JavaScript is disabled in your browser. Please enable JavaScript to view this website.
AB188018

Anti-LRRN4CL antibody

Be the first to review this product! Submit a review

|

(1 Publication)

Rabbit Polyclonal LRRN4CL antibody. Suitable for IHC-P, WB, ICC/IF and reacts with Human samples. Cited in 1 publication. Immunogen corresponding to Recombinant Fragment Protein within Human LRRN4CL aa 1-150.

View Alternative Names

UNQ728/PRO1410, LRRN4CL, LRRN4 C-terminal-like protein

4 Images
Immunohistochemistry (Formalin/PFA-fixed paraffin-embedded sections) - Anti-LRRN4CL antibody (AB188018)
  • IHC-P

Supplier Data

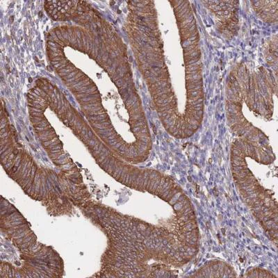
Immunohistochemistry (Formalin/PFA-fixed paraffin-embedded sections) - Anti-LRRN4CL antibody (AB188018)

Immunohistochemical analysis of paraffin-embedded human uterus tissue labeling LRRN4CL (high expression) with ab188018 at a 1/1000 dilution.

Performed heat mediated antigen retrieval with citrate buffer pH 6 before commencing with IHC staining protocol.

Immunohistochemistry (Formalin/PFA-fixed paraffin-embedded sections) - Anti-LRRN4CL antibody (AB188018)
  • IHC-P

Supplier Data

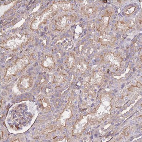
Immunohistochemistry (Formalin/PFA-fixed paraffin-embedded sections) - Anti-LRRN4CL antibody (AB188018)

Immunohistochemical analysis of paraffin-embedded human kidney tissue labeling LRRN4CL (low expression) with ab188018 at a 1/1000 dilution.

Performed heat mediated antigen retrieval with citrate buffer pH 6 before commencing with IHC staining protocol.

Immunocytochemistry/ Immunofluorescence - Anti-LRRN4CL antibody (AB188018)
  • ICC/IF

Supplier Data

Immunocytochemistry/ Immunofluorescence - Anti-LRRN4CL antibody (AB188018)

Immunocytochemical analysis of BJ (Human skin fibroblast cell line) whole cells labeling LRRN4CL in the nucleoplasm with ab188018 at 2 μg/ml.

Western blot - Anti-LRRN4CL antibody (AB188018)
  • WB

Supplier Data

Western blot - Anti-LRRN4CL antibody (AB188018)

All lanes:

Western blot - Anti-LRRN4CL antibody (ab188018) at 0.4 µg/mL

Lane 1:

Control (vector only transfected) - HEK-293T (Human epithelial cell line from embryonic kidney transformed with large T antigen) whole cell lysate

Lane 2:

LRRN4CL over-expression - HEK-293T whole cell lysate, Co-expressed with a C-terminal myc-DDK tag (~3.1 kDa)

Predicted band size: 25 kDa

false

Key facts

Host species

Rabbit

Clonality

Polyclonal

Isotype

IgG

Carrier free

No

Reacts with

Human

Applications

ICC/IF, WB, IHC-P

applications

Immunogen

Recombinant Fragment Protein within Human LRRN4CL aa 1-150. The exact immunogen used to generate this antibody is proprietary information.

Q8ND94

Reactivity data

{ "title": "Reactivity Data", "filters": { "stats": ["", "Species", "Dilution Info", "Notes"], "tabs": { "all-applications": {"fullname" : "All Applications", "shortname": "All Applications"}, "IHCP" : {"fullname" : "Immunohistochemistry (Formalin/PFA-fixed paraffin-embedded sections)", "shortname":"IHC-P"}, "WB" : {"fullname" : "Western blot", "shortname":"WB"}, "ICCIF" : {"fullname" : "Immunocytochemistry/ Immunofluorescence", "shortname":"ICC/IF"} }, "product-promise": { "all": "all", "testedAndGuaranteed": "tested", "guaranteed": "expected", "predicted": "predicted", "notRecommended": "not-recommended" } }, "values": { "Human": { "IHCP-species-checked": "testedAndGuaranteed", "IHCP-species-dilution-info": "1/1000 - 1/2500", "IHCP-species-notes": "<p></p> Perform heat-mediated antigen retrieval with citrate buffer pH 6 before commencing with IHC staining protocol.", "WB-species-checked": "testedAndGuaranteed", "WB-species-dilution-info": "0.04-0.4 µg/mL", "WB-species-notes": "<p></p>", "ICCIF-species-checked": "testedAndGuaranteed", "ICCIF-species-dilution-info": "0.25-2 µg/mL", "ICCIF-species-notes": "<p>Fixation/Permeabilization: PFA/Triton X-100</p>" } } }

Properties and storage information

Form
Liquid
Purification technique
Affinity purification Immunogen
Storage buffer
pH: 7.2 Preservative: 0.02% Sodium azide Constituents: PBS, 40% Glycerol (glycerin, glycerine)
Shipped at conditions
Blue Ice
Appropriate short-term storage duration
1-2 weeks
Appropriate short-term storage conditions
+4°C
Appropriate long-term storage conditions
-20°C
Aliquoting information
Upon delivery aliquot
Storage information
Avoid freeze / thaw cycle

Supplementary information

This supplementary information is collated from multiple sources and compiled automatically.

The protein LRRN4CL also known as Leucine-Rich Repeat Neuronal 4C-Like plays a role in cellular signaling mechanisms. This protein has a mass of approximately 59 kDa and is expressed in neural tissues particularly within the central nervous system. LRRN4CL contains leucine-rich repeats that facilitate protein-protein interactions suggesting its involvement in complex cellular activities. Expression in the brain indicates its potential function in neural development or function.
Biological function summary

LRRN4CL is involved in neuronal differentiation and synaptic formation. The protein is part of the leucine-rich repeat protein family which mediates diverse cellular functions in neurons. LRRN4CL likely interacts with other neuronal proteins to promote synaptic connectivity. Additionally its location in brain tissues suggests a role in modulating neural pathways or responses during brain development or in mature neurons.

Pathways

LRRN4CL is involved in the neurodevelopmental signaling pathways like the Notch signaling pathway which is important for cell fate determination in neural stem cells. It interacts with proteins such as Notch receptors to influence neuronal differentiation. LRRN4CL plays a role in the Wnt signaling pathway which contributes to processes such as synaptic plasticity possibly through its interaction with components like beta-catenin.

LRRN4CL is associated with neurological conditions such as autism spectrum disorders (ASD) and schizophrenia. In ASD changes in LRRN4CL expression may disrupt normal synaptic function impacting cognitive and social behaviors. The protein's association with schizophrenia may involve altered signaling pathways related to synaptic neurotransmission. Changes in related proteins such as Notch receptors further suggest LRRN4CL's role in these disorders highlighting its importance in maintaining neural function and integrity.

Product protocols

For this product, it's our understanding that no specific protocols are required. You can visit:

Publications (1)

Recent publications for all applications. Explore the full list and refine your search

Cell death & disease 14:695 PubMed37872147

2023

The E3 ligase TRIM26 suppresses ferroptosis through catalyzing K63-linked ubiquitination of GPX4 in glioma.

Applications

Unspecified application

Species

Unspecified reactive species

Zhangjie Wang,Yuan Xia,Yang Wang,Ruiqiu Zhu,Hongbo Li,Yu Liu,Na Shen
View all publications

Product promise

We are committed to supporting your work with high-quality reagents, and we're here for you every step of the way. In the unlikely event that one of our products does not perform as expected, you're protected by our Product Promise.
For full details, please see our Terms & Conditions

Please note: All products are 'FOR RESEARCH USE ONLY. NOT FOR USE IN DIAGNOSTIC OR THERAPEUTIC PROCEDURES'.

For licensing inquiries, please contact partnerships@abcam.com