JavaScript is disabled in your browser. Please enable JavaScript to view this website.
AB259927

Anti-LRPPRC/GP130 antibody [EPR24052-38]

  • BOND RX™ Validated
  • 20ul selling size
  • RabMAb
  • Recombinant
  • What is this?

Be the first to review this product! Submit a review

|

(5 Publications)

Rabbit Recombinant Monoclonal LRPPRC/GP130 antibody. Suitable for IP, WB, ICC/IF, Flow Cyt (Intra), IHC-P and reacts with Mouse, Human, Rat samples. Cited in 5 publications.

View Alternative Names

LRP130, LRPPRC, 130 kDa leucine-rich protein, GP130, LRP 130

12 Images
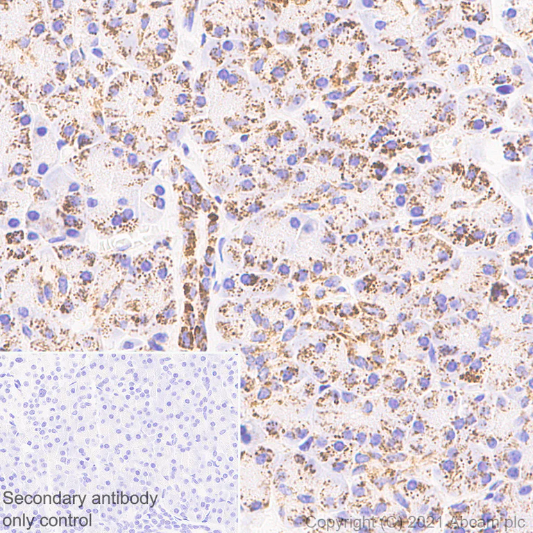
Immunohistochemistry (Formalin/PFA-fixed paraffin-embedded sections) - Anti-LRPPRC/GP130 antibody [EPR24052-38] (AB259927)
  • IHC-P

Supplier Data

Immunohistochemistry (Formalin/PFA-fixed paraffin-embedded sections) - Anti-LRPPRC/GP130 antibody [EPR24052-38] (AB259927)

Immunohistochemical analysis of paraffin-embedded Human pancreas tissue labelling LRPPRC/GP130 with ab259927 at 1/100 (5.84 ug/ml) followed by a ready to use LeicaDS9800 (Bond™ Polymer Refine Detection). Positive staining on human pancreas. The section was incubated with ab259927 for 30 mins at room temperature. The immunostaining was performed on a Leica Biosystems BOND® RX instrument Counterstained with Hematoxylin.

Secondary antibody only control : Secondary antibody is a ready to use LeicaDS9800 (Bond™ Polymer Refine Detection).

Heat mediated antigen retrieval with Tris-EDTA buffer (pH 9.0, epitope retrieval solution2) for 20 mins

Flow Cytometry (Intracellular) - Anti-LRPPRC/GP130 antibody [EPR24052-38] (AB259927)
  • Flow Cyt (Intra)

Supplier Data

Flow Cytometry (Intracellular) - Anti-LRPPRC/GP130 antibody [EPR24052-38] (AB259927)

Flow cytometric analysis of HeLa (Human cervix adenocarcinoma epithelial cell) cells labelling LRPPRC/GP130 with ab259927 at 1/50 dilution (1ug) (Red) compared with a Rabbit monoclonal IgG (ab172730) (Black) isotype control and an unlabelled control (cells without incubation with primary antibody and secondary antibody) (Blue). Goat F(ab')2 Anti-Rabbit IgG(DyLight® 488, ab98507) at 1/500 dilution was used as the secondary antibody.

Immunohistochemistry (Formalin/PFA-fixed paraffin-embedded sections) - Anti-LRPPRC/GP130 antibody [EPR24052-38] (AB259927)
  • IHC-P

Supplier Data

Immunohistochemistry (Formalin/PFA-fixed paraffin-embedded sections) - Anti-LRPPRC/GP130 antibody [EPR24052-38] (AB259927)

Immunohistochemical analysis of paraffin-embedded Human colon tissue labelling LRPPRC/GP130 with ab259927 at 1/100 (5.84 ug/ml) followed by a ready to use LeicaDS9800 (Bond™ Polymer Refine Detection). Positive staining on human colon. The section was incubated with ab259927 for 30 mins at room temperature. The immunostaining was performed on a Leica Biosystems BOND® RX instrument Counterstained with Hematoxylin.

Secondary antibody only control : Secondary antibody is a ready to use LeicaDS9800 (Bond™ Polymer Refine Detection).

Heat mediated antigen retrieval with Tris-EDTA buffer (pH 9.0, epitope retrieval solution2) for 20 mins

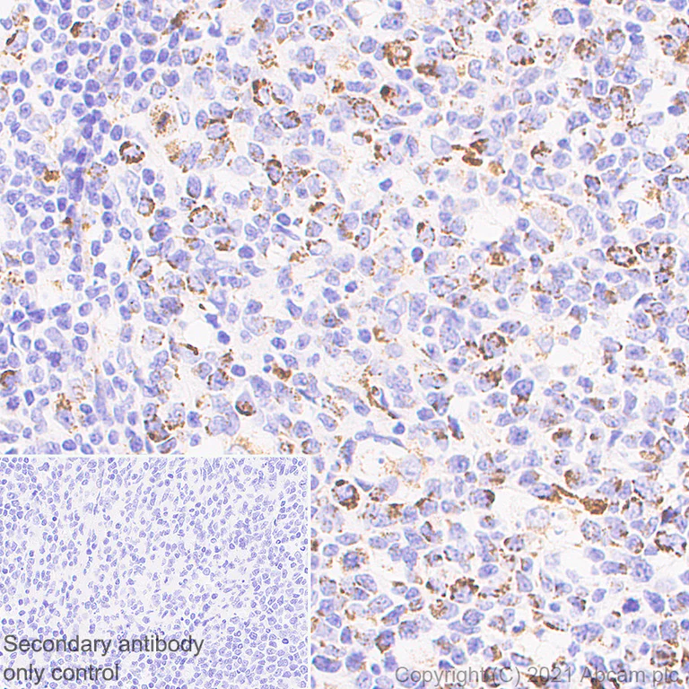
Immunohistochemistry (Formalin/PFA-fixed paraffin-embedded sections) - Anti-LRPPRC/GP130 antibody [EPR24052-38] (AB259927)
  • IHC-P

Supplier Data

Immunohistochemistry (Formalin/PFA-fixed paraffin-embedded sections) - Anti-LRPPRC/GP130 antibody [EPR24052-38] (AB259927)

Immunohistochemical analysis of paraffin-embedded Human tonsil tissue labelling LRPPRC/GP130 with ab259927 at 1/100 (5.84 ug/ml) followed by a ready to use LeicaDS9800 (Bond™ Polymer Refine Detection). Positive staining on human tonsil. The section was incubated with ab259927 for 30 mins at room temperature. The immunostaining was performed on a Leica Biosystems BOND® RX instrument Counterstained with Hematoxylin.

Secondary antibody only control : Secondary antibody is a ready to use LeicaDS9800 (Bond™ Polymer Refine Detection).

Heat mediated antigen retrieval with Tris-EDTA buffer (pH 9.0, epitope retrieval solution2) for 20 mins

Immunohistochemistry (Formalin/PFA-fixed paraffin-embedded sections) - Anti-LRPPRC/GP130 antibody [EPR24052-38] (AB259927)
  • IHC-P

Supplier Data

Immunohistochemistry (Formalin/PFA-fixed paraffin-embedded sections) - Anti-LRPPRC/GP130 antibody [EPR24052-38] (AB259927)

Immunohistochemical analysis of paraffin-embedded Human endometrial carcinoma tissue labelling LRPPRC/GP130 with ab259927 at 1/100 (5.84 ug/ml) followed by a ready to use LeicaDS9800 (Bond™ Polymer Refine Detection). Positive staining on human endometrial carcinoma. The section was incubated with ab259927 for 30 mins at room temperature. The immunostaining was performed on a Leica Biosystems BOND® RX instrument Counterstained with Hematoxylin.

Secondary antibody only control : Secondary antibody is a ready to use LeicaDS9800 (Bond™ Polymer Refine Detection).

Heat mediated antigen retrieval with Tris-EDTA buffer (pH 9.0, epitope retrieval solution2) for 20 mins

Immunocytochemistry/ Immunofluorescence - Anti-LRPPRC/GP130 antibody [EPR24052-38] (AB259927)
  • ICC/IF

Supplier Data

Immunocytochemistry/ Immunofluorescence - Anti-LRPPRC/GP130 antibody [EPR24052-38] (AB259927)

Immunofluorescent analysis of 4% Paraformaldehyde-fixed, 0.1% TritonX-100 permeabilized HeLa cells labelling LRPPRC/GP130 with ab259927 at 1/200 (2.92 ug/ml) dilution, followed by ab150081 Goat Anti-Rabbit IgG H&L (Alexa Fluor® 488) preadsorbed antibody at 1/1000 (2ug/ml) dilution (Green). Confocal image showing co-locolization staining with Mitochondrial Marker in HeLa cells is observed. ab14748 Anti-ATP5A mouse monoclonal antibody - Mitochondrial Marker was used to counterstain tubulin at 1/500 (2ug/ml) dilution (Red). The Nuclear counterstain was DAPI (Blue).

Secondary antibody only control : Secondary antibody is ab150081 Goat Anti-Rabbit IgG H&L (Alexa Fluor® 488) preadsorbed at 1/1000 (2ug/ml) dilution.

Immunoprecipitation - Anti-LRPPRC/GP130 antibody [EPR24052-38] (AB259927)
  • IP

Supplier Data

Immunoprecipitation - Anti-LRPPRC/GP130 antibody [EPR24052-38] (AB259927)

LRPPRC/GP130 was immunoprecipitated from 0.35 mg HeLa (human cervix adenocarcinoma epithelial cell) whole cell lysate 10 ug with ab259927 at 1/30 dilution (2 ug in 0.35mg lysates). Western blot was performed on the immunoprecipitate using ab259927 at 1/1000 dilution. VeriBlot for IP secondary antibody (HRP) (ab131366) was used at 1/5000 dilution.

Lane 1 : HeLa (human cervix adenocarcinoma epithelial cell) whole cell lysate 10 ug

Lane 2 : ab259927 IP in HeLa whole cell lysate

Lane 3 : Rabbit monoclonal IgG (ab172730) instead of ab259927 in HeLa whole cell lysate

Blocking and dilution buffer and concentration : 5% NFDM/TBST.

Exposure time : 3 seconds

All lanes:

Immunoprecipitation - Anti-LRPPRC/GP130 antibody [EPR24052-38] (ab259927)

Predicted band size: 158 kDa

Observed band size: 150 kDa

false

Flow Cytometry (Intracellular) - Anti-LRPPRC/GP130 antibody [EPR24052-38] (AB259927)
  • Flow Cyt (Intra)

Supplier Data

Flow Cytometry (Intracellular) - Anti-LRPPRC/GP130 antibody [EPR24052-38] (AB259927)

Flow cytometric analysis of NIH/3T3 (Mouse embryonic fibroblast) cells labelling LRPPRC/GP130 with ab259927 at 1/500 dilution (0.1ug) (Red) compared with a Rabbit monoclonal IgG (ab172730) (Black) isotype control and an unlabelled control (cells without incubation with primary antibody and secondary antibody) (Blue). Goat F(ab')2 Anti-Rabbit IgG(DyLight® 488, ab98507) at 1/500 dilution was used as the secondary antibody.

Immunocytochemistry/ Immunofluorescence - Anti-LRPPRC/GP130 antibody [EPR24052-38] (AB259927)
  • ICC/IF

Supplier Data

Immunocytochemistry/ Immunofluorescence - Anti-LRPPRC/GP130 antibody [EPR24052-38] (AB259927)

Immunofluorescent analysis of 4% Paraformaldehyde-fixed, 0.1% TritonX-100 permeabilized NIH/3T3 cells labelling LRPPRC/GP130 with ab259927 at 1/200 (2.92 ug/ml) dilution, followed by ab150081 Goat Anti-Rabbit IgG H&L (Alexa Fluor® 488) preadsorbed antibody at 1/1000 (2 ug/ml) dilution (Green). Confocal image showing co-locolization staining with Mitochondrial Marker in NIH/3T3 cells is observed. ab14748 Anti-ATP5A mouse monoclonal antibody - Mitochondrial Marker was used to counterstain tubulin at 1/500 (2 ug/ml) dilution (Red). The Nuclear counterstain was DAPI (Blue).

Secondary antibody only control : Secondary antibody is ab150081 Goat Anti-Rabbit IgG H&L (Alexa Fluor® 488) preadsorbed at 1/1000 (2 ug/ml) dilution.

Immunoprecipitation - Anti-LRPPRC/GP130 antibody [EPR24052-38] (AB259927)
  • IP

Supplier Data

Immunoprecipitation - Anti-LRPPRC/GP130 antibody [EPR24052-38] (AB259927)

LRPPRC/GP130 was immunoprecipitated from 0.35 mg NIH/3T3 (mouse embryonic fibroblast) whole cell lysate 10 ug with ab259927 at 1/30 dilution (2ug in 0.35mg lysates). Western blot was performed on the immunoprecipitate using ab259927 at 1/1000 dilution. VeriBlot for IP secondary antibody (HRP) (ab131366) was used at 1/5000 dilution.

Lane 1 : NIH/3T3 (mouse embryonic fibroblast) whole cell lysate 10 ug
Lane 2 : ab259927 IP in NIH/3T3 whole cell lysate
Lane 3 : Rabbit monoclonal IgG (ab172730) instead of ab259927 in NIH/3T3 whole cell lysate

Blocking and dilution buffer and concentration : 5% NFDM/TBST.

Exposure time : 10 seconds

All lanes:

Immunoprecipitation - Anti-LRPPRC/GP130 antibody [EPR24052-38] (ab259927)

Predicted band size: 158 kDa

Observed band size: 150 kDa

false

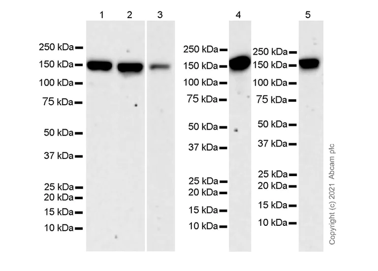
Western blot - Anti-LRPPRC/GP130 antibody [EPR24052-38] (AB259927)
  • WB

Lab

Western blot - Anti-LRPPRC/GP130 antibody [EPR24052-38] (AB259927)

Blocking and diluting buffer and concentration : 5% NFDM/TBST.

Lysates should be made freshly and used in WB immediately to minimize protein degradation.

Exposure time : Lanes 1-2/4-5 : 147 seconds ; Lanes 3 : 3 minutes

All lanes:

Western blot - Anti-LRPPRC/GP130 antibody [EPR24052-38] (ab259927) at 1/5000 dilution

Lane 1:

HeLa (human cervix adenocarcinoma epithelial cell), whole cell lysate at 20 µg

Lane 2:

HEK-293T (human embryonic kidney epithelial cell), whole cell lysate at 20 µg

Lane 3:

PC-12 (rat adrenal gland pheochromocytoma), whole cell lysate at 20 µg

Lane 4:

HepG2 (human hepatocellar carcinoma epithelial cell), whole cell lysate 20 at 20 µg

Lane 5:

SH-SY5Y (human neuroblastoma epithelial cell), whole cell lysate at 20 µg

Secondary

Lane 1:

Western blot - Goat Anti-Rabbit IgG H&L (HRP) (<a href='/en-us/products/secondary-antibodies/goat-rabbit-igg-h-l-hrp-ab97051'>ab97051</a>) at 1/100000 dilution

Lanes 2 - 3:

Western blot - Goat Anti-Rabbit IgG H&L (HRP) (<a href='/en-us/products/secondary-antibodies/goat-rabbit-igg-h-l-hrp-ab97051'>ab97051</a>) at 1/10000 dilution

Lanes 4 - 5:

Goat Anti-Rabbit IgG, (H+L), Peroxidase conjugated (<a href='/en-us/products/secondary-antibodies/goat-rabbit-igg-h-l-hrp-ab97051'>ab97051</a>) at 1/100000 dilution

Predicted band size: 158 kDa

Observed band size: 150 kDa

false

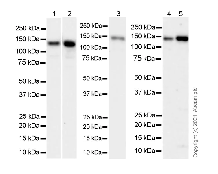
Western blot - Anti-LRPPRC/GP130 antibody [EPR24052-38] (AB259927)
  • WB

Lab

Western blot - Anti-LRPPRC/GP130 antibody [EPR24052-38] (AB259927)

Blocking and diluting buffer and concentration : 5% NFDM/TBST

Exposure time : Lanes 1-2 : 59 seconds ; Lane 3 : 26 seconds Lanes 4-5 : 3 minutes

All lanes:

Western blot - Anti-LRPPRC/GP130 antibody [EPR24052-38] (ab259927) at 1/1000 dilution

Lane 1:

RAW264.7 (mouse Abelson murine leukemia virus-induced tumor macrophage), whole cell lysate at 10 µg

Lane 2:

NIH/3T3 (mouse embryonic fibroblast), whole cell lysate at 10 µg

Lane 3:

Neuro-2a (mouse neuroblastoma neuroblast), whole cell lysate at 10 µg

Lane 4:

Mouse brain tissue lysate at 10 µg

Lane 5:

Mouse heart tissue lysate at 10 µg

Secondary

All lanes:

Goat Anti-Rabbit IgG, (H+L), Peroxidase conjugated (<a href='/en-us/products/secondary-antibodies/goat-rabbit-igg-h-l-hrp-ab97051'>ab97051</a>) at 1/100000 dilution

Predicted band size: 158 kDa

Observed band size: 150 kDa

false

  • Carrier free

    Anti-LRPPRC/GP130 antibody [EPR24052-38] - BSA and Azide free

  • 519 Alexa Fluor® 488

    Alexa Fluor® 488 Anti-LRPPRC/GP130 antibody [EPR24052-38]

  • 665 Alexa Fluor® 647

    Alexa Fluor® 647 Anti-LRPPRC/GP130 antibody [EPR24052-38]

Key facts

Host species

Rabbit

Clonality

Monoclonal

Clone number

EPR24052-38

Isotype

IgG

Carrier free

No

Reacts with

Rat, Human, Mouse

Applications

ICC/IF, IP, IHC-P, WB, Flow Cyt (Intra)

applications

Immunogen

The exact immunogen used to generate this antibody is proprietary information.

Reactivity data

{ "title": "Reactivity Data", "filters": { "stats": ["", "Species", "Dilution Info", "Notes"], "tabs": { "all-applications": {"fullname" : "All Applications", "shortname": "All Applications"}, "IP" : {"fullname" : "Immunoprecipitation", "shortname":"IP"}, "WB" : {"fullname" : "Western blot", "shortname":"WB"}, "ICCIF" : {"fullname" : "Immunocytochemistry/ Immunofluorescence", "shortname":"ICC/IF"}, "FlowCytIntra" : {"fullname" : "Flow Cytometry (Intracellular)", "shortname":"Flow Cyt (Intra)"}, "IHCP" : {"fullname" : "Immunohistochemistry (Formalin/PFA-fixed paraffin-embedded sections)", "shortname":"IHC-P"} }, "product-promise": { "all": "all", "testedAndGuaranteed": "tested", "guaranteed": "expected", "predicted": "predicted", "notRecommended": "not-recommended" } }, "values": { "Human": { "IP-species-checked": "testedAndGuaranteed", "IP-species-dilution-info": "1/30", "IP-species-notes": "<p></p>", "WB-species-checked": "testedAndGuaranteed", "WB-species-dilution-info": "1/1000", "WB-species-notes": "<p></p>", "ICCIF-species-checked": "testedAndGuaranteed", "ICCIF-species-dilution-info": "1/200", "ICCIF-species-notes": "<p></p>", "FlowCytIntra-species-checked": "testedAndGuaranteed", "FlowCytIntra-species-dilution-info": "1/50", "FlowCytIntra-species-notes": "<p></p>", "IHCP-species-checked": "testedAndGuaranteed", "IHCP-species-dilution-info": "1/100", "IHCP-species-notes": "<p></p>" }, "Mouse": { "IP-species-checked": "testedAndGuaranteed", "IP-species-dilution-info": "1/30", "IP-species-notes": "<p></p>", "WB-species-checked": "testedAndGuaranteed", "WB-species-dilution-info": "1/1000", "WB-species-notes": "<p></p>", "ICCIF-species-checked": "testedAndGuaranteed", "ICCIF-species-dilution-info": "1/200", "ICCIF-species-notes": "<p></p>", "FlowCytIntra-species-checked": "testedAndGuaranteed", "FlowCytIntra-species-dilution-info": "1/50", "FlowCytIntra-species-notes": "<p></p>", "IHCP-species-checked": "notRecommended", "IHCP-species-dilution-info": "1/100", "IHCP-species-notes": "<p></p>" }, "Rat": { "IP-species-checked": "guaranteed", "IP-species-dilution-info": "", "IP-species-notes": "", "WB-species-checked": "testedAndGuaranteed", "WB-species-dilution-info": "1/1000", "WB-species-notes": "<p></p>", "ICCIF-species-checked": "guaranteed", "ICCIF-species-dilution-info": "", "ICCIF-species-notes": "", "FlowCytIntra-species-checked": "guaranteed", "FlowCytIntra-species-dilution-info": "", "FlowCytIntra-species-notes": "", "IHCP-species-checked": "notRecommended", "IHCP-species-dilution-info": "1/100", "IHCP-species-notes": "<p></p>" } } }

Product details

Patented technology
Our RabMAb® technology is a patented hybridoma-based technology for making rabbit monoclonal antibodies. For details on our patents, please refer to RabMAb® patents.

What are the advantages of a recombinant monoclonal antibody?
This product is a recombinant monoclonal antibody, which offers several advantages including:

  • - High batch-to-batch consistency and reproducibility
  • - Improved sensitivity and specificity
  • - Long-term security of supply
  • - Animal-free batch production

For more information, read more on recombinant antibodies.

Properties and storage information

Form
Liquid
Purification technique
Affinity purification Protein A
Storage buffer
pH: 7.2 - 7.4 Preservative: 0.01% Sodium azide Constituents: PBS, 40% Glycerol (glycerin, glycerine), 0.05% BSA
Shipped at conditions
Blue Ice
Appropriate short-term storage duration
1-2 weeks
Appropriate short-term storage conditions
+4°C
Appropriate long-term storage conditions
-20°C
Aliquoting information
Upon delivery aliquot
Storage information
Avoid freeze / thaw cycle

Product protocols

For this product, it's our understanding that no specific protocols are required. You can visit:

Target data

May play a role in RNA metabolism in both nuclei and mitochondria. In the nucleus binds to HNRPA1-associated poly(A) mRNAs and is part of nmRNP complexes at late stages of mRNA maturation which are possibly associated with nuclear mRNA export. Positively modulates nuclear export of mRNAs containing the EIF4E sensitivity element (4ESE) by binding simultaneously to both EIF4E and the 4ESE and acting as a platform for assembly for the RNA export complex (PubMed : 19262567, PubMed : 28325843). Also binds to exportin XPO1/CRM1 to engage the nuclear pore and traffic the bound mRNAs to the cytoplasm (PubMed : 28325843). May bind mature mRNA in the nucleus outer membrane. In mitochondria binds to poly(A) mRNA. Plays a role in translation or stability of mitochondrially encoded cytochrome c oxidase (COX) subunits. May be involved in transcription regulation. Cooperates with PPARGC1A to regulate certain mitochondrially encoded genes and gluconeogenic genes and may regulate docking of PPARGC1A to transcription factors. Seems to be involved in the transcription regulation of the multidrug-related genes MDR1 and MVP. Part of a nuclear factor that binds to the invMED1 element of MDR1 and MVP gene promoters. Binds single-stranded DNA (By similarity). Required for maintaining mitochondrial potential (PubMed : 23822101). Suppresses the initiation of basal levels of autophagy and mitophagy by sustaining BCL2 levels (PubMed : 23822101).
See full target information LRPPRC

Publications (5)

Recent publications for all applications. Explore the full list and refine your search

Cancers 17: PubMed40563592

2025

The Identification of a Key Regulator of Mitochondrial Metabolism, the LRPPRC Protein, as a Novel Therapeutic Target in SDHA-Overexpressing Ovarian Tumors.

Applications

Unspecified application

Species

Unspecified reactive species

Anna Szulta,Lin Wang,Ameera Hasan,Michael Kinter,Atul Pranay,Jie Zhu,Kenneth M Humphries,Brooke Loveland,Timothy M Griffin,Magdalena Bieniasz

Frontiers in neuroscience 18:1505493 PubMed39877656

2025

NDUFA11 may be the disulfidptosis-related biomarker of ischemic stroke based on integrated bioinformatics, clinical samples, and experimental analyses.

Applications

Unspecified application

Species

Unspecified reactive species

Sijun Li,Ningyuan Chen,Junrui He,Xibao Luo,Wei Lin

Annals of translational medicine 11:90 PubMed36819570

2023

Dental pulp stem cells induce anti-inflammatory phenotypic transformation of macrophages to enhance osteogenic potential via IL-6/GP130/STAT3 signaling.

Applications

Unspecified application

Species

Unspecified reactive species

Bingyao Liu,Junxia Li,Bo Chen,Yi Shuai,Xinyao He,Ke Liu,Maodian He,Lei Jin

Annals of translational medicine 10:1066 PubMed36330418

2022

Characteristics of pre-sensitization-related acute antibody-mediated rejection in a rat model of orthotopic liver transplantation.

Applications

Unspecified application

Species

Unspecified reactive species

Yuanyi Mang,Shengning Zhang,Jiaojiao Zhao,Jianghua Ran,Yingpeng Zhao,Laibang Li,Yang Gao,Wang Li,Guoyu Chen,Jun Ma,Li Li,Fukai Bao

Oxidative medicine and cellular longevity 2022:5772509 PubMed36105481

2022

Leukemia Inhibitory Factor Facilitates Self-Renewal and Differentiation and Attenuates Oxidative Stress of BMSCs by Activating PI3K/AKT Signaling.

Applications

Unspecified application

Species

Unspecified reactive species

Youde Liang,Ruiping Zhou,Xin Liu,Lin You,Chang Chen,Xiaoling Ye,Wei Wei,Jie Liu,Jiawei Dai,Kaixiong Li,Xiangxiang Zhao
View all publications

Product promise

We are committed to supporting your work with high-quality reagents, and we're here for you every step of the way. In the unlikely event that one of our products does not perform as expected, you're protected by our Product Promise.
For full details, please see our Terms & Conditions

Please note: All products are 'FOR RESEARCH USE ONLY. NOT FOR USE IN DIAGNOSTIC OR THERAPEUTIC PROCEDURES'.

For licensing inquiries, please contact partnerships@abcam.com