JavaScript is disabled in your browser. Please enable JavaScript to view this website.
AB249095

Anti-LRRK2 (phospho T1503) antibody [MJF-R6 (227-1a)] - BSA and Azide free

Be the first to review this product! Submit a review

|

(0 Publication)

Rabbit Recombinant Monoclonal LRRK2 phospho T1503 antibody. Carrier free. Suitable for WB and reacts with Human samples.

View Alternative Names

PARK8, LRRK2, Leucine-rich repeat serine/threonine-protein kinase 2, Dardarin

1 Images
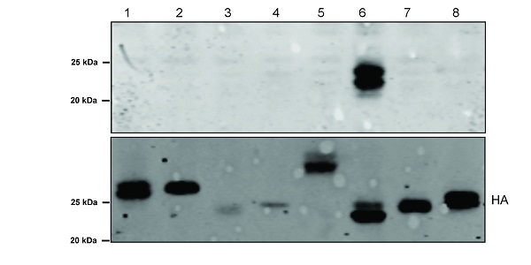
Western blot - Anti-LRRK2 (phospho T1503) antibody [MJF-R6 (227-1a)] - BSA and Azide free (AB249095)
  • WB

Collaborator

Western blot - Anti-LRRK2 (phospho T1503) antibody [MJF-R6 (227-1a)] - BSA and Azide free (AB249095)

This data was developed using ab154423, the same antibody clone in a different buffer formulation.

Lanes 1 - 2:

Western blot - Anti-LRRK2 (phospho T1503) antibody [MJF-R6 (227-1a)] (<a href='/en-us/products/primary-antibodies/lrrk2-phospho-t1503-antibody-mjf-r6-227-1a-ab154423'>ab154423</a>) at 1/1000 dilution

Lanes 3 - 4:

Western blot - Anti-LRRK2 (phospho T1503) antibody [MJF-R6 (227-1a)] (<a href='/en-us/products/primary-antibodies/lrrk2-phospho-t1503-antibody-mjf-r6-227-1a-ab154423'>ab154423</a>) at 1/5000 dilution

Lanes 5 - 6:

Monoclonal antibody against total LRRK2

Lanes 1, 3 and 5:

HEK293FT cells, transiently transfected with wild-type Human LRRK2 immunoprecipitated for LRRK2 and subjected to an in vitro kinase assay

Lanes 2, 4 and 6:

HEK293FT cells transiently transfected with DDDDK-tagged Human LRRK2(T1503A) immunoprecipitated for LRRK2(T1503A) and subjected to an in vitro kinase assay.

Predicted band size: 286 kDa

false

This image is courtesy of Drs. Genta Ito and Takeshi Iwatsubo (University of Tokyo)

  • Unconjugated

    Anti-LRRK2 (phospho T1503) antibody [MJF-R6 (227-1a)]

Key facts

Host species

Rabbit

Clonality

Monoclonal

Clone number

MJF-R6 (227-1a)

Isotype

IgG

Carrier free

Yes

Reacts with

Human

Applications

WB

applications

Immunogen

The exact immunogen used to generate this antibody is proprietary information.

Reactivity data

{ "title": "Reactivity Data", "filters": { "stats": ["", "Species", "Dilution Info", "Notes"], "tabs": { "all-applications": {"fullname" : "All Applications", "shortname": "All Applications"}, "WB" : {"fullname" : "Western blot", "shortname":"WB"} }, "product-promise": { "all": "all", "testedAndGuaranteed": "tested", "guaranteed": "expected", "predicted": "predicted", "notRecommended": "not-recommended" } }, "values": { "Human": { "WB-species-checked": "testedAndGuaranteed", "WB-species-dilution-info": "", "WB-species-notes": "<p></p>" } } }

Product details

ab249095 is the carrier-free version of ab154423.

This antibody was developed with support of The Michael J. Fox Foundation (MJFF) with the assistance of a consortium of investigators to help accelerate LRRK2 research.

LRRK2 (Leucine-rich repeat kinase 2, dardarin) is a multi-domain protein belonging to the ROCO family of proteins that contains a kinase and GTPase domain among its many protein interaction domains. LRRK2 is mutated in a significant number of Parkinson's disease(PD) patients. Mutations in this gene account for 4% of PD, and are observed in 1% of sporadic PD patients. The most common mutation replaces glycine 2019 with a serine that results in increased LRRK2 kinase activity. This indicates that inhibitors of LRRK2 kinase activity might be of therapeutic benefit for the treatment of Parkinson's disease and has stimulated much activity in this field of research. Based upon mass spectrometry findings, a number of other residues within LRRK2 have also been found to be phosphorylated as well.
Currently, the physiological relevance of these phospho-sites is not clear. Thus with the generation of this phospho-specific antibody, it is MJFF's hope that investigators may have at hand a critical tool to assist in their research endeavors that might thereby lend further clarity to the field of LRRK2 and its role in PD pathogenesis.

Acknowledgements: The Michael J. Fox Foundation would like to acknowledge the assistance of the following laboratories and individuals, whose input, guidance and assistance in testing all phospho specific LRRK2 antibodies was critical:

• The Laboratory of Dr. Dario Alessi (University of Dundee) - Paul Davies, PhD
• The Laboratory of Dr. Mark Cookson (National Institute on Aging) - Alexandra Beilina, PhD
• The Laboratory of Dr. Johannes Gloeckner (Helmholtz Zentrum Munchen)
• The Laboratory of Dr. Takeshi Iwatsubo (University of Tokyo) - Genta Ito, PhD
• The Laboratory of Dr. Jeremy Nichols (The Parkinson's Institute)
• The Laboratory of Dr. Andrew West (University of Alabama)

Patented technology
Our RabMAb® technology is a patented hybridoma-based technology for making rabbit monoclonal antibodies. For details on our patents, please refer to RabMAb® patents.

What are the advantages of a recombinant monoclonal antibody?
This product is a recombinant monoclonal antibody, which offers several advantages including:

  • - High batch-to-batch consistency and reproducibility
  • - Improved sensitivity and specificity
  • - Long-term security of supply
  • - Animal-free batch production

For more information, read more on recombinant antibodies.

Conjugation ready
Our carrier-free antibodies are typically supplied in a PBS-only formulation, purified and free of BSA, sodium azide and glycerol. This conjugation-ready format is designed for use with fluorochromes, metal isotopes, oligonucleotides, and enzymes, which makes them ideal for antibody labelling, functional and cell-based assays, flow-based assays (e.g. mass cytometry) and Multiplex Imaging applications.

Use our conjugation kits for antibody conjugates that are ready-to-use in as little as 20 minutes with 1 minute hands-on-time and 100% antibody recovery: available for fluorescent dyes, HRP, biotin and gold.

Compatibility
This product is compatible with the Maxpar® Antibody Labeling Kit from Fluidigm, without the need for antibody preparation. Maxpar® is a trademark of Fluidigm Canada Inc.

Collaborations
This antibody was developed with support from The Michael J. Fox Foundation.

Properties and storage information

Form
Liquid
Purification technique
Affinity purification Protein A
Storage buffer
pH: 7.2 - 7.4 Constituents: PBS
Shipped at conditions
Blue Ice
Appropriate short-term storage conditions
+4°C
Appropriate long-term storage conditions
+4°C
Storage information
Do Not Freeze

Supplementary information

This supplementary information is collated from multiple sources and compiled automatically.

The protein LRRK2 also known as leucine-rich repeat kinase 2 or dardarin is an enzyme with a molecular weight of approximately 286 kDa. It functions as a kinase meaning it adds phosphate groups to other proteins which affects their activity. LRRK2 is expressed in various tissues but it is highly abundant in the brain especially in regions such as the striatum and cortex. It has a significant role in cellular signaling processes due to its phosphorylation activity.
Biological function summary

LRRK2 interacts with cellular mechanisms by regulating cytoskeletal dynamics autophagy and vesicle trafficking. It is a part of a larger complex that includes other proteins involved in these processes. The kinase activity of LRRK2 plays an essential part in maintaining neuronal health and function. It influences the process of autophagy which is a way cells clean themselves by removing damaged components and recycling them.

Pathways

The action of LRRK2 is central to the mitogen-activated protein kinase (MAPK) and the mammalian target of rapamycin (mTOR) pathways. In these pathways LRRK2 interacts with other proteins such as mTOR and RPS6KB1. It modulates cellular processes like growth proliferation and response to stressors. Its kinase activity affects the phosphorylation state of targets within the pathways hence influencing biological outcomes like survival and apoptosis.

LRRK2 mutations have a significant connection to Parkinson's disease and Crohn's disease. In Parkinson's disease mutated LRRK2 leads to abnormal protein aggregation linking to proteins such as alpha-synuclein. For Crohn's disease LRRK2 influences the immune response and intestinal inflammation. These connections highlight LRRK2's role in the pathogenesis and contribute to understanding these complex disorders.

Product protocols

For this product, it's our understanding that no specific protocols are required. You can visit:

Target data

The protein expressed by the gene LRRK2 is a serine/threonine-protein kinase that phosphorylates a wide range of proteins involved in neuronal plasticity, autophagy, and vesicle trafficking. It serves as a key regulator of RAB GTPases by affecting the GTP/GDP exchange and interaction partners of RABs through phosphorylation, targeting proteins like RAB3A, RAB3B, and others. LRRK2 manages the GDP/GTP exchange for RAB8A by phosphorylating 'Thr-72', inhibiting RAB8A's interaction with GDI1/GDI2, and influencing primary ciliogenesis to enhance SHH signaling in the brain. It works with RAB29 in retromer-dependent recycling of proteins between lysosomes and the Golgi. The protein is involved in shaping neuronal morphology in the CNS, synaptic vesicle trafficking, and recruiting SEC16A to assist in ER to Golgi transport. It enhances autophagy via the CaMKK/AMPK pathway and relates to nicotinic acid adenine dinucleotide phosphate receptors and lysosomal activity. LRRK2 phosphorylates PRDX3 and APP, influencing neuron apoptosis. Independently, it inhibits MAPT degradation, fostering MAPT oligomerization. Additionally, LRRK2 possesses GTPase activity that regulates its kinase activity. This supplementary information is collated from multiple sources and compiled automatically.
See full target information LRRK2 phospho T1503

Product promise

We are committed to supporting your work with high-quality reagents, and we're here for you every step of the way. In the unlikely event that one of our products does not perform as expected, you're protected by our Product Promise.
For full details, please see our Terms & Conditions

Please note: All products are 'FOR RESEARCH USE ONLY. NOT FOR USE IN DIAGNOSTIC OR THERAPEUTIC PROCEDURES'.

For licensing inquiries, please contact partnerships@abcam.com