JavaScript is disabled in your browser. Please enable JavaScript to view this website.
AB247482

Anti-LRPAP1 antibody [EPR3327] - BSA and Azide free

Be the first to review this product! Submit a review

|

(0 Publication)

Rabbit Recombinant Monoclonal LRPAP1 antibody. Carrier free. Suitable for IHC-P, IP, WB and reacts with Human, Mouse, Rat samples.

View Alternative Names

A2MRAP, LRPAP1, Alpha-2-macroglobulin receptor-associated protein, Alpha-2-MRAP, Low density lipoprotein receptor-related protein-associated protein 1, RAP

7 Images
Western blot - Anti-LRPAP1 antibody [EPR3327] - BSA and Azide free (AB247482)
  • WB

Lab

Western blot - Anti-LRPAP1 antibody [EPR3327] - BSA and Azide free (AB247482)

This data was developed using ab76500, the same antibody clone in a different buffer formulation.

Blocking and dilution buffer : 5% NFDM/TBST.

All lanes:

Western blot - Anti-LRPAP1 antibody [EPR3327] (<a href='/en-us/products/primary-antibodies/lrpap1-antibody-epr3327-ab76500'>ab76500</a>) at 1/6000 dilution

Lane 1:

Human fetal kidney tissue lysate at 10 µg

Lane 2:

Mouse kidney tissue lysate at 10 µg

Lane 3:

Rat kidney tissue lysate at 10 µg

Lane 4:

293T cell lysate at 10 µg

Secondary

All lanes:

Peroxidase-conjugated goat anti-rabbit IgG at 1/1000 dilution

Predicted band size: 41 kDa

Observed band size: 45 kDa

false

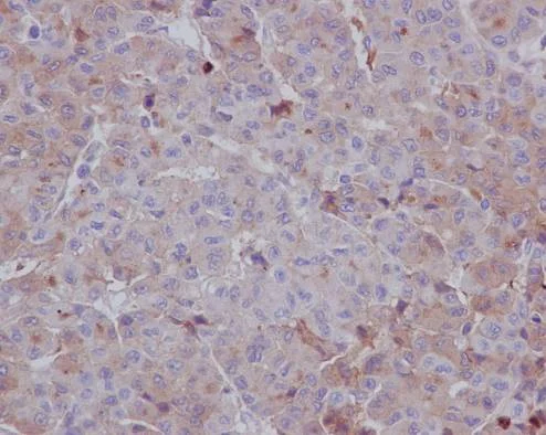
Immunohistochemistry (Formalin/PFA-fixed paraffin-embedded sections) - Anti-LRPAP1 antibody [EPR3327] - BSA and Azide free (AB247482)
  • IHC-P

Unknown

Immunohistochemistry (Formalin/PFA-fixed paraffin-embedded sections) - Anti-LRPAP1 antibody [EPR3327] - BSA and Azide free (AB247482)

This data was developed using ab76500, the same antibody clone in a different buffer formulation.

Immunohistochemistry (Formalin/PFA-fixed paraffin-embedded sections) analysis of human hepatocellular carcinoma tissue labelling LRPAP1 with purified ab76500 at 1/100. Heat mediated antigen retrieval was performed using Tris/EDTA buffer pH 9. A prediluted HRP-polymer conjugated anti-rabbit IgG was used as the secondary antibody. Counterstained with Hematoxylin.

Immunohistochemistry (Formalin/PFA-fixed paraffin-embedded sections) - Anti-LRPAP1 antibody [EPR3327] - BSA and Azide free (AB247482)
  • IHC-P

Unknown

Immunohistochemistry (Formalin/PFA-fixed paraffin-embedded sections) - Anti-LRPAP1 antibody [EPR3327] - BSA and Azide free (AB247482)

This data was developed using ab76500, the same antibody clone in a different buffer formulation.

Immunohistochemistry (Formalin/PFA-fixed paraffin-embedded sections) analysis of human brain tissue labelling LRPAP1 with unpurified ab76500 at a 1/100 dilution.

Perform heat mediated antigen retrieval before commencing with IHC staining protocol.

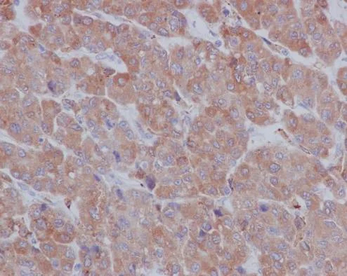
Immunohistochemistry (Formalin/PFA-fixed paraffin-embedded sections) - Anti-LRPAP1 antibody [EPR3327] - BSA and Azide free (AB247482)
  • IHC-P

Unknown

Immunohistochemistry (Formalin/PFA-fixed paraffin-embedded sections) - Anti-LRPAP1 antibody [EPR3327] - BSA and Azide free (AB247482)

This data was developed using ab76500, the same antibody clone in a different buffer formulation.

Immunohistochemistry (Formalin/PFA-fixed paraffin-embedded sections) analysis of human hepatocellular carcinoma tissue labelling LRPAP1 with unpurified ab76500 at 1/200. Heat mediated antigen retrieval was performed using Tris/EDTA buffer pH 9. A prediluted HRP-polymer conjugated anti-rabbit IgG was used as the secondary antibody. Counterstained with Hematoxylin.

Immunoprecipitation - Anti-LRPAP1 antibody [EPR3327] - BSA and Azide free (AB247482)
  • IP

Lab

Immunoprecipitation - Anti-LRPAP1 antibody [EPR3327] - BSA and Azide free (AB247482)

This data was developed using ab76500, the same antibody clone in a different buffer formulation.

ab76500 (purified) at 1/150 immunoprecipitating LRPAP1 in human fetal kidney tissue lysate (Lane 1). Lane 2 - PBS. For western blotting, a HRP-conjugated anti-rabbit IgG, specific to the non-reduced form of IgG was used as the secondary antibody (1/1500).

Blocking and dilution buffer : 5% NFDM/TBST.

All lanes:

Immunoprecipitation - Anti-LRPAP1 antibody [EPR3327] (<a href='/en-us/products/primary-antibodies/lrpap1-antibody-epr3327-ab76500'>ab76500</a>)

Predicted band size: 41 kDa

Observed band size: 45 kDa

false

Immunoprecipitation - Anti-LRPAP1 antibody [EPR3327] - BSA and Azide free (AB247482)
  • IP

Lab

Immunoprecipitation - Anti-LRPAP1 antibody [EPR3327] - BSA and Azide free (AB247482)

This data was developed using ab76500, the same antibody clone in a different buffer formulation.

ab76500 (unpurified) at 1/300 immunoprecipitating LRPAP1 in human fetal kidney tissue lysate (Lane 1). Lane 2 - PBS. For western blotting, a HRP-conjugated anti-rabbit IgG, specific to the non-reduced form of IgG was used as the secondary antibody (1/1500).

Blocking and dilution buffer : 5% NFDM/TBST.

All lanes:

Immunoprecipitation - Anti-LRPAP1 antibody [EPR3327] (<a href='/en-us/products/primary-antibodies/lrpap1-antibody-epr3327-ab76500'>ab76500</a>)

Predicted band size: 41 kDa

Observed band size: 45 kDa

false

Western blot - Anti-LRPAP1 antibody [EPR3327] - BSA and Azide free (AB247482)
  • WB

Lab

Western blot - Anti-LRPAP1 antibody [EPR3327] - BSA and Azide free (AB247482)

This data was developed using ab76500, the same antibody clone in a different buffer formulation.

Blocking and dilution buffer : 5% NFDM/TBST.

All lanes:

Western blot - Anti-LRPAP1 antibody [EPR3327] (<a href='/en-us/products/primary-antibodies/lrpap1-antibody-epr3327-ab76500'>ab76500</a>) at 1/3000 dilution

Lane 1:

Human fetal kidney tissue lysate at 10 µg

Lane 2:

Mouse kidney tissue lysate at 10 µg

Lane 3:

Rat kidney tissue lysate at 10 µg

Lane 4:

293T cell lysate at 10 µg

Secondary

All lanes:

Peroxidase-conjugated goat anti-rabbit IgG at 1/1000 dilution

Predicted band size: 41 kDa

Observed band size: 45 kDa

false

Key facts

Host species

Rabbit

Clonality

Monoclonal

Clone number

EPR3327

Isotype

IgG

Carrier free

Yes

Reacts with

Mouse, Rat, Human

Applications

IHC-P, IP, WB

applications

Immunogen

The exact immunogen used to generate this antibody is proprietary information.

Reactivity data

{ "title": "Reactivity Data", "filters": { "stats": ["", "Species", "Dilution Info", "Notes"], "tabs": { "all-applications": {"fullname" : "All Applications", "shortname": "All Applications"}, "IHCP" : {"fullname" : "Immunohistochemistry (Formalin/PFA-fixed paraffin-embedded sections)", "shortname":"IHC-P"}, "IP" : {"fullname" : "Immunoprecipitation", "shortname":"IP"}, "FlowCyt" : {"fullname" : "Flow Cytometry", "shortname":"Flow Cyt"}, "WB" : {"fullname" : "Western blot", "shortname":"WB"}, "ICCIF" : {"fullname" : "Immunocytochemistry/ Immunofluorescence", "shortname":"ICC/IF"} }, "product-promise": { "all": "all", "testedAndGuaranteed": "tested", "guaranteed": "expected", "predicted": "predicted", "notRecommended": "not-recommended" } }, "values": { "Human": { "IHCP-species-checked": "testedAndGuaranteed", "IHCP-species-dilution-info": "", "IHCP-species-notes": "<p></p>", "IP-species-checked": "testedAndGuaranteed", "IP-species-dilution-info": "", "IP-species-notes": "<p></p>", "FlowCyt-species-checked": "notRecommended", "FlowCyt-species-dilution-info": "", "FlowCyt-species-notes": "<p></p>", "WB-species-checked": "testedAndGuaranteed", "WB-species-dilution-info": "", "WB-species-notes": "<p></p>", "ICCIF-species-checked": "notRecommended", "ICCIF-species-dilution-info": "", "ICCIF-species-notes": "<p></p>" }, "Mouse": { "IHCP-species-checked": "guaranteed", "IHCP-species-dilution-info": "", "IHCP-species-notes": "", "IP-species-checked": "guaranteed", "IP-species-dilution-info": "", "IP-species-notes": "", "FlowCyt-species-checked": "notRecommended", "FlowCyt-species-dilution-info": "", "FlowCyt-species-notes": "<p></p>", "WB-species-checked": "testedAndGuaranteed", "WB-species-dilution-info": "", "WB-species-notes": "<p></p>", "ICCIF-species-checked": "notRecommended", "ICCIF-species-dilution-info": "", "ICCIF-species-notes": "<p></p>" }, "Rat": { "IHCP-species-checked": "guaranteed", "IHCP-species-dilution-info": "", "IHCP-species-notes": "", "IP-species-checked": "guaranteed", "IP-species-dilution-info": "", "IP-species-notes": "", "FlowCyt-species-checked": "notRecommended", "FlowCyt-species-dilution-info": "", "FlowCyt-species-notes": "<p></p>", "WB-species-checked": "testedAndGuaranteed", "WB-species-dilution-info": "", "WB-species-notes": "<p></p>", "ICCIF-species-checked": "notRecommended", "ICCIF-species-dilution-info": "", "ICCIF-species-notes": "<p></p>" } } }

Product details

ab247482 is the carrier-free version of ab76500.

Patented technology
Our RabMAb® technology is a patented hybridoma-based technology for making rabbit monoclonal antibodies. For details on our patents, please refer to RabMAb® patents.

What are the advantages of a recombinant monoclonal antibody?
This product is a recombinant monoclonal antibody, which offers several advantages including:

  • - High batch-to-batch consistency and reproducibility
  • - Improved sensitivity and specificity
  • - Long-term security of supply
  • - Animal-free batch production

For more information, read more on recombinant antibodies.

Conjugation ready
Our carrier-free antibodies are typically supplied in a PBS-only formulation, purified and free of BSA, sodium azide and glycerol. This conjugation-ready format is designed for use with fluorochromes, metal isotopes, oligonucleotides, and enzymes, which makes them ideal for antibody labelling, functional and cell-based assays, flow-based assays (e.g. mass cytometry) and Multiplex Imaging applications.

Use our conjugation kits for antibody conjugates that are ready-to-use in as little as 20 minutes with 1 minute hands-on-time and 100% antibody recovery: available for fluorescent dyes, HRP, biotin and gold.

Compatibility
This product is compatible with the Maxpar® Antibody Labeling Kit from Fluidigm, without the need for antibody preparation. Maxpar® is a trademark of Fluidigm Canada Inc.

Properties and storage information

Form
Liquid
Purification technique
Affinity purification Protein A
Storage buffer
pH: 7.2 - 7.4 Constituents: PBS
Shipped at conditions
Blue Ice
Appropriate short-term storage conditions
+4°C
Appropriate long-term storage conditions
+4°C
Storage information
Do Not Freeze

Product protocols

For this product, it's our understanding that no specific protocols are required. You can visit:

Target data

Molecular chaperone for LDL receptor-related proteins that may regulate their ligand binding activity along the secretory pathway.
See full target information LRPAP1

Product promise

We are committed to supporting your work with high-quality reagents, and we're here for you every step of the way. In the unlikely event that one of our products does not perform as expected, you're protected by our Product Promise.
For full details, please see our Terms & Conditions

Please note: All products are 'FOR RESEARCH USE ONLY. NOT FOR USE IN DIAGNOSTIC OR THERAPEUTIC PROCEDURES'.

For licensing inquiries, please contact partnerships@abcam.com