JavaScript is disabled in your browser. Please enable JavaScript to view this website.
AB252839

Anti-LST1 antibody [7E2]

Be the first to review this product! Submit a review

|

(0 Publication)

Rat Recombinant Monoclonal LST1 antibody. Suitable for WB, IHC-P and reacts with Human, Mouse, Rat samples.

View Alternative Names

B144, LST1, Leukocyte-specific transcript 1 protein, Protein B144

4 Images
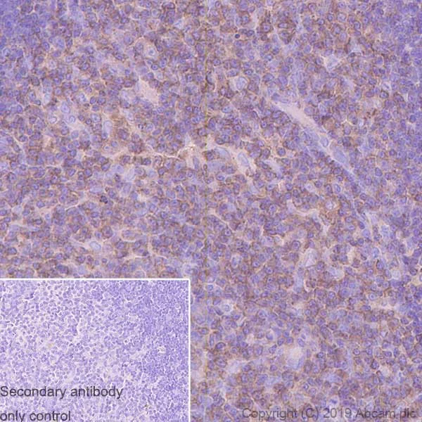
Immunohistochemistry (Formalin/PFA-fixed paraffin-embedded sections) - Anti-LST1 antibody [7E2] (AB252839)
  • IHC-P

Supplier Data

Immunohistochemistry (Formalin/PFA-fixed paraffin-embedded sections) - Anti-LST1 antibody [7E2] (AB252839)

Immunohistochemical analysis of paraffin-embedded human tonsil tissue labeling LST1 with ab252839 at 4.32μg/ml, followed by ready to use Goat Anti-Rat IgG H&L (HRP polymer) (ab214882). Positive staining on human tonsil tissue is observed. The section was incubated with ab252839 for 30 mins at RT. The immunostaining staining was performed on a Leica Biosystems BOND® RX instrument. Counterstained with hematoxylin.
Secondary antibody only control : Used PBS instead of primary antibody, followed by ready to use Goat Anti-Rat IgG H&L (HRP polymer) (ab214882). Heat mediated antigen retrieval with Tris-EDTA buffer (pH 9.0, epitope retrieval solution 2) for 20 mins.

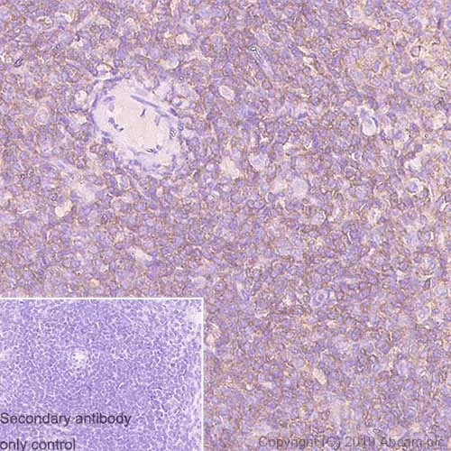
Immunohistochemistry (Formalin/PFA-fixed paraffin-embedded sections) - Anti-LST1 antibody [7E2] (AB252839)
  • IHC-P

Supplier Data

Immunohistochemistry (Formalin/PFA-fixed paraffin-embedded sections) - Anti-LST1 antibody [7E2] (AB252839)

Immunohistochemical analysis of paraffin-embedded mouse spleen tissue labeling LST1 with ab252839 at 4.32μg/ml, followed by ready to use Goat Anti-Rat IgG H&L (HRP polymer) (ab214882). Positive staining on mouse spleen tissue is observed. Counterstained with hematoxylin.
Secondary antibody only control : Used PBS instead of primary antibody, followed by ready to use Goat Anti-Rat IgG H&L (HRP polymer) (ab214882). Heat mediated antigen retrieval with Tris-EDTA buffer (pH 9.0, epitope retrieval solution 2) for 20 mins.

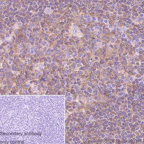
Immunohistochemistry (Formalin/PFA-fixed paraffin-embedded sections) - Anti-LST1 antibody [7E2] (AB252839)
  • IHC-P

Supplier Data

Immunohistochemistry (Formalin/PFA-fixed paraffin-embedded sections) - Anti-LST1 antibody [7E2] (AB252839)

Immunohistochemical analysis of paraffin-embedded rat thymus tissue labeling LST1 with ab252839 at 4.32μg/ml followed by ready to use Goat Anti-Rat IgG H&L (HRP polymer) (ab214882). Positive staining on rat thymus tissue is observed. The section was incubated with ab252839 for 30 mins at RT. The immunostaining staining was performed on a Leica Biosystems BOND® RX instrument. Counterstained with hematoxylin.
Secondary antibody only control : Used PBS instead of primary antibody, followed by ready to use Goat Anti-Rat IgG H&L (HRP polymer) (ab214882). Heat mediated antigen retrieval with Tris-EDTA buffer (pH 9.0, epitope retrieval solution 2) for 20 mins.

Western blot - Anti-LST1 antibody [7E2] (AB252839)
  • WB

Supplier Data

Western blot - Anti-LST1 antibody [7E2] (AB252839)

Blocking/Dilution buffer : 5% NFDM/TBST.

Exposure time : 3 mins.

The expression molecular weight observed is consistent with what has been described in the literature (PMID : 19663701).

This blot was developed using a higher sensitivity ECL substrate.

All lanes:

Western blot - Anti-LST1 antibody [7E2] (ab252839) at 0.432 µg/mL

All lanes:

HEK-293 (human embryonic kidney epithelial cell) lysate at 20 µg

Secondary

All lanes:

Western blot - Goat Anti-Rat IgG H&L (HRP) (<a href='/en-us/products/secondary-antibodies/goat-rat-igg-h-l-hrp-ab205720'>ab205720</a>) at 1/100000 dilution

Predicted band size: 11 kDa

true

Exposure time: 3min

  • Carrier free

    Anti-LST1 antibody [7E2] - BSA and Azide free

Key facts

Host species

Rat

Clonality

Monoclonal

Clone number

7E2

Isotype

IgG2b

Carrier free

No

Reacts with

Mouse, Rat, Human

Applications

IHC-P, WB

applications

Immunogen

The exact immunogen used to generate this antibody is proprietary information.

Reactivity data

{ "title": "Reactivity Data", "filters": { "stats": ["", "Species", "Dilution Info", "Notes"], "tabs": { "all-applications": {"fullname" : "All Applications", "shortname": "All Applications"}, "WB" : {"fullname" : "Western blot", "shortname":"WB"}, "IHCP" : {"fullname" : "Immunohistochemistry (Formalin/PFA-fixed paraffin-embedded sections)", "shortname":"IHC-P"} }, "product-promise": { "all": "all", "testedAndGuaranteed": "tested", "guaranteed": "expected", "predicted": "predicted", "notRecommended": "not-recommended" } }, "values": { "Human": { "WB-species-checked": "testedAndGuaranteed", "WB-species-dilution-info": "0.432 µg/mL", "WB-species-notes": "<p></p>", "IHCP-species-checked": "testedAndGuaranteed", "IHCP-species-dilution-info": "4.32 µg/mL", "IHCP-species-notes": "<p></p>" }, "Mouse": { "WB-species-checked": "guaranteed", "WB-species-dilution-info": "", "WB-species-notes": "", "IHCP-species-checked": "testedAndGuaranteed", "IHCP-species-dilution-info": "4.32 µg/mL", "IHCP-species-notes": "<p></p>" }, "Rat": { "WB-species-checked": "guaranteed", "WB-species-dilution-info": "", "WB-species-notes": "", "IHCP-species-checked": "testedAndGuaranteed", "IHCP-species-dilution-info": "4.32 µg/mL", "IHCP-species-notes": "<p></p>" } } }

Product details

What are the advantages of a recombinant monoclonal antibody?
This product is a recombinant monoclonal antibody, which offers several advantages including:

  • - High batch-to-batch consistency and reproducibility
  • - Improved sensitivity and specificity
  • - Long-term security of supply
  • - Animal-free batch production

For more information, read more on recombinant antibodies.

Want a custom formulation?
This antibody clone is manufactured by Abcam. If you require a custom buffer formulation or conjugation for your experiments, please contact orders@abcam.com

Properties and storage information

Form
Liquid
Purification technique
Affinity purification Protein A
Storage buffer
pH: 7.2 - 7.4 Preservative: 0.01% Sodium azide Constituents: PBS, 40% Glycerol (glycerin, glycerine), 0.05% BSA
Shipped at conditions
Blue Ice
Appropriate short-term storage duration
1-2 weeks
Appropriate short-term storage conditions
+4°C
Appropriate long-term storage conditions
-20°C
Aliquoting information
Upon delivery aliquot
Storage information
Avoid freeze / thaw cycle

Supplementary information

This supplementary information is collated from multiple sources and compiled automatically.

Lymphocyte-Specific Transcript 1 (LST1) also known as leukocyte-specific transcript 1 is a small protein with a mass of approximately 7 kDa. This protein is primarily found in immune cells such as macrophages and dendritic cells as well as in the tissues linked to the immune system including lymph nodes and the spleen. LST1 acts mechanically by participating in cell adhesion and can influence immune cell migration.
Biological function summary

The LST1 protein contributes to immunological responses playing a significant role in modulating inflammatory processes. It is not usually considered as part of a known protein complex; however it associates with cytoskeletal elements during the immune response. The protein aids in the regulation of cytokine production impacting how immune cells communicate during an immune event or inflammation.

Pathways

LST1 is involved in key immune signaling cascades notably the NF-kB pathway and the MAP kinase pathway. These pathways are important for transmitting signals that control the expression of genes involved in immune and inflammatory responses. LST1 interacts with proteins such as NF-kB and ERK both of which are integral to the pathways it functions within supporting the regulation of immune cell function and survival.

Dysfunction or aberrant regulation of LST1 can relate to autoimmune diseases such as rheumatoid arthritis and inflammatory bowel disease. In these conditions improper LST1 function may contribute to the dysregulation of immune responses. Through these diseases it connects with proteins like TNF-alpha and interleukin-6 both of which are known to be critical in inflammation and immune regulation. Understanding LST1's involvement can aid in developing therapeutic strategies for immune modulation.

Product protocols

For this product, it's our understanding that no specific protocols are required. You can visit:

Target data

Possible role in modulating immune responses. Induces morphological changes including production of filopodia and microspikes when overexpressed in a variety of cell types and may be involved in dendritic cell maturation. Isoform 1 and isoform 2 have an inhibitory effect on lymphocyte proliferation.
See full target information LST1

Product promise

We are committed to supporting your work with high-quality reagents, and we're here for you every step of the way. In the unlikely event that one of our products does not perform as expected, you're protected by our Product Promise.
For full details, please see our Terms & Conditions

Please note: All products are 'FOR RESEARCH USE ONLY. NOT FOR USE IN DIAGNOSTIC OR THERAPEUTIC PROCEDURES'.

For licensing inquiries, please contact partnerships@abcam.com