented hybridoma-based technology for making rabbit monoclonal antibodies. For details on our patents, please refer to RabMAb® patents.

What are the advantages of a recombinant monoclonal antibody?
This product is a recombinant monoclonal antibody, which offers several advantages including:

  • - High batch-to-batch consistency and reproducibility
  • - Improved sensitivity and specificity
  • - Long-term security of supply
  • - Animal-free batch production

For more information, read more on recombinant antibodies.

Conjugation ready
Our carrier-free antibodies are typically supplied in a PBS-only formulation, purified and free of BSA, sodium azide and glycerol. This conjugation-ready format is designed for use with fluorochromes, metal isotopes, oligonucleotides, and enzymes, which makes them ideal for antibody labelling, functional and cell-based assays, flow-based assays (e.g. mass cytometry) and Multiplex Imaging applications.

Use our conjugation kits for antibody conjugates that are ready-to-use in as little as 20 minutes with 1 minute hands-on-time and 100% antibody recovery: available for fluorescent dyes, HRP, biotin and gold.

Compatibility
This product is compatible with the Maxpar® Antibody Labeling Kit from Fluidigm, without the need for antibody preparation. Maxpar® is a trademark of Fluidigm Canada Inc.

Properties and storage information

Form
Liquid
Purification technique
Affinity purification Protein A
Storage buffer
pH: 7.2 - 7.4 Constituents: PBS
Shipped at conditions
Blue Ice
Appropriate short-term storage conditions
+4°C
Appropriate long-term storage conditions
+4°C
Storage information
Do Not Freeze

Product protocols

For this product, it's our understanding that no specific protocols are required. You can visit:

Target data

Acts as a coreceptor with members of the frizzled family of seven-transmembrane spanning receptors to transduce signal by Wnt proteins (PubMed : 11336703, PubMed : 11448771, PubMed : 11719191, PubMed : 15778503, PubMed : 15908424, PubMed : 16252235). Activates the canonical Wnt signaling pathway that controls cell fate determination and self-renewal during embryonic development and adult tissue regeneration (PubMed : 11336703, PubMed : 11719191). In particular, may play an important role in the development of the posterior patterning of the epiblast during gastrulation (By similarity). During bone development, regulates osteoblast proliferation and differentiation thus determining bone mass (PubMed : 11719191). Mechanistically, the formation of the signaling complex between Wnt ligand, frizzled receptor and LRP5 coreceptor promotes the recruitment of AXIN1 to LRP5, stabilizing beta-catenin/CTNNB1 and activating TCF/LEF-mediated transcriptional programs (PubMed : 11336703, PubMed : 14731402, PubMed : 24706814, PubMed : 25920554). Acts as a coreceptor for non-Wnt proteins, such as norrin/NDP. Binding of norrin/NDP to frizzled 4/FZD4-LRP5 receptor complex triggers beta-catenin/CTNNB1-dependent signaling known to be required for retinal vascular development (PubMed : 16252235, PubMed : 27228167). Plays a role in controlling postnatal vascular regression in retina via macrophage-induced endothelial cell apoptosis (By similarity).
See full target information LRP5

Publications (1)

Recent publications for all applications. Explore the full list and refine your search

The Biochemical journal 477:4397-4423 PubMed33135724

2020

Endogenous Rab29 does not impact basal or stimulated LRRK2 pathway activity.

Applications

Unspecified application

Species

Unspecified reactive species

Alexia F Kalogeropulou,Jordana B Freemantle,Pawel Lis,Edmundo G Vides,Nicole K Polinski,Dario R Alessi
View all publications

Product promise

We are committed to supporting your work with high-quality reagents, and we're here for you every step of the way. In the unlikely event that one of our products does not perform as expected, you're protected by our Product Promise.
For full details, please see our Terms & Conditions

Please note: All products are 'FOR RESEARCH USE ONLY. NOT FOR USE IN DIAGNOSTIC OR THERAPEUTIC PROCEDURES'.

For licensing inquiries, please contact partnerships@abcam.com