JavaScript is disabled in your browser. Please enable JavaScript to view this website.
AB235521

Anti-LRRC20 antibody

Be the first to review this product! Submit a review

|

(1 Publication)

Rabbit Polyclonal LRRC20 antibody. Suitable for WB, IHC-P and reacts with Human, Mouse samples. Cited in 1 publication. Immunogen corresponding to Recombinant Full Length Protein corresponding to Human LRRC20.

View Alternative Names

UNQ2429/PRO4989, LRRC20, Leucine-rich repeat-containing protein 20

3 Images
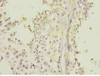
Immunohistochemistry (Formalin/PFA-fixed paraffin-embedded sections) - Anti-LRRC20 antibody (AB235521)
  • IHC-P

Supplier Data

Immunohistochemistry (Formalin/PFA-fixed paraffin-embedded sections) - Anti-LRRC20 antibody (AB235521)

Paraffin-embedded human testis tissue stained for LRRC20 using ab235521 at 1/100 dilution in immunohistochemical analysis.

Immunohistochemistry (Formalin/PFA-fixed paraffin-embedded sections) - Anti-LRRC20 antibody (AB235521)
  • IHC-P

Supplier Data

Immunohistochemistry (Formalin/PFA-fixed paraffin-embedded sections) - Anti-LRRC20 antibody (AB235521)

Paraffin-embedded human gastric cancer tissue stained for LRRC20 using ab235521 at 1/100 dilution in immunohistochemical analysis.

Western blot - Anti-LRRC20 antibody (AB235521)
  • WB

Supplier Data

Western blot - Anti-LRRC20 antibody (AB235521)

All lanes:

Western blot - Anti-LRRC20 antibody (ab235521) at 1/1000 dilution

Lane 1:

Jurkat (human T cell leukemia cell line from peripheral blood) whole cell lysate

Lane 2:

Mouse heart tissue lysate

Lane 3:

Mouse spleen tissue lysate

Lane 4:

U937 (Human histiocytic lymphoma cell line) whole cell lysate

Secondary

All lanes:

Goat polyclonal to Rabbit IgG at 1/10000 dilution

Predicted band size: 20 kDa

false

Key facts

Host species

Rabbit

Clonality

Polyclonal

Isotype

IgG

Carrier free

No

Reacts with

Mouse, Human

Applications

IHC-P, WB

applications

Immunogen

Recombinant Full Length Protein corresponding to Human LRRC20.

Q8TCA0

Reactivity data

{ "title": "Reactivity Data", "filters": { "stats": ["", "Species", "Dilution Info", "Notes"], "tabs": { "all-applications": {"fullname" : "All Applications", "shortname": "All Applications"}, "WB" : {"fullname" : "Western blot", "shortname":"WB"}, "IHCP" : {"fullname" : "Immunohistochemistry (Formalin/PFA-fixed paraffin-embedded sections)", "shortname":"IHC-P"} }, "product-promise": { "all": "all", "testedAndGuaranteed": "tested", "guaranteed": "expected", "predicted": "predicted", "notRecommended": "not-recommended" } }, "values": { "Human": { "WB-species-checked": "testedAndGuaranteed", "WB-species-dilution-info": "1/1000 - 1/5000", "WB-species-notes": "<p></p>", "IHCP-species-checked": "testedAndGuaranteed", "IHCP-species-dilution-info": "1/20 - 1/200", "IHCP-species-notes": "<p></p>" }, "Mouse": { "WB-species-checked": "testedAndGuaranteed", "WB-species-dilution-info": "1/1000 - 1/5000", "WB-species-notes": "<p></p>", "IHCP-species-checked": "guaranteed", "IHCP-species-dilution-info": "", "IHCP-species-notes": "" } } }

Properties and storage information

Form
Liquid
Purification technique
Affinity purification Protein G
Purification notes
Purity >95%
Storage buffer
pH: 7.4 Preservative: 0.03% Proclin 300 Constituents: PBS, 50% Glycerol (glycerin, glycerine)
Shipped at conditions
Blue Ice
Appropriate short-term storage duration
1-2 weeks
Appropriate short-term storage conditions
+4°C
Appropriate long-term storage conditions
-20°C
Aliquoting information
Upon delivery aliquot
Storage information
Do Not Freeze

Product protocols

For this product, it's our understanding that no specific protocols are required. You can visit:

Publications (1)

Recent publications for all applications. Explore the full list and refine your search

Cancer medicine 12:5035-5054 PubMed36205357

2022

Systemic analysis of the DNA replication regulator origin recognition complex in lung adenocarcinomas identifies prognostic and expression significance.

Applications

Unspecified application

Species

Unspecified reactive species

Min Tang,Juan Chen,Tian Zeng,Dong-Mei Ye,Yu-Kun Li,Juan Zou,Yu-Ping Zhang
View all publications

Product promise

We are committed to supporting your work with high-quality reagents, and we're here for you every step of the way. In the unlikely event that one of our products does not perform as expected, you're protected by our Product Promise.
For full details, please see our Terms & Conditions

Please note: All products are 'FOR RESEARCH USE ONLY. NOT FOR USE IN DIAGNOSTIC OR THERAPEUTIC PROCEDURES'.

For licensing inquiries, please contact partnerships@abcam.com