JavaScript is disabled in your browser. Please enable JavaScript to view this website.
AB129155

Anti-LTK antibody [EPR5175(2)]

Be the first to review this product! Submit a review

|

(2 Publications)

Rabbit Recombinant Monoclonal LTK antibody. Suitable for IHC-P, WB and reacts with Human samples. Cited in 2 publications.

View Alternative Names

TYK1, LTK, Leukocyte tyrosine kinase receptor, Protein tyrosine kinase 1

3 Images
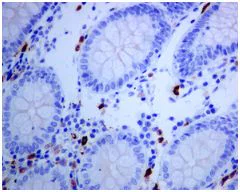
Immunohistochemistry (Formalin/PFA-fixed paraffin-embedded sections) - Anti-LTK antibody [EPR5175(2)] (AB129155)
  • IHC-P

Unknown

Immunohistochemistry (Formalin/PFA-fixed paraffin-embedded sections) - Anti-LTK antibody [EPR5175(2)] (AB129155)

ab129155 at a 1/250 dilution staining LTK in paraffin embedded Human colon tissue by Immunohistochemistry.

Perform heat mediated antigen retrieval before commencing with IHC staining protocol.

Western blot - Anti-LTK antibody [EPR5175(2)] (AB129155)
  • WB

Unknown

Western blot - Anti-LTK antibody [EPR5175(2)] (AB129155)

All lanes:

Western blot - Anti-LTK antibody [EPR5175(2)] (ab129155) at 1/1000 dilution

Lane 1:

Raji cell lysate at 10 µg

Lane 2:

Human tonsil lysate at 10 µg

Lane 3:

Human spleen lysate at 10 µg

Secondary

All lanes:

HRP labelled goat anti-rabbit at 1/2000 dilution

Predicted band size: 92 kDa

false

OI-RD Scanning - Anti-LTK antibody [EPR5175(2)] (AB129155)
  • OI-RD Scanning

Unknown

OI-RD Scanning - Anti-LTK antibody [EPR5175(2)] (AB129155)

We have systematically measured KD (the equilibrium dissociation constant between the antibody and its antigen), of more than 840 recombinant antibodies to assess not only their individual KD values but also to see the average affinity of antibody. Based on the comparison with published literature values for mouse monoclonal antibodies, Recombinant antibodies appear to be on average 1-2 order of magnitude higher affinity.

  • Carrier free

    Anti-LTK antibody [EPR5175(2)] - BSA and Azide free

Key facts

Host species

Rabbit

Clonality

Monoclonal

Clone number

EPR5175(2)

Isotype

IgG

Carrier free

No

Reacts with

Human

Applications

WB, IHC-P

applications

Immunogen

The exact immunogen used to generate this antibody is proprietary information.

Reactivity data

{ "title": "Reactivity Data", "filters": { "stats": ["", "Species", "Dilution Info", "Notes"], "tabs": { "all-applications": {"fullname" : "All Applications", "shortname": "All Applications"}, "IHCP" : {"fullname" : "Immunohistochemistry (Formalin/PFA-fixed paraffin-embedded sections)", "shortname":"IHC-P"}, "IP" : {"fullname" : "Immunoprecipitation", "shortname":"IP"}, "FlowCyt" : {"fullname" : "Flow Cytometry", "shortname":"Flow Cyt"}, "WB" : {"fullname" : "Western blot", "shortname":"WB"}, "ICCIF" : {"fullname" : "Immunocytochemistry/ Immunofluorescence", "shortname":"ICC/IF"} }, "product-promise": { "all": "all", "testedAndGuaranteed": "tested", "guaranteed": "expected", "predicted": "predicted", "notRecommended": "not-recommended" } }, "values": { "Human": { "IHCP-species-checked": "testedAndGuaranteed", "IHCP-species-dilution-info": "1/250 - 1/500", "IHCP-species-notes": "<p></p>", "IP-species-checked": "notRecommended", "IP-species-dilution-info": "", "IP-species-notes": "<p></p>", "FlowCyt-species-checked": "notRecommended", "FlowCyt-species-dilution-info": "", "FlowCyt-species-notes": "<p></p>", "WB-species-checked": "testedAndGuaranteed", "WB-species-dilution-info": "1/1000 - 1/10000", "WB-species-notes": "<p></p>", "ICCIF-species-checked": "notRecommended", "ICCIF-species-dilution-info": "", "ICCIF-species-notes": "<p></p>" } } }

Product details

Species reactivity
Mouse, Rat: We have preliminary internal testing data to indicate this antibody may not react with these species.
Please contact us for more information.

Patented technology
Our RabMAb® technology is a patented hybridoma-based technology for making rabbit monoclonal antibodies. For details on our patents, please refer to RabMAb® patents.

What are the advantages of a recombinant monoclonal antibody?
This product is a recombinant monoclonal antibody, which offers several advantages including:

  • - High batch-to-batch consistency and reproducibility
  • - Improved sensitivity and specificity
  • - Long-term security of supply
  • - Animal-free batch production

For more information, read more on recombinant antibodies.

Properties and storage information

Form
Liquid
Purification technique
Affinity purification Protein A
Storage buffer
pH: 7.2 - 7.4 Preservative: 0.01% Sodium azide Constituents: PBS, 50% Tissue culture supernatant, 40% Glycerol (glycerin, glycerine), 0.05% BSA
Shipped at conditions
Blue Ice
Appropriate short-term storage conditions
+4°C
Appropriate long-term storage conditions
-20°C
Storage information
Stable for 12 months at -20°C

Supplementary information

This supplementary information is collated from multiple sources and compiled automatically.

The Leukocyte Tyrosine Kinase (LTK) also known as ALK-like receptor tyrosine kinase is a receptor tyrosine kinase with a molecular weight of approximately 94 kDa. It primarily gets expressed in immune-related tissues such as the thymus and spleen as well as in the nervous system. LTK consists of an extracellular ligand-binding domain a single transmembrane domain and an intracellular kinase domain. It plays role in signal transduction processes by transferring a phosphate group to tyrosine residues on target proteins which initiates downstream signaling pathways.
Biological function summary

The LTK protein functions in the differentiation and development of cells particularly in the nervous and immune systems. It oligomerizes forming homodimers or heterodimers which activates its kinase activity. This activation promotes phosphorylation events that influence cellular processes like growth and survival. The receptor is not part of a larger complex but interacts directly with several adaptor proteins to exert its effects.

Pathways

LTK is involved in the MAPK/ERK and PI3K/AKT pathways important for cell growth and survival signaling. The MAPK/ERK pathway includes related proteins such as RAS and RAF while the PI3K/AKT pathway interacts with proteins like PIK3CA and AKT1. These pathways converge on transcription factors and regulators that ultimately coordinate cellular responses to external signals.

LTK shows involvement in the pathogenesis of certain types of cancer and neurodevelopmental disorders like neuroblastoma and developmental delay. In neuroblastoma aberrant expression or mutations in LTK link to tumorigenic processes. It shares a connection with the ALK protein another receptor tyrosine kinase which also exhibits alterations in various cancers. Understanding these associations helps in identifying potential therapeutic targets for these conditions.

Product protocols

For this product, it's our understanding that no specific protocols are required. You can visit:

Target data

Receptor with a tyrosine-protein kinase activity (PubMed : 10445845, PubMed : 20548102, PubMed : 30061385). Following activation by ALKAL1 or ALKAL2 ligands at the cell surface, transduces an extracellular signal into an intracellular response (PubMed : 30061385, PubMed : 34646012). Ligand-binding to the extracellular domain induces tyrosine kinase activation, leading to activation of the mitogen-activated protein kinase (MAPK) pathway (PubMed : 20548102). Phosphorylates almost exclusively at the first tyrosine of the Y-x-x-x-Y-Y motif (By similarity). The exact function of this protein is not known; studies with chimeric proteins demonstrate its ability to promote growth and specifically neurite outgrowth, and cell survival (PubMed : 18849880, PubMed : 9223670). Involved in regulation of the secretory pathway involving endoplasmic reticulum (ER) export sites (ERESs) and ER to Golgi transport (PubMed : 20548102).
See full target information LTK

Publications (2)

Recent publications for all applications. Explore the full list and refine your search

International journal of molecular sciences 25: PubMed39457060

2024

AdipoRon Alleviates Liver Injury by Protecting Hepatocytes from Mitochondrial Damage Caused by Ionizing Radiation.

Applications

Unspecified application

Species

Unspecified reactive species

Yi Liu,Yinfen Xu,Huilin Ji,Fenfen Gao,Ruoting Ge,Dan Zhou,Hengyi Fu,Xiaodong Liu,Shumei Ma

Nature 600:319-323 PubMed34819663

2021

The CLIP1-LTK fusion is an oncogenic driver in non-small-cell lung cancer.

Applications

Unspecified application

Species

Unspecified reactive species

Hiroki Izumi,Shingo Matsumoto,Jie Liu,Kosuke Tanaka,Shunta Mori,Kumiko Hayashi,Shogo Kumagai,Yuji Shibata,Takuma Hayashida,Kana Watanabe,Tatsuro Fukuhara,Takaya Ikeda,Kiyotaka Yoh,Terufumi Kato,Kazumi Nishino,Atsushi Nakamura,Ichiro Nakachi,Shoichi Kuyama,Naoki Furuya,Jun Sakakibara-Konishi,Isamu Okamoto,Kageaki Taima,Noriyuki Ebi,Haruko Daga,Akira Yamasaki,Masahiro Kodani,Hibiki Udagawa,Keisuke Kirita,Yoshitaka Zenke,Kaname Nosaki,Eri Sugiyama,Tetsuya Sakai,Tokiko Nakai,Genichiro Ishii,Seiji Niho,Atsushi Ohtsu,Susumu S Kobayashi,Koichi Goto
View all publications

Product promise

We are committed to supporting your work with high-quality reagents, and we're here for you every step of the way. In the unlikely event that one of our products does not perform as expected, you're protected by our Product Promise.
For full details, please see our Terms & Conditions

Please note: All products are 'FOR RESEARCH USE ONLY. NOT FOR USE IN DIAGNOSTIC OR THERAPEUTIC PROCEDURES'.

For licensing inquiries, please contact partnerships@abcam.com