JavaScript is disabled in your browser. Please enable JavaScript to view this website.
AB205022

Anti-LRPPRC/GP130 antibody

Be the first to review this product! Submit a review

|

(2 Publications)

Rabbit Polyclonal LRPPRC/GP130 antibody. Suitable for IHC-P, IP, WB and reacts with Human samples. Cited in 2 publications. Immunogen corresponding to Synthetic Peptide within Human LRPPRC aa 1300 to C-terminus.

View Alternative Names

LRP130, LRPPRC, 130 kDa leucine-rich protein, GP130, LRP 130

4 Images
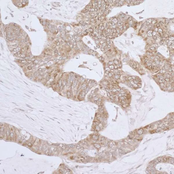
Immunohistochemistry (Formalin/PFA-fixed paraffin-embedded sections) - Anti-LRPPRC/GP130 antibody (AB205022)
  • IHC-P

Supplier Data

Immunohistochemistry (Formalin/PFA-fixed paraffin-embedded sections) - Anti-LRPPRC/GP130 antibody (AB205022)

Immunohistochemical analysis of formalin-fixed, paraffin-embedded human ovarian carcinoma tissue labeling LRPPRC/GP130 with ab205022 at a 1/1000 dilution.

Immunoprecipitation - Anti-LRPPRC/GP130 antibody (AB205022)
  • IP

Supplier Data

Immunoprecipitation - Anti-LRPPRC/GP130 antibody (AB205022)

Detection of human LRPPRC/GP130 by immunoprecipitation of whole cell lysate (1.0 mg per IP reaction; 20% of IP loaded) from HEK293T cells prepared using NETN lysis buffer.

Lane 1 : Rabbit polyclonal to LRPPRC/GP130 (ab205022) at 6 μg/mg lysate

Lane 2 : Control IgG

Detection : Chemiluminescence with an exposure time of 30 seconds. ab70386 was used at 0.4 ug/mL for Western blot.

All lanes:

Immunoprecipitation - Anti-LRPPRC/GP130 antibody (ab205022)

Predicted band size: 158 kDa

false

Western blot - Anti-LRPPRC/GP130 antibody (AB205022)
  • WB

Supplier Data

Western blot - Anti-LRPPRC/GP130 antibody (AB205022)

All lanes:

Western blot - Anti-LRPPRC/GP130 antibody (ab205022) at 0.1 µg/mL

Lane 1:

HeLa whole cell lysate at 50 µg

Lane 2:

293T whole cell lysate at 50 µg

Lane 3:

Jurkat whole cell lysate at 50 µg

Predicted band size: 158 kDa

true

Exposure time: 3min

Western blot - Anti-LRPPRC/GP130 antibody (AB205022)
  • WB

CiteAb

Western blot - Anti-LRPPRC/GP130 antibody (AB205022)

LRPPRC/GP130 western blot using anti-LRPPRC/GP130 antibody ab205022. Publication image and figure legend from Xu, X., Ma, C., et al., 2019, Front Pharmacol, PubMed 31040785.

ab205022 was used in this publication in western blot. This may not be the same as the application(s) guaranteed by Abcam. For a full list of applications guaranteed by Abcam for ab205022 please see the product overview.

ZEB1-AS1 regulates mRNA stability of NOD2 via recruiting LRPPRC. (A) LRPPRC was silenced by specific siRNAs at both transcript (down panel) and protein (upper panel) levels, **P < 0.01 (Mann–Whitney U-test). (B) NOD2 expression was detected in HUVECs overexpressed with ZEB1-AS1 and/or silenced with LRPPRC, *P < 0.05 (Mann–Whitney U-test). (C) HUVECs lysates were incubated with in vitro synthesized, biotin-labeled control LacZ DNA probes or DNA probes against ZEB1-AS1 for the biotinylated oligonucleotide pulldown assay. The precipitates from the pulldown were analyzed by qRT-PCR to detect the interacting mRNAs. **P < 0.01 (Mann–Whitney U-test) compared to respective LacZ probes. (D) RIP was performed using anti-LRPPRC and control IgG antibodies, followed by qRT-PCR to examine the enrichment of NOD2 and U6. U6 served as negative controls. **P < 0.01 (Mann–Whitney U-test) compared to respective IgG controls. (E) HUVECs expressing si-ZEB1-AS1#2 or si-LRPPRC were treated with actinomycin D (5 μg/mL) for the indicated periods of time. *P < 0.05 (Mann–Whitney U-test) compared to si-NC group (F). HUVECs expressing si-NC, or p-ZEB1-AS1, or p-ZEB1-AS1 + si-LRPPRC were treated with actinomycin D (5 μg/mL) for the indicated periods of time. Total RNA was purified and then analyzed using qRT-PCR to examine the mRNA half-life of NOD2. *P < 0.05 (Mann–Whitney U-test) compared to si-NC group, and #P < 0.05 (Mann–Whitney U-test) compared to p-ZEB1-AS1 group.

false

Key facts

Host species

Rabbit

Clonality

Polyclonal

Isotype

IgG

Carrier free

No

Reacts with

Human

Applications

IHC-P, IP, WB

applications

Immunogen

Synthetic Peptide within Human LRPPRC aa 1300 to C-terminus. The exact immunogen used to generate this antibody is proprietary information.

P42704

Reactivity data

{ "title": "Reactivity Data", "filters": { "stats": ["", "Species", "Dilution Info", "Notes"], "tabs": { "all-applications": {"fullname" : "All Applications", "shortname": "All Applications"}, "IHCP" : {"fullname" : "Immunohistochemistry (Formalin/PFA-fixed paraffin-embedded sections)", "shortname":"IHC-P"}, "IP" : {"fullname" : "Immunoprecipitation", "shortname":"IP"}, "WB" : {"fullname" : "Western blot", "shortname":"WB"} }, "product-promise": { "all": "all", "testedAndGuaranteed": "tested", "guaranteed": "expected", "predicted": "predicted", "notRecommended": "not-recommended" } }, "values": { "Human": { "IHCP-species-checked": "testedAndGuaranteed", "IHCP-species-dilution-info": "1/500 - 1/2000", "IHCP-species-notes": "<p></p> Perform heat-mediated antigen retrieval with citrate buffer pH 6 before commencing with IHC staining protocol.", "IP-species-checked": "testedAndGuaranteed", "IP-species-dilution-info": "2-10 µg/mg of lysate", "IP-species-notes": "<p></p>", "WB-species-checked": "testedAndGuaranteed", "WB-species-dilution-info": "1/2000 - 1/10000", "WB-species-notes": "<p></p>" }, "Chimpanzee": { "IHCP-species-checked": "predicted", "IHCP-species-dilution-info": "", "IHCP-species-notes": "", "IP-species-checked": "predicted", "IP-species-dilution-info": "", "IP-species-notes": "", "WB-species-checked": "predicted", "WB-species-dilution-info": "", "WB-species-notes": "" } } }

Properties and storage information

Form
Liquid
Purification technique
Affinity purification Immunogen
Storage buffer
pH: 7 - 8 Preservative: 0.09% Sodium azide Constituents: 99% Tris citrate/phosphate
Shipped at conditions
Blue Ice
Appropriate short-term storage duration
1-2 weeks
Appropriate short-term storage conditions
+4°C
Appropriate long-term storage conditions
+4°C
Aliquoting information
Upon delivery aliquot
Storage information
Avoid freeze / thaw cycle

Product protocols

For this product, it's our understanding that no specific protocols are required. You can visit:

Target data

May play a role in RNA metabolism in both nuclei and mitochondria. In the nucleus binds to HNRPA1-associated poly(A) mRNAs and is part of nmRNP complexes at late stages of mRNA maturation which are possibly associated with nuclear mRNA export. Positively modulates nuclear export of mRNAs containing the EIF4E sensitivity element (4ESE) by binding simultaneously to both EIF4E and the 4ESE and acting as a platform for assembly for the RNA export complex (PubMed : 19262567, PubMed : 28325843). Also binds to exportin XPO1/CRM1 to engage the nuclear pore and traffic the bound mRNAs to the cytoplasm (PubMed : 28325843). May bind mature mRNA in the nucleus outer membrane. In mitochondria binds to poly(A) mRNA. Plays a role in translation or stability of mitochondrially encoded cytochrome c oxidase (COX) subunits. May be involved in transcription regulation. Cooperates with PPARGC1A to regulate certain mitochondrially encoded genes and gluconeogenic genes and may regulate docking of PPARGC1A to transcription factors. Seems to be involved in the transcription regulation of the multidrug-related genes MDR1 and MVP. Part of a nuclear factor that binds to the invMED1 element of MDR1 and MVP gene promoters. Binds single-stranded DNA (By similarity). Required for maintaining mitochondrial potential (PubMed : 23822101). Suppresses the initiation of basal levels of autophagy and mitophagy by sustaining BCL2 levels (PubMed : 23822101).
See full target information LRPPRC

Publications (2)

Recent publications for all applications. Explore the full list and refine your search

Communications biology 5:237 PubMed35301428

2022

KPT330 improves Cas9 precision genome- and base-editing by selectively regulating mRNA nuclear export.

Applications

Unspecified application

Species

Unspecified reactive species

Yan-Ru Cui,Shao-Jie Wang,Tiancheng Ma,Peihong Yu,Jun Chen,Taijie Guo,Genyi Meng,Biao Jiang,Jiajia Dong,Jia Liu

Frontiers in pharmacology 10:397 PubMed31040785

2019

lncRNA ZEB1-AS1 Mediates Oxidative Low-Density Lipoprotein-Mediated Endothelial Cells Injury by Post-transcriptional Stabilization of NOD2.

Applications

Unspecified application

Species

Unspecified reactive species

Xiaohui Xu,Congmin Ma,Zhihui Duan,Yanjiao Du,Chao Liu
View all publications

Product promise

We are committed to supporting your work with high-quality reagents, and we're here for you every step of the way. In the unlikely event that one of our products does not perform as expected, you're protected by our Product Promise.
For full details, please see our Terms & Conditions

Please note: All products are 'FOR RESEARCH USE ONLY. NOT FOR USE IN DIAGNOSTIC OR THERAPEUTIC PROCEDURES'.

For licensing inquiries, please contact partnerships@abcam.com