JavaScript is disabled in your browser. Please enable JavaScript to view this website.
AB197677

Anti-LTA antibody

Be the first to review this product! Submit a review

|

(0 Publication)

Rabbit Polyclonal TNF beta antibody. Suitable for IHC-P and reacts with Human samples. Immunogen corresponding to Recombinant Fragment Protein within Human LTA.

View Alternative Names

TNFB, TNFSF1, LTA, Lymphotoxin-alpha, LT-alpha, TNF-beta, Tumor necrosis factor ligand superfamily member 1

2 Images
Immunohistochemistry (Formalin/PFA-fixed paraffin-embedded sections) - Anti-LTA antibody (AB197677)
  • IHC-P

Supplier Data

Immunohistochemistry (Formalin/PFA-fixed paraffin-embedded sections) - Anti-LTA antibody (AB197677)

Immunohistochemical analysis of formalin fixed paraffin embedded human lung cancer tissue labeling LTA with ab197677 at a 1/50 dilution.

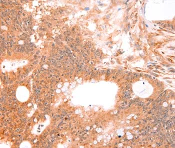
Immunohistochemistry (Formalin/PFA-fixed paraffin-embedded sections) - Anti-LTA antibody (AB197677)
  • IHC-P

Supplier Data

Immunohistochemistry (Formalin/PFA-fixed paraffin-embedded sections) - Anti-LTA antibody (AB197677)

Immunohistochemical analysis of formalin fixed paraffin embedded human colon cancer tissue labeling LTA with ab197677 at a 1/50 dilution.

Key facts

Host species

Rabbit

Clonality

Polyclonal

Isotype

IgG

Carrier free

No

Reacts with

Human

Applications

IHC-P

applications

Immunogen

Recombinant Fragment Protein within Human LTA. The exact immunogen used to generate this antibody is proprietary information.

P01374

Reactivity data

{ "title": "Reactivity Data", "filters": { "stats": ["", "Species", "Dilution Info", "Notes"], "tabs": { "all-applications": {"fullname" : "All Applications", "shortname": "All Applications"}, "IHCP" : {"fullname" : "Immunohistochemistry (Formalin/PFA-fixed paraffin-embedded sections)", "shortname":"IHC-P"} }, "product-promise": { "all": "all", "testedAndGuaranteed": "tested", "guaranteed": "expected", "predicted": "predicted", "notRecommended": "not-recommended" } }, "values": { "Human": { "IHCP-species-checked": "testedAndGuaranteed", "IHCP-species-dilution-info": "1/50 - 1/200", "IHCP-species-notes": "<p></p>" } } }

Properties and storage information

Form
Liquid
Purification technique
Affinity purification Immunogen
Storage buffer
pH: 7.4 Preservative: 0.03% Sodium azide Constituents: PBS, 50% Glycerol (glycerin, glycerine)
Shipped at conditions
Blue Ice
Appropriate short-term storage duration
1-2 weeks
Appropriate short-term storage conditions
+4°C
Appropriate long-term storage conditions
-20°C
Aliquoting information
Upon delivery aliquot
Storage information
Avoid freeze / thaw cycle

Product protocols

For this product, it's our understanding that no specific protocols are required. You can visit:

Target data

Cytokine that in its homotrimeric form binds to TNFRSF1A/TNFR1, TNFRSF1B/TNFBR and TNFRSF14/HVEM (PubMed : 9462508). In its heterotrimeric form with LTB binds to TNFRSF3/LTBR (PubMed : 24248355). Lymphotoxin is produced by lymphocytes and is cytotoxic for a wide range of tumor cells in vitro and in vivo.
See full target information LTA

Product promise

We are committed to supporting your work with high-quality reagents, and we're here for you every step of the way. In the unlikely event that one of our products does not perform as expected, you're protected by our Product Promise.
For full details, please see our Terms & Conditions

Please note: All products are 'FOR RESEARCH USE ONLY. NOT FOR USE IN DIAGNOSTIC OR THERAPEUTIC PROCEDURES'.

For licensing inquiries, please contact partnerships@abcam.com