JavaScript is disabled in your browser. Please enable JavaScript to view this website.
AB121193

Anti-LTBP2 antibody

3

(3 Reviews)

|

(11 Publications)

Rabbit Polyclonal LTBP2 antibody. Suitable for IHC-P, ICC and reacts with Human samples. Cited in 11 publications. Immunogen corresponding to Recombinant Fragment Protein within Human LTBP2 aa 200-400.

View Alternative Names

C14orf141, LTBP3, LTBP2, Latent-transforming growth factor beta-binding protein 2, LTBP-2

2 Images
Immunocytochemistry - Anti-LTBP2 antibody (AB121193)
  • ICC

Supplier Data

Immunocytochemistry - Anti-LTBP2 antibody (AB121193)

Immunocytochemistry analysis of U-2 OS (human bone osteosarcoma epithelial cell line) cells labelling MLTBP2 with ab121193 at 2 μg/mL.

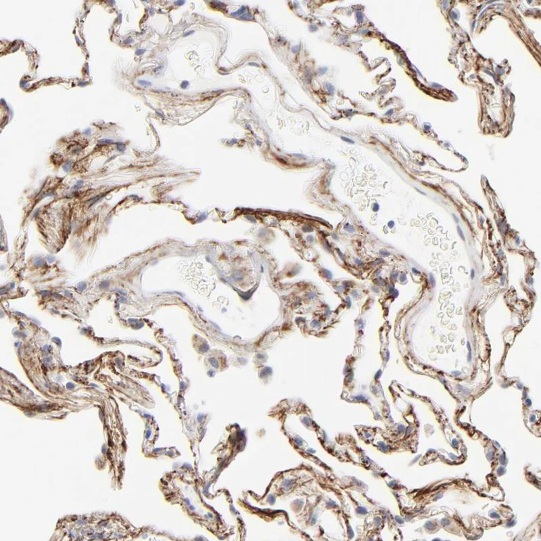
Immunohistochemistry (Formalin/PFA-fixed paraffin-embedded sections) - Anti-LTBP2 antibody (AB121193)
  • IHC-P

Supplier Data

Immunohistochemistry (Formalin/PFA-fixed paraffin-embedded sections) - Anti-LTBP2 antibody (AB121193)

Immunohistochemistry (Formalin/PFA-fixed paraffin-embedded sections) analysis of human lung tissue labelling MLTBP2 with ab121193 at 1/500 dilution. Heat mediated antigen retrieval performed with citrate buffer pH 6 before commencing with IHC staining protocol.

Key facts

Host species

Rabbit

Clonality

Polyclonal

Isotype

IgG

Carrier free

No

Reacts with

Human

Applications

IHC-P, ICC

applications

Immunogen

Recombinant Fragment Protein within Human LTBP2 aa 200-400. The exact immunogen used to generate this antibody is proprietary information.

Q14767

Reactivity data

{ "title": "Reactivity Data", "filters": { "stats": ["", "Species", "Dilution Info", "Notes"], "tabs": { "all-applications": {"fullname" : "All Applications", "shortname": "All Applications"}, "IHCP" : {"fullname" : "Immunohistochemistry (Formalin/PFA-fixed paraffin-embedded sections)", "shortname":"IHC-P"}, "ICC" : {"fullname" : "Immunocytochemistry", "shortname":"ICC"} }, "product-promise": { "all": "all", "testedAndGuaranteed": "tested", "guaranteed": "expected", "predicted": "predicted", "notRecommended": "not-recommended" } }, "values": { "Human": { "IHCP-species-checked": "testedAndGuaranteed", "IHCP-species-dilution-info": "1/500 - 1/1000", "IHCP-species-notes": "<p></p> Perform heat-mediated antigen retrieval with citrate buffer pH 6 before commencing with IHC staining protocol.", "ICC-species-checked": "testedAndGuaranteed", "ICC-species-dilution-info": "0.25-2 µg/mL", "ICC-species-notes": "<p></p>" } } }

Properties and storage information

Form
Liquid
Purification technique
Affinity purification Immunogen
Storage buffer
pH: 7.2 Preservative: 0.02% Sodium azide Constituents: PBS, 40% Glycerol (glycerin, glycerine)
Shipped at conditions
Blue Ice
Appropriate short-term storage conditions
+4°C
Appropriate long-term storage conditions
-20°C
Aliquoting information
Upon delivery aliquot
Storage information
Avoid freeze / thaw cycle

Supplementary information

This supplementary information is collated from multiple sources and compiled automatically.

LTBP2 also known as latent transforming growth factor-beta binding protein 2 is a glycoprotein involved in the regulation of transforming growth factor-beta (TGF-β) signaling. This protein has a mass of approximately 195 kDa. LTBP2 is expressed in a variety of tissues including the lungs heart and eyes. It plays an important role in the extracellular matrix where it is fundamental to the sequestration and subsequent activation of TGF-β.
Biological function summary

LTBP2 interacts with the extracellular matrix components and acts as a structural protein. LTBP2 is an important part of TGF-β complexes. By anchoring TGF-β in a latent form it controls the availability and activation of TGF-β which is necessary for processes like cell growth differentiation and tissue repair. Without LTBP2 the controlled release of TGF-β can be disrupted impacting various cell functions.

Pathways

LTBP2 regulates the TGF-β signaling pathway and maintains its equilibrium. This regulatory function links LTBP2 to the pathways involving cell proliferation and differentiation. LTBP2 closely interacts with other members of the LTBP family as well as proteins like fibrillin which are involved in the structural integrity of the extracellular matrix. These interactions are significant for maintaining proper signal transduction and cellular responses.

LTBP2 mutations have associations with conditions such as glaucoma and Weill-Marchesani syndrome. In glaucoma abnormalities in LTBP2 might affect the integrity of the extracellular matrix influencing intraocular pressure regulation. It also connects to fibrillin-related disorders due to its interaction with fibrillin proteins. These associations highlight the importance of LTBP2 in both structural and signaling roles within the body.

Product protocols

For this product, it's our understanding that no specific protocols are required. You can visit:

Target data

May play an integral structural role in elastic-fiber architectural organization and/or assembly.
See full target information LTBP2

Publications (11)

Recent publications for all applications. Explore the full list and refine your search

BioMed research international 2022:6532253 PubMed35968244

2022

LTBP2 Knockdown Promotes Ferroptosis in Gastric Cancer Cells through p62-Keap1-Nrf2 Pathway.

Applications

Unspecified application

Species

Unspecified reactive species

TingAn Wang,ZiHan Zhou,ChunMiao Wang,YuZhou Qin,Liucheng Wu,BangLi Hu,QinWen Jin,WeiYuan Wei,MingWei Huang

Experimental and therapeutic medicine 22:1146 PubMed34504591

2021

Latent-transforming growth factor β-binding protein 2 accelerates cardiac fibroblast apoptosis by regulating the expression and activity of caspase-3.

Applications

Unspecified application

Species

Unspecified reactive species

Chunlai Shi,Xuan Li,Fei Hong,Xueyan Wang,Tingting Jiang,Bingbing Sun,Shuang Li

Biochimica et biophysica acta. Molecular basis of disease 1866:165630 PubMed31816440

2019

High fat diet consumption results in mitochondrial dysfunction, oxidative stress, and oligodendrocyte loss in the central nervous system.

Applications

Unspecified application

Species

Unspecified reactive species

Monica R Langley,Hyesook Yoon,Ha Neui Kim,Chan-Il Choi,Whitney Simon,Laurel Kleppe,Ian R Lanza,Nathan K LeBrasseur,Aleksey Matveyenko,Isobel A Scarisbrick

Medicine 98:e17216 PubMed31574831

2019

Expression and clinical significance of latent-transforming growth factor beta-binding protein 2 in primary hepatocellular carcinoma.

Applications

Unspecified application

Species

Unspecified reactive species

Jinchun Chen,Guosheng Gao,Hui Wang,Xingtao Ye,Jun Zhou,Jianjun Lin

Disease markers 2019:5231269 PubMed30956730

2019

High Expression of LTBP2 Contributes to Poor Prognosis in Colorectal Cancer Patients and Correlates with the Mesenchymal Colorectal Cancer Subtype.

Applications

Unspecified application

Species

Unspecified reactive species

Ying Huang,Guihua Wang,Chunmei Zhao,Rong Geng,Shu Zhang,Wei Wang,Jing Chen,Huimin Liu,Xudong Wang

International journal of oncology 52:1886-1898 PubMed29620158

2018

LTBP2 promotes the migration and invasion of gastric cancer cells and predicts poor outcome of patients with gastric cancer.

Applications

Unspecified application

Species

Unspecified reactive species

Jun Wang,Wen-Jia Liang,Guang-Tao Min,Hong-Peng Wang,Wei Chen,Nan Yao

Medical science monitor : international medical jo 23:3232-3239 PubMed28669978

2017

Latent Transforming Growth Factor β Binding Protein 2 (LTBP2) as a Novel Biomarker for the Diagnosis and Prognosis of Pancreatic Carcinoma.

Applications

IHC-P

Species

Human

Cheng Wang,Gang Wang,Lu Zhang,Jingen Pan,Yajun Wei

Disease markers 2017:6136401 PubMed28127114

2017

CACNA1B (Ca2.2) Overexpression and Its Association with Clinicopathologic Characteristics and Unfavorable Prognosis in Non-Small Cell Lung Cancer.

Applications

Unspecified application

Species

Unspecified reactive species

Xiaoyu Zhou,Wei Wang,Shu Zhang,Xudong Wang,Zhiyuan Tang,Jun Gu,Jun Li,Jianan Huang

Oncotarget 7:45052-45059 PubMed27281608

2016

LTBP2 is a prognostic marker in head and neck squamous cell carcinoma.

Applications

Unspecified application

Species

Unspecified reactive species

Liang Han,Ming Ming Tang,Xinjiang Xu,Bin Jiang,Jianfei Huang,Xingmei Feng,Jianfeng Qiang

Biochimica et biophysica acta 1862:545-555 PubMed26826016

2016

Interplay between exercise and dietary fat modulates myelinogenesis in the central nervous system.

Applications

Unspecified application

Species

Unspecified reactive species

Hyesook Yoon,Andrew Kleven,Alex Paulsen,Laurel Kleppe,Jianmin Wu,Zhe Ying,Fernando Gomez-Pinilla,Isobel A Scarisbrick
View all publications

Product promise

We are committed to supporting your work with high-quality reagents, and we're here for you every step of the way. In the unlikely event that one of our products does not perform as expected, you're protected by our Product Promise.
For full details, please see our Terms & Conditions

Please note: All products are 'FOR RESEARCH USE ONLY. NOT FOR USE IN DIAGNOSTIC OR THERAPEUTIC PROCEDURES'.

For licensing inquiries, please contact partnerships@abcam.com