JavaScript is disabled in your browser. Please enable JavaScript to view this website.
AB157489

Anti-LRRC8A antibody

5

(1 Review)

|

(6 Publications)

Rabbit Polyclonal LRRC8A antibody. Suitable for WB, IHC-P and reacts with Human samples. Cited in 6 publications. Immunogen corresponding to Recombinant Fragment Protein within Human LRRC8A aa 600 to C-terminus.

View Alternative Names

KIAA1437, LRRC8, SWELL1, UNQ221/PRO247, LRRC8A, Volume-regulated anion channel subunit LRRC8A, Leucine-rich repeat-containing protein 8A, Swelling protein 1, HsLRRC8A

2 Images
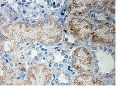
Immunohistochemistry (Formalin/PFA-fixed paraffin-embedded sections) - Anti-LRRC8A antibody (AB157489)
  • IHC-P

Unknown

Immunohistochemistry (Formalin/PFA-fixed paraffin-embedded sections) - Anti-LRRC8A antibody (AB157489)

Immunohistochemical analysis of formalin-fixed, paraffin-embedded Human fetal kidney tissue labeling LRRC8A with ab157489 at 1/100 dilution.

Western blot - Anti-LRRC8A antibody (AB157489)
  • WB

Unknown

Western blot - Anti-LRRC8A antibody (AB157489)

All lanes:

Western blot - Anti-LRRC8A antibody (ab157489) at 1/500 dilution

Lane 1:

Human fetal liver lysate

Lane 2:

Jurkat cell lysate

Lane 3:

A549 cell lysate

Predicted band size: 94 kDa

false

Key facts

Host species

Rabbit

Clonality

Polyclonal

Isotype

IgG

Carrier free

No

Reacts with

Human

Applications

WB, IHC-P

applications

Immunogen

Recombinant Fragment Protein within Human LRRC8A aa 600 to C-terminus. The exact immunogen used to generate this antibody is proprietary information.

Q8IWT6

Reactivity data

{ "title": "Reactivity Data", "filters": { "stats": ["", "Species", "Dilution Info", "Notes"], "tabs": { "all-applications": {"fullname" : "All Applications", "shortname": "All Applications"}, "WB" : {"fullname" : "Western blot", "shortname":"WB"}, "IHCP" : {"fullname" : "Immunohistochemistry (Formalin/PFA-fixed paraffin-embedded sections)", "shortname":"IHC-P"} }, "product-promise": { "all": "all", "testedAndGuaranteed": "tested", "guaranteed": "expected", "predicted": "predicted", "notRecommended": "not-recommended" } }, "values": { "Human": { "WB-species-checked": "testedAndGuaranteed", "WB-species-dilution-info": "1/500 - 1/1000", "WB-species-notes": "<p></p>", "IHCP-species-checked": "testedAndGuaranteed", "IHCP-species-dilution-info": "1/100 - 1/500", "IHCP-species-notes": "<p></p>" }, "Mouse": { "WB-species-checked": "predicted", "WB-species-dilution-info": "", "WB-species-notes": "", "IHCP-species-checked": "predicted", "IHCP-species-dilution-info": "", "IHCP-species-notes": "" }, "Rat": { "WB-species-checked": "predicted", "WB-species-dilution-info": "", "WB-species-notes": "", "IHCP-species-checked": "predicted", "IHCP-species-dilution-info": "", "IHCP-species-notes": "" }, "Cow": { "WB-species-checked": "predicted", "WB-species-dilution-info": "", "WB-species-notes": "", "IHCP-species-checked": "predicted", "IHCP-species-dilution-info": "", "IHCP-species-notes": "" }, "Dog": { "WB-species-checked": "predicted", "WB-species-dilution-info": "", "WB-species-notes": "", "IHCP-species-checked": "predicted", "IHCP-species-dilution-info": "", "IHCP-species-notes": "" }, "Pig": { "WB-species-checked": "predicted", "WB-species-dilution-info": "", "WB-species-notes": "", "IHCP-species-checked": "predicted", "IHCP-species-dilution-info": "", "IHCP-species-notes": "" } } }

Properties and storage information

Form
Lyophilized
Reconstitution
Reconstitute in 200 µL of water
Purification technique
Affinity purification Immunogen
Storage buffer
pH: 7.2 Preservative: 0.02% Sodium azide Constituents: PBS, 1% BSA
Shipped at conditions
Blue Ice
Appropriate short-term storage conditions
+4°C
Appropriate long-term storage conditions
-20°C
Aliquoting information
Upon delivery aliquot
Storage information
Avoid freeze / thaw cycle

Supplementary information

This supplementary information is collated from multiple sources and compiled automatically.

The LRRC8A protein also known as SWELL1 plays a mechanical role as a component of the volume-regulated anion channel (VRAC). It has a molecular mass of approximately 104 kDa. The protein functions in transporting chloride ions across the plasma membrane helping to maintain cellular osmotic balance. LRRC8A is widely expressed in many tissues with high levels in the kidney heart and brain indicating its broad functional relevance across different organ systems.
Biological function summary

LRRC8A forms heteromeric complexes with related proteins LRRC8B LRRC8C LRRC8D and LRRC8E. These complexes constitute the VRAC channels which are important for regulating cell volume in response to osmotic changes a process called regulatory volume decrease. LRRC8A's involvement in this process is essential for cell survival under fluctuating environmental conditions as it prevents cellular swelling and lysis by allowing ions and osmolytes to exit the cell.

Pathways

Researchers have linked LRRC8A to the PI3K-AKT signaling pathway and the apoptotic pathway. In the context of the PI3K-AKT pathway LRRC8A contributes to cell survival and growth regulation interacting with proteins like AKT. Within the apoptotic pathway through VRAC activity LRRC8A plays a role in apoptosis regulation facilitating the release of apoptogenic factors that trigger programmed cell death when necessary.

Researchers have connected LRRC8A to conditions such as ischemia-reperfusion injury and cancer. In ischemia-reperfusion injury inadequate regulation by LRRC8A can lead to excessive cell swelling and damage upon reperfusion making it a potential therapeutic target. In cancer its role in cell growth pathways implicates LRRC8A in the uncontrolled proliferation seen in malignancies. Its association with VRAC partners like LRRC8D underpins its involvement in these disorders.

Product protocols

For this product, it's our understanding that no specific protocols are required. You can visit:

Target data

Essential component of the volume-regulated anion channel (VRAC, also named VSOAC channel), an anion channel required to maintain a constant cell volume in response to extracellular or intracellular osmotic changes (PubMed : 24725410, PubMed : 24790029, PubMed : 26530471, PubMed : 26824658, PubMed : 28193731, PubMed : 29769723). The VRAC channel conducts iodide better than chloride and can also conduct organic osmolytes like taurine (PubMed : 24725410, PubMed : 24790029, PubMed : 26530471, PubMed : 26824658, PubMed : 28193731, PubMed : 30095067). Mediates efflux of amino acids, such as aspartate and glutamate, in response to osmotic stress (PubMed : 28193731). LRRC8A and LRRC8D are required for the uptake of the drug cisplatin (PubMed : 26530471). In complex with LRRC8C or LRRC8E, acts as a transporter of immunoreactive cyclic dinucleotide GMP-AMP (2'-3'-cGAMP), an immune messenger produced in response to DNA virus in the cytosol : mediates both import and export of 2'-3'-cGAMP, thereby promoting transfer of 2'-3'-cGAMP to bystander cells (PubMed : 33171122). In contrast, complexes containing LRRC8D inhibit transport of 2'-3'-cGAMP (PubMed : 33171122). Required for in vivo channel activity, together with at least one other family member (LRRC8B, LRRC8C, LRRC8D or LRRC8E); channel characteristics depend on the precise subunit composition (PubMed : 24790029, PubMed : 26824658, PubMed : 28193731). Can form functional channels by itself (in vitro) (PubMed : 26824658). Involved in B-cell development : required for the pro-B cell to pre-B cell transition (PubMed : 14660746). Also required for T-cell development (By similarity). Required for myoblast differentiation : VRAC activity promotes membrane hyperpolarization and regulates insulin-stimulated glucose metabolism and oxygen consumption (By similarity). Also acts as a regulator of glucose-sensing in pancreatic beta cells : VRAC currents, generated in response to hypotonicity- or glucose-induced beta cell swelling, depolarize cells, thereby causing electrical excitation, leading to increase glucose sensitivity and insulin secretion (PubMed : 29371604). Also plays a role in lysosome homeostasis by forming functional lysosomal VRAC channels in response to low cytoplasmic ionic strength condition : lysosomal VRAC channels are necessary for the formation of large lysosome-derived vacuoles, which store and then expel excess water to maintain cytosolic water homeostasis (PubMed : 31270356, PubMed : 33139539).
See full target information LRRC8A

Publications (6)

Recent publications for all applications. Explore the full list and refine your search

ASN neuro 15:17590914231184072 PubMed37410995

2023

Regulation of the Volume-Regulated Anion Channel Pore-Forming Subunit LRRC8A in the Intrahippocampal Kainic Acid Model of Mesial Temporal Lobe Epilepsy.

Applications

Unspecified application

Species

Unspecified reactive species

Manolia R Ghouli,Carrie R Jonak,Rajan Sah,Todd A Fiacco,Devin K Binder

Frontiers in pharmacology 12:805499 PubMed35002739

2021

Elevated N-Glycosylation Contributes to the Cisplatin Resistance of Non-Small Cell Lung Cancer Cells Revealed by Membrane Proteomic and Glycoproteomic Analysis.

Applications

Unspecified application

Species

Unspecified reactive species

Wenjuan Zeng,Shanshan Zheng,Yonghong Mao,Shisheng Wang,Yi Zhong,Wei Cao,Tao Su,Meng Gong,Jingqiu Cheng,Yong Zhang,Hao Yang

International journal of oncology 55:905-914 PubMed31432150

2019

Effect of low temperature on the regulation of cell volume after hypotonic shock in gastric cancer cells.

Applications

Unspecified application

Species

Unspecified reactive species

Atsushi Shiozaki,Yuzo Yamazato,Toshiyuki Kosuga,Michihiro Kudou,Katsutoshi Shoda,Tomohiro Arita,Hirotaka Konishi,Shuhei Komatsu,Takeshi Kubota,Hitoshi Fujiwara,Kazuma Okamoto,Yoshinori Marunaka,Eigo Otsuji

The American journal of pathology 189:1973-1985 PubMed31323188

2019

LRRC8A Expression Influences Growth of Esophageal Squamous Cell Carcinoma.

Applications

Unspecified application

Species

Unspecified reactive species

Tomoki Konishi,Atsushi Shiozaki,Toshiyuki Kosuga,Michihiro Kudou,Katsutoshi Shoda,Tomohiro Arita,Hirotaka Konishi,Shuhei Komatsu,Takeshi Kubota,Hitoshi Fujiwara,Kazuma Okamoto,Mitsuo Kishimoto,Eiichi Konishi,Yoshinori Marunaka,Eigo Otsuji

Human cell 32:41-50 PubMed30426452

2018

LRRC8A potentiates temozolomide sensitivity in glioma cells via activating mitochondria-dependent apoptotic pathway.

Applications

Unspecified application

Species

Unspecified reactive species

Chao Yang,Longshuang He,Gaofei Chen,Zeqian Ning,Zhibai Xia

Oncology reports 40:1275-1286 PubMed30015914

2018

High expression of leucine‑rich repeat‑containing 8A is indicative of a worse outcome of colon cancer patients by enhancing cancer cell growth and metastasis.

Applications

Unspecified application

Species

Unspecified reactive species

Haifeng Zhang,Zhiqin Deng,Dongxia Zhang,Huarong Li,Lei Zhang,Jin Niu,Wanhong Zuo,Rao Fu,Lihong Fan,Jiang-Hong Ye,Junjun She
View all publications

Product promise

We are committed to supporting your work with high-quality reagents, and we're here for you every step of the way. In the unlikely event that one of our products does not perform as expected, you're protected by our Product Promise.
For full details, please see our Terms & Conditions

Please note: All products are 'FOR RESEARCH USE ONLY. NOT FOR USE IN DIAGNOSTIC OR THERAPEUTIC PROCEDURES'.

For licensing inquiries, please contact partnerships@abcam.com