JavaScript is disabled in your browser. Please enable JavaScript to view this website.
AB248682

Anti-LSP1 antibody [EPR3160] - BSA and Azide free

Be the first to review this product! Submit a review

|

(1 Publication)

Rabbit Recombinant Monoclonal LSP1 antibody. Carrier free. Suitable for IHC-P, WB and reacts with Human samples. Cited in 1 publication.

View Alternative Names

WP34, LSP1, Lymphocyte-specific protein 1, 47 kDa actin-binding protein, 52 kDa phosphoprotein, Lymphocyte-specific antigen WP34, pp52

1 Images
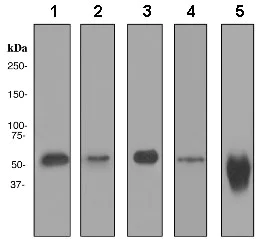
Western blot - Anti-LSP1 antibody [EPR3160] - BSA and Azide free (AB248682)
  • WB

Unknown

Western blot - Anti-LSP1 antibody [EPR3160] - BSA and Azide free (AB248682)

This data was developed using ab134099, the same antibody clone in a different buffer formulation.

All lanes:

Western blot - Anti-LSP1 antibody [EPR3160] - BSA and Azide free (ab248682) at 1/1000 dilution

Lane 1:

Daudi cell lysate at 10 µg

Lane 2:

Ramos cell lysate at 10 µg

Lane 3:

HuT-7 cell lysate at 10 µg

Lane 4:

U937 cell lysate at 10 µg

Lane 5:

K562 cell lysate at 10 µg

Secondary

All lanes:

HRP labelled goat anti-rabbit at 1/2000 dilution

Predicted band size: 37 kDa

false

Key facts

Host species

Rabbit

Clonality

Monoclonal

Clone number

EPR3160

Isotype

IgG

Carrier free

Yes

Reacts with

Human

Applications

IHC-P, WB

applications

Immunogen

The exact immunogen used to generate this antibody is proprietary information.

Reactivity data

{ "title": "Reactivity Data", "filters": { "stats": ["", "Species", "Dilution Info", "Notes"], "tabs": { "all-applications": {"fullname" : "All Applications", "shortname": "All Applications"}, "IHCP" : {"fullname" : "Immunohistochemistry (Formalin/PFA-fixed paraffin-embedded sections)", "shortname":"IHC-P"}, "ICCIF" : {"fullname" : "Immunocytochemistry/ Immunofluorescence", "shortname":"ICC/IF"}, "IP" : {"fullname" : "Immunoprecipitation", "shortname":"IP"}, "FlowCyt" : {"fullname" : "Flow Cytometry", "shortname":"Flow Cyt"}, "WB" : {"fullname" : "Western blot", "shortname":"WB"} }, "product-promise": { "all": "all", "testedAndGuaranteed": "tested", "guaranteed": "expected", "predicted": "predicted", "notRecommended": "not-recommended" } }, "values": { "Human": { "IHCP-species-checked": "testedAndGuaranteed", "IHCP-species-dilution-info": "", "IHCP-species-notes": "<p></p> Perform heat-mediated antigen retrieval with citrate buffer pH 6 before commencing with IHC staining protocol.", "ICCIF-species-checked": "notRecommended", "ICCIF-species-dilution-info": "", "ICCIF-species-notes": "<p></p>", "IP-species-checked": "notRecommended", "IP-species-dilution-info": "", "IP-species-notes": "<p></p>", "FlowCyt-species-checked": "notRecommended", "FlowCyt-species-dilution-info": "", "FlowCyt-species-notes": "<p></p>", "WB-species-checked": "testedAndGuaranteed", "WB-species-dilution-info": "", "WB-species-notes": "<p></p>" } } }

Product details

ab248682 is the carrier-free version of ab134099.

Species reactivity
Mouse, Rat: We have preliminary internal testing data to indicate this antibody may not react with these species.
Please contact us for more information.

Patented technology
Our RabMAb® technology is a patented hybridoma-based technology for making rabbit monoclonal antibodies. For details on our patents, please refer to RabMAb® patents.

What are the advantages of a recombinant monoclonal antibody?
This product is a recombinant monoclonal antibody, which offers several advantages including:

  • - High batch-to-batch consistency and reproducibility
  • - Improved sensitivity and specificity
  • - Long-term security of supply
  • - Animal-free batch production

For more information, read more on recombinant antibodies.

Conjugation ready
Our carrier-free antibodies are typically supplied in a PBS-only formulation, purified and free of BSA, sodium azide and glycerol. This conjugation-ready format is designed for use with fluorochromes, metal isotopes, oligonucleotides, and enzymes, which makes them ideal for antibody labelling, functional and cell-based assays, flow-based assays (e.g. mass cytometry) and Multiplex Imaging applications.

Use our conjugation kits for antibody conjugates that are ready-to-use in as little as 20 minutes with 1 minute hands-on-time and 100% antibody recovery: available for fluorescent dyes, HRP, biotin and gold.

Compatibility
This product is compatible with the Maxpar® Antibody Labeling Kit from Fluidigm, without the need for antibody preparation. Maxpar® is a trademark of Fluidigm Canada Inc.

Properties and storage information

Form
Liquid
Purification technique
Affinity purification Protein A
Storage buffer
pH: 7.2 - 7.4 Constituents: PBS
Shipped at conditions
Blue Ice
Appropriate short-term storage conditions
+4°C
Appropriate long-term storage conditions
+4°C
Storage information
Do Not Freeze

Supplementary information

This supplementary information is collated from multiple sources and compiled automatically.

Lymphocyte-specific protein 1 also known as LSP1 is a 52 kDa intracellular F-actin binding protein. It plays a role in cytoskeletal organization and cell motility. This protein has significant expression in lymphocytes neutrophils macrophages and endothelial cells. LSP1 modulates several cellular functions including adhesion and migration by interacting with the actin cytoskeleton. Known alternatively as pp52 and WD-40 repeat-containing protein 1 LSP1 acts as a link connecting signal transduction from cell surface receptors to cytoskeletal regions.
Biological function summary

LSP1 influences immune cell regulation and inflammatory response. By acting as an important player in the modulation of actin polymerization it contributes to leukocyte chemotaxis and transmigration. LSP1 forms part of a larger protein complex involved in reorganizing the cytoskeleton facilitating cellular dynamics necessary for immune response. Additionally interactions with adapter proteins like 14-3-3 add another level of functional regulation.

Pathways

LSP1 integrates into the chemokine signaling pathway and the P38 MAPK signaling pathway. In these pathways it exerts influence on cellular processes such as migration and response to external stimuli. It shows connections with proteins such as CXCR4 and MAPK highlighting its role in conveying chemotactic signals that direct immune cells toward inflammatory sites. These interactions are integral in establishing directionality and speed of cell movement in response to chemokine gradients.

Aberrations in LSP1 function or expression link to autoimmune conditions like systemic lupus erythematosus and vascular disorders like atherosclerosis. Its role in mediating vascular permeability and leukocyte migration suggests that dysregulation can contribute to pathogenic inflammation. Related proteins like MCP-1 and ICAM-1 participate in these disease pathways highlighting the involvement of LSP1 in modulating endothelial responses and immune cell recruitment at sites of inflammation.

Product protocols

For this product, it's our understanding that no specific protocols are required. You can visit:

Target data

May play a role in mediating neutrophil activation and chemotaxis.
See full target information LSP1

Publications (1)

Recent publications for all applications. Explore the full list and refine your search

Theranostics 12:4513-4535 PubMed35832075

2022

Blockade of phosphotyrosine pathways suggesting SH2 superbinder as a novel therapy for pulmonary fibrosis.

Applications

Unspecified application

Species

Unspecified reactive species

Meng Wang,An-Dong Liu,Qian Niu,Xiao Feng,Yuan-Yi Zheng,Shuai-Jun Chen,Hui Xu,Qian Li,Guo-Qing Hou,Xiao-Yang Bi,Yu-Zhi Lu,Pei-Pei Cheng,Li-Mei Liang,Ye-Han Jiang,Li-Qin Zhao,Fei Liu,Lin-Jie Song,Li-Ling Zhou,Ling-Yan Xiao,Feng Chen,Shawn Shun-Cheng Li,Wan-Li Ma,Xuan Cao,Hong Ye
View all publications

Product promise

We are committed to supporting your work with high-quality reagents, and we're here for you every step of the way. In the unlikely event that one of our products does not perform as expected, you're protected by our Product Promise.
For full details, please see our Terms & Conditions

Please note: All products are 'FOR RESEARCH USE ONLY. NOT FOR USE IN DIAGNOSTIC OR THERAPEUTIC PROCEDURES'.

For licensing inquiries, please contact partnerships@abcam.com