JavaScript is disabled in your browser. Please enable JavaScript to view this website.
AB222844

Anti-LTBP4 antibody

Be the first to review this product! Submit a review

|

(3 Publications)

Rabbit Polyclonal LTBP4 antibody. Suitable for IHC-P, ICC/IF and reacts with Human samples. Cited in 3 publications. Immunogen corresponding to Recombinant Fragment Protein within Human LTBP4 aa 950-1200.

View Alternative Names

Latent-transforming growth factor beta-binding protein 4, LTBP-4, LTBP4

2 Images
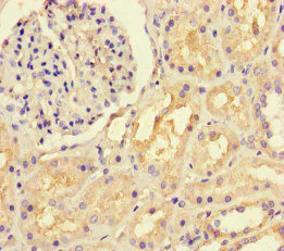
Immunohistochemistry (Formalin/PFA-fixed paraffin-embedded sections) - Anti-LTBP4 antibody (AB222844)
  • IHC-P

Supplier Data

Immunohistochemistry (Formalin/PFA-fixed paraffin-embedded sections) - Anti-LTBP4 antibody (AB222844)

Paraffin-embedded human kidney tissue stained for LTBP4 using ab222844 at 1/100 dilution in immunohistochemical analysis.

Immunocytochemistry/ Immunofluorescence - Anti-LTBP4 antibody (AB222844)
  • ICC/IF

Supplier Data

Immunocytochemistry/ Immunofluorescence - Anti-LTBP4 antibody (AB222844)

HepG2 (human liver hepatocellular carcinoma cell line) cells stained for LTBP4 (green) using ab222844 at 1/100 dilution in ICC/IF. Alexa Fluor 488-conjugated Goat Anti-Rabbit IgG (H+L) was used as secondary antibody.

Key facts

Host species

Rabbit

Clonality

Polyclonal

Isotype

IgG

Carrier free

No

Reacts with

Human

Applications

ICC/IF, IHC-P

applications

Immunogen

Recombinant Fragment Protein within Human LTBP4 aa 950-1200. The exact immunogen used to generate this antibody is proprietary information.

Q8N2S1

Reactivity data

{ "title": "Reactivity Data", "filters": { "stats": ["", "Species", "Dilution Info", "Notes"], "tabs": { "all-applications": {"fullname" : "All Applications", "shortname": "All Applications"}, "IHCP" : {"fullname" : "Immunohistochemistry (Formalin/PFA-fixed paraffin-embedded sections)", "shortname":"IHC-P"}, "ICCIF" : {"fullname" : "Immunocytochemistry/ Immunofluorescence", "shortname":"ICC/IF"} }, "product-promise": { "all": "all", "testedAndGuaranteed": "tested", "guaranteed": "expected", "predicted": "predicted", "notRecommended": "not-recommended" } }, "values": { "Human": { "IHCP-species-checked": "testedAndGuaranteed", "IHCP-species-dilution-info": "1/20 - 1/200", "IHCP-species-notes": "<p></p>", "ICCIF-species-checked": "testedAndGuaranteed", "ICCIF-species-dilution-info": "1/50 - 1/200", "ICCIF-species-notes": "<p></p>" } } }

Properties and storage information

Form
Liquid
Purification technique
Affinity purification Protein G
Purification notes
Purity >95%
Storage buffer
pH: 7.4 Preservative: 0.03% Proclin 300 Constituents: PBS, 50% Glycerol (glycerin, glycerine)
Shipped at conditions
Blue Ice
Appropriate short-term storage duration
1-2 weeks
Appropriate short-term storage conditions
+4°C
Appropriate long-term storage conditions
-20°C
Aliquoting information
Upon delivery aliquot
Storage information
Avoid freeze / thaw cycle

Supplementary information

This supplementary information is collated from multiple sources and compiled automatically.

The protein LTBP4 also known as Latent Transforming Growth Factor Beta Binding Protein 4 plays an important mechanical role in the extracellular matrix. It is involved in the storage and activation of TGF-beta. Weighing approximately 210 kDa this protein is mainly expressed in connective tissues including skin lung and kidney tissues. It helps ensure proper assembly of elastic fibers and is important in maintaining the structural integrity of the extracellular matrix.
Biological function summary

LTBP4 associates with proteins to form larger complexes and regulates the availability of TGF-beta within the cell environment. Its function relates closely to modulating growth factors that control cell proliferation differentiation and migration. LTBP4's role in elastic fiber structure links it to essential biological processes such as tissue repair and fibrosis. Its presence within the extracellular matrix implies strong interactions with other structural proteins that lead to the proper function of connective tissue.

Pathways

LTBP4 directly influences the TGF-beta signaling pathway important for developmental processes and homeostasis in tissues. The protein plays a part in regulating this pathway affecting how TGF-beta interacts with its receptors and consequently impacts Smad-dependent and independent signaling cascades. It is associated with other proteins like fibrillin-1 which contributes to the formation and maintenance of the extracellular microfibril structure supporting TGF-beta activation.

LTBP4 shows a strong connection to connective tissue disorders such as cutis laxa where mutations in LTBP4 result in skin elasticity issues. Additionally its function ties to pulmonary emphysema a condition characterized by tissue degeneration in the lungs partly due to compromised extracellular matrix integrity. LTBP4's interactions with proteins like elastin become critical in understanding these disease mechanisms given its role in elastic fiber assembly and maintenance.

Product protocols

For this product, it's our understanding that no specific protocols are required. You can visit:

Target data

Key regulator of transforming growth factor beta (TGFB1, TGFB2 and TGFB3) that controls TGF-beta activation by maintaining it in a latent state during storage in extracellular space. Associates specifically via disulfide bonds with the Latency-associated peptide (LAP), which is the regulatory chain of TGF-beta, and regulates integrin-dependent activation of TGF-beta.
See full target information LTBP4

Publications (3)

Recent publications for all applications. Explore the full list and refine your search

American journal of physiology. Lung cellular and molecular physiology 324:L799-L814 PubMed37039368

2023

Age-associated differences in the human lung extracellular matrix.

Applications

Unspecified application

Species

Unspecified reactive species

Maunick Lefin Koloko Ngassie,Maaike De Vries,Theo Borghuis,Wim Timens,Don D Sin,David Nickle,Philippe Joubert,Peter Horvatovich,György Marko-Varga,Jacob J Teske,Judith M Vonk,Reinoud Gosens,Y S Prakash,Janette K Burgess,Corry-Anke Brandsma

Journal of cell science 134: PubMed33526710

2021

Adenine nucleotide translocase regulates airway epithelial metabolism, surface hydration and ciliary function.

Applications

Unspecified application

Species

Unspecified reactive species

Corrine R Kliment,Jennifer M K Nguyen,Mary Jane Kaltreider,YaWen Lu,Steven M Claypool,Josiah E Radder,Frank C Sciurba,Yingze Zhang,Alyssa D Gregory,Pablo A Iglesias,Venkataramana K Sidhaye,Douglas N Robinson

Cell reports 33:108431 PubMed33238128

2020

Noise Exposures Causing Hearing Loss Generate Proteotoxic Stress and Activate the Proteostasis Network.

Applications

Unspecified application

Species

Unspecified reactive species

Nopporn Jongkamonwiwat,Miguel A Ramirez,Seby Edassery,Ann C Y Wong,Jintao Yu,Tirzah Abbott,Kwang Pak,Allen F Ryan,Jeffrey N Savas
View all publications

Product promise

We are committed to supporting your work with high-quality reagents, and we're here for you every step of the way. In the unlikely event that one of our products does not perform as expected, you're protected by our Product Promise.
For full details, please see our Terms & Conditions

Please note: All products are 'FOR RESEARCH USE ONLY. NOT FOR USE IN DIAGNOSTIC OR THERAPEUTIC PROCEDURES'.

For licensing inquiries, please contact partnerships@abcam.com