JavaScript is disabled in your browser. Please enable JavaScript to view this website.
AB232780

Anti-LSR antibody

Be the first to review this product! Submit a review

|

(0 Publication)

Rabbit Polyclonal LSR antibody. Suitable for WB, IHC-P, ICC/IF and reacts with Mouse, Rat, Human samples. Immunogen corresponding to Recombinant Fragment Protein within Mouse Lsr aa 1-250.

View Alternative Names

ILDR3, LISCH, LSR, Lipolysis-stimulated lipoprotein receptor, Angulin-1

6 Images
Western blot - Anti-LSR antibody (AB232780)
  • WB

Supplier Data

Western blot - Anti-LSR antibody (AB232780)

All lanes:

Western blot - Anti-LSR antibody (ab232780) at 3 µg/mL

Lane 1:

Rat liver tissue lysate

Lane 2:

Mouse liver tissue lysate

Lane 3:

HepG2 (human liver hepatocellular carcinoma cell line) cell lysate

Secondary

All lanes:

HRP-Linked Guinea pig Anti-Rabbit Ab at 1/2000 dilution

Predicted band size: 71 kDa

false

Immunocytochemistry/ Immunofluorescence - Anti-LSR antibody (AB232780)
  • ICC/IF

Supplier Data

Immunocytochemistry/ Immunofluorescence - Anti-LSR antibody (AB232780)

HepG2 (human liver hepatocellular carcinoma cell line) cells stained for LSR using ab232780 at 20μg/mL in ICC/IF. FITC-labeled secondary antibody.

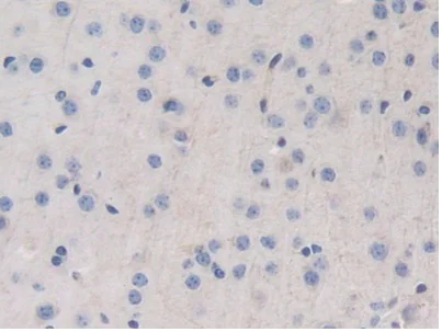
Immunohistochemistry (Formalin/PFA-fixed paraffin-embedded sections) - Anti-LSR antibody (AB232780)
  • IHC-P

Supplier Data

Immunohistochemistry (Formalin/PFA-fixed paraffin-embedded sections) - Anti-LSR antibody (AB232780)

Formalin-fixed, paraffin-embedded mouse cerebrum tissue stained for LSR using ab232780 at 20μg/mL in immunohistochemical analysis. DAB staining.

Western blot - Anti-LSR antibody (AB232780)
  • WB

Supplier Data

Western blot - Anti-LSR antibody (AB232780)

All lanes:

Western blot - Anti-LSR antibody (ab232780) at 2 µg/mL

All lanes:

Recombinant mouse LSR protein

Predicted band size: 71 kDa

false

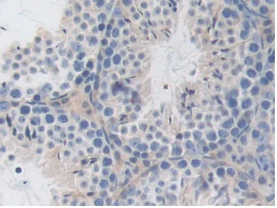
Immunohistochemistry (Formalin/PFA-fixed paraffin-embedded sections) - Anti-LSR antibody (AB232780)
  • IHC-P

Supplier Data

Immunohistochemistry (Formalin/PFA-fixed paraffin-embedded sections) - Anti-LSR antibody (AB232780)

Formalin-fixed, paraffin-embedded mouse testis tissue stained for LSR using ab232780 at 20μg/mL in immunohistochemical analysis. DAB staining.

Immunohistochemistry (Formalin/PFA-fixed paraffin-embedded sections) - Anti-LSR antibody (AB232780)
  • IHC-P

Supplier Data

Immunohistochemistry (Formalin/PFA-fixed paraffin-embedded sections) - Anti-LSR antibody (AB232780)

Formalin-fixed, paraffin-embedded mouse heart tissue stained for LSR using ab232780 at 20 μg/mL in immunohistochemical analysis. DAB staining.

Key facts

Host species

Rabbit

Clonality

Polyclonal

Isotype

IgG

Carrier free

No

Reacts with

Mouse, Rat, Human

Applications

ICC/IF, WB, IHC-P

applications

Immunogen

Recombinant Fragment Protein within Mouse Lsr aa 1-250. The exact immunogen used to generate this antibody is proprietary information.

Q99KG5

Reactivity data

{ "title": "Reactivity Data", "filters": { "stats": ["", "Species", "Dilution Info", "Notes"], "tabs": { "all-applications": {"fullname" : "All Applications", "shortname": "All Applications"}, "WB" : {"fullname" : "Western blot", "shortname":"WB"}, "IHCP" : {"fullname" : "Immunohistochemistry (Formalin/PFA-fixed paraffin-embedded sections)", "shortname":"IHC-P"}, "ICCIF" : {"fullname" : "Immunocytochemistry/ Immunofluorescence", "shortname":"ICC/IF"} }, "product-promise": { "all": "all", "testedAndGuaranteed": "tested", "guaranteed": "expected", "predicted": "predicted", "notRecommended": "not-recommended" } }, "values": { "Human": { "WB-species-checked": "guaranteed", "WB-species-dilution-info": "", "WB-species-notes": "", "IHCP-species-checked": "guaranteed", "IHCP-species-dilution-info": "", "IHCP-species-notes": "", "ICCIF-species-checked": "testedAndGuaranteed", "ICCIF-species-dilution-info": "5-20 µg/mL", "ICCIF-species-notes": "<p></p>" }, "Mouse": { "WB-species-checked": "testedAndGuaranteed", "WB-species-dilution-info": "0.5-2 µg/mL", "WB-species-notes": "<p></p>", "IHCP-species-checked": "testedAndGuaranteed", "IHCP-species-dilution-info": "5-20 µg/mL", "IHCP-species-notes": "<p></p>", "ICCIF-species-checked": "guaranteed", "ICCIF-species-dilution-info": "", "ICCIF-species-notes": "" }, "Rat": { "WB-species-checked": "testedAndGuaranteed", "WB-species-dilution-info": "0.5-2 µg/mL", "WB-species-notes": "<p></p>", "IHCP-species-checked": "guaranteed", "IHCP-species-dilution-info": "", "IHCP-species-notes": "", "ICCIF-species-checked": "guaranteed", "ICCIF-species-dilution-info": "", "ICCIF-species-notes": "" } } }

Properties and storage information

Form
Liquid
Purification technique
Affinity purification Immunogen
Purification notes
Antigen-specific affinity chromatography followed by Protein A affinity chromatography.
Storage buffer
pH: 7.4 Preservative: 0.011% Proclin 300 Constituents: 55.77% Glycerol (glycerin, glycerine), 44.219% PBS
Shipped at conditions
Blue Ice
Appropriate short-term storage duration
1-2 weeks
Appropriate short-term storage conditions
+4°C
Appropriate long-term storage conditions
-20°C
Aliquoting information
Upon delivery aliquot
Storage information
Avoid freeze / thaw cycle

Supplementary information

This supplementary information is collated from multiple sources and compiled automatically.

The LSR protein also known as Lipolysis Stimulated Lipoprotein Receptor functions mechanically as a component of the plasma membrane where it assists in lipid metabolism. It has a mass of approximately 68 kDa and plays an important role in endocytosis and binding of apolipoproteins. LSR is expressed significantly in liver and intestinal tissues. Researchers often study it for its involvement in lipid management in the human body.
Biological function summary

LSR interacts with other proteins to form a multimeric complex that regulates lipid processing. Its presence is essential for maintaining lipid homeostasis by binding chylomicrons and cholesterol-rich lipoproteins. The LSR complex plays a significant role in managing body lipid levels and maintaining cellular health. These processes contribute to the efficient transport and clearance of dietary fats which are essential functions in metabolic regulation.

Pathways

The activity of the LSR protein is integral to the lipid metabolism and cholesterol homeostasis pathways. Within these pathways LSR collaborates with proteins like APOB and APOE to facilitate lipid uptake and processing. It functions by enabling the clearance of chylomicron remnants and very low-density lipoprotein particles from the bloodstream maintaining lipid balance and preventing disorders related to lipid accumulation.

The dysfunction or altered expression of LSR can associate with hyperlipidemia and atherosclerosis. These conditions result from impaired lipid uptake and clearance leading to elevated blood lipid levels. LSR's interaction with apolipoproteins such as APOB links its activities to the metabolic disturbances observed in these diseases. Understanding LSR's role in lipid mechanisms provides potential avenues for therapeutic interventions targeting lipid-related disorders.

Product protocols

For this product, it's our understanding that no specific protocols are required. You can visit:

Target data

Probable role in the clearance of triglyceride-rich lipoprotein from blood. Binds chylomicrons, LDL and VLDL in presence of free fatty acids and allows their subsequent uptake in the cells (By similarity). Maintains epithelial barrier function by recruiting MARVELD2/tricellulin to tricellular tight junctions (By similarity).
See full target information LSR

Product promise

We are committed to supporting your work with high-quality reagents, and we're here for you every step of the way. In the unlikely event that one of our products does not perform as expected, you're protected by our Product Promise.
For full details, please see our Terms & Conditions

Associated Products

Select an associated product type
Alternative Product
Primary Antibodies

AB224237

Anti-LSR antibody

primary-antibodies

lsr-antibody-ab224237

0

(0 reviews)

Alternative Product
Primary Antibodies

AB191180

Anti-LSR antibody

primary-antibodies

lsr-antibody-ab191180

0

(0 reviews)

Please note: All products are 'FOR RESEARCH USE ONLY. NOT FOR USE IN DIAGNOSTIC OR THERAPEUTIC PROCEDURES'.

For licensing inquiries, please contact partnerships@abcam.com