JavaScript is disabled in your browser. Please enable JavaScript to view this website.
AB76500

Anti-LRPAP1 antibody [EPR3327]

Be the first to review this product! Submit a review

|

(4 Publications)

Rabbit Recombinant Monoclonal LRPAP1 antibody. Suitable for IHC-P, IP, WB and reacts with Human, Mouse, Rat samples. Cited in 4 publications.

View Alternative Names

A2MRAP, LRPAP1, Alpha-2-macroglobulin receptor-associated protein, Alpha-2-MRAP, Low density lipoprotein receptor-related protein-associated protein 1, RAP

7 Images
Immunohistochemistry (Formalin/PFA-fixed paraffin-embedded sections) - Anti-LRPAP1 antibody [EPR3327] (AB76500)
  • IHC-P

Unknown

Immunohistochemistry (Formalin/PFA-fixed paraffin-embedded sections) - Anti-LRPAP1 antibody [EPR3327] (AB76500)

Immunohistochemistry (Formalin/PFA-fixed paraffin-embedded sections) analysis of human brain tissue labelling LRPAP1 with unpurified ab76500 at a 1/100 dilution.

Perform heat mediated antigen retrieval before commencing with IHC staining protocol.

Immunohistochemistry (Formalin/PFA-fixed paraffin-embedded sections) - Anti-LRPAP1 antibody [EPR3327] (AB76500)
  • IHC-P

Unknown

Immunohistochemistry (Formalin/PFA-fixed paraffin-embedded sections) - Anti-LRPAP1 antibody [EPR3327] (AB76500)

Immunohistochemistry (Formalin/PFA-fixed paraffin-embedded sections) analysis of human hepatocellular carcinoma tissue labelling LRPAP1 with purified ab76500 at 1/100. Heat mediated antigen retrieval was performed using Tris/EDTA buffer pH 9. A prediluted HRP-polymer conjugated anti-rabbit IgG was used as the secondary antibody. Counterstained with Hematoxylin.

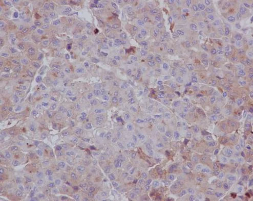
Immunohistochemistry (Formalin/PFA-fixed paraffin-embedded sections) - Anti-LRPAP1 antibody [EPR3327] (AB76500)
  • IHC-P

Unknown

Immunohistochemistry (Formalin/PFA-fixed paraffin-embedded sections) - Anti-LRPAP1 antibody [EPR3327] (AB76500)

Immunohistochemistry (Formalin/PFA-fixed paraffin-embedded sections) analysis of human hepatocellular carcinoma tissue labelling LRPAP1 with unpurified ab76500 at 1/200. Heat mediated antigen retrieval was performed using Tris/EDTA buffer pH 9. A prediluted HRP-polymer conjugated anti-rabbit IgG was used as the secondary antibody. Counterstained with Hematoxylin.

Immunoprecipitation - Anti-LRPAP1 antibody [EPR3327] (AB76500)
  • IP

Lab

Immunoprecipitation - Anti-LRPAP1 antibody [EPR3327] (AB76500)

ab76500 (purified) at 1/150 immunoprecipitating LRPAP1 in human fetal kidney tissue lysate (Lane 1). Lane 2 - PBS. For western blotting, a HRP-conjugated anti-rabbit IgG, specific to the non-reduced form of IgG was used as the secondary antibody (1/1500).

Blocking buffer and concentration : 5% NFDM/TBST.

Diluting buffer and concentration : 5% NFDM /TBST.

All lanes:

Immunoprecipitation - Anti-LRPAP1 antibody [EPR3327] (ab76500)

Predicted band size: 41 kDa

Observed band size: 45 kDa

false

Immunoprecipitation - Anti-LRPAP1 antibody [EPR3327] (AB76500)
  • IP

Lab

Immunoprecipitation - Anti-LRPAP1 antibody [EPR3327] (AB76500)

ab76500 (unpurified) at 1/300 immunoprecipitating LRPAP1 in human fetal kidney tissue lysate (Lane 1). Lane 2 - PBS. For western blotting, a HRP-conjugated anti-rabbit IgG, specific to the non-reduced form of IgG was used as the secondary antibody (1/1500).

Blocking buffer and concentration : 5% NFDM/TBST.

Diluting buffer and concentration : 5% NFDM /TBST.

All lanes:

Immunoprecipitation - Anti-LRPAP1 antibody [EPR3327] (ab76500)

Predicted band size: 41 kDa

Observed band size: 45 kDa

false

Western blot - Anti-LRPAP1 antibody [EPR3327] (AB76500)
  • WB

Lab

Western blot - Anti-LRPAP1 antibody [EPR3327] (AB76500)

Blocking buffer and concentration : 5% NFDM/TBST.

Diluting buffer and concentration : 5% NFDM /TBST

All lanes:

Western blot - Anti-LRPAP1 antibody [EPR3327] (ab76500) at 1/3000 dilution

Lane 1:

Human fetal kidney tissue lysate at 10 µg

Lane 2:

Mouse kidney tissue lysate at 10 µg

Lane 3:

Rat kidney tissue lysate at 10 µg

Lane 4:

293T cell lysate at 10 µg

Secondary

All lanes:

Peroxidase-conjugated goat anti-rabbit IgG at 1/1000 dilution

Predicted band size: 41 kDa

Observed band size: 45 kDa

false

Western blot - Anti-LRPAP1 antibody [EPR3327] (AB76500)
  • WB

Lab

Western blot - Anti-LRPAP1 antibody [EPR3327] (AB76500)

Blocking buffer and concentration : 5% NFDM/TBST.

Diluting buffer and concentration : 5% NFDM /TBST

All lanes:

Western blot - Anti-LRPAP1 antibody [EPR3327] (ab76500) at 1/6000 dilution

Lane 1:

Human fetal kidney tissue lysate at 10 µg

Lane 2:

Mouse kidney tissue lysate at 10 µg

Lane 3:

Rat kidney tissue lysate at 10 µg

Lane 4:

293T cell lysate at 10 µg

Secondary

All lanes:

Peroxidase-conjugated goat anti-rabbit IgG at 1/1000 dilution

Predicted band size: 41 kDa

Observed band size: 45 kDa

false

  • Carrier free

    Anti-LRPAP1 antibody [EPR3327] - BSA and Azide free

Key facts

Host species

Rabbit

Clonality

Monoclonal

Clone number

EPR3327

Isotype

IgG

Carrier free

No

Reacts with

Mouse, Rat, Human

Applications

IHC-P, IP, WB

applications

Immunogen

The exact immunogen used to generate this antibody is proprietary information.

Reactivity data

{ "title": "Reactivity Data", "filters": { "stats": ["", "Species", "Dilution Info", "Notes"], "tabs": { "all-applications": {"fullname" : "All Applications", "shortname": "All Applications"}, "IHCP" : {"fullname" : "Immunohistochemistry (Formalin/PFA-fixed paraffin-embedded sections)", "shortname":"IHC-P"}, "IP" : {"fullname" : "Immunoprecipitation", "shortname":"IP"}, "FlowCyt" : {"fullname" : "Flow Cytometry", "shortname":"Flow Cyt"}, "WB" : {"fullname" : "Western blot", "shortname":"WB"}, "ICCIF" : {"fullname" : "Immunocytochemistry/ Immunofluorescence", "shortname":"ICC/IF"} }, "product-promise": { "all": "all", "testedAndGuaranteed": "tested", "guaranteed": "expected", "predicted": "predicted", "notRecommended": "not-recommended" } }, "values": { "Human": { "IHCP-species-checked": "testedAndGuaranteed", "IHCP-species-dilution-info": "1/100 - 1/200", "IHCP-species-notes": "<p></p>", "IP-species-checked": "testedAndGuaranteed", "IP-species-dilution-info": "1/50 - 1/200", "IP-species-notes": "<p></p>", "FlowCyt-species-checked": "notRecommended", "FlowCyt-species-dilution-info": "", "FlowCyt-species-notes": "<p><a href='/en-us/products/primary-antibodies/rabbit-igg-monoclonal-epr25a-isotype-control-ab172730'>ab172730</a> - Rabbit monoclonal IgG, is suitable for use as an isotype control with this antibody.</p>", "WB-species-checked": "testedAndGuaranteed", "WB-species-dilution-info": "1/1000 - 1/10000", "WB-species-notes": "<p></p>", "ICCIF-species-checked": "notRecommended", "ICCIF-species-dilution-info": "", "ICCIF-species-notes": "<p></p>" }, "Mouse": { "IHCP-species-checked": "guaranteed", "IHCP-species-dilution-info": "", "IHCP-species-notes": "", "IP-species-checked": "guaranteed", "IP-species-dilution-info": "", "IP-species-notes": "", "FlowCyt-species-checked": "notRecommended", "FlowCyt-species-dilution-info": "", "FlowCyt-species-notes": "<p><a href='/en-us/products/primary-antibodies/rabbit-igg-monoclonal-epr25a-isotype-control-ab172730'>ab172730</a> - Rabbit monoclonal IgG, is suitable for use as an isotype control with this antibody.</p>", "WB-species-checked": "testedAndGuaranteed", "WB-species-dilution-info": "1/1000 - 1/10000", "WB-species-notes": "<p></p>", "ICCIF-species-checked": "notRecommended", "ICCIF-species-dilution-info": "", "ICCIF-species-notes": "<p></p>" }, "Rat": { "IHCP-species-checked": "guaranteed", "IHCP-species-dilution-info": "", "IHCP-species-notes": "", "IP-species-checked": "guaranteed", "IP-species-dilution-info": "", "IP-species-notes": "", "FlowCyt-species-checked": "notRecommended", "FlowCyt-species-dilution-info": "", "FlowCyt-species-notes": "<p><a href='/en-us/products/primary-antibodies/rabbit-igg-monoclonal-epr25a-isotype-control-ab172730'>ab172730</a> - Rabbit monoclonal IgG, is suitable for use as an isotype control with this antibody.</p>", "WB-species-checked": "testedAndGuaranteed", "WB-species-dilution-info": "1/1000 - 1/10000", "WB-species-notes": "<p></p>", "ICCIF-species-checked": "notRecommended", "ICCIF-species-dilution-info": "", "ICCIF-species-notes": "<p></p>" } } }

Product details

Patented technology
Our RabMAb® technology is a patented hybridoma-based technology for making rabbit monoclonal antibodies. For details on our patents, please refer to RabMAb® patents.

What are the advantages of a recombinant monoclonal antibody?
This product is a recombinant monoclonal antibody, which offers several advantages including:

  • - High batch-to-batch consistency and reproducibility
  • - Improved sensitivity and specificity
  • - Long-term security of supply
  • - Animal-free batch production

For more information, read more on recombinant antibodies.

Properties and storage information

Form
Liquid
Purification technique
Affinity purification Protein A
Storage buffer
pH: 7.2 - 7.4 Preservative: 0.01% Sodium azide Constituents: PBS, 40% Glycerol (glycerin, glycerine), 0.05% BSA
Shipped at conditions
Blue Ice
Appropriate short-term storage duration
1-2 weeks
Appropriate short-term storage conditions
+4°C
Appropriate long-term storage conditions
-20°C
Aliquoting information
Upon delivery aliquot
Storage information
Avoid freeze / thaw cycle

Product protocols

For this product, it's our understanding that no specific protocols are required. You can visit:

Target data

Molecular chaperone for LDL receptor-related proteins that may regulate their ligand binding activity along the secretory pathway.
See full target information LRPAP1

Publications (4)

Recent publications for all applications. Explore the full list and refine your search

Molecular cell 83:4304-4317.e8 PubMed37949069

2023

FMRP phosphorylation modulates neuronal translation through YTHDF1.

Applications

Unspecified application

Species

Unspecified reactive species

Zhongyu Zou,Jiangbo Wei,Yantao Chen,Yunhee Kang,Hailing Shi,Fan Yang,Zhuoyue Shi,Shijie Chen,Ying Zhou,Caraline Sepich-Poore,Xiaoxi Zhuang,Xiaoming Zhou,Hualiang Jiang,Zhexing Wen,Peng Jin,Cheng Luo,Chuan He

Signal transduction and targeted therapy 8:374 PubMed37743411

2023

Secreted LRPAP1 binds and triggers IFNAR1 degradation to facilitate virus evasion from cellular innate immunity.

Applications

Unspecified application

Species

Unspecified reactive species

Huangcan Li,Xiong Wang,Yiran Wang,Yichen Li,Ying Chen,Yin-Ting Wong,Jufang He,Ming-Liang He

The Journal of biological chemistry 297:100842 PubMed34058195

2021

Molecular chaperone RAP interacts with LRP1 in a dynamic bivalent mode and enhances folding of ligand-binding regions of other LDLR family receptors.

Applications

Unspecified application

Species

Unspecified reactive species

Ekaterina Marakasova,Philip Olivares,Elena Karnaukhova,Haarin Chun,Nancy E Hernandez,James H Kurasawa,Gabriela U Hassink,Svetlana A Shestopal,Dudley K Strickland,Andrey G Sarafanov

Oncotarget 10:810-824 PubMed30783512

2019

Transforming growth factor β-induced epithelial-to-mesenchymal signature predicts metastasis-free survival in non-small cell lung cancer.

Applications

Unspecified application

Species

Unspecified reactive species

Edna Gordian,Eric A Welsh,Nicholas Gimbrone,Erin M Siegel,David Shibata,Ben C Creelan,William Douglas Cress,Steven A Eschrich,Eric B Haura,Teresita Muñoz-Antonia
View all publications

Product promise

We are committed to supporting your work with high-quality reagents, and we're here for you every step of the way. In the unlikely event that one of our products does not perform as expected, you're protected by our Product Promise.
For full details, please see our Terms & Conditions

Please note: All products are 'FOR RESEARCH USE ONLY. NOT FOR USE IN DIAGNOSTIC OR THERAPEUTIC PROCEDURES'.

For licensing inquiries, please contact partnerships@abcam.com