JavaScript is disabled in your browser. Please enable JavaScript to view this website.
AB133475

Anti-LRRK2 antibody [MJFF3 (c69-6)]

Be the first to review this product! Submit a review

|

(9 Publications)

Rabbit Recombinant Monoclonal LRRK2 antibody. Suitable for IHC-P, WB and reacts with Human, Mouse samples. Cited in 9 publications.

View Alternative Names

PARK8, LRRK2, Leucine-rich repeat serine/threonine-protein kinase 2, Dardarin

4 Images
Immunohistochemistry (Formalin/PFA-fixed paraffin-embedded sections) - Anti-LRRK2 antibody [MJFF3 (c69-6)] (AB133475)
  • IHC-P

Supplier Data

Immunohistochemistry (Formalin/PFA-fixed paraffin-embedded sections) - Anti-LRRK2 antibody [MJFF3 (c69-6)] (AB133475)

ab133475, at 1/200 dilution, staining LRRK2 in paraffin embedded Human hippocampus tissue using immunohistochemical analysis.

Perform heat mediated antigen retrieval with citrate buffer pH 6 before commencing with IHC staining protocol.

This image is courtesy of the Douglas Walker Lab

Western blot - Anti-LRRK2 antibody [MJFF3 (c69-6)] (AB133475)
  • WB

Lab

Western blot - Anti-LRRK2 antibody [MJFF3 (c69-6)] (AB133475)

Lane 1 : A549 whole cell lysate (20 μg)
Lane 2 : MEF whole cell lysate (20 μg)
Lane 3 : A549 (KO) whole cell lysate (20 μg)
Lane 4 : MEF (KO) whole cell lysate (20 μg)

Lanes 1 - 4 : Merged signal (red and green). Green - ab133475 observed at 286 kDa. Red - loading control, ab18058, observed at 130 kDa.

ab133475 was shown to specifically react with Wild type A549 and MEF cells whilst no band was observed when knockout samples were used. Additional cross-reactive bands were observed in the wild-type and knockout cells. Wild-type and knockout samples were subjected to SDS-PAGE. ab133475 and ab18058 (Mouse anti Vinculin loading control) were incubated overnight at 4°C at 1000 dilution and 1/10000 dilution respectively. Blots were developed with Goat anti-Rabbit IgG H&L (IRDye® 800CW) preabsorbed ab216773 and Goat anti-Mouse IgG H&L (IRDye® 680RD) preabsorbed ab216776 secondary antibodies at 1/10000 dilution for 1 hour at room temperature before imaging.

All lanes:

Western blot - Anti-LRRK2 antibody [MJFF3 (c69-6)] (ab133475)

Predicted band size: 286 kDa

false

Western blot - Anti-LRRK2 antibody [MJFF3 (c69-6)] (AB133475)
  • WB

Lab

Western blot - Anti-LRRK2 antibody [MJFF3 (c69-6)] (AB133475)

ab133475 was shown to react with LRRK2 in wild-type A549 cells in Western blot with loss of signal observed in a LRRK2 knockout cell line. Wild-type A549 and LRRK2 knockout cell lysates were subjected to SDS-PAGE. Membranes were blocked in 5% milk in TBST for 1 hr before incubation with ab133475 overnight at 4 °C at a 1/1000 dilution. Blots were incubated with secondary antibodies at 0.2 µg/mL before imaging.

These data were provided by YCharOS Inc., an open science company with the mission of characterizing commercially available antibody reagents for all human proteins. Abcam and YCharOS are working together to help address the reproducibility crisis by enabling the life science community to better evaluate commercially available antibodies.

All lanes:

Western blot - Anti-LRRK2 antibody [MJFF3 (c69-6)] (ab133475) at 1/1000 dilution

Lane 1:

Wild-type A549 lysate at 25 µg

Lane 2:

LRRK2 knock-out A549 lysate at 25 µg

false

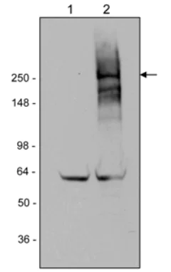
Western blot - Anti-LRRK2 antibody [MJFF3 (c69-6)] (AB133475)
  • WB

Supplier Data

Western blot - Anti-LRRK2 antibody [MJFF3 (c69-6)] (AB133475)

All lanes:

Western blot - Anti-LRRK2 antibody [MJFF3 (c69-6)] (ab133475) at 1/1000 dilution

Lane 1:

HEK293 cell lysate transfected with 3*Flag vector at 10 µg

Lane 2:

HEK293 cell lysate transfected with 3*Flag wild type, full length LRRK2 at 10 µg

Secondary

All lanes:

HRP-labelled goat anti-rabbit at 1/2000 dilution

Predicted band size: 286 kDa

false

This image is courtesy of Zhuohua Zhang Lab (Sanford-Burnham Medical Research Institute)

  • Carrier free

    Anti-LRRK2 antibody [MJFF3 (c69-6)] - BSA and Azide free

Key facts

Host species

Rabbit

Clonality

Monoclonal

Clone number

MJFF3 (c69-6)

Isotype

IgG

Carrier free

No

Reacts with

Mouse, Human

Applications

IHC-P, WB

applications

Immunogen

The exact immunogen used to generate this antibody is proprietary information.

Reactivity data

{ "title": "Reactivity Data", "filters": { "stats": ["", "Species", "Dilution Info", "Notes"], "tabs": { "all-applications": {"fullname" : "All Applications", "shortname": "All Applications"}, "IHCP" : {"fullname" : "Immunohistochemistry (Formalin/PFA-fixed paraffin-embedded sections)", "shortname":"IHC-P"}, "WB" : {"fullname" : "Western blot", "shortname":"WB"} }, "product-promise": { "all": "all", "testedAndGuaranteed": "tested", "guaranteed": "expected", "predicted": "predicted", "notRecommended": "not-recommended" } }, "values": { "Human": { "IHCP-species-checked": "testedAndGuaranteed", "IHCP-species-dilution-info": "1/200 - 1/500", "IHCP-species-notes": "<p></p> Perform heat-mediated antigen retrieval with citrate buffer pH 6 before commencing with IHC staining protocol.", "WB-species-checked": "testedAndGuaranteed", "WB-species-dilution-info": "1/1000 - 1/10000", "WB-species-notes": "<p></p>" }, "Mouse": { "IHCP-species-checked": "guaranteed", "IHCP-species-dilution-info": "", "IHCP-species-notes": "", "WB-species-checked": "testedAndGuaranteed", "WB-species-dilution-info": "1/1000 - 1/10000", "WB-species-notes": "<p></p>" }, "Rat": { "IHCP-species-checked": "predicted", "IHCP-species-dilution-info": "", "IHCP-species-notes": "", "WB-species-checked": "predicted", "WB-species-dilution-info": "", "WB-species-notes": "" } } }

Product details

Well-characterized antibodies to efficiently detect and purify LRRK2 protein are a critical need in the Parkinson's Disease (PD) research community. To help accelerate LRRK2 research, The Michael J. Fox Foundation (MJFF), working with Abcam, has generated unique and high quality LRRK2 rabbit monoclonal antibodies to be widely available for PD research community.

LRRK2 (Leucine-rich repeat kinase 2, dardarin) is a protein kinase belonging to the ROCO family, which is defined by the presence of a ROC (Ras/GTPase of complex proteins) domain and COR (C-terminal of Roc) region. LRRK2 exhibits kinase activity whereby it can undergo autophosphorylation and can phosphorylate generic substrates. In addition, the GTPase domain of LRRK2 can mediate GDP (guanosine-5′-diphosphate)/GTP (guanosine-5′-triphosphate) binding as well as GTP hydrolysis.

LRRK2 is mutated in a significant number of Parkinson's disease (PD) patients. Mutations in this gene account for 4% of PD, and are observed in 1% of sporadic PD patients. Clinical symptoms of patients carrying PD-associated mutations of LRRK2 are indistinguishable from typical sporadic PD. The spectra of neuropathological features of PARK8 (type 8), the type corresponding to LRRK2, is broad and appears to encompass those associated with other familial PD cases such as PARK1 (alpha-synuclein) and PARK2 (Parkin). Patients with this gene mutation have typical relatively late onset Parkinsonism with features comparable with idiopathic PD; symptoms include asymmetric rest tremor, bradykinesia, rigidity, and a good response to 3,4-dihyroxy-l-phenylalanine (l-DOPA). The pathology of cases with LRRK2 mutations is pleomorphic.

For more characterization data and protocols using this LRRK2 Antibody, please refer to Davies, et al. 2013. Biochemical J 453(1):101-113 [PMID: 23560750]

Patented technology
Our RabMAb® technology is a patented hybridoma-based technology for making rabbit monoclonal antibodies. For details on our patents, please refer to RabMAb® patents.

What are the advantages of a recombinant monoclonal antibody?
This product is a recombinant monoclonal antibody, which offers several advantages including:

  • - High batch-to-batch consistency and reproducibility
  • - Improved sensitivity and specificity
  • - Long-term security of supply
  • - Animal-free batch production

For more information, read more on recombinant antibodies.

Collaborations
This antibody was developed with support from The Michael J. Fox Foundation.

Properties and storage information

Form
Liquid
Purification technique
Affinity purification Protein A
Storage buffer
pH: 7.2 - 7.4 Preservative: 0.01% Sodium azide Constituents: PBS
Shipped at conditions
Blue Ice
Appropriate short-term storage conditions
+4°C
Appropriate long-term storage conditions
-20°C
Storage information
Stable for 12 months at -20°C

Supplementary information

This supplementary information is collated from multiple sources and compiled automatically.

The protein LRRK2 also known as leucine-rich repeat kinase 2 or dardarin is an enzyme with a molecular weight of approximately 286 kDa. It functions as a kinase meaning it adds phosphate groups to other proteins which affects their activity. LRRK2 is expressed in various tissues but it is highly abundant in the brain especially in regions such as the striatum and cortex. It has a significant role in cellular signaling processes due to its phosphorylation activity.
Biological function summary

LRRK2 interacts with cellular mechanisms by regulating cytoskeletal dynamics autophagy and vesicle trafficking. It is a part of a larger complex that includes other proteins involved in these processes. The kinase activity of LRRK2 plays an essential part in maintaining neuronal health and function. It influences the process of autophagy which is a way cells clean themselves by removing damaged components and recycling them.

Pathways

The action of LRRK2 is central to the mitogen-activated protein kinase (MAPK) and the mammalian target of rapamycin (mTOR) pathways. In these pathways LRRK2 interacts with other proteins such as mTOR and RPS6KB1. It modulates cellular processes like growth proliferation and response to stressors. Its kinase activity affects the phosphorylation state of targets within the pathways hence influencing biological outcomes like survival and apoptosis.

LRRK2 mutations have a significant connection to Parkinson's disease and Crohn's disease. In Parkinson's disease mutated LRRK2 leads to abnormal protein aggregation linking to proteins such as alpha-synuclein. For Crohn's disease LRRK2 influences the immune response and intestinal inflammation. These connections highlight LRRK2's role in the pathogenesis and contribute to understanding these complex disorders.

Product protocols

For this product, it's our understanding that no specific protocols are required. You can visit:

Target data

Serine/threonine-protein kinase which phosphorylates a broad range of proteins involved in multiple processes such as neuronal plasticity, innate immunity, autophagy, and vesicle trafficking (PubMed : 17114044, PubMed : 20949042, PubMed : 21850687, PubMed : 22012985, PubMed : 23395371, PubMed : 24687852, PubMed : 25201882, PubMed : 26014385, PubMed : 26824392, PubMed : 27830463, PubMed : 28720718, PubMed : 29125462, PubMed : 29127255, PubMed : 29212815, PubMed : 30398148, PubMed : 30635421). Is a key regulator of RAB GTPases by regulating the GTP/GDP exchange and interaction partners of RABs through phosphorylation (PubMed : 26824392, PubMed : 28720718, PubMed : 29125462, PubMed : 29127255, PubMed : 29212815, PubMed : 30398148, PubMed : 30635421). Phosphorylates RAB3A, RAB3B, RAB3C, RAB3D, RAB5A, RAB5B, RAB5C, RAB8A, RAB8B, RAB10, RAB12, RAB29, RAB35, and RAB43 (PubMed : 23395371, PubMed : 26824392, PubMed : 28720718, PubMed : 29125462, PubMed : 29127255, PubMed : 29212815, PubMed : 30398148, PubMed : 30635421, PubMed : 38127736). Regulates the RAB3IP-catalyzed GDP/GTP exchange for RAB8A through the phosphorylation of 'Thr-72' on RAB8A (PubMed : 26824392). Inhibits the interaction between RAB8A and GDI1 and/or GDI2 by phosphorylating 'Thr-72' on RAB8A (PubMed : 26824392). Regulates primary ciliogenesis through phosphorylation of RAB8A and RAB10, which promotes SHH signaling in the brain (PubMed : 29125462, PubMed : 30398148). Together with RAB29, plays a role in the retrograde trafficking pathway for recycling proteins, such as mannose-6-phosphate receptor (M6PR), between lysosomes and the Golgi apparatus in a retromer-dependent manner (PubMed : 23395371). Regulates neuronal process morphology in the intact central nervous system (CNS) (PubMed : 17114044). Plays a role in synaptic vesicle trafficking (PubMed : 24687852). Plays an important role in recruiting SEC16A to endoplasmic reticulum exit sites (ERES) and in regulating ER to Golgi vesicle-mediated transport and ERES organization (PubMed : 25201882). Positively regulates autophagy through a calcium-dependent activation of the CaMKK/AMPK signaling pathway (PubMed : 22012985). The process involves activation of nicotinic acid adenine dinucleotide phosphate (NAADP) receptors, increase in lysosomal pH, and calcium release from lysosomes (PubMed : 22012985). Phosphorylates PRDX3 (PubMed : 21850687). By phosphorylating APP on 'Thr-743', which promotes the production and the nuclear translocation of the APP intracellular domain (AICD), regulates dopaminergic neuron apoptosis (PubMed : 28720718). Acts as a positive regulator of innate immunity by mediating phosphorylation of RIPK2 downstream of NOD1 and NOD2, thereby enhancing RIPK2 activation (PubMed : 27830463). Independent of its kinase activity, inhibits the proteasomal degradation of MAPT, thus promoting MAPT oligomerization and secretion (PubMed : 26014385). In addition, has GTPase activity via its Roc domain which regulates LRRK2 kinase activity (PubMed : 18230735, PubMed : 26824392, PubMed : 28720718, PubMed : 29125462, PubMed : 29212815). Recruited by RAB29/RAB7L1 to overloaded lysosomes where it phosphorylates and stabilizes RAB8A and RAB10 which promote lysosomal content release and suppress lysosomal enlargement through the EHBP1 and EHBP1L1 effector proteins (PubMed : 30209220, PubMed : 38227290).
See full target information LRRK2

Publications (9)

Recent publications for all applications. Explore the full list and refine your search

Cell reports 42:113529 PubMed38060380

2023

Molecular determinants of the crosstalk between endosomal microautophagy and chaperone-mediated autophagy.

Applications

Unspecified application

Species

Unspecified reactive species

Gregory J Krause,Philipp Kirchner,Barbara Stiller,Kateryna Morozova,Antonio Diaz,Kuei-Ho Chen,Nevan J Krogan,Esperanza Agullo-Pascual,Cristina C Clement,Kristen Lindenau,Danielle L Swaney,Shilpa Dilipkumar,Jose Javier Bravo-Cordero,Laura Santambrogio,Ana Maria Cuervo

Nature communications 7:12188 PubMed27432119

2016

LRRK2 regulates retrograde synaptic compensation at the Drosophila neuromuscular junction.

Applications

WB

Species

Mouse

Jay Penney,Kazuya Tsurudome,Edward H Liao,Grant Kauwe,Lindsay Gray,Akiko Yanagiya,Mario R Calderon,Nahum Sonenberg,A Pejmun Haghighi

Journal of neuroscience research 94:717-35 PubMed27265751

2016

LRRK2 knockdown in zebrafish causes developmental defects, neuronal loss, and synuclein aggregation.

Applications

Unspecified application

Species

Unspecified reactive species

Shubhangi Prabhudesai,Fatima Zahra Bensabeur,Rashed Abdullah,Indranil Basak,Solange Baez,Guido Alves,Nathalia G Holtzman,Jan Petter Larsen,Simon Geir Møller

PloS one 10:e0128906 PubMed26067490

2015

Leucine-Rich Repeat Kinase 2 (Lrrk2) Deficiency Diminishes the Development of Experimental Autoimmune Uveitis (EAU) and the Adaptive Immune Response.

Applications

WB

Species

Mouse

Wambui S Wandu,Cuiyan Tan,Osato Ogbeifun,Barbara P Vistica,Guangpu Shi,Samuel J H Hinshaw,Chengsong Xie,Xi Chen,Dennis M Klinman,Huaibin Cai,Igal Gery

Nature neuroscience 17:367-76 PubMed24464040

2014

LRRK2 regulates synaptogenesis and dopamine receptor activation through modulation of PKA activity.

Applications

ICC/IF, WB

Species

Mouse, Mouse

Loukia Parisiadou,Jia Yu,Carmelo Sgobio,Chengsong Xie,Guoxiang Liu,Lixin Sun,Xing-Long Gu,Xian Lin,Nicole A Crowley,David M Lovinger,Huaibin Cai

Biochimica et biophysica acta 1832:2352-67 PubMed24075941

2013

LRRK2 guides the actin cytoskeleton at growth cones together with ARHGEF7 and Tropomyosin 4.

Applications

Unspecified application

Species

Unspecified reactive species

Karina Häbig,Sandra Gellhaar,Birgit Heim,Verena Djuric,Florian Giesert,Wolfgang Wurst,Carolin Walter,Thomas Hentrich,Olaf Riess,Michael Bonin

The Biochemical journal 453:101-13 PubMed23560750

2013

Comprehensive characterization and optimization of anti-LRRK2 (leucine-rich repeat kinase 2) monoclonal antibodies.

Applications

WB, IP, IP, IP, WB, WB

Species

Rat, Rat, Human, Mouse, Mouse, Human

Paul Davies,Kelly M Hinkle,Nour N Sukar,Bryan Sepulveda,Roxana Mesias,Geidy Serrano,Dario R Alessi,Thomas G Beach,Deanna L Benson,Charles L White,Rita M Cowell,Sonal S Das,Andrew B West,Heather L Melrose

Human molecular genetics 21:1931-44 PubMed22228096

2012

LRRK2 regulates mitochondrial dynamics and function through direct interaction with DLP1.

Applications

Unspecified application

Species

Unspecified reactive species

Xinglong Wang,Michael H Yan,Hisashi Fujioka,Jun Liu,Amy Wilson-Delfosse,Shu G Chen,George Perry,Gemma Casadesus,Xiongwei Zhu

PloS one 6:e21519 PubMed21738687

2011

Regulation of LRRK2 expression points to a functional role in human monocyte maturation.

Applications

WB

Species

Human

Jonathan Thévenet,Rosanna Pescini Gobert,Robertus Hooft van Huijsduijnen,Christoph Wiessner,Yves Jean Sagot
View all publications

Product promise

We are committed to supporting your work with high-quality reagents, and we're here for you every step of the way. In the unlikely event that one of our products does not perform as expected, you're protected by our Product Promise.
For full details, please see our Terms & Conditions

Please note: All products are 'FOR RESEARCH USE ONLY. NOT FOR USE IN DIAGNOSTIC OR THERAPEUTIC PROCEDURES'.

For licensing inquiries, please contact partnerships@abcam.com