JavaScript is disabled in your browser. Please enable JavaScript to view this website.
AB250769

Anti-LSM5 antibody [EPR10690] - BSA and Azide free

Be the first to review this product! Submit a review

|

(0 Publication)

Rabbit Recombinant Monoclonal LSM5 antibody. Carrier free. Suitable for ICC/IF, WB, Flow Cyt (Intra), IHC-P and reacts with Human samples.

View Alternative Names

U6 snRNA-associated Sm-like protein LSm5, LSM5

5 Images
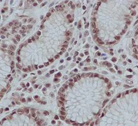
Immunohistochemistry (Formalin/PFA-fixed paraffin-embedded sections) - Anti-LSM5 antibody [EPR10690] - BSA and Azide free (AB250769)
  • IHC-P

Supplier Data

Immunohistochemistry (Formalin/PFA-fixed paraffin-embedded sections) - Anti-LSM5 antibody [EPR10690] - BSA and Azide free (AB250769)

This data was developed using ab184568, the same antibody clone in a different buffer formulation.

Immunohistochemical analysis of paraffin embedded Human stomach tissue labeling LSM5 with ab184568 a 1/100 dilution. Counterstained with Hematoxylin.

Perform heat mediated antigen retrieval with EDTA buffer pH 9 before commencing with IHC staining protocol.

Immunohistochemistry (Formalin/PFA-fixed paraffin-embedded sections) - Anti-LSM5 antibody [EPR10690] - BSA and Azide free (AB250769)
  • IHC-P

Supplier Data

Immunohistochemistry (Formalin/PFA-fixed paraffin-embedded sections) - Anti-LSM5 antibody [EPR10690] - BSA and Azide free (AB250769)

This data was developed using ab184568, the same antibody clone in a different buffer formulation.

Immunohistochemical analysis of paraffin embedded Human astrocytoma tissue labeling LSM5 with ab184568 at a 1/100 dilution. Counterstained with Hematoxylin.

Perform heat mediated antigen retrieval with EDTA buffer pH 9 before commencing with IHC staining protocol.

Flow Cytometry (Intracellular) - Anti-LSM5 antibody [EPR10690] - BSA and Azide free (AB250769)
  • Flow Cyt (Intra)

Supplier Data

Flow Cytometry (Intracellular) - Anti-LSM5 antibody [EPR10690] - BSA and Azide free (AB250769)

This data was developed using ab184568, the same antibody clone in a different buffer formulation.

Intracellular Flow Cytometry analysis of T47-D cells using ab184568 at a 1/110 dilution (red) or a Rabbit monoclonal IgG (negative) (green). Goat anti rabbit IgG (FITC) secondary used at a 1/150 dilution.

Immunocytochemistry/ Immunofluorescence - Anti-LSM5 antibody [EPR10690] - BSA and Azide free (AB250769)
  • ICC/IF

Supplier Data

Immunocytochemistry/ Immunofluorescence - Anti-LSM5 antibody [EPR10690] - BSA and Azide free (AB250769)

This data was developed using ab184568, the same antibody clone in a different buffer formulation.

Immunofluorescence analysis of 4% paraformaldehyde fixed T47-D cells labeling LSM5 with ab184568 at a 1/500 dilution. Goat anti rabbit IgG (Alexa Fluor®555) secondary used at a 1/200 diution. Conterstained with Dapi (right image).

Western blot - Anti-LSM5 antibody [EPR10690] - BSA and Azide free (AB250769)
  • WB

Supplier Data

Western blot - Anti-LSM5 antibody [EPR10690] - BSA and Azide free (AB250769)

This data was developed using ab184568, the same antibody clone in a different buffer formulation.

All lanes:

Western blot - Anti-LSM5 antibody [EPR10690] (<a href='/en-us/products/primary-antibodies/lsm5-antibody-epr10690-ab184568'>ab184568</a>) at 1/10000 dilution

All lanes:

T47-D lysate at 10 µg

Secondary

All lanes:

Goat Anti-Rabbit IgG, (H+L), Peroxidase conjugated at 1/1000 dilution

Predicted band size: 10 kDa

false

Key facts

Host species

Rabbit

Clonality

Monoclonal

Clone number

EPR10690

Isotype

IgG

Carrier free

Yes

Reacts with

Human

Applications

Flow Cyt (Intra), ICC/IF, WB, IHC-P

applications

Immunogen

The exact immunogen used to generate this antibody is proprietary information.

Reactivity data

{ "title": "Reactivity Data", "filters": { "stats": ["", "Species", "Dilution Info", "Notes"], "tabs": { "all-applications": {"fullname" : "All Applications", "shortname": "All Applications"}, "ICCIF" : {"fullname" : "Immunocytochemistry/ Immunofluorescence", "shortname":"ICC/IF"}, "WB" : {"fullname" : "Western blot", "shortname":"WB"}, "FlowCytIntra" : {"fullname" : "Flow Cytometry (Intracellular)", "shortname":"Flow Cyt (Intra)"}, "IHCP" : {"fullname" : "Immunohistochemistry (Formalin/PFA-fixed paraffin-embedded sections)", "shortname":"IHC-P"} }, "product-promise": { "all": "all", "testedAndGuaranteed": "tested", "guaranteed": "expected", "predicted": "predicted", "notRecommended": "not-recommended" } }, "values": { "Human": { "ICCIF-species-checked": "testedAndGuaranteed", "ICCIF-species-dilution-info": "", "ICCIF-species-notes": "<p></p>", "WB-species-checked": "testedAndGuaranteed", "WB-species-dilution-info": "", "WB-species-notes": "<p></p>", "FlowCytIntra-species-checked": "testedAndGuaranteed", "FlowCytIntra-species-dilution-info": "", "FlowCytIntra-species-notes": "<p></p>", "IHCP-species-checked": "testedAndGuaranteed", "IHCP-species-dilution-info": "", "IHCP-species-notes": "<p></p>" }, "Mouse": { "ICCIF-species-checked": "predicted", "ICCIF-species-dilution-info": "", "ICCIF-species-notes": "", "WB-species-checked": "predicted", "WB-species-dilution-info": "", "WB-species-notes": "", "FlowCytIntra-species-checked": "predicted", "FlowCytIntra-species-dilution-info": "", "FlowCytIntra-species-notes": "", "IHCP-species-checked": "predicted", "IHCP-species-dilution-info": "", "IHCP-species-notes": "" }, "Rat": { "ICCIF-species-checked": "predicted", "ICCIF-species-dilution-info": "", "ICCIF-species-notes": "", "WB-species-checked": "predicted", "WB-species-dilution-info": "", "WB-species-notes": "", "FlowCytIntra-species-checked": "predicted", "FlowCytIntra-species-dilution-info": "", "FlowCytIntra-species-notes": "", "IHCP-species-checked": "predicted", "IHCP-species-dilution-info": "", "IHCP-species-notes": "" } } }

Product details

ab250769 is the carrier-free version of ab184568.

Patented technology
Our RabMAb® technology is a patented hybridoma-based technology for making rabbit monoclonal antibodies. For details on our patents, please refer to RabMAb® patents.

What are the advantages of a recombinant monoclonal antibody?
This product is a recombinant monoclonal antibody, which offers several advantages including:

  • - High batch-to-batch consistency and reproducibility
  • - Improved sensitivity and specificity
  • - Long-term security of supply
  • - Animal-free batch production

For more information, read more on recombinant antibodies.

Conjugation ready
Our carrier-free antibodies are typically supplied in a PBS-only formulation, purified and free of BSA, sodium azide and glycerol. This conjugation-ready format is designed for use with fluorochromes, metal isotopes, oligonucleotides, and enzymes, which makes them ideal for antibody labelling, functional and cell-based assays, flow-based assays (e.g. mass cytometry) and Multiplex Imaging applications.

Use our conjugation kits for antibody conjugates that are ready-to-use in as little as 20 minutes with 1 minute hands-on-time and 100% antibody recovery: available for fluorescent dyes, HRP, biotin and gold.

Compatibility
This product is compatible with the Maxpar® Antibody Labeling Kit from Fluidigm, without the need for antibody preparation. Maxpar® is a trademark of Fluidigm Canada Inc.

Properties and storage information

Form
Liquid
Purification technique
Affinity purification Protein A
Storage buffer
pH: 7.2 - 7.4 Constituents: PBS
Shipped at conditions
Blue Ice
Appropriate short-term storage conditions
+4°C
Appropriate long-term storage conditions
+4°C
Storage information
Do Not Freeze

Supplementary information

This supplementary information is collated from multiple sources and compiled automatically.

LSM5 also known as U6 snRNA-associated Sm-like protein LSm5 plays an important role in the mechanics of RNA processing. This protein has a mass of approximately 9.7 kDa. LSM5 is expressed in various tissues with notable concentrations found in the cytoplasm and nucleus. It functions as part of the larger Lsm protein family which is known for playing roles in mRNA degradation and splicing.
Biological function summary

LSM5 participates in the formation and stabilization of the U6 snRNA. As a member of the Lsm complex it supports RNA processing and stability. The Lsm complex typically consists of seven Lsm proteins including LSM5 forming a heptameric ring structure. This complex assists in the splicing of pre-mRNA a critical step in the regulation of gene expression. By binding to the 3’ end of U6 snRNA LSM5 facilitates the splicing mechanism necessary for proper mRNA maturation.

Pathways

LSM5 is actively involved in the RNA splicing pathway an important step for gene expression and mRNA maturation. One notable pathway it participates in is the spliceosome cycle closely associated with the processing of pre-mRNA into mature mRNA. In these pathways LSM5 interacts with other components such as U6 snRNP and helps in regulating spliceosomal dynamics. This highlights LSM5's role in maintaining the fidelity and efficiency of mRNA splicing.

LSM5 links to certain conditions stemming from defective RNA processing. One example is spinal muscular atrophy a disorder that affects the motor neurons due to impaired splicing. LSM5 also associates with amyotrophic lateral sclerosis (ALS) which involves RNA metabolism disruption. In these diseases LSM5's interaction with proteins like SMN (survival of motor neuron) and TDP-43 can disrupt normal cellular functions and lead to disease progression.

Product protocols

For this product, it's our understanding that no specific protocols are required. You can visit:

Target data

Plays a role in pre-mRNA splicing as component of the U4/U6-U5 tri-snRNP complex that is involved in spliceosome assembly, and as component of the precatalytic spliceosome (spliceosome B complex) (PubMed : 28781166). The heptameric LSM2-8 complex binds specifically to the 3'-terminal U-tract of U6 snRNA (PubMed : 10523320).
See full target information LSM5

Product promise

We are committed to supporting your work with high-quality reagents, and we're here for you every step of the way. In the unlikely event that one of our products does not perform as expected, you're protected by our Product Promise.
For full details, please see our Terms & Conditions

Please note: All products are 'FOR RESEARCH USE ONLY. NOT FOR USE IN DIAGNOSTIC OR THERAPEUTIC PROCEDURES'.

For licensing inquiries, please contact partnerships@abcam.com