JavaScript is disabled in your browser. Please enable JavaScript to view this website.
AB127912

Anti-LRRC59 antibody

Be the first to review this product! Submit a review

|

(3 Publications)

Rabbit Polyclonal LRRC59 antibody. Suitable for WB, IHC-P, ICC/IF and reacts with Human samples. Cited in 3 publications. Immunogen corresponding to Recombinant Fragment Protein within Human LRRC59 aa 1-200.

View Alternative Names

PRO1855, LRRC59, Leucine-rich repeat-containing protein 59, Ribosome-binding protein p34, p34

4 Images
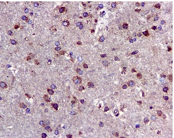
Immunohistochemistry (Formalin/PFA-fixed paraffin-embedded sections) - Anti-LRRC59 antibody (AB127912)
  • IHC-P

Unknown

Immunohistochemistry (Formalin/PFA-fixed paraffin-embedded sections) - Anti-LRRC59 antibody (AB127912)

ab127912 at 1/500 dilution staining LRRC58 in paraffin-embedded Human U87 xenograft tissue by Immunohistochemistry.

Immunocytochemistry/ Immunofluorescence - Anti-LRRC59 antibody (AB127912)
  • ICC/IF

Unknown

Immunocytochemistry/ Immunofluorescence - Anti-LRRC59 antibody (AB127912)

ab127912 at 1/500 dilution staining LRRC59 in methanol-fixed HeLa cells by confocal Immunofluorescence. Alpha-tubulin filaments are stained in red.

Western blot - Anti-LRRC59 antibody (AB127912)
  • WB

Unknown

Western blot - Anti-LRRC59 antibody (AB127912)

10% SDS PAGE

All lanes:

Western blot - Anti-LRRC59 antibody (ab127912) at 1/1000 dilution

Lane 1:

A431 whole cell lysate at 30 µg

Lane 2:

HeLa whole cell lysate at 30 µg

Lane 3:

HepG2 whole cell lysate at 30 µg

Predicted band size: 34 kDa

true

Western blot - Anti-LRRC59 antibody (AB127912)
  • WB

Lab

Western blot - Anti-LRRC59 antibody (AB127912)

All lanes:

Western blot - Anti-LRRC59 antibody (ab127912) at 1/1000 dilution

Lane 1:

WT 293T cell extracts at 30 µg

Lane 2:

LRRC59 Knockout 293T cell extracts at 30 µg

Secondary

All lanes:

HRP-conjugated anti-rabbit IgG

Predicted band size: 34 kDa

false

Key facts

Host species

Rabbit

Clonality

Polyclonal

Isotype

IgG

Carrier free

No

Reacts with

Human

Applications

ICC/IF, WB, IHC-P

applications

Immunogen

Recombinant Fragment Protein within Human LRRC59 aa 1-200. The exact immunogen used to generate this antibody is proprietary information.

Q96AG4

Reactivity data

{ "title": "Reactivity Data", "filters": { "stats": ["", "Species", "Dilution Info", "Notes"], "tabs": { "all-applications": {"fullname" : "All Applications", "shortname": "All Applications"}, "WB" : {"fullname" : "Western blot", "shortname":"WB"}, "IHCP" : {"fullname" : "Immunohistochemistry (Formalin/PFA-fixed paraffin-embedded sections)", "shortname":"IHC-P"}, "ICCIF" : {"fullname" : "Immunocytochemistry/ Immunofluorescence", "shortname":"ICC/IF"} }, "product-promise": { "all": "all", "testedAndGuaranteed": "tested", "guaranteed": "expected", "predicted": "predicted", "notRecommended": "not-recommended" } }, "values": { "Human": { "WB-species-checked": "testedAndGuaranteed", "WB-species-dilution-info": "1/500 - 1/3000", "WB-species-notes": "<p></p>", "IHCP-species-checked": "testedAndGuaranteed", "IHCP-species-dilution-info": "1/100 - 1/1000", "IHCP-species-notes": "<p></p>", "ICCIF-species-checked": "testedAndGuaranteed", "ICCIF-species-dilution-info": "1/100 - 1/1000", "ICCIF-species-notes": "<p></p>" } } }

Properties and storage information

Form
Liquid
Purification technique
Affinity purification Immunogen
Purification notes
ab127912 is purified by antigen-affinity chromatography.
Storage buffer
pH: 7 Preservative: 0.01% Thimerosal (merthiolate) Constituents: PBS, 20% Glycerol (glycerin, glycerine), 1% BSA
Shipped at conditions
Blue Ice
Appropriate short-term storage conditions
+4°C
Appropriate long-term storage conditions
-20°C
Aliquoting information
Upon delivery aliquot
Storage information
Avoid freeze / thaw cycle

Supplementary information

This supplementary information is collated from multiple sources and compiled automatically.

The protein LRRC59 also known as Leucine-Rich Repeat-Containing Protein 59 is involved in several cellular processes. This protein has a molecular mass of approximately 40 kDa and is expressed in various tissues including the liver kidney and brain. LRRC59 contains multiple leucine-rich repeats which are structural motifs contributing to protein-protein interactions. These interactions are important for the protein's function within the cell.
Biological function summary

LRRC59 is involved in nuclear import pathways and acts as an anchor for certain proteins that need to be translocated into the nucleus. It interacts with the importin-family proteins to facilitate the transport of proteins with nuclear localization signals. LRRC59 works as a part of a larger protein complex which includes importin and nucleoporins to control transport into the nucleus. This positioning suggests that LRRC59 has an active role in regulating gene expression by controlling the nuclear entry of transcription factors and other nuclear proteins.

Pathways

LRRC59 plays a part in cellular transport and signaling pathways. It integrates into the nuclear transport pathway directly influencing gene expression by ensuring the proper nuclear import of signaling molecules. In particular it influences the well-known MAPK signaling pathway through interactions with other proteins like importin-β. These associations emphasize LRRC59’s role in maintaining cellular homeostasis and its potential impact on several signaling cascades.

LRRC59 has been linked to specific cancers and certain neurodegenerative conditions. Abnormal expression of LRRC59 has been observed in some cancer types suggesting a role in tumor progression possibly through altered nuclear transport. Additionally LRRC59 is associated with Alzheimer's disease due to its interactions with proteins like tau which are involved in the pathological aggregation seen in this disorder. These connections highlight LRRC59 as a potential target for therapeutic interventions in these diseases.

Product protocols

For this product, it's our understanding that no specific protocols are required. You can visit:

Target data

Required for nuclear import of FGF1, but not that of FGF2. Might regulate nuclear import of exogenous FGF1 by facilitating interaction with the nuclear import machinery and by transporting cytosolic FGF1 to, and possibly through, the nuclear pores.
See full target information LRRC59

Publications (3)

Recent publications for all applications. Explore the full list and refine your search

Life science alliance 8: PubMed40523799

2025

Transcription arrest induces formation of RNA granules in mitochondria.

Applications

Unspecified application

Species

Unspecified reactive species

Katja G Hansen,Autum Baxter-Koenigs,Caroline Am Weiss,Erik McShane,L Stirling Churchman

OncoTargets and therapy 13:6453-6463 PubMed32753886

2020

Overexpression of LRRC59 Is Associated with Poor Prognosis and Promotes Cell Proliferation and Invasion in Lung Adenocarcinoma.

Applications

Unspecified application

Species

Unspecified reactive species

Dong Li,Ying Xing,Tiannv Tian,Yanan Guo,Jing Qian

Autophagy 16:408-418 PubMed31068071

2019

LRRC59 modulates type I interferon signaling by restraining the SQSTM1/p62-mediated autophagic degradation of pattern recognition receptor DDX58/RIG-I.

Applications

Unspecified application

Species

Unspecified reactive species

Huifang Xian,Shuai Yang,Shouheng Jin,Yuxia Zhang,Jun Cui
View all publications

Product promise

We are committed to supporting your work with high-quality reagents, and we're here for you every step of the way. In the unlikely event that one of our products does not perform as expected, you're protected by our Product Promise.
For full details, please see our Terms & Conditions

Please note: All products are 'FOR RESEARCH USE ONLY. NOT FOR USE IN DIAGNOSTIC OR THERAPEUTIC PROCEDURES'.

For licensing inquiries, please contact partnerships@abcam.com